セミナーレポート(キヤノンメディカルシステムズ)
2016年5月27日(金)〜29日(日)の3日間,日本超音波医学会第89回学術集会など超音波関連の4つの学会によるUltrasonic Week 2016が国立京都国際会館などを会場に開催された。27日に行われた東芝メディカルシステムズ株式会社共催のランチョンセミナー4では,東邦大学医療センター大森病院消化器内科教授の住野泰清氏が座長を務め,Imperial College of Medicine and Consultant in Radiology, Hammersmith HospitalのDr. David Cosgrove氏と川崎医科大学検査診断学内視鏡超音波部門教授の畠 二郎氏が,「State of the art Aplio」をテーマに講演を行った。ここでは,畠氏の講演内容を報告する。
2016年9月号
Ultrasonic Week 2016 ランチョンセミナー4 State of the art Aplio
One and Only 〜Aplioが拓く新たな世界〜
畠 二郎(川崎医科大学検査診断学内視鏡超音波部門)
プレミアム超音波診断装置として新たに登場した「Aplio iシリーズ」には,さまざまな新技術が投入されている。本講演ではその中から,(1) 1本で広帯域をカバーできる新開発のコンベックスプローブ「iDMS PVI-475BX」,(2) 1回のスキャンでより多くの情報を提供する“Smart Sensor 3D”,(3) 世界で唯一の“Ultra-high frequency probe”の3点について述べる。
1本で広帯域をカバーできるiDMS PVI-475BXプローブ
従来,超音波検査においては,通常は3MHz(PVT-375BT),より詳細な観察を行う場合は6MHz(PVT-674BT)と,対象領域や目的によりプローブを切り替えて使用していたが,Aplio iシリーズ専用のコンベックスプローブiDMS PVI-475BXでは,ハード・ソフトが一新されたことで広範囲の帯域をカバーできるようなった(図1)。iDMSプローブは,シングルクリスタルが採用されたほか,バッキング材や音響レンズ,構造のすべてが新しくなった。また,新技術の“iBeam Forming”では浅部から深部まで均一に細く,かつ高密度な超音波ビームの送受信が可能となるほか,“iBeam Slicing”では断層像の厚みを均一に薄くすることで,鮮明で高精細な画像が得られる(図2)。
図1 Aplio iシリーズ専用プローブ「iDMS PVI-475BX」の特長
図2 iBeam Forming(a)とiBeam Slicing(b)の原理
1.従来プローブとiDMS PVI-475BXの画像比較
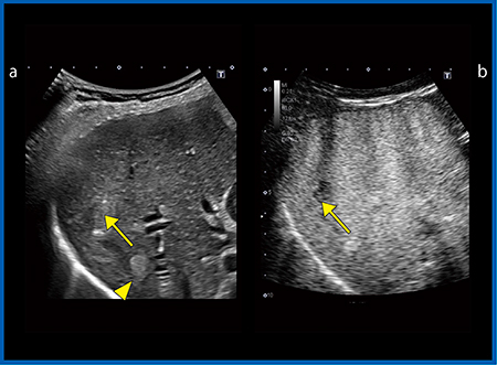
図3は,膵臓がんにおけるPVT-674BT(Aplio 500)とiDMS PVI-475BX(別の症例)の比較である。PVT-674BTでは画像は全体に不明瞭であり,深部は減衰している(図3 a)。一方,iDMS PVI-475BXはSNRが高いため画像に多少のざらつき感があるが,腫瘍がはっきりととらえられている(図3 b)。さらに,ノイズやアーチファクトの低減技術“ApliPure plus”と,境界や構造物の視認性を向上させる技術“Precision Imaging”を適用することで,分枝膵管の拡張や腫瘍の輪郭もはっきりと観察できる(図3 c)。深部臓器である膵臓の1.5cmの腫瘍でもここまで描出できており,iDMS PVI-475BXが,いかにペネトレーションと分解能を両立させているかが理解できる。
図4 aは,↑が肝細胞がん(HCC),▲が肝血管腫であるが,従来プローブでは深部臓器の造影を行っても十分な感度が得られず,特にpost vascular phaseで抜けているかどうかの判断が難しい。また,高エコーの腫瘍の観察ではゲインを上げて超音波の減衰をカバーするが,ノイズが増加し余計にわかりづらくなる。しかし,iDMS PVI-475BXでは,深部まで非常に均一で安定した感度が得られる(図4 b)。HCCでは造影剤が抜け始めているが肝血管腫では抜けておらず,Amplitude Modulation(AM)法でも造影剤の有無が確認でき,より確実な診断が可能となる。
図3 膵臓がんにおけるPVT-674BT(a)とiDMS PVI-475BX(b,c)の比較
図4 HCCと肝血管腫における従来プローブ(a)と
iDMS PVI-475BX(b)の比較
2.ApliPure plusとPrecision Imagingによるスペックルノイズの低減
超音波画像にはスペックルと呼ばれるノイズが現れて読影の邪魔となる。例えば,病変が不明瞭なオリジナル画像(図5 a)にApliPure plusとPrecision Imagingを適用するとスペックルノイズが低減し,小囊胞による多重反射が多数認められ,びまん性の小囊胞であることがわかる(図5 b)。演者は,ApliPure plus 2とPrecision 2の条件設定を頻用している。
図6は肝血管腫であるが,7MHzのPLT-704SBT(Aplio 500)ではノイズが多く不明瞭である(図6 a)。一方,iDMS PVI-475BXを使用し,ApliPure plus 2とPrecision 2を適用した画像(別の症例)(図6 b)では,位相の変化が明瞭となり,病変内部の糸ミミズサインにより血管腫であると確定診断できる。iDMS PVI-475BXおよびApliPure plusとPrecision Imagingの組み合わせは,腫瘍の質的診断にも有用と言える。
図7は,腎臓内にびまん性の石灰化があるが,オリジナル画像では不明瞭である(図7 a)。そこで,ApliPure plus 2とPrecision 2を適用すると,小石灰化層が多数認められる(図7 b)。超音波はCTと異なり組織分解能がないため,特に石灰化の検出が困難であるが,本法によって非常にクリアな反射とスペックルのような干渉波を区分可能であり,病変描出能にも大きく寄与すると思われる。
ApliPure plusとPrecision Imagingの適用は消化管の検査には最適である。図8 aは進行胃がんであるが,前庭部に胃の内容物が貯留し,そこに胃排出を低下させる病変がある。ApliPure plus 2とPrecision 2によりスペックルを除去することで粘膜下層のつながりをしっかりと把握でき,病変部の層構造の消失が認められる。図8 bは直腸がんであるが,層構造の消失した限局性の肥厚と近傍のリンパ節腫大が認められる。ApliPure plus 2とPrecision 2により,従来と比較して画像が非常に明瞭となっている。
図5 ApliPure plusとPrecision Imagingによるスペックルノイズの低減
図6 肝血管腫におけるPLT-704SBT(a)とiDMS PVI-475BX(b)の比較
図7 ApliPure plusとPrecision Imaging(b)による腎臓内のびまん性石灰化の描出
図8 ApliPure plusとPrecision Imagingによる進行胃がん(a)
および直腸がん(b)の描出
1スキャンで多くの情報を提供するSmart Sensor 3D
Smart Sensor 3Dは,通常のプローブに磁気センサを取り付けてフリーハンドでスキャンを行い,取得した情報を再構築することで高精細な3D画像が得られる技術である(図9)。
図9 Smart Sensor 3Dの原理
1.新表示法“Shadow Glass”
Smart Sensor 3Dでは新たにShadow Glassという表示法が可能となった。Shadow Glassは,臓器の外観の閾値を完全に消えない程度に残して透明化し,その内側を観察するという画期的な手法である(図10 c)。画像は非常に美しく,例えば胎児の全身を,皮膚を透かして臓器やその向こう側まで観察でき,臓器の全体像も理解することができる。
図10 新表示法Shadow Glassによる胎児の描出
2.Smart Sensor 3Dの画像供覧
図11は癒着による単純性腸閉塞であるが,ボリュームデータを観察していくことで,狭窄,すなわち管腔の消失部位を追うことができ,狭窄部位の形状あるいは性状の観察が可能である(図11 a)。一方,C plane(水平断面)(図11 b)では1断面しか表示できず,管腔の連続性を担保できないが,Smart Sensor 3Dでは新たに,管腔内のポイントをトレースしてCurved MPRとして表示する“Curved C plane”(W.I.P.)(図11 c)が作成可能となった。これにより,非常に複雑な管腔のつながりの観察や病変の追跡が,1ボリュームで後から検討可能となる。さらに,それをShadow Grass(図11 d)で表示すると,管腔の認識が容易になると同時に残渣も確認でき,従来のsurface renderingよりも情報量が増えている。
図12は肝門胆管がんである。がんの浸潤や広がりを見るときに,通常のC plane(図12 b)では胆管のつながりを1枚の画像で表現することはできないが,Curved C plane(図12 c)では胆管のつながりが明瞭となり,病変やその範囲が把握しやすくなる。さらに,Shadow Glass(図12 d)では後壁側も観察可能であり,管腔をよりはっきりと認識できる。
Shadow Glassは骨折線の描出など,整形領域にも有用である。図13は指の画像であるが,Shadow Glass(図13 c)では皮膚を透かして血管や骨,爪が観察可能で,ほかの画像と比べて情報量が多く,より説得力がある。また,Curved C plane(図13 b)を用いることで,指の血管をつながりを持った管腔として表現可能となる。3DのShadow Glass,2DのCurved C planeのいずれにおいても血管の連続性を把握できるため,今後,画像の活用の幅がますます広がることが期待できる。
図14は,悪性リンパ腫を先進部とする腸重積である。A plane(図14 a)では腫瘍とのつながりが不明瞭なことも多いが,C plane(図14 c)では先進部の形状とともに,腫瘍とその手前の拡張した腸管とのつながりをより正確に把握でき,腫瘍の浸潤度や進展度の判定にも貢献する。Smart Sensor 3Dではプローブを改良し,3Dデータを高精細にしたことで,C planeがより臨床に役立つ画像となっている。
図11 単純性腸閉塞におけるCurved C plane(W.I.P.)(c)と
Shadow Glass(d)の有用性
図12 Smart Sensor 3Dによる肝門胆管がんの描出
図13 Smart Sensor 3Dによる指の描出
図14 悪性リンパ腫を先進部とする腸重積におけるC plane(c)の有用性
世界で唯一のUltra-high frequency probe
今回,新たに登場した20MHz以上の超高周波を実現したAplio iシリーズ専用リニアプローブ“iDMS PLI-2004BX”は,表在領域用としては従来,非常に有用性の高かった12MHzプローブよりもはるかに広帯域を実現しており(図15),画質が飛躍的に向上している。
図16は悪性黒色腫で,病変の厚みが1mmを少し超えている。病期診断に当たっては1mmを超えているかどうかが重要であるが,iDMS PLI-2004BXでは体表直下の病変もきわめて明瞭である(図16 a)。また,微細かつ低流速な血流の描出が可能な“Advanced Superb Micro-vascular Imaging(Advanced SMI)”を用いることで,悪性黒色腫に特徴的な豊富な血管がしっかりと描出されている(図16 b)。
図17は丹毒である。iDMS PLI-2004BXはきわめて高分解能なため,1つ1つのピクセルが明瞭で,膿瘍の部分に血液の流動性があることがはっきりとわかる(図17 a)。本症例には強い炎症があるが,12MHzプローブのcSMIでは膿瘍も不明瞭で,表皮や真皮あたりで増加しているはずの血流も描出されていない(図17 b)。しかし,iDMS PLI-2004BXのcSMIでは,プローブ直下の領域にて非常に強い炎症による血流の増加が一目瞭然であり(図17 c),血流が遅いほどわずかな位相差を検出する必要があり,高周波が有利に働くことが理解できる。さらに,iDMS PLI-2004BXのcSMIを3D表示すると,これまでダイナミックな画像での観察が不可能だった,皮膚直下で血管が絨毯のようになっている現象も観察可能である(図17 d)。iDMS PLI-2004BXは非常に大きなポテンシャルを有しており,使い方次第で優れた威力を発揮すると思われる。
腹部超音波検査の中でも小児の胆道閉鎖症の診断は重要であるが,きわめて困難である。胆道閉鎖症には大きく4つの病型があり,肝門部から総胆管のレベルまで管腔が認識できればほぼ胆道閉鎖症を否定できるが,乳児では胆管径が1mmほどしかなく,通常のプローブでの観察は難しい。しかし,iDMS PLI-2004BXでは胆管が明瞭に観察可能であり,実際に当院の胆道閉鎖症疑い症例では管腔が十二指腸乳頭まで保たれていることが確認でき(図18),胆道閉鎖症を明確に否定できた。もし否定できなければ侵襲的な術中造影しか確定診断の手段がないことを考えると,追加の検査が不要になる意義はきわめて大きい。
図19は胃がんであるが,12MHzのプローブでは結節の有無は確認できない(図19 a)。結節があればステージ4で手術適応なしとなるが,結節がなければ深達度によっては手術適応ありとなり,この診断が運命を左右すると言える。そこで,iDMS PLI-2004BXで確認したところ結節が明瞭に認められ(図19 b),自信を持ってステージ4,手術適応なしと診断できた。このような症例では,特に腹膜をしっかり観察する必要があるが,20MHzのプローブではより正確な診断が可能であり,積極的に使用するべきと考えている。
図15 Aplio iシリーズ専用高周波リニアプローブiDMS PLI-2004BX(20MHz)
図16 iDMS PLI-2004BX(20MHz)による悪性黒色腫の描出
図17 丹毒における12MHzプローブ(b)とiDMS PLI-2004BX(20MHz)(a,c,d)の比較
図18 小児の胆道閉鎖症におけるiDMS PLI-2004BX(20MHz)を
用いた胆管の描出
図19 胃がんにおける12MHzプローブ(a)と
iDMS PLI-2004BX(20MHz)(b)の比較
まとめ
新開発のコンベックスプローブiDMS PVI-475BXは,高ペネトレーションかつ高分解能を実現し,スクリーニングから診断まで使用可能である。これにより6MHzプローブが不要となり,コスト削減につながるほか,プローブを切り替える手間もなくなると考えている。
Smart Sensor 3Dでは,C planeの臨床的有用性が向上したほか,Shadow Glassなど,より進歩した高精細な3D画像が得られるようになった。
20MHzリニアプローブのiDMS PLI-2004BXでは,非常に優れた空間分解能とSMIの感度向上により,術中エコーをはじめ,幅広い領域できわめて明瞭な画像を得ることができる。
畠 二郎(Hata Jiro)
1985年 自治医科大学医学部卒。現在,川崎医科大学検査診断学(内視鏡・超音波部門)教授。
専門領域:消化器病学,超音波診断学,特に消化管と急性腹症の超音波診断。
- 【関連コンテンツ】
