セミナーレポート(キヤノンメディカルシステムズ)
2026年3月号
JDDW 2025 KOBE ランチョンセミナー54 胆膵内視鏡診断・治療を究める ─ Ultimax-i をどう上手に使いこなすか─
〈講演2〉Interventional EUS
北野 雅之(和歌山県立医科大学消化器内科 )
和歌山県立医科大学では、キヤノンメディカルシステムズ社製CアームX線TVシステム「Ultimax-i」と超音波診断装置「Aplio i800」、オリンパス社製内視鏡スコープ「GF-UCT 260」を用いてInterventional EUS治療を行っている。本講演では、これらのハイエンド装置を活用した最新の検査・治療環境における手技や新たなデバイス開発などについて紹介する。
ハイエンド装置を用いたInterventional EUS治療
当大学では、学内10名、学外9名の胆膵内視鏡医が胆膵治療を行っている。超音波内視鏡下穿刺吸引法(EUS-FNA)は約5件/週、Interventional EUS治療は約2件/週を行っており、年間の施行件数は2016年のEUS-FNA95件、Interventional EUS治療23件から、2024年にはそれぞれ223件、89件に増加している。
当大学の内視鏡透視室は6.2m×6.2mと広く、Ultimax-iはコンパクト設計で壁ピタ設置が可能なため、十分なワークスペースが確保できている(図1)。今回、新たに内視鏡透視室を構築するに当たり、キヤノン社とオリンパス社から、2社がコラボした内視鏡透視室の提案を受けた。透視装置、内視鏡装置それぞれのプロである2社が連携して提案してくれることは内視鏡医にとって大変心強く、透視装置やモニタ、レコーダ、内視鏡装置、超音波画像診断装置などモノの選定だけでなく、検査動線を考えたレイアウトの提案を受けることができた。検査室内のモニタには、透視像や手技風景カメラ画像、内視鏡画像、胆道鏡画像などを表示するほか、ワンタッチで個別録画が可能で、情報が集約できるシステムを構築し、学会や教育などに非常に役立っている(図2)。
Ultimax-i は術者の被ばく線量が低減可能なアンダーチューブ型で、防護垂れの併用により水晶体被ばくを98%低減できる〔キヤノンメディカルシステムズ(株)調べ〕。
図1 当大学の内視鏡透視室
多くの処置具や内視鏡装置、超音波診断装置を設置可能なスペースが確保できている。
図2 キヤノン社とオリンパス社がコラボした検査·治療環境の構築
Ultimax-iを用いたEUS-HGS手技
2016年のメタアナリシスでは、超音波内視鏡下胆道ドレナージ(EUS-BD)は技術的成功率が高い半面、偶発症発生率は23%と高く、特に胆汁漏出(17%)やstent migration(12%)などが課題であった。しかし、近年はステント長の長い製品の使用などにより、偶発症発生率が減少している。われわれが2018 ~ 2022年に行った多施設共同研究(18施設)では、EUS-BD616例〔うち、超音波内視鏡下肝管胃吻合術(EUS-HGS)が79.1%〕の偶発症発生率は13.6%、stent migrationは1.1%と改善が見られた。
EUS-HGSは、(1)胃から肝内胆管に穿刺、(2)ガイドワイヤ挿入、(3)穿刺部拡張、(4)デリバリーシステムによるステント留置、の4ステップで行う。
(1)穿刺
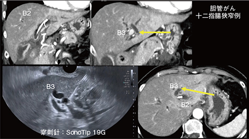
左肝内胆管(B2)への穿刺は、経食道で行うと縦隔炎を引き起こすリスクがある。
そのため、われわれはできるだけ下方にアプローチし、B3への穿刺を選択している(図3←)。Aplio i800ではB2/B3合流部や穿刺針の先端が明瞭であり(図3)、スタイレットを挿入し、胆管内に小バブルを確認することで造影剤を注入せず胆管への穿刺を確認できる。穿刺後は胆汁をできるだけ多く吸引し、胆管逆流に伴う合併症などの有害事象を防ぐことが重要である。
なお、Ultimax-iのCアームの検出器部分は非常にコンパクトで、操作中の内視鏡と接触することはない。また、透視像内の視認しにくいデバイスや造影剤を強調する新しい画像処理条件「Accent」の適用例では、穿刺針と胆管内の造影剤が同時に視認でき、より安全な手技が行えている。
図3 左肝内胆管への穿刺(胆管がん・十二指腸狭窄例)
(2)ガイドワイヤ挿入
図4は、胆管(B3)の描出に角度を合わせたUltimax-iの画像(LAO15°/CRA7°)で、椎体に重なっているにもかかわらずガイドワイヤの視認性が良い。Accentを適用しており、ガイドワイヤの透過部- 不透過部間のコントラストも明瞭で、視認性が向上している。
当大学では、ガイドワイヤの意図せぬ抜去を防ぐため、必ずダブルガイドワイヤ法を用いている。ガイドワイヤを2本使用することでスコープの安定性や追従性が向上するため、シングルガイドワイヤに比べて手術成功率が高く、合併症発生率が低いとの報告がある。
EUS-BDでは穿刺針(ステント)と胆管軸に垂直にCアームを回転させ、穿刺針や胆管走行を正確に描出することが重要である。
Cアームの左右回転(LAO/RAO)により穿刺針や胆管の屈曲が明瞭に確認でき、さらにAccent適用でガイドワイヤの視認性が向上する。また、Cアームは上下方向(CRA/CAU)にも回転可能で、Cアームを下側に振ることで肝内胆管の分岐を鮮明に描出可能である。
図4 Cアームによる胆管描出に合わせた角度づけ(幽門側切除・R-Y再建後胆管結石・DB-ERCP困難例)
(3)穿刺部拡張
近年、穿刺部拡張が不要なデバイスも登場したが、手技が難渋する場合はテーパーをかけたカテーテルやバルーンカテーテル、高周波カテーテル、ドリルダイレーターなどの拡張用デバイスを使用する。
(4)ステント留置
stent migration防止にはステント長が長い製品が望ましい。当大学では、プラスチックステントでは「Through & Pass Type IT 7Fr.」(Gadelius Medical社)を最も多く使用している。プラスチックステント留置の際は、Cアームを上下左右に回転させ、ガイドワイヤの挿入角度が緩やかな部位にステントを留置する。図5は、造影剤などの影響はあったが、Accent適用でステント位置を確認し、最終的にThrough & Passステントを留置した一例である。
図5 Accent適用により視認性が向上 (胆管がん・十二指腸狭窄例)
拡張機能を有するデリバリーシステムの開発
金属ステントは細径デリバリーシステムやスプリングストッパータイプなどがあるが、細径で拡張機能を有したデリバリーシステムがEUS-BDに適している。また、EUS-HGSの4ステップのうち、穿刺部拡張をスキップすることで安全性が向上すると考え、拡張機能を有した細径デリバリーシステムの研究開発を企業と行ってきた。動物実験では、Tシェイプタイプ(7Fr)の挿入が最も容易であった1)。EUS-BDにおいて7Frと5.9Frのステントを用いた検討では、合併症発生率はそれぞれ13%、43%であり、細径デバイスで拡張操作を省略した方が手技を安全に行えることが示された2)。
なお、stent migrationの防止にはアンカリング効果が強いステントが望ましい。近年発売されたanti-migration機能を持つ細径(7.2Fr)のデリバリーシステムは、国立研究開発法人日本医療研究開発機構(AMED)の医師主導治験では技術的成功率が100%、臨床改善率は92%、有害事象発生率は11%という結果が得られ、「Zeo Stent HS」(ゼオンメディカル社)として保険収載された3)。
Ultimax-iを活用したInterventional EUSの症例
●症例1:膵がん・十二指腸狭窄例(図6)
本症例は、胆管を中心に確認しながらステントを挿入、リリースした。胆管の角度と肝臓の穿刺ラインは若干異なるため、肝臓側のステントが最も長く見える箇所までCアームを回転させ、リリースの程度を確認することが重要である。また、胃と肝臓が密着した状態で行うチャネル内リリースにより、stent migrationを予防できる。
図6 症例1:膵がん・十二指腸狭窄例
●症例2:肺がん・十二指腸再発例(図7)
本症例は、胆管の角度が急でデリバリーシステムの挿入が困難であった。体位変換が困難な場合、Cアーム導入以前は苦労しながら拡張操作を行っていたが、現在はCアームにより深い角度づけが可能であり、特にUltimax-iでは高画質な画像下で行える。
図7 症例2:肺がん・十二指腸再発例
まとめ
内視鏡技術の進展やデバイス開発により、Interventional EUS治療では偶発症が減少している。また、キヤノンメディカルシステムズ社とオリンパス社がコラボレーションした最新の検査・治療環境は、十分なワークスペースと高精度な画像描出、録画機能を有している。加えて、超音波画像診断装置の解像度・深達度の向上や、Accent適用による透視像のデバイスの視認性の向上、Cアームの活用により、さらなる正確な穿刺や安全な治療が可能である。
●参考文献
1)Minaga, K., Kitano, M., et al. : J. Med. Ultrasonic., 45 : 161-165, 2018.
2)Itonaga, M., Kitano, M., et al. : Surg. Endosc., 38 : 2288-2296, 2014.
3)Itonaga, M., Kitano, M., et al. : Gastrointest. Endosc., 101: 970-978, 2025.
*記事内容はご経験や知見による、ご本人のご意見や感想が含まれる場合があります。
一般的名称:据置型デジタル式汎用X線透視診断装置
販売名:多目的デジタルX線TVシステム Ultimax-i DREX-UI80
認証番号:221ACBZX00010000
一般的名称:汎用超音波画像診断装置
販売名:超音波診断装置Aplio i800 TUS-AI800
認証番号:228ABBZX00021000
類型:Aplioi800 EUS
- 【関連コンテンツ】
