高精細CTのエビデンスと臨床活用胸部
岩澤 多恵(神奈川県立循環器呼吸器病センター放射線科)
Session2 高精細CTのエビデンスと臨床活用
2022-11-25
胸部におけるキヤノンメディカルシステムズの高精細CT「Aquilion Precision」のエビデンスについて,肺がん,新型コロナウイルス感染症(COVID-19)肺炎,間質性肺炎,気管支の描出を中心に紹介する。
■肺がん
肺がんを疑わせるすりガラス状結節が,病理学的に浸潤癌かどうかは,患者の予後や治療方針の決定に重要である。高精細CTでは,末梢の細気管支まで描出でき,結節内部の細気管支透亮像の形態や連続性が評価可能となっている。梁川らは,0.25mm・2048マトリックスの高精細CTと病理像とを比較し,上皮内腺癌(AIS)と,低浸潤性腺癌(MIA),浸潤性腺癌(IVA)の境界について,“充実成分の径が0.8cm以上”で,“病変内の細気管支の途絶”の2つの因子が浸潤性と関係が高いと報告した1)。高精細CTは,肺がんの浸潤性の予測に役立つことが示された。
■COVID-19肺炎
肺がんの報告からもわかるように,高精細CTでは,終末細気管支から呼吸細気管支にかけての小葉中心構造が,従来CTよりはっきり認識できる。この結果,従来CTでは小葉間隔壁で囲まれたMillerの二次小葉までしか認識できなかったが,高精細CTでは,気管支の分岐パターンで定義されているReidの二次小葉が認識可能となった(図1)2)。正常な肺では,Reidの二次小葉は肺のどの領域でもほぼ1cm程度の大きさであることがわかっており,これを利用すれば局所の肺の容積減少が評価できる。
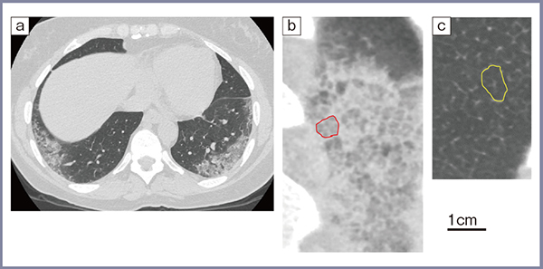
例えば,図2に示すようにCOVID-19肺炎では病変部分(b)の二次小葉が正常部分(c)に比較して小さいが,これは局所の肺胞の虚脱を反映する所見と考えられる3)。
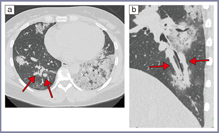
COVID-19肺炎では病変部分の血管拡張が見られることも重要な所見である(図3)。正常な肺では局所の換気が低下すると末梢の肺動脈が収縮し,換気低下部位の肺動脈血流も低下する。これをhypoxic vasoconstrictionと呼ぶ。しかし,COVID-19肺炎ではこの機能が障害され,病変部分に多量の血液が流れる結果,低酸素血症を助長すると考えられている。われわれは,高精細CTでCOVID-19肺炎の症例の血管径を測定し,酸素投与を必要とするような肺炎では血管が太いことを報告した4)。
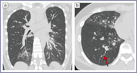
ところで,第7波で見られたオミクロン株では,パンデミック初期に見られた末梢優位,非区域性の斑状病変とは画像パターンが異なり,区域性に病変が広がり,気管支壁肥厚も目立つことが報告されている5),6)。図4は第7波(2022年7月)の症例だが,気管支血管束に沿った淡いすりガラス影(a)や,気管支壁肥厚(b)が見られる。本症例は,10歳代,男性で,CT撮影は120kV,60mA,1.3mSvの低線量で撮影している。当施設では,被ばく低減を考慮し,特に若年者では積極的に,低線量CTを施行している。Aquilion Precisionでは画像再構成技術を含め,低線量でも精度の高い画像が得られている。
図1 摘出肺の高精細CT画像2)
図2 60歳代,女性,COVID-19肺炎(2020年の症例)3)
a:高精細CT軸位断像 b:病変部分の冠状断拡大像 c:正常部分の拡大像
図3 30歳代,女性,中等症ⅡのCOVID-19肺炎(2020年の症例)4)
a:高精細CT軸位断像 b:病変部分の斜位断拡大像
図4 10歳代,男性,中等症ⅡのCOVID-19肺炎 (2022年の症例)
■間質性肺炎
1.非特異性間質性肺炎(NSIP)
NSIPは,特発性間質性肺炎の病理・画像パターンの一つで,強皮症などの膠原病肺で多く見られる。NSIPは,病理学的には小葉内にびまん性に広がる肺胞壁の細胞浸潤や線維化を特徴とし,従来のCTでは,「すりガラス影」と表現されることも多かったが,高精細CTでは細かい線から構成される網状病変として認識できるようになった。図5に,生データの段階でノイズを加えることで従来のCTで撮影したかのように加工したシミュレーション画像(a)と高精細CTの画像(b)の比較を示す。高精細CTでは1本1本の線がよりシャープに観察できる。われわれは,これについてRSNA 2021で発表した。
図5 30歳代,男性,NSIPのシミュレーション画像と高精細CTの比較
2.慢性過敏性肺炎
RSNA2021では,高精細CTによる慢性過敏性肺炎の診断についても報告した。高精細CTでは,線維化によって生じる牽引性気管支拡張や粒状影が明瞭に描出でき,3名の診断医による牽引性気管支拡張の診断能の評価でも,より末梢まで気管支拡張が追えるという結果が得られた。この結果,従来のCTより過敏性肺炎の診断能は向上したが,特発性肺線維症との鑑別についてはさらなる検討が必要と考えている。
3.気道病変の定量化
これまで述べたように,Aquilion Precisionでは,末梢の気管支の描出能が向上し,1024×1024マトリックス,0.25mm厚の高精細画像を基に,3Dワークステーション(WS)を用いて末梢の気管支を抽出し,3D画像で観察することが可能になった(図6)。われわれは,これを用いて間質性肺炎における気道病変の定量化に取り組んでいる。
リウマチ肺では,気管支壁への炎症細胞浸潤や気管支壁の肥厚,壁の破壊が起こり,閉塞性細気管支炎や破壊性細気管支炎を来す。リウマチ肺では比較的軽症の場合や間質性肺炎が認められない症例でも気道病変が見られることがしばしばあり,病態の把握のためには気道病変の定量化が重要となる。
ところで,慢性閉塞性肺疾患(COPD)の領域では気管支全体の内腔体積を算出し肺全体の体積に対する割合を求める手法(AWV%)が提案され,COPDの臨床症状や各種指標と相関することが報告されている7)。また,田辺らは,高精細CTではより細い気管支の描出能が向上し正確に測定できる可能性があることを報告している8)。
われわれはこれをリウマチ肺に応用し,Aquilion Precisionで撮影した1024×1024マトリックスの画像をWSで解析し,右肺下葉の体積に対する右肺下葉気管支の体積の割合(AWV%rl)を測定した。当施設の小口らの検討では,DLcoなどの呼吸機能検査との相関が見られ,リウマチ肺の評価に有用と考えられた9)。
図6 50歳代,女性,関節リウマチに伴う間質性肺炎
a:高精細CT矢状断像 b:気管支3D画像 c:気管支3D画像の左肺の拡大像
■まとめ
高精細CTでは胸部における空間分解能が向上し,より末梢の気管支まで描出,同定できるようになった。高精細CTにおける,すりガラス状結節内部の気管支透亮像,およびその途絶は,肺がんの浸潤性の予測に役立つ。びまん性肺疾患においても,高精細CT画像は診断能の向上や病態の評価に役立つと考えられる。
*記事内容はご経験や知見による,ご本人のご意見や感想が含まれる場合があります。
*AiCEは画像再構成処理の設計段階でAI技術を用いており,本システム自体に自己学習機能は有しておりません。
●参考文献
1)Yanagawa, M., et al., Radiology, 297(2) : 462-471, 2020.
2)岩澤多恵,武村民子, 画像診断増刊号, 40(11), A140-A153, 2020.
3)Iwasawa, T., et al., Jpn. J. Radiol., 38 : 394-398, 2020.
4)Aoki, R., et al., Jpn. J. Radiol., 39(5) : 451-458, 2021.
5)Tsakok, M.T., et al., Radiology, 220533, 2022(Online ahead of print).
6)Yoon, S.H., et al., Radiology, 220676, 2022(Online ahead of print).
7)Tanabe, N., et al., Thorax., 76(3) : 295-297, 2021.
8)Tanabe, N., et al., Respir. Investig., 56(6) : 489-496, 2018.
9)小口 翼,他, 第80回日本医学放射線学会総会, CyPos(ROP38-4), 2021.
一般的名称:全身用X線CT診断装置
販売名:CTスキャナ Aquilion Precision TSX-304A
認証番号:228ACBZX00019000
- 【関連コンテンツ】
