セミナーレポート(富士フイルムメディカル)
一般社団法人日本心エコー図学会第32回学術集会が,2021年4月23日(金)〜25日(日)の3日間,Web開催された。25日には,富士フイルムヘルスケア株式会社(旧:株式会社日立製作所)共催のランチョンセミナーLS8「これで診断していいの? 心不全」が行われた。わが国においては,心不全の新規発症患者が年間1万人以上増加する “心不全パンデミック”の到来が予想されており,心不全の予防や早期診断が望まれている。そこで,本セミナーでは,座長の中谷敏氏(社会福祉法人恩賜財団 大阪府済生会千里病院院長)の下,超音波診断装置に搭載されている注目の技術“Vector Flow Mapping(VFM)”の臨床的有用性や可能性が議論された。はじめに,鍵山暢之氏(順天堂大学循環器内科 / デジタルヘルス遠隔医療研究開発講座)が講演。続いて,大門雅夫氏(東京大学医学部附属病院検査部 / 循環器内科)と楠瀬賢也氏(徳島大学病院循環器内科)が症例提示を行い,最後に,これらを踏まえて登壇者全員によるディスカッションが行われた。
2021年8月号
一般社団法人日本心エコー図学会第32回学術集会ランチョンセミナーLS8 これで診断していいの? 心不全
講演Report 機械学習を用いたVector Flow Mapping─意義の考察
鍵山 暢之(順天堂大学循環器内科 / デジタルヘルス遠隔医療研究開発講座)
わが国においては現在,“心不全パンデミック”が大きな話題となっている。心不全の進展は,心臓病のリスクを認めるステージAから重症心不全のステージDまで4つのステージに分類されるが,より早いステージで高リスク患者を発見し,治療介入していくことが求められる。心不全の診断に当たり,最も多用される画像診断ツールは心エコーであり,さまざまなエコー指標が用いられている。本講演では,それらのエコー指標を踏まえ,近年注目されている心エコーの新機能の一つである“Vector Flow Mapping(VFM)”について考察する。
心不全の早期診断における課題
従来の心エコーの指標のうち,左室拡張末期径/収縮末期径(LVDd/Ds),左室駆出率(LVEF)などは,ステージBの一部である左室機能不全のみしかとらえることができず,さらに,左房機能不全評価の指標である左房容積係数(LAVI)などを追加しても,心臓の構造的な異常がなければステージAの患者をとらえることはできない。また,スペックルトラッキング法を用いてGlobal Longitudinal Strain(GLS)やLA strainなどを計測することで,ステージAの患者の中からより高リスクな患者を拾い上げられる可能性はあるが,まだ一般的な方法とは言い難い。つまり,ステージAやBの中から初期の心不全患者を拾い上げることは,心不全のリスク評価におけるアンメットニーズとなっている。
こうした状況の中,現在注目されているトレンドの一つが心腔内の血流解析である。MRIによる血流解析では,拡張期に左房から左室に血液が流入すると僧帽弁の周りに血流の渦ができ,それが等容性収縮期の血流の方向転換に役立っていることや,さまざまな血流の渦が心臓内の効率的な血液の駆出を助けることが報告されている1)。したがって,駆出の効率が悪化することは,心不全の前触れであると考えられている。一方,MRIによる3D解析は有用ではあるが,撮像時間が長く高額であることや,ベッドサイドで施行できないなどの課題がある。臨床でスクリーニングとして用いるには,心エコーによる心腔内の血流解析が適しており,それを可能とする血行動態の可視化技術がVFMである。
VFMの概要
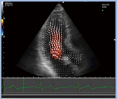
VFMは,2Dカラードプラ法とスペックルトラッキング法から血流速度を計算し,可視化する手法である。測定方法は非常にシンプルで,VFMの解析ボタンを押し,心臓壁のトレースを行うことにより,自動で各心拍でトラッキングを行い,10秒ほどで自動解析が行われる。VFMの表示方法にはさまざまなものがあり,速度ベクトル表示(図1)のほか,エネルギー損失や渦の大きさ・位置・速さ,相対的圧較差,シアストレスなど,多数のパラメータを計測することができる(図2)。
図1 VFMの解析結果:速度ベクトル表示
図2 VFMで計測可能なパラメータ
VFMの臨床的意義
VFMで得られる多数のパラメータについて,臨床的意義が十分に解明されていない。そこで,われわれは,人工知能の手法の一つである機械学習を用いて患者類似度を見ることで,VFMのパラメータの意義に迫ろうと考えた。
患者類似度とは,例えば複数の患者を1つのパラメータのみで判断する場合,数値が近似している患者同士は類似していると言うことができる。しかし,ほかにも複数のパラメータが与えられ,それぞれ数値が近似しているものとしていないものがあった場合は,その患者同士が類似しているかどうかを判断することは困難となる。そこで,われわれは,機械学習を用いてさまざまなパラメータを定量的に解析し,患者類似度マップ(図3 a)を作成した2)。マップに描かれている1つ1つの点は患者を示している。類似度の高い患者ほど近くに配置され,結果としてCluster Iに最も心不全が軽症,Cluster IVに最も重症の症例が集まっている。心不全の病状は徐々に進行するため,それぞれの患者は病状が進むにつれてこのマップの中を徐々に移動していくと考えられる。つまり,このマップは心不全の自然歴の経過を模擬的になぞっているととらえられる。この図ではマップをGLSで色づけしており(軽症:緑→重症:赤), ClusterⅠの患者は緑や黄色が多く,Cluster Ⅳではほぼ赤となる。これらの患者の予後を見ると,重症度とよく相関していることがわかる2)(図3 b)。
また,各Clusterの患者の渦のパラメータを見ることで,心不全の進展に伴う渦の変化をとらえられると考えている。例えば,渦の大きさはClusterⅠでは大きいが,心不全の進展に伴って小さくなり,最重症化すると左室が拡大するため渦も大きくなる。エネルギー損失はClusterⅠでは少ないが,心不全の進展に伴って大きくなり,最重症化するとエネルギー全体が小さくなるためエネルギー損失も少なくなる。
さらに,各Clusterの病期分類に有用なパラメータについて検討したところ,従来のエコーパラメータのみと比較して,スペックルトラッキングとVFMを追加した場合,特にClusterⅡとⅢでは診断精度が大きく向上した2)(図4)。なかでも,診断精度の向上におけるVFMの各種パラメータの影響度は大きく,VFMの臨床的意義が示唆された。
図3 患者類似度マップ(参考文献2)より引用改変)
図4 スペックルトラッキングとVFMを踏まえた病期分類(参考文献2)より引用改変)
まとめ
機械学習を用いたわれわれのアプローチでは,VFMが心不全の病期分類に有用であることが示唆された。また,心不全の自然歴における各種パラメータの移り変わりを推定することができた。
●参考文献
1)Sengupta, P.P., et al., JACC Cardiovasc. Imaging, 5(3) : 305-316, 2012.
2)Cho, J.S., Kagiyama, N., Sengupta, P.P., et al., JACC Cardiovasc. Imaging, 13(8) : 1655-1670, 2020.
- 【関連コンテンツ】
