技術解説(富士フイルムメディカル)
2016年9月号
MRI技術開発の最前線
日立3T MRI装置「TRILLIUM OVAL」における32チャネル頭部用受信コイル
八杉 幸浩((株)日立製作所ヘルスケアビジネスユニット)
日立の「TRILLIUM OVAL」(図1)は,オーバル形状のワイドボアを特長とした3T MRI装置である。RF系には4チャネル独立照射システムを搭載し,B1不均一の改善を図った装置である。今回,頭部用の高感度受信コイル「Headコイル32」(図2)を新たに開発し,搭載した。Headコイル32は32チャネル受信システムに対応したマルチエレメント受信コイルであり,特に受信信号が128MHzと高周波になる3T MRI装置ではエレメントの多数化が有効であるとされている。
受信コイルのチャネル数増加はエレメント(受信素子:コイルの構成要素)サイズの最適化に伴う受信感度の大幅な向上,パラレルイメージング撮像におけるパラレルファクタの増大による撮像時間短縮といった効果が期待される。
本稿では,日立が開発した頭部用の高感度受信コイルについて紹介する。
図1 TRILLIUM OVAL |
図2 Headコイル32 |
■マルチプルアレイコイル技術
受信コイルの感度は画質に大きく影響するため,従来から技術開発が続けられている。一般的に受信コイルの感度は撮像視野範囲と相反しており,視野を広げると受信感度は低下する傾向にある。そこで図3に示すように,小径の受信コイルエレメントを被検者を包むように多数配置して,高い受信感度と広い範囲の撮像を可能にする技術がマルチプルアレイコイルと呼ばれている。ここで重要な点は,互いのコイルエレメントの独立性である。電磁的結合が生じると大きなエレメントと同様な作用となり,受信感度の向上は得られない。受信感度とエレメントサイズの関係は,シミュレーションによると直径を半分にすることで,おおよそ2倍の感度となることが計算された。
この感度向上は受信効率の低下する高磁場装置で顕著であり,3T MRI装置では特に有効な画質改善手段である。ただし,コイルエレメント近傍での感度が上昇するため,受信感度の均一性は低下する傾向にある。このため,感度の均一補正処理技術を併用する必要がある。
さらに,マルチプルアレイコイルは,その受信感度の限局性を利用して位相エンコード数間引き設定による折り返し画像を展開する技術,パラレルイメージングの実現にも重要である。撮像時間の短縮率となるパラレルファクタは,理論的にはコイルエレメント数に比例して増加できる。したがって,受信コイルの多チャネル化は撮像時間の短縮にも寄与する。また,このパラレルファクタの増加は,シングルショットEPI撮像におけるエコー数の低減も実現し,DWIなどの画質向上にも効果があることが知られている。
図3 マルチプルアレイコイル
■コイルデザインの最適化
受信コイルを設計する際,その形状とサイズの設定が重要である。本コイルの設計に当たり,日本人・欧米人の人体頭部統計データから最適な形状とサイズを求めた(図4)。また,長さサイズは頸動脈分岐部まで撮像可能な長さに設定した。使いやすさに関しても,上部のアタッチメントを片手で開閉できる軽さと容易なロック機構を実現している。
図4 デザインの最適化
■感度比較と画像例
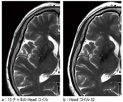
開発した32チャネルコイルの感度を従来の15チャネル頭部用受信コイルと比較した。図5に示すように,感度の均一性は従来コイルの方が良好であるが,受信感度の差はコイル中心部で1.36倍,頭表付近では2倍以上の感度向上が図られている。
コイルエレメント数が増えたことにより,32チャネルコイルに最適化した撮像条件と15チャネルコイルにてほぼ同一の撮像時間で撮像した頭部画像例を図6に示す。図は拡大して提示しているが,32チャネルコイルでは画像SNRの改善によりノイズが低減し,空間分解能の向上も得られている。
図7はMRAの画像比較であるが,特に頭部周辺の末梢血管部において感度の向上が顕著であり,描出能が大きく向上している。
1024マトリックス撮像による高精細画像例を図8に示す。コントラストが高く,白質,灰白質の境界も明瞭に描出されており,高い空間分解能により組織標本のような画像が得られている。
図5 受信感度の比較
図6 画像の比較(拡大画像)
図7 画像の比較(MRA)
図8 Headコイル32 高精細画像
◎
日立は,3T MRI装置における32チャネル頭部用受信コイルを開発した。サイズの最適化とエレメントサイズの小型化により高感度を実現し,さらにパラレルイメージング技術の併用により撮像時間の短縮を図った。従来の15チャネル頭部用受信コイルと比較して,頭表部位では2倍以上の感度向上が得られ,特にMRA撮像や3D高速撮像において威力を発揮し,臨床上有用な画像が得られるものと期待される。
●問い合わせ先
株式会社日立製作所
ヘルスケアビジネスユニットマーケティング本部
〒110-0015
東京都台東区東上野2-16-1
上野イーストタワー
TEL:03-6284-3100
www.hitachi.co.jp/healthcare
