技術解説(GEヘルスケア・ジャパン)
2013年4月号
Cardiac Imagingにおけるモダリティ別技術の到達点
心臓MRIにおける最新技術
貝原 雄(MRセールス&マーケティング部)
MRIは,心臓の形態や機能に関する情報が客観的かつ比較的低侵襲に得られるという特長があり,虚血性心疾患や心筋症などにおいてその有用性が多数報告されている。さらに,近年では,3T MRIの普及や心臓専用の多チャンネルコイルの開発により,高精細な心臓MR画像が比較的短時間で得られる時代になりつつあることから,改めて注目を集めている分野である。
本稿では,安定した画像を得るためのハードウェアと撮像アプリケーション,ワークステーションによる解析機能をいくつか紹介する。
■ハードウェア技術の開発と撮像アプリケーション
1.高性能マグネットとマルチドライブ
患者ごとに形状が異なり,周辺に空気(肺)や胸水等が存在する心臓のMRI検査は,安定して高画質な画像を得るのが原理的に難しい部位の1つと言える。さらに,近年普及している70cmボアタイプの3T MRI装置では,静磁場の均一性(B0)とRF均一性(B1)という根本的なハードウェアの課題をクリアしなければ,心臓領域において3Tの高いSNRの恩恵や,最新のアプリケーションによる安定した画質を得ることは難しい。
そこで,「Discovery MR750w」では,高性能シムチップの搭載により静磁場均一性(B0)を向上させ,世界最高クラスの均一性(0.27ppm,40cmDSV,標準値)を持つマグネットを実現している。また,RF均一性(B1)に関しては,2アンプ送信4ポイントの給電点を有し,かつ体組成を考慮したRF送信技術(マルチドライブ)(図1)を用いて,これらの課題をクリアしている。
図1 RF均一性(B1)向上のための技術変遷
2.MR Echo
心臓MRI検査では,複数回の息止めにより複雑な断面(短軸,長軸,2chamber,4chamber等)設定が必要であった。“MR Echo”は,専用のユーザーインターフェイス(図2)を有し,自由呼吸化でリアルタイムに撮像断面を決定できるアプリケーションである。患者の息止め回数を低減するだけでなく,不整脈の患者や息止めのできない患者においても,同期なしで簡易的なリアルタイムシネ撮像が可能であることから,心臓検査のスループット向上と,患者の負担低減が可能となる。
また,心筋パーフュージョン撮像では,GRE法とステディステート法が画面上でワンクリックで変更可能で,状況に応じたパラメータ変更も簡便に行える。
図2 MR Echoによるリアルタイムシネ撮像画面
3.Cine IR
“Cine IR”は,心筋LGE撮像における最適なnull pointを決定するアプリケーションである。IRパルスを印加後,マルチフェイズのFGRE-Cine撮像を行うことで,異なるTI値でのデータを同時に取得する。IRパルスには,Adiabatic Inversion Recovery法を採用しており,3T MRIにおいても均一に心筋信号の抑制が可能となっている(図3)。
また,上記以外でも,心アミロイドーシスやびまん性線維症等,健常者と比較して心筋のT1緩和時間に差が生じうる疾患における簡易的な検査法としても期待が持たれている。
図3 陳旧性心筋梗塞PCI後(3か月)
a:Cine IR b:LGE画像
4.3D Heart
冠動脈の狭窄評価にはMDCTが一般的だが,小児や高度石灰化の患者,腎機能が低下している患者において,MRIを用いた非侵襲的な冠動脈スクリーニングを行う施設は増加傾向にある。
“3D Heart”は,マルチスラブ法と横隔膜同期を用いたスラブトラッキング併用の非造影冠動脈撮像法であり,データ収集は3D FIESTA法とIR prep併用のFGRE法の2種類が選択可能である。従来法と比較して,マルチスラブ法やスラブトラッキングを用いた3D Heartでは,撮像中の患者の呼吸変化や心拍変動による画質劣化を軽減し,より安定した撮像が可能となっている。その結果,遠位部の血管描出能や左回旋枝の描出能が向上し,検査の成功率も上がっていると報告されている1)(図4)。
図4 3D Heartによる冠動脈撮像
a:ボリュームレンダリング像(Advantage Workstation使用)
b:リフォーマット像
■Advantage Workstation VS5 plusによる解析
ワークステーションによる正確な解析や簡便なレポーティング機能は,心臓MRI検査において撮像と並行して非常に重要な要素である。以下に,GE社製のワークステーション「Advantage Workstation Volume Share 5 Plus」における心臓MRI解析について紹介する。
1.Cardiac Viewer
“Cardiac Viewer”は,心臓MRI専用のビューアであり,シネやパーフュージョン,LGEの画像がビューア起動時に自動的に認識される。Review Stepsと呼ばれる複数のプリセットパターンの画像表示がワンクリックで切り替え可能であり,例えばマルチスライス,複数断面のシネ画像を同時に表示したり,シネ画像とLGE画像の比較や,パーフュージョン画像とLGE画像の比較が可能な画面へと,Review Stepsのボタンを押すことで簡単に切り替えることができる(図5)。
図5 Review Stepsによる簡便な画像切り替え
2.Cardiac VX
“Cardiac VX”は,6つのモードを持つ心臓MRIの解析・レポーティング用アプリケーションである。新しいGuided User Interfaceを搭載し,従来の解析ソフトウェアと比較して,より直感的で簡便な操作性を実現している。6つのモードでは,それぞれ心機能解析,血流解析,パーフュージョン解析,LGE解析,PFO(卵円孔開存症)解析,T2*マップ解析が可能であり,ソフトウェアが起動された時点で解析に必要なデータだけが自動的に選択される。
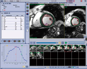
心機能解析においては,左室および右室の解析が可能であり,わずか数クリックで心筋内膜と外膜がトレースされるようになった。従来ソフトウェアと比較して,トレース精度が大幅に向上し,乳頭筋の除去もボタン1つで切り替えられるため,よりスムーズな解析が可能となっている(図6)。
血流解析においては,半自動の血管壁検出アルゴリズムを搭載し,Cine-PCのデータから簡便にピーク流速,フローレイト,ポジティブ/ネガティブフロー等が算出される。また,大動脈と肺動脈におけるフローから,Qp/Qs測定が可能なツールも搭載された。
図6 Cardiac VX(左室解析の画面)
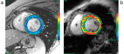
また,T2*マップ解析では,マルチエコーのSegmented FGRE法を用いた撮像アプリケーション(StarMap)で得られたデータから,T2*減衰の差をカラーマッピング(R2*/T2*マップ)することが可能で,ROIを設定することでR2*やT2*の数値が表示される。これにより,心筋における鉄沈着を間接的に評価することが可能(図7)で,ヘモクロマトーシスやサラセミア等の疾患で臨床応用が期待されている。
図7 T2*マップ解析
a:正常心筋
b:鉄沈着の症例(赤い領域はT2*が短縮している)
最新ハードウェアによる安定した磁場・RF環境を生み出す技術と,最新アプリケーションによる簡便な撮像・解析機能について報告した。
今後も,新たな臨床価値やトータルワークフローを見据えた技術開発により,心臓MRIのさらなる発展に貢献できれば幸いである。
*画像ご提供:聖路加国際病院様,浜松医科大学様,横浜栄共済病院様
*Discovery MR750w 3.0T 医療機器認証番号:223ACBZX00061000
*アドバンテージワークステーション 医療機器認証番号:20600BZY00483000
●参考文献
1)岩城 卓 : 3D Heartの使用経験─MR Coronary Angiographyの臨床有用性. INNERVISION, 25・10(Suppl.), 16〜17, 2010.
【問い合わせ先】MRセールス&マーケティング部 TEL 042-585-9360
