技術解説(GEヘルスケア・ジャパン)
2018年4月号
Abdominal Imagingにおけるモダリティ別技術の到達点
SIGNA Works(シグナ・ワークス)─体幹部イメージングにおける技術進歩
貝原 雄(MRプロダクトマーケティング)
最近では,precision medicineやAI(artificial intelligence)というキーワードが注目されているように,患者ごとのテーラーメイドで精度の高い医療が求められる一方で,画像診断の検査自体には高いプロダクティビティが求められている。
GE社では,1.5Tおよび3TのMRI装置に共通の新しいプラットフォーム“SIGNA Works”を開発し,圧縮センシングをはじめとするスキャンの高速化や,マシンラーニング(以下,機械学習)を用いた患者ごとの呼吸自動検出など,高いプロダクティビティを実現するアプリケーションを搭載している。本稿では,SIGNA Works上のいくつかのアプリケーションについて,実際の画像とともに紹介したい。
■患者や部位によらない基本イメージクオリティの向上
1.進化した動き補正技術
体動補正アプリケーションとして広く普及しているPROPELLER法だが,SIGNA Worksプラットフォームでは,ブレード内をマルチショットに分割可能(MB:マルチショットブレード)となり,T1強調やPD強調画像,さらにはASPIR型の脂肪抑制や横隔膜同期との併用など,より体幹部領域での活用方法が広がった(図1)。
図1 体動補正機能の全身応用
(画像ご提供:社会医療法人財団石心会 川崎幸病院様)
2.新たな画像補正アルゴリズム・フィルタ技術
“reFINE(リファイン)”は,画像均一度を向上させる新しい画像補正アルゴリズムで,特に3TのマルチドライブRF送信(2アンプ×4ポート送信)と組み合わせることで,体幹部の画像クオリティ向上の効果が高い。また,“deFINE(デファイン)”は新しいフィルタ技術であり,得られた画像をより鮮明にするシャープネスフィルタや,ノイズを低減するデノイジングフィルタなど,複数フィルタを組み合わせてプリセットしておくことで,病院ごと・部位ごとに最適な画像が簡単に得られるようになった(図2)。
図2 体幹部画像クオリティの向上
(画像ご提供:Seoul National University Hospital様)
3.全身拡散強調画像(DWIBS)の機能拡張
DWI撮像時に,スライスごとに中心周波数を自動調整する“RTCF(Real Time Center Frequency)機能”が搭載され,特に広範囲のマルチスライス収集を行うDWIBSにおいて,リフォーマットした場合のスライス間の段差が大きく低減された。
アキシャル撮像→コロナルリフォーマット時のスライス間の段差を軽減するのはもちろんだが,ダイレクトコロナル撮像においても,頸部から胸部の領域にかけて,スライスごとにより正確な脂肪抑制が行え,診断精度の向上に寄与すると考えられる(図3)。
図3 コロナル撮像によるDWIBS画像(乳がん骨転移疑い症例)
(画像ご提供:社会医療法人財団石心会 川崎幸病院様)
■スキャンの高速化とプロダクティビティの向上
1.圧縮センシングと局所撮像技術
“HyperSense(ハイパーセンス)”は,圧縮センシングとバリアブルkスペースサンプリングを用いたパラレルイメージング法ARCを組み合わせた高速撮像法で,従来のパラレルイメージングのみでは実質的に難しい高いアクセラレーションファクタの臨床応用を可能とする,画期的な高速スキャン技術である。2Dスキャンにおいては前述の動き補正技術“PROPELLER MB”とARCを組み合わせることで,約30〜50%の時間短縮と動き補正を同時に実現可能である。より高速化が必要な3Dスキャンにおいては,圧縮センシングとARCを併用する(HyperSense)ことで,画質劣化を最小限に抑えながら最大50%以上の時間短縮が実現可能であり,実際に導入している施設のほとんどで全身領域において有効活用されている。
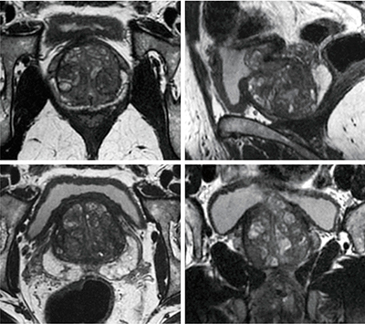
また,HyperSenseは,局所撮像技術の“HyperCube”と併用が可能なため,関心領域だけを限定してスキャンすることで,さらなる時間短縮が可能となる。実際に,従来骨盤領域で2Dスキャン3断面を撮像していた施設において,SIGNA Works導入により0.8mmアイソボクセルの3Dスキャンに変更し,空間分解能を上げながら撮像時間を45%短縮したというケース(図4)や,呼吸同期で撮像されていた3D MRCPが,HyperSenseを用いて息止め時間内でも十分診断に値する画像が得られている(図5)など,その有用性が多数報告されている。
図4 圧縮センシングと局所イメージング併用による高速スキャン
(各断面へのリフォーマット像)
(画像ご提供:Tennon Hospital様)
図5 3D MRCPの高速化と精度向上(胆石症例)
(画像ご提供:Norfolk & Norwich University様)
2.機械学習を用いた横隔膜自動検出
“Auto-Navigator Tracker機能”は,位置決め用の画像から患者ごとの横隔膜の位置を自動プロットし,最適な横隔膜トラッカー位置を半自動でセッティングする撮像アシスト機能である(図6)。横隔膜の位置検出には機械学習のアルゴリズムを用いており,患者の体格や状態によらず精度の高いトラッカー設定が可能で,従来よりも体幹部においてスムーズな検査を行うことができる。
図6 機械学習によるワークフローの簡素化(Auto-Navigator Tracker機能)
◎
本稿では,SIGNA Worksによるイメージクオリティとプロダクティビティの向上という観点で,いくつかのアプリケーションを紹介した。製品間でプラットフォームを統一化したことで,今後ますます開発スピードを加速し,臨床現場にいち早く新たなソリューションを提供できるよう努めていく。
●問い合わせ先
GEヘルスケア・ジャパン株式会社
MR営業推進部
〒191-8503
東京都日野市旭が丘4-7-127
TEL:0120-202-021(コールセンター)
www.gehealthcare.co.jp
