技術解説(GEヘルスケア・ジャパン)
2025年4月号
Cardiac Imaging 2025
心臓MRIの高速化と画質改善:最新技術の現状と展望
五十嵐太郎[GEヘルスケア・ジャパン(株)イメージング本部MR部]
心臓疾患の診断・治療において,画像診断の果たす役割はきわめて大きい。特に磁気共鳴画像(MRI)は,非侵襲的に心臓の形態・機能を評価できる手法として,臨床現場で広く活用されている。近年のprecision medicineの潮流の中で,心臓MRIは,単なる画像診断装置としてだけでなく,個々の患者に最適化された治療方針を決定するための重要なツールとして注目されている。現在,心臓MRIの技術は大きな転換期を迎えており,ディープラーニングを用いた画像再構成技術の進歩により,画質改善と撮像時間の大幅な短縮が実現されている。これにより,早期診断や治療効果の判定に新たな可能性が開かれている。本稿では,最新の心臓MRI技術の現状を概観するとともに,precision medicineにおける役割と将来展望について論じる。
■心臓MRIにおけるディープラーニング画像再構成技術
現在,GE HealthCare(GEHC)のMRシステムの最新バージョンである30.1には,用途の異なる2つのディープラーニング画像再構成技術がある。高速撮像に特化した「Sonic DL」は,物理駆動型ディープラーニングアルゴリズムを用いた高速撮像専用の技術で,心臓シネ撮像時に使用できる。Sonic DLは,最大12倍速のアクセラレーション設定が可能で,画像劣化を最小限に抑えながら高品質な画像を生成できる。シネ撮像の高速化により,1回の呼吸停止で複数スライスのシネ撮像が可能となる。それにより,左室短軸像を取得する際の呼吸停止回数を削減し,検査時間を短縮することで,患者の負担を大幅に軽減できるようになった(図1 a,b)。
もう一つの技術である「AIR Recon DL」は,画質向上を目的としており,signal to noise ratio(SNR)を大幅に改善し,画像の尖鋭度を向上させる効果がある。心臓MRI検査のさまざまな撮像に適用可能であり,特に遅延造影やblack blood imagingなど,SNRの確保が難しい検査に効果を発揮する。AIR Recon DLにより,撮像時間を延長することなくノイズを低減し,空間分解能が低い撮像条件でもシャープな画質を得ることができ,心筋の微細な信号変化を明瞭に描出することができる(図1 c,d)。
図1 ディープラーニング画像再構成による画質改善効果
a:従来のシネ撮像(1.8mm×1.8mm×6mm,3:45)
b:Sonic DLによるシネ撮像(1.8mm×1.2mm×6mm,1:55)
c:従来の遅延造影
d:AIR Recon DLを併用した遅延造影
■定量画像の精度を向上させる機能
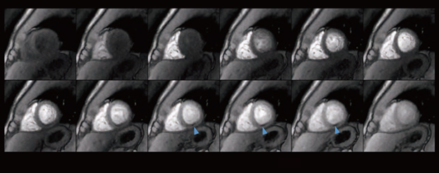
心筋パーフュージョンやT1マッピングなどの定量画像は,血流量やT1値など,時系列で変化する画像の信号値をピクセル単位で計測し,詳細な定量値をマッピングして出力する。その際,定量画像の精度を確保するためには動きの制御が重要となる。呼吸によるフレーム間の動きを低減する非剛体動き補正アルゴリズム(motion correction:MoCo)を使用することで,動きの影響を削減し,堅牢な定量画像が出力される。MoCoは各スライスで独立して機能し,短軸像だけでなく,長軸像や四腔像でも動き補正が行われる。また,心筋パーフュージョンやT1およびT2マッピングでは,前述のAIR Recon DLが適用可能となっている。AIR Recon DLを併用することで,ノイズが除去された画像を基にピクセル単位で定量値が算出されるため,白色ノイズによる異常ピクセル値の影響を低減できる。これにより,精度の高い定量画像の出力が実現し,定量値を変化させることなく信頼性の高い値を得ることができる(図2)。
図2 AIR Recon DL+MoCoによる心筋パーフュージョン
▲:micro vascular obstruction
■体内インプラントの対応
近年のcardiac implantable electronic devices(CIEDs)の技術進歩により,環境電磁干渉に対する耐性が向上し,多くの最新モデルが「MR条件付き(MR Conditional)」デバイスとして認可されている。CIEDsを装着した患者の数は増加しており,左室駆出率(LVEF),左心室容積,心筋瘢痕の正確な評価のために心臓MRIの需要が高まっている。CIEDsのジェネレータは一般的に左上胸部に埋め込まれており,バッテリーや電子部品の影響によって局所的にB0(静磁場)およびB1(RF磁場)の歪みや信号損失が起こり,診断困難な画像が生成されることがある。GEHCのMRIでは,以前より広帯域RFによるbroadband adiabatic IRパルスが採用されており,インプラントによって引き起こされるアーチファクトの影響を低減し,遅延造影の画質改善が図られている(図3)。
図3 Broadband adiabatic IRパルスによるアーチファクト低減
従来の遅延造影短軸像(a)と長軸像(b)。broadband adiabatic IRパルスによる遅延造影短軸像(c)と長軸像(d)。broadband adiabatic IRパルスにより,CIEDsの影響によるアーチファクトが低減されている。
■心疾患患者へのアプローチ
ディープラーニング画像再構成による高速化や,呼吸やインプラントへの対応による画質改善により,さまざまな心疾患患者への対応の幅が広がっている。
シネ撮像ではSonic DLによる高速化により,最短で1心拍での撮像も可能となっている。心拍をまたがずに1心拍で撮り切ることにより,R-R間隔が一定でない不整脈や呼吸制御が困難な症例でも,モーションアーチファクトが抑制された画像を取得できる。また,呼吸同期と併用も可能であり,呼吸停止が困難な患者に対して自由呼吸下での撮像が可能となる。従来の呼吸同期撮像では撮像時間の延長が避けられないが,Sonic DLの倍速を上げることにより,心拍と呼吸を同期させても短時間で撮像を行うことができ,患者負担を軽減しつつ良好な画質が提供される。さらに,高分解能化やフレームレートを上げて高画質化を図ることも可能であり,弁の動きなど,より詳細な動きを観察することが期待される。
画質向上を伴うAIR Recon DLは,遅延造影におけるphase sensitive IRや呼吸同期,3D撮像など,遅延造影オプションに対して互換性があり,シームレスに動作する。snapshot撮像にも対応しており,one-shot撮像により短軸遅延造影の息止め回数を削減することで,患者負担を軽減しつつ遅延造影画像の画質改善が図られる。
さらに,ディープラーニングが搭載されたMRIシステムでは,再構成負荷に耐えられるようにハードウエアが構成されている。強化されたリコンエンジンにより,撮像終了直後に速やかに画像が出力され,効率的な検査環境が実現している。シネ撮像や遅延造影の撮像時間短縮と併せて,ハードウエアの強化によるスループットの向上により,ワークフローの最適化が図られる。これにより,心臓MRI検査を30分以内で完了させるような試みも行われている(図4)。
図4 短時間(<30min)心臓MRI検査の一例
本稿では,心臓MRI検査における最新技術について概説した。画質の改善だけではなく,短時間撮像に伴う患者負担の軽減,あらゆる心疾患患者に対して最適な撮像条件のカスタマイズが可能になるなど,臨床使用における利便性向上に寄与している。これらの技術により,検査時間の短縮と高品質な画像の提供が実現し,心疾患患者への対応が大幅に改善され,効率的で精度の高い心臓MRI検査が期待される。
シグナ Pioneer
認証番号:227ACBZX00011000
SIGNA Heroは販売名「シグナ Pioneer」の類型シグナHeroです。
SIGNA Architectはディスカバリー MR750w類型SIGNA Architectです。
認証番号:223ACBZX00061000
AIRコイル3.0T
認証番号:229ABBZX00123000
●問い合わせ先
GEヘルスケア・ジャパン株式会社
〒191-8503
東京都日野市旭が丘4-7-127
TEL:0120-202-021(コールセンター)
gehealthcare.co.jp
