技術解説(コニカミノルタ)
2018年8月号
Women's Imaging 2018 最新技術
新しい乳がん検診のワークフローをささえるマンモグラフィCADシステム「NEOVISTA I-PACS CAD typeM」
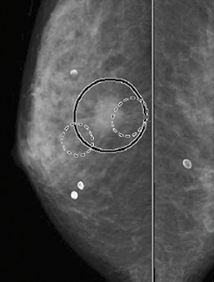
マンモグラフィCAD(computer-aided detection)は,マンモグラフィ画像から,微小石灰化クラスタおよび腫瘤陰影が疑われるエリアを自動的に検出し,画像上にマークで提示することにより読影医を支援する技術です。コニカミノルタのマンモグラフィCADシステム「NEOVISTA I-PACS CAD typeM」(図1)は,検診をはじめとしたマンモグラフィ読影の現場で活用され,「淡く細かい石灰化まで検出できるので安心できる」「長時間読影などで疲労を感じ始めた時に助けてくれる」「病変を覆い隠すことのない『自由曲線で囲む』マーキング表示が見やすい(図2)」などの評価を得ています。
図1 NEOVISTA I-PACS CAD typeMのシステム概要
図2 CAD結果のマーキング表示の例
日本の乳がん検診はマンモグラフィが基本ですが,「乳がん検診における超音波検査の有効性を検証するための比較試験(J-START)」の研究成果を受けて,超音波併用検診の可能性の検討が進んでいます。乳房超音波検査における大きな課題の一つは,組織を的確かつ鮮明に描出するために検査者のスキルが要求され,検査者により結果にバラツキが生じがちなことです。
この問題を解決するための一つの提案が,マンモグラフィ撮影の後に行われる乳房超音波検査の際に,CADの結果を参照する新発想のワークフロー“CAD navigated US screening”です。CADが指摘したエリアを意識することで,検査者が病変の位置・大きさ・形状をある程度想定してスキャンすることが可能となり,感度向上,要精検率の低下,およびスループット向上が期待できます。
NEOVISTA I-PACS CAD typeMは,読影医の信頼できるパートナーであると同時に,乳がん検診に超音波検査をスムーズに導入するための強力なサポートツールです。NEOVISTA I-PACS CAD typeMを用いた CAD navigated US screeningは,これからの超音波併用検診の精度向上と乳がん早期発見への貢献をめざします。
*「NEOVISTA I-PACS CAD typeM」は,販売名「マンモグラフィ診断支援装置 NEOVISTA CAD typeM」の呼称です。
