X線動態画像セミナー(コニカミノルタ)
第5回X線動態画像セミナー[2023年10月号]
第3部 臨床報告
呼吸器外科領域における胸部動態撮影の使用経験 〜術前癒着予測と腫瘍部位鑑別への応用〜
江間 俊哉(藤枝市立総合病院呼吸器外科)
当院は,病床数564床,診療科目35科の地域中核病院である。X線動態撮影は呼吸器外科領域においてさまざまな用途・メリットがあるが,本講演では胸膜癒着の予測と疾患の鑑別について使用経験を報告する。
胸膜癒着の予測
1.視覚での予測
胸膜の高度癒着の予測は,手術術式の決定や手術時間予測において重要な因子である。高度癒着がある場合には開胸手術が,高度癒着がない場合には胸腔鏡下手術やロボット支援下手術が選択されることが多い。当院呼吸器外科では,2022年6月〜2023年3月に68例に対して胸部X線動態撮影を74回施行しており,肺切除を行った64例のうち13例に高度癒着(手術所要時間が癒着剥離により約30分以上の遅延をもたらすもの,または癒着により胸腔鏡下手術が困難であるもの)を認めた。
X線動態撮影にて癒着の有無を視覚で予測するには,結節や腫瘤(病変) ,末梢の血管などの肺内構造物や右肺のminor fissure(小葉間裂)と,背側肋骨などの胸壁が,呼吸運動によりどの程度ずれるかを見る。癒着がある場合,結節や腫瘤陰影と肋骨陰影がずれることなく同じように運動する様子が見られる。ただし,肺尖部は動きが比較的小さいため,上肺野に病変がある場合には病変の動きからの癒着の予測が困難なこともある。
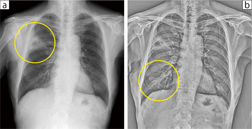
症例1は,X線動態画像で右上中肺野に位置する浸潤影を伴った腫瘤影(図1 a○)が肋骨陰影から動く様子がなく,癒着していると判断して開胸手術を選択した。なお,FE-MODEでは,中下肺野末梢の肺血管は肋骨とずれて動く様子が確認できたため(図1 b○),その部位での癒着が少ない,もしくは癒着がないと考えられた。手術所見では,腫瘍部分は広範に癒着が認められ,中葉・下葉部分の癒着はごく一部だった。
症例2は,術前に癒着はないと予測したが,実際には癒着があった症例である。
X線動態画像(図2)では,右上肺野の結節と5本の肋骨はずれて動き,肺野の血管もよく動くことから,癒着はないと判断した。手術所見では,上肺野の結節部分には予測どおり癒着はなかったが,横隔膜面に粗大な癒着が認められた。特に立位でX線動態撮影を行う場合には,横隔膜上に肺が乗って呼吸移動するため,横隔膜面の癒着をとらえることは困難であると考えられる。
図1 症例1:癒着あり症例
図2 症例2:癒着の予測が困難な症例
2.計測値からの予測
肺切除を行った64例(癒着あり13例,癒着なし51例)を対象に,横隔膜移動量,面積変化率から癒着を予測する検討を行った。横隔膜移動量(運動量)については,左右差や健側・患側差がないことを確認した上で,癒着ありと癒着なしで比較した。その結果,患側横隔膜移動量は,癒着ありの群で有意に低下した(P=0.027)。患側面積変化率については,有意差は認められなかった。また,患側横隔膜移動量による癒着検出のROC曲線を描くと,移動量が35mm未満で癒着を伴う可能性があることが示された(AUC 0.70,感度 0.538,特異度0.863)。
疾患の鑑別
X線動態撮影が疾患の鑑別に役立った症例を提示する。症例3は,8年前に胸部異常陰影を指摘され,胸壁腫瘍疑いで経過観察を行っていたが,徐々に増大傾向のため手術の方針となった。術前の胸部単純撮影では腫瘍を指摘できず,CT(図3 a)で左第10肋間に胸腔内に凸な形状を示す22mm大の病変(↑)が認められ,胸壁腫瘍が考えられた。一方,X線動態撮影のFE-MODE(図3 b)では,腫瘍と思われる結節影(↑)が呼吸運動で肺とともに移動する様子が観察された。この所見から臓側胸膜疾患の可能性が高いと考えられたため,総合的に検討し,肺切除の手術アプローチにて手術を開始した。手術所見にて左肺S10に胸膜変化を伴う腫瘍が確認され,胸腔鏡下で肺部分切除を行い,病理検査にて良性の孤立性線維性腫瘍(SFT)と診断された。
図3 症例3:疾患の鑑別に役立った症例
まとめ
呼吸器外科領域において,胸部X線動態撮影は胸膜癒着の有無,疾患の鑑別に有用と考えられる。術後合併症の診断や,術前・術後の呼吸状態の解析の一助となることが期待される。
- 【関連コンテンツ】
