技術解説(フィリップス・ジャパン)
2016年4月号
Abdominal Imagingにおけるモダリティ別技術の到達点
逐次近似画像再構成法“IMR Platinum”の技術的特長
小薗井 剛(CTモダリティスペシャリスト)
フィリップスは,2003年に本邦でCT装置の販売を開始してから12年目を迎え,累計販売台数は300台を超えている。
一般的にCT装置の根幹を担う技術は大きくX線管,検出器,画像再構成の3つに分類され,これらの技術革新そのものがCT装置に求められる“高画質”と“低被ばく”の革新に直結する。
近年,フィリップスは画像再構成において革新的な技術開発を進めており,2009年に逐次近似応用画像再構成法“iDose4”を上市した。本稿では,フィリップス社CT装置の最新トピックスとして最新の逐次近似画像再構成法“IMR Platinum”を紹介する。
■システムモデル逐次近似画像再構成法:IMR Platinum
IMR(Iterative Model Reconstruction)は,図1に示す最尤推定法(maximum likelihood)をベースに,ノイズ統計学と最先端のシステムモデル,部位ごとの最適化パラメータ“Cost Function”を加味した最新の逐次近似画像再構成法である。
収集した生データから再構成された初期画像をシステムモデルに対応したforward projectionによって生データに戻し,実際に測定されたデータとの差分を補正する。この処理を繰り返すことにより,ノイズ低減および部位に応じたデータの最適化を行う。
IMR Platinumでは,画像ノイズを従来filtered back projection(FBP)画像と比較して最大90%まで排除し,密度分解能は2mm@0.3%@10.4mGyを達成し,従来に比べ最大3.6倍の低コントラスト検出能の改善に成功している。IMR Platinumは,従来の逐次近似応用画像再構成法と異なり,非線形的にノイズ低減を行えることが大きな特長で,結果として画像ノイズはスライス厚やX線量に依存せず常に一定のノイズレベルとなり,Virtually Noise-Free Imagingを実現する。
図1 IMR Platinumのアルゴリズム
加えて,IMR Platinumでは繰り返し演算の前段階で,最終画像に必要な分解能とノイズレベルを踏まえ画質の最適化を部位ごとに行えるようCost Functionというパラメータを設けている。Cost Functionは,頭部,体幹部,心臓の部位ごとに設定可能であり,それぞれ画像のノイズレベル(3段階)と分解能レベル(3段階)の組み合わせを選択する(図2)。これにより,空間分解能のロスなく,画像ノイズを大幅に低減し,計算コストの効率化と画質選択を可能としている1)。
図2 ユーザーにて設定可能なCost Function一覧
また,これまで最重要課題とされてきた再構成時間2)も,演算処理の高速化を目的としてCPUより並列処理に適したコア数の多いgraphic processing unit(GPU)を搭載したオリジナル再構成ユニット“Hyper Sight IMR”をインテル社と共同開発した。これにより,1500枚の画像を3分弱で演算可能である。
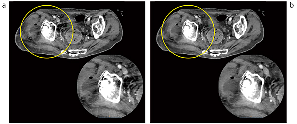
IMR Platinumは,金属アーチファクト低減アルゴリズム“O-MAR”とも併用可能である。これにより,画像に必要な分解能を保ちつつ,ノイズはIMR Platinumで,体内に留置された金属から発生するアーチファクトはO-MARで低減した画像を提供可能である(図3)。
図3 IMR Platinum臨床画像のO-MAR オン/オフ比較
a:O-MARオフ b:O-MARオン
bでは金属アーチファクトに隠れていた囊胞(○)が観察できる。
腹部領域におけるIMR Platinumの有用性は以下となる。
1.CTA画像の高画質化
従来の再構成法では画像ノイズの発生が原因で臨床応用が難しかったCTA撮影において高分解能イメージング3),4)の相性が良く,多くの施設で使用されている(図4)。
図4 IMR Platinumを用いたCTA画像
100kV,232mAs,CTDIvol:8.9mGy
門脈相の画像だが,ノイズ低減により肝動脈も描出されている。
2.低管電圧撮影による造影剤量低減
今日,腎機能の悪い患者に対しては,使用する造影剤量を減らして低管電圧撮影を行うことが一般的になってきた。線質の変化によるノイズの増大を打ち消しつつ画質を担保するために,IMR Platinumは有用である。
IMR Platinumは,先に述べたとおりVirtually Noise-Free Imagingによる最大90%のノイズ低減が可能であり,従来の逐次近似応用画像再構成法ではノイズ除去が困難であった体格の大きい患者の低管電圧撮影においても有用である(図5)。
図5 IMR Platinumを用いた低管電圧撮影
80kV,811mAs,CTDIvol:15.9mGy
従来の逐次近似応用画像再構成法iDose4(a)とIMR Platinumの比較(b)(いずれも1mmスライス,患者体重90kg,eGFR:44.6)。IMR Platinumのノイズ低減により,上行結腸がん内部に走行している血管(←)が描出されている。
◎
IMR Platinumは,従来の逐次近似応用画像再構成法より大幅なノイズ低減が可能であるため,検診レベルの低線量撮影やノイズやアーチファクトで隠されてきた微小・微細構造を描出し,病変の早期発見から治療への橋渡しに大いに期待される。
IMR Platinumは,臨床現場にてルーチンで使用できる逐次近似画像再構成法として,現在発売中のフィリップス社64スライス以上の装置「Ingenuity」シリーズ,「Brilliance iCT」シリーズに搭載可能である。
●参考文献
1)Köhlerm, T., et al. : Noise properties of maximum likelihood reconstruction with edge- preserving regularization in transmission tomography. Proceedings of the Fully 3D, Beijing,
263〜266, 2009.
2)Sotthivirat, S., et al. : Image recovery using partitioned-separable paraboloidal surrogate coordinate ascent algorithms. IEEE Trans. Image Process., 11, 306〜317, 2002.
3)Funama, Y., et al. : Coronary Artery Stent Evaluation by Combining Iterative Reconstruction and High-resolution Kernel at Coronary CT Angiography. Acad. Radiol., 24, 1324〜1331, 2012.
4)Nakaura, T., et al. : Low contrast agent and radiation dose protocol for hepatic dynamic CT of thin adults at 256-detector row CT ; Effect of low tube voltage and hybrid iterative reconstruction algorithm on image quality. Radiology, 264, 445〜454, 2012.
●問い合わせ先
株式会社フィリップスエレクトロニクスジャパン
〒108-8507
東京都港区港南2-13-37 フィリップスビル
フリーダイアル:0120-556-494
【フィリップスお客様窓口】
土日祝休日を除く9:00〜18:00
www.philips.co.jp/healthcare
