NAEOTOM Symposium 2025
2026年4月号
NAEOTOM Alphaの臨床アドバンテージ
胸部領域 NAEOTOM Alphaによる胸部CT診断の最前線
秦 明典(大阪大学大学院医学系研究科放射線統合医学講座放射線医学教室)
フォトンカウンティングCT(PCD-CT)「NAEOTOM Alpha」は,0.11mmの高い空間分解能を達成しているほか,各フォトンを個別にカウントするため電気ノイズが除去されやすくノイズ低減に有利,コントラスト分解能が高く低線量でも画質が維持される,エネルギー分解能が高くSpectral Imagingが可能,などの特長を有する。胸部領域においては,肺結節,間質性肺炎,肺動脈塞栓・慢性血栓性肺高血圧症(CTEPH)などの診断や,肺気腫・慢性閉塞性肺疾患(COPD)の解析,気管支動脈の描出といった幅広い領域において,画質向上や線量低減,造影剤減量に寄与することが報告されている。本講演では,NAEOTOM Alphaの胸部領域における有用性について,当大学で行った伸展固定肺を用いた研究1),2)や臨床症例を踏まえて報告する。
伸展固定肺を用いた組織像との対比
Heitzman法にて作成した20例の伸展固定肺を用いて,CT撮影後に組織像を作成した。CTは,従来CT(シーメンスの「SOMATOM Definition Flash」)とPCD-CTのNAEOTOM Alphaを使用。画像再構成設定は,従来CTでは512マトリックス,スライス厚0.6mm,FOV 350mmとした。また,PCD-CTでは従来CTと同等の条件(PCD-512)に加え,マトリックスサイズを1024に変更したもの(PCD-1024),およびマトリックスサイズ1024で空間分解能を向上させる目的でFOVを50mmに設定したもの(PCD-1024-FOV 50)の3種類とし,実際の画像を比較した。
図1は,腺癌の転移疑い症例の結節の画像である。3mmの結節は,従来CTでは辺縁がスムーズに見えるが,PCD-CTのPCD-1024-FOV50では辺縁が不整であることが明確である。0.9mmの結節は,従来CTでは不明瞭であるが,PCD-1024-FOV50ではきわめて明瞭に描出されている。
図2は,細気管支の画像である。1.3mmの細気管支は,従来CTでは不明瞭であるが,同条件のPCD-512では内腔が明瞭に描出されている。空間分解能として有利な設定のPCD-1024やPCD-1024-FOV50ではさらに明瞭な画像が得られている。また,最も高分解能なPCD-1024-FOV50の画像では,従来CTで描出できなかった0.5mmの細気管支の内腔まで,わずかに確認することができる。
NAEOTOM Alphaは,従来CTよりも結節や気道の描出が良好であり,マトリックスサイズを大きく,FOVを小さくして分解能を最大限に発揮できるような画像とすることで,さらなる描出の改善が期待できる。
図1 従来CTとPCD-CTによる結節(腺癌の転移疑い)の描出能の比較(参考文献1)より引用転載)
図2 従来CTとPCD-CTによる細気管支の描出能の比較(参考文献2)より引用転載)
症例提示
症例1は,60歳代,男性,肺がん(浸潤性腺癌)の症例である。2か月前に撮影した従来CT(図3 a)と比較し,NAEOTOM Alpha(図3 b)では腫瘍内部の気管支拡張像が非常に明瞭に描出されており,充実部の詳細な評価も可能である。気管支途絶像は肺腺癌の浸潤度の評価における有用な予測因子であることが報告されており3),NAEOTOM Alphaの高い空間分解能が病変内部の細気管支途絶像の評価にも寄与する可能性があると考える。
症例2は,70歳代,女性,肺がん(adenocarcinoma in situ:浸潤を伴わない腺癌)の症例で,NAEOTOM Alphaの通常モードと超高分解能撮影モードで撮影し,同一条件で画像再構成を行っている(図4)。超高分解能撮影モードでは,結節内部の濃度差や,細気管支と思われる拡張した気腔の描出が大幅に改善し,周囲の肺血管などもきわめて明瞭である(図4 b)。
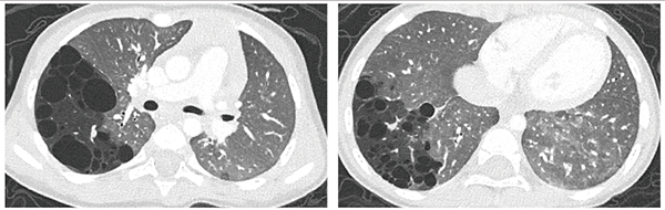
症例3は,80歳代,女性,関節リウマチ・シェーグレン症候群に伴う間質性肺疾患の症例である。4年前の従来CT(図5 a)にて,網状影や比較的囊胞サイズの大きな蜂巣肺の陰影が認められるが,NAEOTOM Alpha(図5 b)ではより微細な構造が描出されている。また,FOVを200mmに設定した1024マトリックスの画像(図5 c)では,微細な構造の視認性がさらに向上している。PCD-CTは,通常型間質性肺炎の評価に有用であることが文献でも報告されている4)。
図3 症例1:肺がん(浸潤性腺癌)における気管支拡張像の評価
図4 症例2:肺がん症例における微細構造の描出
図5 症例3:間質性肺疾患症例における微細構造の視認性の向上
広範囲高速撮影とSpectral Imagingの有用性
1.広範囲高速撮影「Turbo Flash Spiral」
Turbo Flash Spiralは,2つのX線管を用いて高速回転・高速二重螺旋撮影を行うことで,広範囲を高速に撮影する技術である。ガントリ回転速度は0.25s/rotで,秒間737mmの撮影が可能である。
症例4は,鎮静下の1歳,女児で,後に手術が施行され,先天性肺気道奇形と診断されている。息止めができないため,Turbo Flash Spiral(pitch 3.0,rotation time 0.25s)にて1秒未満で全肺野をカバーする撮影を行ったところ,囊胞状硬化低濃度領域が成人の息止め下の画像と遜色のない明瞭さで描出されている(図6)。心臓周囲の肺野には,心拍動に伴うモーションアーチファクトの影響も見られない。
図6 症例4:Turbo Flash Spiralを用いた鎮静下の小児の撮影
2.Spectral Imaging
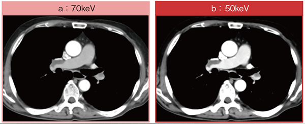
症例5は,80歳代,男性,肺動脈塞栓症の症例である。労作時酸素化低下とD-dimerの上昇を認め,肺動脈塞栓の有無の評価目的で造影CTが施行された。検査開始後30秒で造影剤注入装置の圧力上昇が検知され,血管外への造影剤漏出を認めたため検査を中断。その後,対応を行った上で再度CT撮影を行った。70keV画像(図7 a)では右の肺動脈に血栓を認めるものの,造影効果はやや不十分であるが,50keV画像(図7 b)では肺動脈内の造影効果が向上し,特に左肺動脈の血栓がより明瞭となっている。PCD-CTでは,通常の撮影と同時にSpectral Imagingが可能なため,造影剤量が不十分な撮影においても診断に寄与する画像の取得が期待できる。
図7 症例5:肺動脈塞栓症疑い症例におけるSpectral Imagingによる造影効果の向上
まとめ
NAEOTOM Alphaは,非常に高い空間分解能を有し,従来のCTでは描出できなかった微細構造の描出も可能である。この高分解能を十分に生かすためには,適切な画像再構成条件の設定が必要であり,マトリックスサイズやFOV,スライス厚といったパラメータの最適化が求められる。また,高い空間分解能に加え,高速撮影やSpectral Imagingを同時に実現していることも有用である。
●参考文献
1)Hata, A., et al., Eur. Radiol., 35(12) : 8176-8190, 2025.
2)Hata, A., et al., Invest. Radiol., 60(2) : 151-160, 2025.
3)Yanagawa, M., et al., Radiology, 297(2) : 462-471, 2022.
4)Inoue, A., et al., Invest.Radiol., 57(11) : 734-741, 2022.
秦 明典(Hata Akinori)
2010年 大阪大学卒業。大阪南医療センター,大阪大学医学部附属病院,大阪労災病院を経て,2019年 大阪大学大学院医学系研究科次世代画像診断学特任助教。同年,Brigham and Women’s Hospital留学。2021年〜大阪大学大学院医学系研究科放射線統合医学講座放射線医学講座助教。
