技術解説(シーメンスヘルスケア)
2017年1月号
メーカーが考えるオートプシー・イメージング(Ai)用CTとは
Autopsy imagingにおけるDual Energy CTの活用
死因究明に対する社会的要求の高まりに呼応して,CT装置やMRI装置を利用した死亡時画像診断(Autopsy imaging)が普及期を迎えている。特に,CT装置においてはX線検出器の多列化に伴う高い空間分解能の実現と,体軸方向へのデータの連続性が向上したことによって,精度の高い三次元情報の取得が可能となっている。そして近年は,死因のさらなる「見える化」を実現する技術として,Dual Energyイメージングが注目されている。
シーメンスでは,16列マルチスライスCT装置において,Dual Energyイメージングを搭載可能な「SOMATOM Scope Power Ai Edition」をリリースした(図1)。現在,国内1号機が稼働しており,全症例でDual Energyイメージングを実施している。
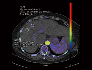
Dual Energyイメージングは,異なる2種類のエネルギーデータを取得・解析することをベースにした技術であり,画像コントラストの向上や物質の組成情報を特定することができる。取得した2種類のエネルギーデータは,Dual Energyイメージングの解析が可能な画像診断支援システム「syngo.via」に送信され,非剛体による自動位置合わせが行われた後,各種アプリケーションによる解析が行われる。40〜190keVの範囲で任意の仮想単色X線エネルギー画像を作成する“syngo.CT DE Monoenergetic Plus”では,金属アーチファクトの低減に加え,画像コントラストの最適化が可能である。また,“syngo.CT DE Rho/Z”では,電子密度と実効原子番号の測定が可能となっており,物質弁別への応用が期待されている(図2)。
われわれは,Dual Energyイメージングを利用したさらなるAutopsy imagingの可能性の拡大に注目したいと考えている。
図1 SOMATOM Scope Power Ai Edition |
図2 syngo.CT DE Rho/Zによる電子密度と実効原子番号の測定 |
【問い合わせ先】
マーケティングコミュニケーショングループ
TEL 0120-041-387
URL http://www.siemens.co.jp/healthineers
