技術解説(シーメンスヘルスケア)
2017年11月号
FPDの進化とDigital Radiographyの新次元
「MAMMOMAT Inspiration」がもたらす新たな視点で読むマンモグラフィ“HDBT”
藤田 純子(シーメンスヘルスケア(株)ダイアグノスティックイメージング事業本部XP事業部)
シーメンスの「MAMMOMAT Inspiration」は,直接変換方式のFPDを搭載した乳房撮影装置である。通常の2Dマンモグラフィだけでなく,グリッドレスでマンモグラフィを撮影する低被ばく機構“PRIMEテクノロジー”や,バイオプシー,トモシンセシス機能も提供できる装置である。このMAMMOMAT Inspirationに,さらに進化した機能“High Definition Breast Tomosynthesis(HDBT)”が搭載できるようになった。このHDBTについては,後述する。このように,MAMMOMAT Inspirationには多くのオプション機能がある。以下,いくつか紹介する。
■PRIME(プライム)テクノロジー
従来のマンモグラフィは,グリッドを用い散乱線を除去し,鮮鋭度とコントラストの高い画像を得るということが定説であった。しかし,このグリッドに吸収される撮影線量を懸念し,被ばくを考慮する時代が来た。そこでシーメンスは,グリッドを用いずマンモグラフィを撮影するPRIMEテクノロジーを,2013年8月に生み出した。これはグリッドなしで取得した画像への散乱線の影響をソフトウエアで除去し,最適な画像処理パラメータを用いることで診断に適した画像を提供する。このPRIMEテクノロジーを用いると,平均乳腺線量を約30%(当社従来比)低減できる。また,2Dとトモシンセシスを一度の圧迫で撮影するコンビネーション撮影において,その2D撮影にPRIMEテクノロジーを用いることができ,より低線量の検査が行える。
■トモシンセシス
デジタルマンモグラフィの技術進歩に伴い,2D画像の画質も向上してきているが,乳腺と病変,血管と病変など,組織の重なりは描出するのに限界がある。2D画像は,X線管を0°固定で曝射し画像を収集するが,X線を別の角度からFPDに照射しデータを収集することにより,組織の重なりを除去した画像を得られる。MAMMOMAT Inspirationのトモシンセシスは,X線管を±25°,計50°動かす間に25回X線を曝射,25枚の異なるX線投影方向の画像を収集する。その25枚の収集画像を,シフト加算+filtered back projection(FBP)法を用い再構成し,スライス画像を形成する。X線管の振り角が50°と広く,得られるトモシンセシスのスライス画像のZ軸分解能が良く,高精細であることがMAMMOMAT Inspirationの特長である。
■High Definition Breast Tomosynthesis
HDBTは,MAMMOMAT Inspirationのトモシンセシスの進化系のオプションである。このHDBTは,新しい視点の画像を構成することができる。
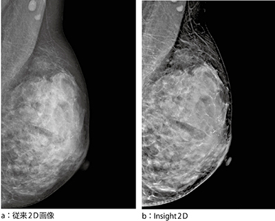
・“Insight2D”:トモシンセシスのスライス画像を構成するための,25枚の収集画像を用いて形成された合成2Dである(図1)。このInsight2Dは,診断価値のあるトモシンセシス画像とセットで読影することにより,将来的に従来の2D撮影に取って代わる技術になると期待されている。
図1 従来2D画像とInsight2Dの比較
・“Insight3D”:トモシンセシス画像を構成するための収集画像から形成された合成3D画像である。この画像は,ビューワでX線管の振り方向に回転させて読影することができる。広いX線管振り角で画像を収集している恩恵を受け,病変の広がり,石灰化などの分布だけでなく,乳腺や血管などの後ろ側に隠れた病変をとらえることができると期待されている。また,乳房をボリュームデータのように表現できるため,患者説明への活用にも期待されている。
・“EMPIRE”:従来のトモシンセシスの再構成法に逐次近似法を加えた新しいスライス画像がEMPIREである。微小石灰化,微細鋸歯状の腫瘤の辺縁,スピキュラなどが,より鮮明に確認できる。また,粗大石灰化や金属アーチファクトも,より軽減された。
このように,HDBTにより,新たな視点で読影を行うことで,追加検査などを省くことができると期待されている。
【問い合わせ先】
コミュニケーション部
TEL 0120-041-387
URL https://www.healthcare.siemens.co.jp/
