技術解説(シーメンスヘルスケア)
2025年4月号
Cardiac Imaging 2025
「AIを活用したワンプッシュ心臓MRIの道」心臓MRIをもっと身近にする次世代ワークフロー
鳥越 崇史[シーメンスヘルスケア(株)MR事業部]
心臓MRI(CMR)は心機能,心筋血流,心筋バイアビリティ,あるいは冠動脈形態などの多様な情報を非侵襲的に得ることができる有用な診断手法である。心血管疾患(CVD)の有病率は年々増加傾向にあり,世界的に見ても罹患率・死亡率の主要原因の一つとなっている。このような背景から,CMRがCVD患者の診断,治療,およびモニタリングにおいて重要な役割を担っており,今後さらにその需要が高まることが予想される。しかし,その需要とは裏腹に,CMRは撮像断面の設定や患者状態に応じたパラメータ変更の難しさなど,MRI検査の中で,オペレータの経験値やスキルに大きく依存する複雑な検査である。このような背景から,正確かつ再現性の高いCMRを簡便に行うことができる技術開発が求められている。
本稿では,Siemens Healthineersが開発した「MyExam Cardiac Assist」 と「AutoMate Cardiac」に焦点を当て,CMRの複雑なプロセスを簡素化し,効率性と操作性を向上させる人工知能(AI)を活用した次世代プラットフォームについて紹介する。
■AIを活用した次世代CMRワークフローがもたらす新たな価値
1.MyExam Cardiac Assist
MyExam Cardiac Assistは,2013年に製品化され10年以上の時を経たが,改良を重ね現在でもCMR撮像の簡便性,安定性に寄与できる代表的な機能である1),2)。撮像や解析における自動支援ツールは多岐にわたるが,代表的な機能を簡潔に紹介する。
1)Cardiac Assist(患者状態に合わせたパラメータ設定の自動変更)
「Cardiac Assist」は,従来手動操作が必要なCMRのプロセスを自動化でき,複雑なパラメータ設定を再現性高くサポートする以下の機能が搭載されている。
・心臓長軸や短軸の断面設定,撮像枚数の設定をアシスト(AutoAlign Heart Scout)
・ 設定シミング範囲であるadjustment volumeの自動引き継ぎ(Adjustment Memory)
・バンディングアーチファクト回避用に調整したCINE frequencyの自動引き継ぎ(Trufi Delta Freq.)
・患者の息止め可能時間に応じて自動的に息止め分割数を調整(Adapt Breath-Hold Capability)
・拡張期撮像のプロトコールについて,患者RR間隔を基にデータ収集タイミングを自動調整(Adapt Heart Rate)
2)Inline Ventricular Function(心機能解析レポートの自動算出)
「Inline Ventricular Function」は,長軸,短軸のCINEを基に,左心室心筋内膜・外膜のトレースを自動的に実施し,心機能解析に必要な情報をレポートとして自動算出する。
3)Up Slope Map(心筋パーフュージョンのuptake mapの自動作成)
「Up Slope Map」は,心筋パーフュージョンにおいて重要な造影剤のuptake時の信号強度変化の傾きをカラーマップで表示する。
また,Up Slope Map作成前に自動的に心筋のMotion Correctionも実施する。
2.AutoMate Cardiac
AutoMate Cardiacは,上述のMyExam Cardiac Assistでの撮像断面設定の自動化に加え,経験値の差が出やすい撮像条件の設定にもAI自動化プロセスによるアプローチが可能になる。また,MyExam Cardiac AssistとAutoMate Cardiacは組み合わせることが可能であり,CMRの撮像,後処理までの包括的なスループット向上に寄与できる。AutoMate Cardiacは以下の3つの要素で構成されているが,自動設定を生かしながら,従来どおり適宜手動での微調整ももちろん可能である。
1)Auto Positioning(自動位置決め)
「Auto Positioning」は,Cor/Traのlocalizer画像を基にトレーニングをされたモデルを用いて,患者の心臓全体,左心室,両腕を自動検出し,テーブルのアイソセンタ,FOV,adjustment volumeを自動で設定することができる。また,Cor撮像など腕の折り返しアーチファクト防止のためサチュレーションバンドを設定しているプロトコールでは,サチュレーションバンドが自動的に両腕にかかるよう自動設定することができる。さらに,冠動脈撮像など,横隔膜同期を用いて撮像する場合には,横隔膜同期ナビゲータである「1D PACE」が,自動検知された肝臓ドームの位置に自動設定される3)(図1 a)。
2)Auto Resting Phase(心臓,冠動脈静止タイミングの自動検出)
「Auto Resting Phase」は,4ch CINEを基に,関⼼領域のセグメンテーションと,CINEのphase全体のimage registrationによる動きの定量化に基づいて,心拍周期の中で動きの少ない静止タイミングを自動的に判別する。収縮期,拡張期それぞれ静止タイミングを自動算出でき,冠動脈撮像などで緻密な設定が必要なデータ収集の開始時間,収集durationの自動アシストを行う3)(図1 b)。従来どおり,CINE画像を基に目視で静止タイミングを把握する場合に,熟練者では約50秒,一般オペレータでは最大100秒ほどかかったが,Auto Resting Phaseを活用することで4ch CINE取得後,間もなく静止タイミングを判定でき,かつ一般オペレータよりもバラツキの少ない静止タイミングの検知を行ったという報告もある4)。
3)Auto TI(各inversion timeの画像信号値に基づいた適切なnull pointの自動選択)
「Auto TI」は,遅延造影画像(LGE)で重要なinversion time(TI)を事前確認するTI scoutにおいて,適切なTIをAIが自動検知し,パラメータ設定の自動アシストを行う。TI設定において任意のtiming offsetも可能で,施設運用に即したタイミング調整も可能である3)。TI scoutの撮像からLGEの撮像までの経過時間が長ければ,造影剤のwashoutが進みTIのズレが懸念されるが,Auto TIを使用することでスループットが向上し,LGE撮像までの経過時間短縮によるTIのズレの低減や,オペレータの主観に依存しないため,再現性担保に貢献できると考える(図1 c)。
図1 AutoMate Cardiacの概要
a:Auto Positioning 概要図
b:Auto Resting Phase 概要図
c:Auto TI 概要図
(参考文献3)より引用転載)
CMRにおけるSiemens Healthineersの取り組みとして,本稿では,AIを用いたアルゴリズムを搭載したMyExam Cardiac Assist,AutoMate Cardiacがもたらす検査の質向上について紹介した。
上述したMyExam Cardiac Assist,AutoMate Cardiacの機能が普及し,従来は専門性の高いオペレータが必要だったCMR検査が,経験値にかかわらず可能になり,かつ全体の検査時間の短縮にも貢献できることは,読影医師,撮像技師のみならず,患者に対しても好影響を生む可能性を考える。これらの技術が普及した未来では,具体的には以下の効果が見込まれると考える。
・アクセス性の向上:地域診療所や中小規模施設での運用,心臓MRIがより多くの患者に提供される。
・ オペレータの負担軽減:人材確保,育成がさらに課題となる現代でも,効率的にCMRを実施可能になる。
・診断効率の向上:検査準備時間や手動操作の削減により,安定した画質担保や検査数増加が見込まれる。
また,当社では,上述のようなワークフロー改善における技術以外に,撮像シーケンスの開発など,包括的な製品開発に注力している。患者にとって,長い検査時間,多数の息止めの必要性は,CMR検査のハードルを上げる要因であると考える。当社では「Compressed Sensing Cardiac Cine」による撮像時間や息止め回数の削減,「Heart Freeze」を用いたMotion Correction技術による自由呼吸下CMR検査の確立により,上記の課題をテクノロジーの側面で解決できるよう製品の品質向上を重ねている。また,近年では,ECGデバイスフリーでCMR検査が行える「BioMatrix Beat Sensor」5),6),条件付きMRI対応心臓植込みデバイスの普及に伴い,デバイスからの金属アーチファクトの課題にアプローチする「High Bandwidth Inversion Recovery LGE」7)も徐々に普及しており,多様な患者状態に応じた適切な検査のバリエーション提供に寄与できるよう今後も注力する(図2,3)。
患者視点に立って開発をしてきた撮像技術と,AIを活用した次世代CMRワークフローによる相乗効果が,precision medicineや働き手不足の時代における支援ツールとして貢献し,CMRがより多くの施設で行われ普及が加速する一助となることを期待したい。
図2 BioMatrix Beat Sensor
a:従来のECGデバイス装着例
b:ECGデバイスが不要でBioMatrix Body Coilを患者胸部に置くのみで心拍同期が可能なBioMatrix Beat Sensor
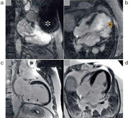
図3 High Bandwidth Inversion Recovery LGE
a,b:従来のLGE シーケンス
c,d:High Bandwidth Inversion Recovery LGE シーケンス
磁化率アーチファクトによる信号欠損(*),異常信号(*)が低減できている。
(参考文献7)より引用転載)
●参考文献
1)Pueyo, J.C., García-Barquín, P., et al. : Cardiac Dot Engine : Significant time reduction at cardiac magnetic resonance imaging. MAGNETOM Flash, 5 : 78-81, 2014.
2)浦川真樹, 打越将人 : 心臓MR検査をもっと身近なものにするために─Cardiac Dot Engineに搭載されたシーメンスの技術. INNERVISION, 28(4): 18-19, 2013.
3)Seung, S.Y., Michaela, S., et al. : Next-Generation Cardiac MRI : Simplifying the Complex with AutoMate Cardiac Siemens Healthineers. MAGNETOM Flash, 90 : 24-29, 2025.
4)Ogawa, R., Kido, T., et al. : Neural network–based fully automated cardiac resting phase detection algorithm compared with manual detection in patients. Acta Radiol. Open, 11(10): 20584601221137772, 2022.
5)Speier, P., Bacher, M. : Skip the Electrodes, But Not A Beat : The Engineering Behind the Beat Sensor. MAGNETOM Flash, 84 : 106-117, 2023.
6)Mizuno, T., Otaki, Y., et al. : Clinical Experience with the BioMatrix Beat Sensor : Cardiac MRI Exams Without ECG Leads. MAGNETOM Flash, 86 : 54-59, 2024.
7)Dohy, Z., Szabó, L., et al. : Clinical Utility of High-Bandwidth Inversion Recovery Sequences in Patients with Cardiac Implanted Electronic Devices. MAGNETOM Flash, 80 : 2-6, 2022.
●問い合わせ先
シーメンスヘルスケア株式会社
コミュニケーション部
〒141-8644
東京都品川区大崎1-11-1 ゲートシティ大崎ウエストタワー
TEL:03-3493-7500
https://www.siemens-healthineers.com/jp/
