Zio Vision 画像の本質を診る(ザイオソフト)
第80回日本医学放射線学会総会が,2021年4月15日(木)〜18日(日)にパシフィコ横浜(神奈川県横浜市)で開催された。学会共催ランチョンセミナー17「心臓画像診断の現在と未来」(ザイオソフト株式会社 / アミン株式会社)では,佐久間 肇氏(三重大学大学院医学系研究科放射線医学)が座長を務め,丸尾 健氏(倉敷中央病院循環器内科)と大田英揮氏(東北大学大学院医学系研究科先進MRI共同研究講座/東北大学病院放射線診断科)が講演した。
2021年7月号
心臓画像診断の現在と未来
講演1:循環器治療の進歩と循環器内科医が画像診断に期待するもの
丸尾 健(倉敷中央病院循環器内科)
循環器疾患に対する診断,治療は大きく進歩しており,なかでも心臓MRI,心臓CTの一般臨床での活用はますます拡大している。本講演では,臨床病院である当院における心臓MRI,心臓CTの最近の活用の一端を紹介する。
心臓MRI
当院では,2013年から心臓MRIを本格的にスタートし,年間600〜700件の検査を行っている。内訳は虚血性心疾患が約半数(46%)を占め,左室低心機能が23.1%,左室肥大(LVH)が8.6%などとなっている。ここでは,心臓MRIによる冠動脈の評価,心アミロイドーシスの診断について述べる。
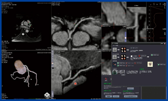
1.冠動脈の評価
当院では,2017年から心臓MRI検査を含めた心臓ドックを開設し,年間120〜130件行っている。1.5T装置でwhole heart coronary arteryを撮像し,Ziostation2の「MR冠動脈解析2」を用いて,自動で冠動脈を抽出してVRおよびCPRの作成をスピーディに行っている(図1)。
当院のMRIの冠動脈診断精度の検討を行った。冠動脈MRA(MRCA)1640例のうち評価可能だったのは1504例(91.7%),そのうち冠動脈造影検査(CAG)を施行した150例について検討した。結果は,すべての冠動脈を合わせて感度(sensitivity)90.3%,特異度(specificity)95.8%と,CAGと比べて遜色なかった。血管別では,左主幹部(LMT,66.7%)と左回旋枝(LCX,79.4%)の感度が低く,LMTは認識の問題,LCXは描出が難しいケースが多いと考えられる。冠動脈の検査時間は平均50分だが,撮像が困難な場合には2時間程度かかることもあり,ある程度であきらめることも必要だと考えている。
図1 MR冠動脈解析2によるMRCAの自動解析
2.心アミロイドーシス
心アミロイドーシスは,心臓にアミロイドタンパクが蓄積し機能が障害された状態で,大きくAL型とトランスサイレチン(ATTR)型(変異型,野生型)に分類される。従来考えられているよりも多く発症し,左室収縮の保たれた心不全や肥大心の中に存在して,一般的に予後は不良である。最近,ATTR型に対する治療薬(タファミジスメグルミン)が認可され,病状の進行抑制への効果が期待されている。それもあり,心アミロイドーシスの早期診断の必要性が認識されてきている。
MRIでは,遅延造影(LGE)の感度,特異度がいずれも86%であり,正常心筋壁厚の患者でも早期の異常としてとらえることができる。また,LGEの程度は心不全の重症度とも相関する。LGEの画像所見としては,全層性はAL型よりもATTR型に多く見られ,全層性のAL型は予後不良である。最近ではソフトウエアを用いた定量評価が進んでおり,ECVやnative T1が予後評価に有用で,ECV45%以上,native T1が1044ms以上で予後不良とされている。図2は,80代,男性の心アミロイドーシス症例のZiostation2の「MR心筋T1マッピング」による解析結果だが,native T1が1114ms,ECVは74%と高値だった。
当院で心臓MRIを行ったLVHの185症例の検討では,心アミロイドーシスが18%を占めた。患者選択のバイアスはあるが,われわれが想定していたよりもアミロイドーシスの割合が高かった。患者背景を見ると,心不全の重症度を示すNYHA分類のⅢ/Ⅳ(症状が重い)が55.9%,またT1マッピングではnative T1(ms)が1122±51,ECV(%)49±9でほかの疾患に比べて高値となっており,腎機能に問題のない患者において心臓MRIは心アミロイドーシスのゲートキーパーとして重要な役割を果たすと考えられる。
図2 MR心筋T1マッピングを用いたnative T1,ECV解析
心臓CT
Structural heart disease(SHD)に対する治療は急速に進歩しており,外科治療からカテーテル治療まで幅広く行われている。最近はカテーテル治療の進歩が著しく,心臓CTによる術前評価,特に動態の評価が可能になってきており,術前プランニングが重要視されてきている。
1.大動脈弁狭窄
大動脈弁狭窄は,大動脈弁が狭窄し弁が開放されなくなる状態で,左室に圧負荷がかかり,駆出が正常に行われなくなり心不全を起こす。大動脈弁狭窄に対しては,10年以上前から経カテーテル的大動脈弁置換術(TAVI)が行われ広く普及している。心臓CTで弁輪径,弁栓の長さ,高さなどを計測して,留置する弁径の選択など術前のプランニングを立てることが重要である(図3)。
図3 大動脈弁狭窄での「TAVR術前プランニング」による解析
2.僧帽弁逆流
僧帽弁が閉鎖不全を起こし,収縮期に逆流を起こす状態で,左室の容量負荷から心不全を生じる。僧帽弁は,大きく2枚の弁葉(前尖と後尖)で形成されており,治療は僧帽弁形成術と最近になって経カテーテル治療〔MitraClip,経カテーテル的僧帽弁置換術(TMVR)〕が始まっている。
僧帽弁形成術は,患者自身の弁を形成して行う手術で,心エコー検査やCTでの術前評価やプランニングが重要である。CTによるプランニングは,逆流の原因の把握,弁輪の大きさ,弁尖の長さの計測を行う。MPRを用いて,動態を見ながら弁の形態の評価や各種の計測を行っている。原因の把握のために,弁の前後に当たる縦軸に沿って前側壁側から後下壁側に断面を移動させて確認を行う(図4)。これによって,P2で後尖が逸脱していることが確認できた。この症例は,P2が2本の腱索断裂により幅15mmで逸脱していたので,台形切除しZ縫合5針で再建し,人工弁輪を留置して手術が終了した。
TMVRは海外ではすでに行われており,国内でもまもなく治験がスタートする。TMVRでは,弁輪の大きさや左室流出路の狭窄の可能性を予測するための術前のプランニングとして,CTが重要な役割を果たすと考えられる。
図4 MPRによる僧帽弁逆流の原因の評価
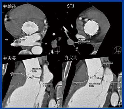
3.大動脈弁逆流
大動脈弁逆流は,大動脈弁が閉鎖不全を起こし,拡張期に逆流を生じる状態で,左室の容量負荷から心不全を起こす。術前のCTでは,弁尖の形態,弁尖の長さ,大動脈基部の評価などを行う。人工のグラフトを留置する手術を行う可能性が高いので,大動脈基部の計測と弁輪径,STJを計測してデバイスを決定することが重要である。図5は,二尖弁で右冠尖が逸脱している症例だが,弁尖の長さ,高さを含めて計測し,人工グラフトの中に自身の弁を縫い付ける“Reimplantation”という手術を行い,良好な結果を得た。
図5 大動脈弁逆流症例の大動脈基部,弁尖長,弁尖高の計測
4.経カテーテル的左心耳閉塞術
左心耳は,血栓を形成しやすく心原性塞栓症の原因となる。出血リスクが高く,抗凝固療法を行いにくい場合に,左心耳閉鎖を経カテーテル的に行うことで塞栓症のリスクを下げることができる。2019年9月に施行可能となった「WATCHMAN」デバイスを用いることで,左房内の側壁側にある左心耳を閉鎖して血栓が遊離することを防ぐ手技である。
左心耳は,Chickenwing型,Cactus型,Windsock型,Cauliflower型の4つの形態に分類されるが,CTではその形態を俯瞰して観察でき,穿刺位置,シースの進め方などをシミュレーションできる可能性がある。手技の際には,左心耳のくびれの径によってデバイスの大きさを変える必要があるが,CTで左心耳の留置面の最大径を計測することで適切なサイズのデバイス選択に寄与する(図6)。左心耳に対してデバイスサイズが適正でないと留置が困難になることから,形態評価は重要である。
図6 経カテーテル的左心耳閉塞術におけるLAAの計測
まとめ
心臓MRIは,撮像時間の高速化が最大の課題であり,MRCAの確実で短時間の撮像が求められる。心臓CTでは,僧帽弁など動きの速い構造物をとらえられる高い時間分解能を持った装置の開発や,計測や解析の自動化でスムーズに治療に入れることを期待したい。
丸尾 健(Maruo Takeshi)
1996年 岡山大学医学部卒業。JR東京総合病院,国立循環器病研究センター,岡山大学病院循環器内科を経て2007年から倉敷中央病院循環器内科。2014年理学的・画像診断担当部長となり現在に至る。心エコーを中心としたマルチモダリティによる循環器画像診断を専門としている。
- 【関連コンテンツ】
