Zio Vision 画像の本質を診る(ザイオソフト)
2024年9月号
Ziostation REVORAS活用事例●新潟大学医歯学総合病院 画像認識精度や操作性の向上で画像作成業務を効率化し,診療科と連携した画像提供を支援
循環器内科のECV解析,呼吸器外科の肺切除解析などのアプリケーションを生かし診療科のニーズに応える
CT室の一角に設けられた3Dラボ。Ziostation REVORASを中心にした画像解析業務を実施
新潟大学医歯学総合病院(827床)は,国立大学附属病院として,また県内唯一の特定機能病院として,高度で先進的な医療の展開と地域医療を担う人材の育成という重責を担っている。同院では,放射線部の3Dラボを中心に,各診療科からのさまざまな3D画像解析の依頼に対応する体制を整えている。診断のみならず手術支援など3D画像へのニーズが年々増す中で,診療科と連携しつつ効率的で最適な3D画像の提供体制の構築が求められている。同院では,2023年3月にザイオソフトの医用画像処理ワークステーション「Ziostation REVORAS」(以下,REVORAS)を導入した。診療科での3D画像の活用も見据えてネットワーク型として導入されたREVORASの運用について,放射線科の石川浩志教授,堀井陽祐准教授,放射線部の金沢勉技師長,能登義幸副技師長,倉元達矢主任,布施真至主任,新田見耕太主任に取材した。
石川浩志 教授 |
堀井陽祐 准教授 |
金沢 勉 技師長 |
能登義幸 副技師長 |
倉元達矢 主任 |
布施真至 主任 |
新田見耕太 主任 |
3Dワークステーションをモダリティ調達とは分けて単独で導入
同院での三次元画像処理ワークステーション(3DWS)の導入は2005年に始まる。血管撮影室に設置されたIVR-CTに合わせて導入されたもので,以来,CTなどモダリティ導入に合わせて拡大し,現在ではザイオソフトを含めて4社の3DWSが稼働している。ザイオソフトの3DWSは,2007年に64列CTと同時にZiostationを導入,2013年にはZiostation2に更新されネットワークタイプに変更された。そして2023年に新たにREVORASが導入された。
今回のREVORASの導入では,初めてモダリティの付属ではなく3DWS単独での予算取りを行った。その経緯を金沢技師長は,「従来,3DWSはモダリティの更新に合わせて機器と一緒に導入されることがほとんどでした。当院でも4社のWSは導入時期はばらばらで,またシステム(サーバ)とモダリティ(機器)では減価償却の期間が異なることから,予算取りや最適なタイミングでの更新が難しいという問題がありました。画像診断機器が高度化し,手術支援など3DWSの重要性がますます高まる中で,病院として3DWSの継続的で安定した稼働のために,今回のREVORASの導入に当たっては,3DWSだけを一つの仕様書の案件として取り出し,単独で調達を行いました。これは国立大学病院としては珍しいケースで,3DWSのシステムの規模としても大きなプロジェクトになりました」と説明する。
ネットワーク型で導入されたREVORASは専用のクライアント端末のほか,PACS端末に相乗りした端末が,放射線科医師の読影室の端末(13台),CT,MRI,血管撮影室など操作室にあり,そのほか外来棟の歯科放射線科などからも利用できるようになっている。同時接続数は28で,ネットワーク型のほかに,スタンドアローンとしてREVORAS 1K(高精細CTの画像対応)の端末が2台稼働している。
3Dラボを中心に診療科と連携して3D画像解析を実施
放射線部での3D作成業務は,CT部門の3Dラボと血管撮影室部門を中心に行われている。3Dラボは,CT室の一角に各社のWSを集約しREVORASのクライアント端末2台,スタンドアローンのREVORAS 1K,そのほか他社WSのクライアントなど計6台が集められている。組織としての3Dラボの専任は能登副技師長1名だが,3D画像処理にはCT室や一般撮影室のスタッフがサポートに入り,3〜5名の体制で作成を行っている。能登副技師長はCT室での3D作成について,「午前は3Dラボに常駐するのは私1名で,検査終了後にスタッフが集まり,おのおの3D作成の業務を行っています」と述べる。作成件数は,CTで年間3335件(アンギオを除く)で,内訳としては頭部血管650件,冠動脈550件,冠動脈以外の心臓系380件,肺185件,そのほか整形外科の脊椎などとなっている(2023年実績)。能登副技師長は,「頭部は術前のみならず救急外来での撮影もあるので増えています。心臓検査も冠動脈だけでなく,TAVIやアブレーションの術前などの依頼も多く,循環器領域は右肩上がりで増えています」と言う。
一方で,REVORAS端末は西診療棟の血管撮影室にも設置されている。ここには血管撮影装置4台が導入されている。血管撮影室は診療放射線技師が7名で,カテーテル検査・治療のサポート業務と同時に3DWSによる画像解析を行っている。作成するのは,脳神経外科の脳腫瘍手術の術前,TAVI術前の弁留置のための計測などが多く,脳神経外科術前は約50件,TAVI術前計測は約80件(いずれも年間)となっている。そのほか,血管撮影装置でのコーンビームCTやIVR-CTの画像処理,IVR時のアクセスルートの支援画像をCTデータから作成する。血管撮影室の布施主任は,「血管撮影室のスタッフは全員が3D作成を行えるようにしています。脳神経外科術前やTAVI術前など作り込む症例も多いですが,血管撮影装置やハイブリッドオペ室の手技の中で,ルートの確認やターゲットがわかりにくいといった時にCTデータから3Dを作成したり臨機応変に対応しています」と語る。
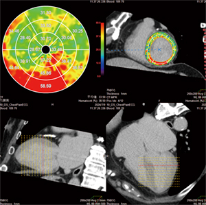
読影における3D画像の活用について石川教授は,「読影での3D画像の活用は,参考程度から所見を確定させるものまで,部位によってさまざまです。肺の領域では,外科医の手術のサポートという側面が強いですが,診断においても血管と肺の結節との重なりや位置関係を3Dで立体的に把握することで,単純写真でははっきりしなかった陰影を確認して確かな診断にフィードバックすることができます。その意味で3DWSによる解析は読影医にとってもなくてはならないものになっています」と述べる。循環器領域の画像診断を専門とする堀井准教授は3D画像について,「冠動脈の分布や性状評価には3Dによる再構成画像が必須です。REVORASではCT-ECV(extracellular volume)のほか,冠動脈周囲の脂肪量の計測(Fat Attenuation Index:FAI)なども可能で,それらの数値を合わせてレポートを作成するようにしています」と述べる。
認識精度の向上で画像作成時間が短縮し業務負荷を軽減
REVORASは,ザイオソフトの画像解析技術を生かし高精度の3D画像の作成を,よりスマートでシンプルな操作で可能にした次世代の3DWSとして2022年に発売された。3Dラボで作成業務に当たる倉元主任は,「Ziostation2からインターフェイスが変わりましたが,使いやすくなったと感じます。肺血管の抽出は,REVORASになって作成時間が従来の半分以下に短縮しました。これは抽出精度の向上で末梢まで正確に自動抽出されるようになり,修正の手間が大幅に減ったからです。新人や学生への3D画像作成の指導も行っていますが,自動抽出を使うとほぼ完全なものが出来上がってしまうので,あえて使わないように指導しているぐらいです」と述べる。
胸部では,「肺切除解析」のアプリケーションや3D解析の「肺動静脈分離」機能が活用されているが,倉元主任は「当院は小児の疾患も多く,小児循環器での先天性心奇形などの3D作成依頼などもあります。以前は構造が小さい小児では,気管支などの自動抽出は難しかったのですが,REVORASでは自動でも精度高く抽出でき,心臓と心血管,気管支との位置関係なども把握が可能な画像を提供できるようになりました」と言う。能登副技師長も自動抽出の精度向上によって作成の負担が減っていると評価し,「肺動静脈分離に関しては,従来30分から1時間かけて作成していた症例が,10分から15分程度で作成できるようになっています」と述べる。倉元主任も,「REVORASでは,単純CTからの肺動静脈の分離画像が作成できるようになったことで,従来は腎機能が悪く3D作成を諦めていた症例でもオーダが入るようになったり,術後のフォローアップの依頼も増えています」と言う。
血管撮影室でのREVORASの評価について布施主任は,「作業のために,データ数を8ボリューム読み込めるのが,アンギオ関係では大きなポイントです。例えば脳血管の3D作成で,内頸動脈の左右かつ動脈と静脈があるとそれだけで4ボリューム必要で,そこに他の血管,骨やMRIとのフュージョンを行っていくことを考えると,多くのボリュームを読み込めることで作業が楽になっています」と述べる。さらにREVORASでは,処理中のデータに後からデータを追加することも可能になった。布施主任は,「従来は,処理途中でボリュームを追加する必要が生じた場合には,最初からやり直すしかありませんでした。別のボリュームを追加で読み込んで処理できるので作業効率は大きく向上しました」と評価する。
Ziostation REVORASの導入で画像認識精度が向上し3D作成業務の負荷を軽減
■Ziostation REVORASによる臨床画像
肺動静脈分離 |
頭部脳腫瘍術前画像 |
トランスペアレンシー |
心筋ECV解析 |
CT-ECV解析やトランスペアレンシーなどを活用
アプリケーションについては,CT-ECV解析への評価が高い。REVORASの「心筋ECV解析」では,遅延造影CTデータからECVを算出し,数値とマッピングができる。CTによるECV(CT-ECV)は,心アミロイドーシスの診断や治療法の選択にも貢献できると期待されている。能登副技師長は,「導入時にさまざまなアプリケーションを導入しましたが,なかでも心筋ECV解析は解析結果の数値が表示されることで,循環器領域の診断に大きなインパクトがあります。現在は冠動脈CT検査の症例では全例でECV解析を行っています」と説明する。
血管撮影室では,TAVI術前の計測で「TAVR大動脈弁解析」を用いて,留置する人工弁の選択のために弁輪の計測や石灰化の分布の確認などを行っている。新田見主任は,「TAVR大動脈弁解析の最新バージョンでは,大動脈弁付近の石灰化スコアが出せるようになり,循環器内科医からも注目され,現在,ルーチンで計測結果を提供しています」と述べる。
REVORASでは,新しい3D画像の表示方法として「トランスペアレンシー」と「レンブラント」が実装された。トランスペアレンシーは,構造物の辺縁の輪郭を残したまま構造物を透過させることができる表示方法だ。能登副技師長は,「小児の心臓の再構成で,肺の動静脈をトランスペアレンシーで処理することで気管支と血管の関係をわかりやすく表現できています。以前は,血管とほかの構造物,例えば骨との関係を表現するには,オパシティカーブで透過度を調整しつつ,輪郭を強調するなどの処理が必要でしたが,トランスペアレンシーでは輪郭や構造物の質感を残して透過度を上げることができます」と評価する。レンブラントは,緻密な光の計算処理によってよりリアルな体組織の形状や質感を持った3D画像を描出できる。倉元主任は,「立体的で奥行き感のある3Dの表現が可能になり,医師からも好評です」と述べる。
診療科との密な連携でニーズに合った3D画像を提供
3D画像への術前シミュレーションのニーズが高まるにつれ,診療科との密な連携やコミュニケーションが求められている。3Dラボでの取り組みについて能登副技師長は,「場所としての3Dラボが,呼吸器外科など診療科とのコミュニケーションのハブになっています。CTのすぐ横にありますしスタッフも常に誰かがいるので,診療科の医師が来て術前画像と手術時との違いや画像作成への要望などディスカッションすることも多くなりました」と言う。
肺がん手術に関する3D画像作成の依頼は年々増え続けており,2023年の185件から2024年は200件を超えるペースになっている。能登副技師長は,「術前だけでなく術後の依頼も増えています。また,呼吸器外科では,微小肺病変の手術の際に切除領域に,気管支鏡を使ってあらかじめ色素でマーキングを行うVAL-MAP(Virtual Assisted Lung Mapping)を行っているのですが,REVORASにはそのシミュレーションソフト(VAL-MAPプラニング)があり,そういったさまざまな術式にも対応しています」と述べる。循環器領域では,REVORAS導入後,冠動脈CT検査の全例でCT-ECVの計測を行っているが,堀井准教授は「CTでのECV解析は,MRIよりも簡便にできるメリットがあります。心筋の性状評価については,これから循環器内科とも連携を図りつつ進めていけるといいですね」と述べる。
血管撮影室の診療放射線技師は,2週間に1回行われるハートチームミーティングに参加している。TAVIなどstructural heart disease(SHD)にかかわる循環器内科,麻酔科,心臓血管外科などの診療科のほか,看護師,臨床工学技士など多職種が参加するカンファレンスで,個々の症例について患者の基本情報や治療方針などが共有されている。新田見主任は,「カンファレンスは作成した3D画像も参照しながら進められますが,そこで医師からこういう画像もほしいという要望が出て,追加で作成することもあります。作成した画像に対してのフィードバックを直接聞ける機会があることで,より臨床のニーズに即した画像の作成に役立っています」と述べる。
高精細化し多様化する画像処理を簡単に高速処理するWS
同院では,CTだけでも高精細CTやADCTなど4台が稼働する。1検査の画像容量の増加に加えて,診断や治療のため,より高精細で精度の高い画像へのニーズは高まるばかりだ。金沢技師長は,「画像解析を行うWSは,診断や手術支援など診療に欠かせないツールとしてすでに“インフラ”になっています。診療科からの要望や期待に応えられるように,継続的な性能や機能の向上に期待しています」と述べる。石川教授は,「画像処理の業務は診療放射線技師が担っていますが,3D画像へのニーズが高まる中で今後は業務の負担軽減にも配慮したWSにも期待したいところです」と言う。
診断や手術支援など多様化しさらに増加する画像処理業務を支える次世代WSの役割は,さらに大きくなっていくに違いない。
Interview●画像が拓く心不全診療の未来
3DWSによる心筋性状評価から予後予測まで“点から線”への診断能に期待
循環器内科・猪又孝元教授に聞く
猪又孝元 教授
重症心不全診療を専門とする循環器内科の猪又教授に,画像を活用した心不全診療への今後の期待を聞いた。
─循環器内科の診療について。
スタッフは30名で,大きく虚血/SHD,心不全,不整脈のチームに分かれて診療を行っています。新潟県の大学病院は本院のみで,新潟県は非常に広い地域ですので,地域の医療機関とも連携しながら診療,研究,教育に取り組んでいます。また,救急医療への対応も当院の使命であり,救急・集中治療室と連携し,心臓血管外科,放射線科,小児科などともチームを組んで対応しています。REVORASは,冠動脈疾患や不整脈治療の術前検査,TAVIのプランニングに活用しており,CT-ECV解析などを用いた心筋評価も行っています。
─画像を中心とする循環器診療のポイントは。
心臓の機能や動態を把握するモダリティは,少し前までは超音波診断装置が中心でした。ここ数年,MRIをはじめCTなどのモダリティとWSの解析技術の進歩で,心筋性状をとらえることができるようになってきました。それによって心不全への新たなアプローチが可能になってきました。
心不全は,病名ではなく心臓の機能不全を表す状態名ですが,治療としては投薬が中心でした。特に,心不全の半数以上を占めるHFpEF(収縮機能が保たれた心不全)には,予後を改善する有効な手だてが乏しい現状があります。しかし,この10年近くでTAVIやアブレーションなどの治療法が発展し,心不全の原因となる疾患に介入することで結果として心不全が改善できるようになってきました。同様に心筋症に対しても有効な治療薬が出てきたことで,心筋性状の解析が重要になっています。その意味で,3DWSにはプランニングや解析によって,治療に直接結びつく重要な情報を提供する役割が期待されます。
3DWSへのもう一つの期待は,現在だけでなく将来的な転帰や予後も含めた診断です。循環器疾患は長らくその時の症状に対する“点”の治療がメインでした。しかし,心不全パンデミックとも言われ死亡数ががんに迫る中で,患者さんのこれからの時間軸を考えた“線”のアプローチが求められています。私は,2011年にMRIと病理像のマッチングが心筋の予測因子となることを発表しましたが,MRIなどモダリティの進歩で心筋の状態を非侵襲的に確認できるようになり,画像によって患者さんの未来を予測した上で治療を提供できる可能性が出てきました。がんの診療ではすでに行われているアドバンス・ケア・プランニング(ACP)が,これからは循環器疾患でも可能になる段階に来ています。REVORASではCT-ECVなど心筋性状評価の解析も可能で,専門病院だけでなく一般診療への拡大が期待でき,循環器の診療自体を大きく変えるポテンシャルがあります。
心筋に対する将来予測を可能にするには,循環器内科だけではなく放射線科との連携も欠かせません。現在の画像から専門的な診断を行う放射線科の眼と,同じ患者の転帰を追っている循環器内科の知見を互いにフィードバックすることで,時間軸に沿った線の治療を患者さんに提供することが可能になります。そのためのチーム作りをこれから進めていきたいと考えています。
─REVORASへの期待を。
心臓領域の治療法はアップデートが速く,最適な治療の選択に必要な情報は刻々と変化します。3DWSにも,その変化をいち早くとらえて反映するスピード感が求められます。また,リッチな視覚情報が当たり前な現代で,3D画像はもはや医療関係者だけの情報ではなく,患者さんが診断や治療を理解し納得するためのツールでもあります。そこまでを含めた画像処理や解析が可能なシステムとなることを期待しています。
新潟大学医歯学総合病院
〒951-8520
新潟県新潟市中央区旭町通一番町754
TEL 025-223-6161(代)
https://www.nuh.niigata-u.ac.jp
- 【関連コンテンツ】
