2023-8-21
2023年8月21日,エルピクセル(株)(以下「エルピクセル 」)は,胸部X線画像から,肺結節(1)候補域を検出し,医師の診断支援を行う医用画像解析ソフトウェア EIRL Chest Nodule(2)について,検出感度を向上させた新モデルの日本国内での販売を開始した。今回の新モデルは,医療機器の特性に応じた変更計画の事前確認制度であるIDATEN制度を活用し,変更計画の確認完了を受けてバージョンアップされたものとなる。
EIRL Chest Noduleは,2020年8月に深層学習を活用したプログラム医療機器として医療機器製造販売承認を取得,販売を開始しており,日本国内の健診施設や総合病院等で導入されている。臨床現場での活用が進む中,多い場合で1日に数百件以上の胸部X線画像を読影する医師のワークフローを阻むことなく,見落とし防止に寄与するソフトウェアとして,医師の声を活かしながら性能改善を図ってきた。今後も,IDATEN制度を活用し,迅速に改良後の高性能な製品販売を目指していく。
【強化された機能】
肺結節候補域の検出感度が向上
本ソフトウェアを使用しない読影試験での放射線科専門医9名,非専門医9名の肺結節候補域の平均感度はそれぞれ,47.1%,43.78%であった。それに対し,今回のバージョンアップによって,旧モデルと比較した本ソフトウェアの肺結節候補域の検出感度は4.1ポイント向上し78.4%に改善された。サイズ別の評価では,5mm以上15mm未満の小さな結節での検出感度が9ポイント向上し,63.6%となった。(3)
【画像例】
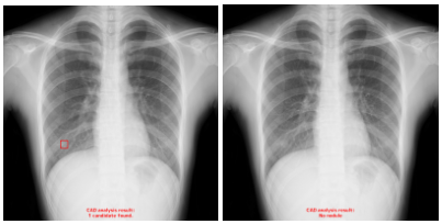
・偽陽性の改善例
肋骨,血管,ニップル等が重なり合い,透過度が減少している領域に対して旧モデルでは偽陽性が発生していたが,新モデルでは改善されている。(4)
※左:旧モデルによる解析結果,右:新モデルによる解析結果
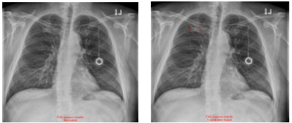
・偽陰性の改善例
旧モデルでは肋骨の重なりに隠れた肺結節候補域を検出できていなかったが,新モデルでは検出できている。(5)
※左:旧モデルによる解析結果,右:新モデルによる解析結果
【EIRL Chest Nodule について】
胸部X線画像から肺結節の疑いがある候補域を検出し,医師の読影をサポートするAIソフトウェア。医師単独で読影した場合と比べ,本ソフトウェアを用いて読影した場合には,放射線科専門医で9.95%,非専門医で13.1%の感度が上がることが認められ(6),2020年8月に薬事承認を取得,販売開始した。
発売開始後,2021年9月には検出感度の向上および経時的変化の表示機能を追加した新モデルをリリースするなど,医師の声を活かしながら,継続的な改良に取り組んでいる。
【IDATEN(Improvement Design within Approval for Timely Evaluation and Notice)制度について】(7)
IDATEN制度とは,AIを活用したソフトウェア医療機器等,製造販売承認取得後に性能向上等が予定されている医療機器等に対し,その性能等に関する変更計画(ソフトウェアのバージョンアップ計画等)について,独立行政法人 医薬品医療機器総合機構(PMDA)が事前に確認することで,その計画の範囲内であれば「医療機器変更計画に従つた変更に係る届書」を提出するだけで改良を認める審査制度。従来,性能に関する変更を行う際は,その都度「一部変更承認申請」を行う必要があり,製造販売業者にとって,数ヶ月の審査期間と手数料が負担となっていた。IDATEN制度における「医療機器変更計画に従つた変更に係る届書」は届出書類を提出するのみで完了し,審査期間や手数料等の費用を大幅に縮減できることによって,より迅速に,高性能な医療機器を提供することが可能となる。
(1)肺結節: X線画像では,空気は黒く,骨・筋肉・血液などの水分は白く写る。通常は黒く映る部分が局所的に白く見えた場合,それを「結節影」と呼び,肺がん,肺結核,肺炎などの可能性が疑われる。定期健康診断などで実施される胸部X線検査において,そういった「結節影」が見られた場合には,精密検査によって確認をする必要がある。
(2)販売名:医用画像解析ソフトウェア EIRL X-Ray Lung nodule ,承認番号:30200BZX00269000
(3)旧モデルと新モデルの単体性能試験の結果の比較
(4)解析する画像によって偽陽性が発生する場合がある。
(5)解析する画像によって偽陰性が発生する場合がある。
(6)肺結節が認められる有所見画像67症例及び正常画像253症例の胸部単純X線画像を対象に,18名の医師による読影試験結果(旧バージョンによる試験結果)
(7)厚生労働省医薬・生活衛生局「医療機器の変更計画の確認申請の取扱いについて」 (薬生機審発0831第14号,令和2年8月31日)
https://www.pmda.go.jp/files/000236900.pdf
●製品に関する問い合わせ
エルピクセル(株) 営業本部
TEL 03-6259-1713
Mail:eirl-cs@lpixel.net
https://marketing.eirl.ai/ja/contact/
