2023-9-28
粒子線治療の普及を目指す(株)ひょうご粒子線メディカルサポート(https://hibms-hyogo.co.jp/ )が開発した放射線治療計画支援プログラム,Ai-Seg(https://hibms-hyogo.co.jp/product/ai-seg/ )が国内の医療機器薬事承認を取得した(https://www.pmda.go.jp/PmdaSearch/kikiDetail/ResultDataSetPDF/201750_30500BZX00161000_R_01_01 )。本プログラムはNVIDIAのテクノロジを活用して開発されており,AIによる臓器などの領域抽出を主な機能とする放射線治療計画支援プログラムとしては,国内2件目の薬事承認医療機器となる。
がん患者の放射線治療において,腫瘍の周辺正常組織を放射線から保護するため,まず照射範囲や位置を決める治療計画が行われる。通常,照射を行う前に一週間ほどかけて計画が行われるが,症例によって短期間で腫瘍が増大するケースや,治療期間中に腫瘍縮小や体重減少,肺炎など解剖が大きく変化するケースがあり,迅速な治療準備が求められる場合がある。さらに近年では,日々変化する患者体内の臓器位置や形状に合わせて治療方法をリアルタイムに最適化する治療の研究が盛んに進められている。しかし現状のシステムでは手動による膨大な作業時間が一つのハードルになっている。また,臓器の領域データの作成は医療従事者間でもばらつきが生じる複雑な作業であり,施設間で治療内容にばらつきを生じる要因となっている。そのため,リアルタイムで腫瘍と周辺正常組織の位置を把握すること,また,臓器の領域データの作業の均てん化と負担軽減は放射線業界において長年の課題であった。
ひょうご粒子線メディカルサポートがリアルタイムの放射線照射の実現に向けてAIの活用を検討する中で,出会ったのがNVIDIA Clara Imaging(https://blogs.nvidia.co.jp/2021/09/06/clara-imaging-casestudies-hibms/ )。Clara Imagingは医用画像向けの AI 開発プラットフォームであり,現在はNVIDIA が推進するオープンソースの医用画像用 AI フレームワークであるMONAI(https://monai.io/ )として提供されている。MONAIには臓器のセグメンテーションや分類,生成などを行うAIモデルが20種類以上含まれる。医療機関はこれらを利用してAI支援アノテーションを行ったり,各機関が所有する独自のデータを使って転移学習,自己教師あり学習,自動機械学習や連合学習を行い,モデルをトレーニングすることができる。また, Auto3Dセグメンテーションを利用することにより,開発者は1〜5行のコードでモデルをトレーニングすることができ,CTやMRIのような3D画像モダリティから必要な領域を迅速にセグメントできる。MONAIとGPUを活用することで,トレーニング時間が数週間~ 数ヶ月から2日程に短縮される。 既存の医用画像システムへのAIアプリケーションの統合を効率化し,PACS環境とのシームレスな通信が行えるため,臨床現場に容易に展開することが可能。
ひょうご粒子線メディカルサポートは2019年からNVIDIAが提供する事前学習済みモデルや既存のモデルのアーキテクチャをベースとし,腫瘍と周辺正常臓器輪郭を作成する各種AIモデルの作成,およびトレーニングを NVIDIAのDGXシステム(https://www.nvidia.com/ja-jp/data-center/dgx-platform/ )で行った。学習データには兵庫県立粒子線医療センターと大阪大学医学部附属病院の実際に治療した1500症例以上の計画画像,および放射線治療専門家によって抽出された輪郭データを用いており,これにより頭頚部,胸部,腹部,骨盤部の主要臓器を自動で作成するモデルを兵庫県立粒子線医療センター(https://www.hibmc.shingu.hyogo.jp/ )や大阪大学大学院医学系研究科の研究グループら(https://resou.osaka-u.ac.jp/ja/research/2023/20230825_1 )と共に開発している。
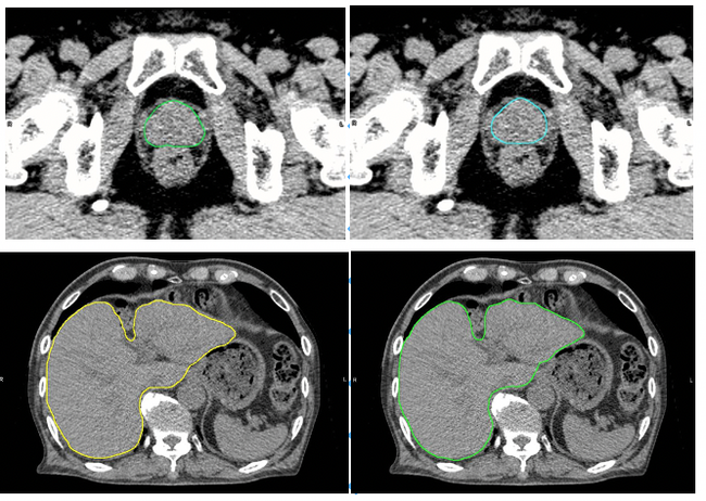
肝臓モデルを使用した例では,輪郭作成に要する時間は,従来の手作業のみでは30分以上要したものが,臨床利用ための人による修正時間も含め,Ai-Segによる自動輪郭作成及び必要に応じての軽微な修正作業を合わせて5分程度までに短縮することができた。図1に示すように医師とAi-Segが作成した輪郭を比較しても違いがわからないほどの水準にまで達している。
図の上は前立腺,下は肝臓のCT画像。左はAi-Segによる自動抽出,右は医療従事者の手入力による抽出。Ai-Segによる描画は医療従事者による描画と遜色ない精度で輪郭を自動作成が可能(図の提供:大阪大学プレスリリースより※)
(株)ひょうご粒子線メディカルサポート 支援企画課 主査の原田秀一氏は以下のように述べている。「NVIDIAが提供するAI 開発プラットフォームを活用することでより少ない労力で開発時間を大幅に短縮することができました。その結果,Ai-Segの開発コストを抑えることができ,治療計画の支援に対する投資予算が限られている医療機関にとって導入しやすい価格設定を実現することができました。また,国内販売に関してAi-Segは学習データに日本人を含めてアジア人の症例を使っていること,また学習データの提供元の医療機関を公開していることを含め,精度および信頼性においても国内の医療機関からすでに高い注目を集めています。」
ひょうご粒子線メディカルサポートは,モデルの開発,評価体制の強化や学習に使用する症例数を増やすため,新たに兵庫県立がんセンター,大阪国際がんセンターと共同研究を開始し,Ai-Segを使用する医療機関のニーズを満たす開発を継続していく。並行して,今年度は20施設以上導入を目指し,国内におけるさらなる展開を目指すと共に,国内で磨き上げたモデルを海外展開することを視野に入れている。NVIDIAはモデルのトレーニングや精度の向上,最新AI機能の追加のために引き続き支援を行っていく予定。
提供形態
Ai-Segは,ソフトウェアとして,NVIDIA GPUを搭載した汎用ワークステーションにインストールすることで使用することができる。インストール可能なワークステーションの詳細は(https://www.pmda.go.jp/PmdaSearch/kikiDetail/ResultDataSetPDF/201750_30500BZX00161000_R_01_01
)を参照。
※トップ画像および本文中の画像の提供:大阪大学プレスリリース(https://resou.osaka-u.ac.jp/ja/research/2023/20230825_1 )より
●問い合わせ先
エヌビディア広報部
Japan-PR@nvidia.com
https://www.nvidia.com/ja-jp/
