2023-11-2
- 急性期医療をはじめ,迅速な診断を必要とする地域の患者さんへ最適な医療の提供に貢献
- 国内7台目として稼働開始し,循環器領域を中心に活用が進む
シーメンスヘルスケア(株)(以下 シーメンスヘルスケア)は,フォトンカウンティング検出器を搭載した次世代CT「NAEOTOM Alpha(ネオトム アルファ)」が三重大学医学部附属病院へ導入されたことを発表した。
特定機能病院として高度急性期・急性期医療を中心に行う施設で,NAEOTOM Alphaを活用することで,フォトンカウントティングCTの高精細,低被ばく,スペクトル解析の特性を活かした,より安全で最適な医療の提供につながることが期待される。三重大学医学部附属病院では本製品を使用した診断を既に開始している。
三重大学医学部附属病院では,「信頼と安心が得られる地域医療の拠点として,未来を拓く診療・研究を推進し,人間性豊かな優れた医療人を育成します」という理念のもと,地域の拠点病院として,安全で質の高い先進的な医療の提供と,新しい医療を目指す臨床研究を推進している。今回,最新の高精細な撮影技術や短時間での撮影が可能となるNAEOTOM Alphaを新たに導入することにより,迅速で最適な医療を必要とする患者へ診断・診療時間の短縮や被ばく低減といったメリットをもたらすことが期待されている。また,三重大学医学部附属病院が実績を蓄積されてきた循環器領域での診断や研究へも活用される予定。
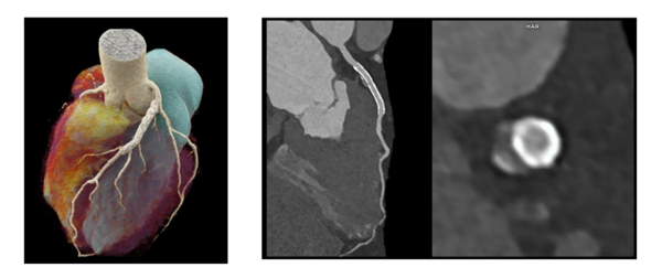
三重大学大学院医学系研究科 放射線医学教室 教授 佐久間 肇氏は,「従来のCTの解像度(0.5-0.6mm)では直径2-3mmの冠動脈の狭窄や血管壁の動脈硬化病変を正確に捉えることはできませんでした。Dual Source CTの高いシャッタースピード(66ミリ秒)とフォトンカウントティング検出器による従来比約10倍の空間解像度を組み合わせることで,心臓画像診断の“Precision Medicine“がはじめて実現できます。フォトンカウンティングCTの画像は超解像度(1024x1024x0.2mm)ですので,一回のCT検査でHD映画一本分を超える多量のデータが発生します。三重大学病院では世界で初めて,すべての診察室と病棟でフォトンカウンティングCTの超解像度画像を表示できるシステムを開発し,地域の皆様の診療に直接役立てています。」と述べている。
「NAEOTOM Alpha」で撮影した心臓画像エラスムスメディカルセンター 提供
シーメンスヘルスケア ダイアグノスティックイメージング事業本部長兼営業統括本部長 桜井 悟郎氏は,以下のように述べている。「三重大学医学部附属病院様にNAEOTOM Alphaを評価・導入いただきましたことを大変光栄に思います。世界で始めて*1のフォトンカウンティングCT「NAEOTOM Alpha」を使用した研究は世界各地で行われており,今月末に行われる第109回北米放射線学会(RSNA 2023)でも多くの演題が発表される予定です。」
■「NAEOTOM Alpha」について
本製品は,Siemens Healthineers AG(ドイツ・エアランゲン)が,半導体メーカーである(株)アクロラドと共に研究開発を行い,実用化された。
フォトンカウンティング検出器を搭載した最新の Dual Source CT(2つのX線管と検出器を搭載したCT)といった大きな特徴を活かしたスペクトラルイメージングにより,1秒未満といった短い時間での70cmを超える広範囲の撮影,心臓など動きのある臓器においても高精細な画像の取得が可能となる。
さらに被ばく線量を約100分の1*1,2に減少した撮影を実現し,患者や検査を受ける方の負担を減らしつつ正確で包括的な検査が可能となる。その応用範囲は,腫瘍や心臓の診断から肺のフォローアップ検査まで,幅広く多岐にわたる。
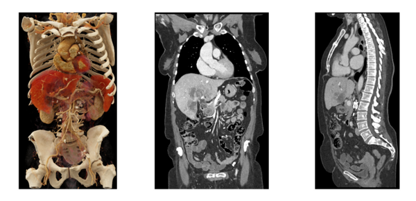
「NAEOTOM Alpha」で撮影した全身の腫瘍検査 エラスムスメディカルセンター 提供
本製品に関する情報は,ホームページの製品紹介ページを参照。
URL: www.siemens-healthineers.com/jp/computed-tomography/photon-counting-ct-scanner/naeotom-alpha
販売名 ネオトム Alpha 「NAEOTOM Alpha」(認証番号:304AIBZX00004000)
*1 自社調べ
*2 A national survey on radiation dose in CT in The Netherlands. 2013 Aug; Insights Imaging (2013) 4:383–390
■三重大学医学部附属病院について
三重大学医学部附属病院は,1876年の三重県医学校兼治療所の設置に端を発し,1944年に三重県立医学専門学校の設立に合わせて同附属病院として開設され,約80年の歴史をもつ三重県で唯一の特定機能病院。人間性豊かな優れた医師や医療者の育成,最先端の医療や医療技術の開発,「最後の砦」となる重症患者に対する医療を展開し,年間約1万8千人の入院患者,約33万人の外来患者の受け入れや年間約7000件の手術を行っている。患者の安全ファーストの診療と安全な手術や集中治療を行える体制を整えている。
https://www.hosp.mie-u.ac.jp/
●問い合わせ先
シーメンスヘルスケア(株)
https://www.siemens-healthineers.com/jp/
