2024-2-7
MAGNETOM シーマ エックス
認証番号:305AABZX00070000
- 最大傾斜磁場強度200mT/mを実現する強力な傾斜磁場コイルにより,脳や体内の微細な構造を高いコントラストで描出
- 傾斜磁場コイルの新たな冷却方式により,拡散強調画像の撮像時間を最大75%短縮
- 研究用にカスタマイズした画像再構成アルゴリズムのシームレスな臨床応用をサポート
シーメンスヘルスケア(株)(以下 シーメンスヘルスケア)は,脳神経領域における高度な研究ニーズに応える磁気共鳴診断装置(MRI)「MAGNETOM Cima.X(マグネトム シーマエックス)」を2月7日より販売する。
日本神経学会をはじめとする各学会が2022年11月に発表した,「脳神経疾患克服に向けた研究推進の提言 2022」 *1 によると,日本は「超高齢社会を迎え,認知症・神経変性疾患・脳血管疾患などの脳神経疾患の有病率が増加し,最近 20 年間でほぼ倍増」している。同提言によると,脳神経疾患には「難治性疾患が数多く存在」する一方で,「認知症をはじめとして原因不明であった脳神経疾患の病態が解明されつつあり,分子病態を標的とした疾患修飾療法(DMT)の開発を推進し,研究成果を社会実装する必要性が高まっている」とされ,脳神経領域においては,引き続き研究および研究成果の臨床への応用が期待されている。
シーメンスヘルスケアは,日本において1980年代にMRIが臨床応用されはじめた頃より数々の先進的な技術を導入し,研究用途やさまざまな臨床ニーズに応える幅広いラインアップを提供している。今回発売する「MAGNETOM Cima.X」は,大学病院や総合病院などにおける脳神経領域の研究用途を主なターゲットとし,強力な傾斜磁場を用いた拡散強調画像により,脳や体内の微細な構造を高コントラストで描出する。既発売の「MAGNETOM Prisma」の後継機種でありながら,従来機の2.5倍の最大傾斜磁場強度200mT/mを実現するなど,同社の最先端技術を結集した製品となる。
最大傾斜磁場強度200mT/mの 強力な傾斜磁場コイルにより,脳や体内の微細な構造を高いコントラストで描出
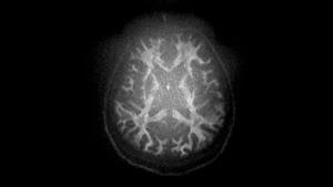
拡散強調画像とは,細胞内のミクロな分子の動き(拡散)による信号の変化を表す画像で,水分子の拡散が小さい部分が高信号で表される。本来あるはずの水の動きが止まった部分を強調するため,脳梗塞の急性期診断などに有効とされている *2 一方で,他の中枢神経系疾患の診断や管理への応用が期待されている *3 。脳の神経線維などを観察するためのコントラストの高い拡散強調画像を得るためにはb値(拡散の強調されている程度を示す値)を上げる必要があるが,非常に高いb値ではMR信号を取得するまでのエコー時間(TE)が長くなり,それに伴うノイズの増加が課題であった。
今回新たに開発した傾斜磁場コイル「Gemini Gradients」 は,Siemens Healthineersが2010年より,アメリカ国立衛生研究所(National Institutes of Health)の支援のもと,マサチューセッツ総合病院(Massachusetts General Hospital)と共同で進めている超強力磁場MRIを用いた脳神経ネットワークマッピングに関するプロジェクト *4 の中で開発されたConnectome Scannerに発想を得た技術。2つのGPA(Gradient Power Amplifier)を同時駆動させることで,従来機の2.5倍となる最大傾斜磁場強度200mT/mを実現する。それにより,非常に高いb値においてもTEを短縮し,SNR(Signal to Noise Ratio:信号対ノイズ比)の大幅な改善が可能となる。高コントラストの拡散強調画像の画質向上により,脳の構造的・機能的なつながりの研究において重要となる脳の複雑な神経線維の走行やマイクロストラクチャの描出などの可能性が広がる。
MAGNETOM Cima.Xによる拡散強調画像 |
同社従来機(MAGNETOM Prisma)による拡散強調画像 |
傾斜磁場コイルの新たな冷却方式により,撮像時間を最大75%短縮*5
強力な傾斜磁場を印加するほど傾斜磁場コイルが発熱するため, 冷却のためにより長い撮像時間を要する。従来はコイルを冷却水の中に浸す構造であったが,今回新たに開発した冷却方式「HydroCore Cooling」では,傾斜磁場コイル の中空導体内に冷却水を通すことで冷却効率を大幅に改善し,高いb値を用いた拡散強調画像においても,撮像にかかる時間を最大75%短縮 *5する。
研究用にカスタマイズした画像再構成アルゴリズムのシームレスな臨床応用をサポート
従来,研究用にカスタマイズしたアルゴリズムを用いて画像再構成を行う場合には,装置で撮像した生のデータをエクスポートし,アルゴリズムがインストールされている別のPCにて画像再構成を行い,DICOM規格に変換した画像データを再度装置側に取り込むという手順が必要であった。今回新たに開発・搭載したアプリケーション 「Open Recon」は,研究用にカスタマイズした画像再構成アルゴリズムをあらかじめ装置の画像再構成Unit(MaRS)内に適切なプロセスでインストールすることで,装置上でリアルタイムに画像再構成を行うことのできる技術。研究の成果のシームレス,かつ効率的な臨床への応用に貢献することが期待される。
高画質なMRI画像を実現する,当社MRI装置独自のソフトウェア・ハードウェアテクノロジーを搭載
同社独自の,AIを用いた画像再構成アプリケーション「Deep Resolve」を搭載。Deep Resolveはディープラーニング(深層学習)を用いて,高速化した際のノイズ上昇を抑える機能と,超解像を用いて高分解能化を行う機能を有している。これにより,MRIの原理上難しかった高速化と高画質化を同時に実現する。また,臨床用装置と同じく,年齢,体型,症状など被検者の特性によらず,再現性の⾼いハイクオリティな画像を安定的に提供するためのハードウェアテクノロジーBioMatrix Technologyを採用しています。各種センサーやコイル内の独自のハードウェアユニットにより,研究においても呼吸情報等の付加情報を非接触で得られ,被検者 や操作者による画質の変化を大幅に低減した,安定した画像を得ることができる。
同社は今後も,MRIのリーディングカンパニーとして,さまざまなブレークスルーをもたらすべく,ヘルスケアの未来に向けて邁進していく。
MAGNETOM Cima.Xの製品ページはこちら
https://www.siemens-healthineers.com/jp/magnetic-resonance-imaging/3t-mri-scanner/magnetom-cima-x
1 日本神経学会,日本神経治療学会,日本神経感染症学会,日本パーキンソン病・運動障害疾患学会,日本末梢神経学会,日本自律神経学会,日本筋学会,日本神経免疫学会による「脳神経疾患克服に向けた研究推進の提言 2022」(2022年11月)
2 Heiss WD, Sobesky J, Smekal U, et al: Probability of cortical infarction predicted by flumazenil binding and diffusion-weighted imaging signal intensity: a comparative positron emission tomography/magnetic resonance imaging study in early ischemic stroke. Stroke 35 (8):1892-1898, 2004 およびSchaefer PW, Grant PE, Gonzalez RG: Diffusion-weighted MR imaging of the brain. Radiology 217 (2): 331-345, 2000
3 Siddhartha Gaddamanugu, et al: Clinical applications of diffusion-weighted sequence in brain imaging: beyond stroke. Neuroradiology. 2022 Jan;64(1):15-30.
4 Matthew F. Glasser, et.al: The Human Connectome Project’s Neuroimaging Approach. Nat Neurosci. 2016 Aug 26; 19(9): 1175–1187
5 同社製品比。TE短縮時間による短縮分も含む
●問い合わせ先
シーメンスヘルスケア(株)
https://www.siemens-healthineers.com/jp/
