2025-7-31
富士フイルム(株)は,医師の画像診断ワークフローを支援するAIプラットフォーム「SYNAPSE SAI viewer(シナプス サイ ビューワ)」*1の新バージョン「SYNAPSE SAI viewer Ver2.7」を,富士フイルムメディカル(株)を通じて7月31日より提供を開始する。
同社は,AI技術*2を活用し,医師の診断精度向上と読影業務の効率化を支援するビューワ「SYNAPSE SAI viewer」を2019年に放射線科向けに発売した。発売以降,CT画像の読影支援機能を中心に継続的に機能を拡充するとともに,並行してMRI画像向けの機能拡充に向けた技術開発を進めてきた。MRI画像はシーケンスや撮像条件が多岐にわたるため,CT画像よりもAI技術開発の難易度が高いとされている。同社はCT画像向けに構築した技術をMRI画像に転用できるAI技術の開発にも成功しており,MRI画像向けの読影支援機能を拡充している。
今回提供を開始するVer2.7では,新たにオプション機能として,MRI画像での前立腺領域の読影を支援する「前立腺ビュー」と,MRI体幹部DWI*3画像での読影を支援する「Body DWIビュー」を搭載した。また,CT画像の読影支援機能もさらに拡充し,読影医からの要望が多かった「縦隔リンパ節のラベリング機能」を新たに搭載した。
「SYNAPSE SAI viewer Ver2.7」で追加した機能の主な特長は以下の通り。
(1) 前立腺ビュー(MR)*4
前立腺がんは,初期段階では自覚症状がほとんどないことが多く,発見が遅れるケースも少なくない。進行すると骨や他臓器への転移リスクが高まることから,早期発見と適切な治療が極めて重要である。前立腺がんは,血液検査で測定されるPSA値(前立腺特異抗原)を基に,必要に応じてMRIなどの追加スクリーニング検査を実施したうえで診断される。MRIによる評価では,「PI-RADS*5」と呼ばれる診断基準が用いられているが,この診断基準に基づく判定手順が煩雑だと感じる医師も少なくない。
今回新たに搭載する「前立腺ビュー(MR)」は,最新版であるPI-RADS V2.1に準拠した読影を支援する機能。本機能は,起動と同時にPI-RADS読影専用のダイアログが立ち上がり,自動で前立腺の体積を表示する。医師が血液検査で得られたPSA値を入力すると,自動でPSA密度を算出する。また腫瘍計測をすると,自動で腫瘍のサイズ/区域/側性などを表示する。さらに,医師がT2WI*6/DWI/DCE*7(ダイナミック造影像)の各スコアを入力すると,PI-RADSカテゴリーを自動で算出する。これらの計測情報やカテゴリー情報を用いて,所見文の候補を複数表示することもでき,PI-RADS読影のワークフローを支援する。
前立腺ビュー(MR)のレイアウトイメージ図
前立腺ビューでの読影支援機能。 腫瘍計測をすると,自動で腫瘍のサイズ/区域/側性などを表示する。 また,医師が選択した各画像スコアに基づき,PI-RADSカテゴリーを自動算出する。
(2) Body DWIビュー(MR)*8
近年,MRIを用いた全身がんスクリーニング検査として注目されているWhole Body Diffusion Weighted Imaging(以下,WBDWI)は,全身を対象とした検査が可能であるほか,骨シンチグラフィやPET検査のように放射性同位元素を使用しないため,被ばくすることなくがんの骨転移やリンパ節転移を検出できる。また,現在は特定の施設基準*9を満たすことにより,前立腺がんにおける骨転移診断を目的とした診療報酬加算が認められ,この検査への関心がさらに高まっている。一方で,WBDWIには以下のような課題があり,読影に時間がかかることが指摘されてきた。
■WBDWIの課題
- 複数部位の撮像が必要であり,部位ごとのシリーズ結合作業(スティッチング)が必要となる。
- 撮像部位ごとに適切なコントラストが異なり,部位ごとのコントラスト補正に手間がかかる。
- 骨転移検索を目的とした読影では,骨以外の高信号領域の削除作業が発生する。
今回新たに搭載する「Body DWIビュー(MR)」は,こうした課題を解決し,WBDWI 読影の効率化を支援する機能である。本機能は,スティッチングやコントラスト補正を自動化することで,調整作業にかかる手間を軽減する。さらに,MRIの三次元セグメンテーション技術とDWI解析を組み合わせることで,骨領域のみに,ADCカラーマップ表示*10を行うことができ,骨転移箇所探索の支援につながることが期待できる。
Body DWIビュー(MR)のレイアウト画面
Body DWIビュー(MR)での自動スティッチング機能および自動信号値補正機能。
骨抽出機能の例。骨転移検索目的での読影効率化に繋がることが期待できる。
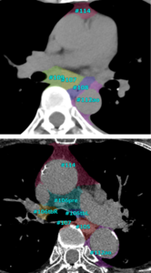
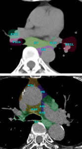
(3) リンパ節ラベル(CT)*11
リンパ節は全身に存在しており,想定外の箇所で腫大が生じる場合もあるため,その読影には大きな負担を要する。従来,「SYNAPSE SAI viewer」ではCT画像(造影・非造影)における頸部/縦隔・腋窩/腹部の腫大傾向のリンパ節の抽出が可能であったが,レポート作成時に必要なリンパ節の解剖学的名称の把握をより簡便化する機能に対する市場要望があった。今回搭載する新機能は,肺がん取扱い規約(第8版)および食道がん取扱い規約(第12版)の2つのガイドラインで定義された縦隔リンパ節区域をラベリングできる機能である。既に搭載されているリンパ節抽出機能と合わせて本機能を利用することで,解剖区域を埋め込んだスマート定型文を呼び出すことができ,レポート作成効率の向上が期待される。
肺癌取り扱い規約(第8版)によるラベリング |
食道癌取り扱い規約(第12版)によるラベリング |
リリース済みのリンパ節抽出機能と併用することで,取扱い規約に則った解剖区域を埋め込んだ所見文候補を表示可能である。
富士フイルムは,AI技術ブランド「REiLI」のもと,AI技術の医療における活用の幅を広げることで,医療画像診断支援,術前シミュレーションの支援,医療現場のワークフロー支援などに取り組んでいく。
*1 SYNAPSE SAI viewerは以下の医療機器を含む製品の総称である。
SYNAPSE SAI viewer用 画像表示プログラム
販売名:画像診断ワークステーション用プログラム FS-V686型 認証番号:231ABBZX00028000
SYNAPSE SAI viewer用 画像処理プログラム
販売名:画像処理プログラムFS-AI683型 認証番号:231ABBZX00029000
*2 AI技術のひとつであるディープラーニングを設計に用いた。導入後に自動的にシステムの性能や精度が変化することはない。
*3 DWI(拡散強調画像)とは,MRIの撮影方法の一つで,水分子の拡散運動を画像化するものである。
*4 オプション販売。詳細は弊同社営業担当まで問い合わせ。
*5 Prostate Imaging–Reporting and Data Systemの略。前立腺MRI画像診断における評価とレポートの標準化を目的としている。前立腺のMRI画像所見を基に,前立腺がんの疑いの強さを5段階で評価するシステムである。カテゴリー1は,がんの疑いが非常に低い,カテゴリー5は,がんの疑いが非常に高いと判断される。
*6 T2WI(T2強調画像)とは,MRIにおける撮像方法の一つで,体内の水分が多い部分を強調して表示する画像のことである。特に,脳梗塞や脳腫瘍,炎症性疾患などの診断に有用とされている。
*7 DCE(ダイナミック造影MRI)とは,造影剤を投与し,その時間的な変化を画像化することで,腫瘤の血管新生や透過性などを評価するMRI検査のことである。
*8 オプション販売となる。詳細は同社営業担当まで問い合わせ。
*9 全身MRI撮像の指針(https://www.radiology.jp/member_info/ninsyoushisetsu2024_2025.html
)を満たす必要がある。
*10 ADCカラーマップとは,拡散強調画像から算出されるADC(apparent diffusion coefficient)の値を,カラー表示することである。ADCは,生体内の分子の拡散運動の程度を示す指標で,この値をカラー表示することで,病変部の拡散特性を視覚的に把握しやすくなる。
*11 オプション販売。詳細は同社営業担当まで問い合わせ。
1.品名
SYNAPSE SAI viewer 用画像表示プログラム
販売名:画像診断ワークステーション用プログラム FS-V686型
認証番号:231ABBZX00028000
SYNAPSE SAI viewer 用画像処理プログラム
販売名:画像処理プログラム FS-AI683型
認証番号:231ABBZX00029000
その他のSAI viewer用プログラムは問い合わせ。
2.提供開始時期
2025年7月31日
●問い合わせ先
富士フイルムメディカル(株)
マーケティング部
E-mail:shm-fms-hansoku@fujifilm.com
