2026-4-13
シーメンスヘルスケア(株)(以下 シーメンスヘルスケア)は,ブランケットタイプの大型コイルに新たに対応することで,被検者の検査体験を向上させる 3T MRI装置「MAGNETOM Vida Pro Edition」および「MAGNETOM Lumina Pro Edition」を,4月13日より新たに発売する。
超電導磁⽯式全⾝⽤MR装置MAGNETOM ヴィーダ 認証番号:229AABZX00082000
被検者の負担を軽減する柔軟で軽量なブランケット型コイルに新たに対応
高度な研究⽤途にも対応する3T MRI装置「MAGNETOM Vida」および幅広い疾患の診断に対応する3T MRI装置「MAGNETOM Lumina」をリニューアルした両製品は,被検者に装着する柔軟で軽量なブランケット型コイル BioMatrix Contour coils に新たに対応することで,被検者の負担を軽減するだけでなく,高密着なコイルにより,全⾝MRI検査における高いSNR(信号雑音比)を実現する。
また,いずれの製品も最新のソフトウェアバージョン XB10を標準装備しており,Siemens Healthineersが注力する,4つの疾患に関する高精度な検査に貢献する。
Stroke(脳卒中領域)
非造影で脳血流・血管・血管壁を高精度に評価する技術で,急性期の虚血評価から治療後フォローアップ,再発リスク層別化まで,脳卒中診療の質向上に貢献する。
●血流情報の個人差や病態差を補正し,脳血流量をより正確に評価するMulti ASL
非造影脳灌流評価における従来のASL(Arterial Spin Labeling / 動脈スピンラベリング)では,ラベルされ た動脈血が脳実質に到達するまでの時間(Arterial Transit Time:ATT)の個人差や病態差の影響を受けやすく,特に主幹動脈狭窄・閉塞例では灌流状態の過小評価が課題であった。Multi ASLでは,複数の遅延時間(PLD)でデータを取得し,ATTの影響を補正したrCBF map(補正後の脳血流量分布)と血液が脳実質に到達するまでの時間を示すBAT(Bolus Arrival Time)mapを自動作成することで,ATTの影響を低減し,脳血流量をより正確に評価することが可能。これにより,造影剤を使⽤せずに,急性期脳梗塞における虚血コア(すでに不可逆的な障害を受けた脳領域)とペナンブラ(血流低下はあるが,まだ回復可能な脳領域)評価,慢性期の血行再建術前後の血流評価などに貢献する。
左 MCA血行再建術後症例
●信号を最短時間で捉え,金属近傍の血管評価を可能にする独自の Ultra Short TE MRA(磁気共鳴血管撮影)技術PETRA MRA
Siemens Healthineers独自のUltra Short TE MRA(磁気共鳴血管撮影)技術であるPETRA MRAは,TE(echo time:RF 励起後から信号を取得するまでの時間)を極限まで短縮することで,金属によって生じやすい画像のゆがみや欠損(磁化率アーチファクト)を大幅に低減する。これにより,ステント留置後やコイル塞栓術後など,従来は評価が困難であった金属近傍の血管描出が改善され,治療後フォローアップにおける血管開存性評価や再狭窄の確認を,造影剤を使⽤せずに実施可能となる。
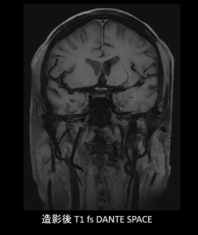
●動脈硬化性病変のリスク評価や,脳卒中再発リスクの層別化に貢献する DANTE 血液信号抑制技術(XB10より新たに搭載)
流れている血液の信号を選択的に抑制するためのRFパルス技術DANTE(Delay Alternating with Nutation for Tailored Excitation)は,流動血液信号を選択的に抑制する血液信号抑制技術。これにより,近年注目されている血管壁イメージングにおいて,血管内腔の血液信号を効果的に抑え,プラーク性状や血管壁肥厚の描出能を向上させる。動脈硬化性病変のリスク評価や,脳卒中再発リスクの層別化に貢献する。
Cancer Care(がん診療)
AIを活⽤した高画質3D撮像と自由呼吸下での全⾝造影Dynamic評価により,微小がんの検出から腫瘍性状・広がりの把握までを,高精度かつ検査効率向上と被検者負担軽減の両立を図りながら支援し,がん診療全体の質向上に貢献する。
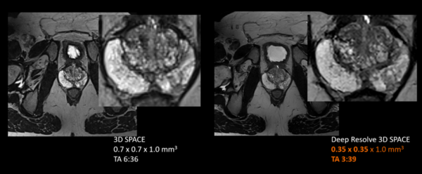
●3D撮像に新たに対応した独自の画像再構成技術Deep Resolveにより,微小病変の描出や腫瘍の境界を明瞭化
Siemens Healthineers独自のAIを活⽤した画像再構成技術Deep Resolveにより,ノイズ低減と空間分解能向上,高速撮像を同時に実現する。最新のソフトウェアでは,この再構成技術を3D撮像に対応させることで,がん診療のための撮像画像にも適⽤を拡大した。これにより,がん診療において求められる微小病変の描出や腫瘍境界の明瞭化を,高速撮像条件下でも安定して提供し,検査時間短縮と高画質化の両立を可能にする。また,3D画像再構成における再構成負荷増加に対応したMaRS(画像再構成 Unit)を搭載することで,画像再構成時間の削減にも取り組む。
●自由呼吸下で全身の造影Dynamic評価を可能にするGRASP VIBE
GRASP VIBEは,造影剤投与前後を通して連続的にデータを取得し,動きに強い再構成技術を組み合わせることで,自由呼吸下でも安定した造影Dynamic撮像を可能にする技術。これまで腹部MRIでその 有⽤性が多数報告されてきた本機能を全⾝領域に適⽤することで,呼吸停止が困難な被検者でも安定した造影 Dynamic検査を実現する。さらに,連続的なデータ取得と柔軟な時間再構成を活⽤することで,全⾝の各臓器や病変を個別に評価できる高空間分解能かつ高時間分解能Dynamic 検査を可能とし,造影効果の時間的変化を詳細に捉えることが可能となる。
Cardiovascular Care(循環器領域)
非接触センサーによる心拍・呼吸同期取得と,撮像条件および断面設定を自動化するAI支援技術により,心臓MRIの最大の課題である「撮像の複雑性」を大幅に低減し,再現性の高い検査を実現する。
●安定した心臓同期撮像を実現する非接触センサー技術
非接触センサーにより,心拍や呼吸情報を被検者にECG電極や呼吸ベルトを装着することなく取得可能。これにより,準備時間の短縮だけでなく,装着不良による再撮像リスクを低減し,安定した心臓同期撮像を実現する。
●心臓MRIの複雑な撮像条件の設定を自動化し,検査のばらつきを低減するAutoMate Cardiac(XB10より新たに搭載)
今回新たにAutoMate Cardiacを搭載し,遅延造影や冠動脈撮像に必要であった,複雑な撮像条件の設定を自動化することで,オペレーターの経験差による画質や断面設定のばらつきを抑制する。また,Siemens HealthineersのMRIに搭載されているAI技術 myExam Cardiac Assistにより,心臓の形態を自動認識し,短軸像・長軸像(2腔像,4腔像など)といった心臓MRIに必要な撮像断面を自動で設定する。これらの機能により,従来は専門的な知識と手作業を要していた心臓MRIの準備工程を大幅に簡略化し,標準化され,安定した心臓 MRI 検査に貢献する。
Neurodegenerative Diseases(神経変性疾患)
高分解能な脳画像を効率的かつ安定して取得することで,診断精度向上から治療支援まで,神経変性疾患の診断精度向上と定量評価に貢献する。
●撮像時間を大幅に短縮しながら高分解能な磁化率強調画像を取得するWave-CAIPI SWI技術
従来,SWI(Susceptibility Weighted Imaging:磁化率強調画像)は,微小出血や静脈構造を高感度に描出できる一方,高分解能の3D撮像が必要なため撮像時間が長く,ルーチン検査に組み込みにくいという課題があった。Wave-CAIPI技術を⽤いたSWIでは,撮像時間を大幅に短縮しながら高分解能なSWIを取得することが可能である。これにより,多発性硬化症において重要視される中心静脈サイン(Central Vein Sign:病変中心を走行する静脈所見)などの描出を,ルーチン検査の延長を抑えながら,診断精度向上に貢献する。
●BioMatrix Motion Sensorにより,被検者の動きによる画質劣化を抑制し,安定したMPRAGE撮像を実現(XB10より新たに搭載)
MPRAGE(Magnetization Prepared Rapid Gradient Echo)は,脳全体を高解像度の3D T1強調画像として取得できる撮像法で,認知症診断における脳萎縮評価や脳容積解析(Volumetry)に不可欠である一方,撮像時間が比較的長く,被検者のわずかな体動によって画質が劣化しやすいという課題があった。BioMatrix Motion Sensorは被検者の微細な動きをリアルタイムで検知し,MPRAGE撮像中の動き補正を自動で実行する。これにより,高齢者や安静保持が困難な被検者においても脳容積解析(Volumetry)に適した安定した3D画像を提供し,再撮像の低減と再現性の高い定量評価を可能にする。
●MRIガイド下集束超音波治療(FUS)治療対応
両装置は,インサイテック社の「MRガイド下集束超音波治療器 ExAblate 4000」と併⽤することによっ て,本態性振戦やパーキンソン病による手のふるえの治療のためのMRガイド下集束超音波治療(FUS)が実施可能。HiFUは,高齢化の進展に伴い患者数が増加するパーキンソン病や本態性振戦に対して,⾝体的負担の少ない低侵襲な治療法として注目されており,現在これらの疾患では保険適応治療として臨床現場で活⽤が進んでいる。治療前の高精度な治療計画から,治療中のリアルタイムモニタリング,治療後の画像評価までを一貫して担い,低侵襲脳治療に貢献する。
【 MRI ガイド下集束超音波治療(FUS)治療対応に関するプレスリリース】
シーメンスヘルスケアの MRI装置「MAGNETOM Lumina」が,本態性振戦やパーキンソン病の治療向け集束超音波治療器との併⽤可能に
https://www.siemens-healthineers.com/jp/press-room/press-releases/pr-20251211-insightec-magnetom-lumina
●問い合わせ先
シーメンスヘルスケア(株)
https://www.siemens-healthineers.com/jp
