2026-4-13
富士フイルム(株)は,CT,MRIなどの画像診断装置で撮影した医用画像の保存,管理,共有を実現する医用画像情報システムの新たなラインアップとして,クラウド型医用画像情報システム「SYNAPSE LEAD Cloud(シナプス リード クラウド)」*1を富士フイルムメディカル(株)を通じて2026年4月13日より発売する。
なお,富士フイルムは本製品を4月17日から19日にパシフィコ横浜(神奈川県横浜市)で開催される2026国際医用画像総合展(ITEM2026)に出展する。
厚生労働省が推進する医療分野のデジタル・トランスフォーメーション計画「医療DX令和ビジョン2030」では,クラウドなどの先端ICTを活用し,医療の質向上と業務効率化を図ることが掲げられている。こうした流れを背景に,診療体制の高度化や,医師の勤務環境の改善を目的とした「医師の働き方改革関連法」が2024年4月に施行され,医療機関におけるDX推進や業務効率化への関心が高まっている。さらに近年では,高速かつ安定したインターネット環境の普及によって,地方の小規模病院やクリニックを含む多様な医療機関で,クラウド型システムの導入が進んでいる。こうした医療現場のニーズに応えるため,同社はクラウド型PACSやストレージサービスなどの医療向けクラウドソリューションを展開してきた。
今回発売する「SYNAPSE LEAD Cloud」は,同社のクラウドソリューションの新たなラインアップとなるクラウド型PACS。撮影した医用画像をクラウドに保存することで,災害時のデータ消失リスクを軽減するほか,プリフェッチ機能など医用画像を高速に表示させる機能を搭載することで,スムーズな診療に寄与する。標準ビューワには,特定機能病院の7割以上で導入され,医師の診断精度向上と読影業務の効率化を支援する「SYNAPSE SAI viewer」*2を採用した。さらに,「Cloud viewer」*3により,院外や移動中などのモバイル環境からも,セキュアかつ直感的に画像を参照でき,医師の業務効率化をサポートする。また,AI技術*4を活用して開発した複数の読影支援機能を,専用ポータルサイトから選択して利用できる「医療クラウドサービス」にも対応しており,用途やニーズに応じた柔軟な活用が可能である。
富士フイルムは,今後も様々な医療現場のニーズに応え,業務の効率化や医療の質の向上,人々の健康の維持増進に貢献していく。
*1 疾病の診断,治療,又は予防に使用されることを目的としない非医療機器。
*2 「SYNAPSE SAI viewer」は以下の医療機器を含む製品の総称。
SYNAPSE SAI viewer用 画像表示プログラム
販売名:画像診断ワークステーション用プログラム FS-V686型 認証番号:231ABBZX00028000
SYNAPSE SAI viewer用 肺結節検出プログラム
販売名:肺結節検出プログラムFS-AI688型 承認番号:30200BZX00150000
SYNAPSE SAI viewer用 画像処理プログラム
販売名:画像処理プログラム FS-AI683型 認証番号:231ABBZX00029000
SYNAPSE SAI viewer用 肋骨骨折検出プログラム
販売名:肋骨骨折検出プログラム FS-AI691型 承認番号:30300BZX00244000
「SYNAPSE LEAD Cloud」は,「SYNAPSE LEAD Cloudサーバー」にSYNAPSE SAI viewer用画像表示プログラムおよびSYNAPSE SAI viewer用画像処理プログラムをインストールすることにより,「画像処理機能」とクライアントでの「画像表示機能」を実現したもの。
*3 オプション機能。標準ビューワ「SYNAPSE SAI viewer」の機能とは異なる。
Cloud viewer 販売名:画像診断ワークステーション用プログラムFS-V696型 認証番号:305ABBZX00005000
*4 AI技術のひとつであるディープラーニングを設計に用いた。導入後に自動的にシステムの性能や精度が変化することはない。
1.品名
クラウド型医用画像情報システム SYNAPSE LEAD Cloud
2.発売日
2026年4月13日
3.主な特長
(1)安全性と迅速な画像アクセスを両立するクラウド型医用画像情報システム
「SYNAPSE LEAD Cloud」は,医療情報システムに関する「3省2ガイドライン」*5相当の通信環境を採用し,初期費用を抑えた月額制のクラウドサービスとして利用できる。撮影した医用画像データはクラウド上に保存されるため,災害時のデータ消失リスクを軽減する。また,プリフェッチ機能により,新たな画像を受信すると同時に過去の検査データを院内サーバーへ自動的にダウンロードすることで,過去検査画像を高速表示でき,スムーズな診療を支援する。
「SYNAPSE LEAD Cloud」のシステム構成イメージ
*5 日本の医療情報におけるセキュリティ保護と安全管理を目的とした,3つの省庁が策定している2つの主要なガイドラインの総称のこと。厚生労働省「医療情報システムの安全管理に関するガイドライン」 ,総務省及び経済産業省「医療情報を取り扱う情報システム・サービスの提供事業者における安全管理ガイドライン」
(2)標準ビューワに「SYNAPSE SAI viewer」を採用し,画像診断ワークフローの効率化を支援
近年,CTやMRIなど画像診断機器の高度化により,医師が確認すべき画像枚数は増加している。「SYNAPASE LEAD Cloud」には,特定機能病院の7割以上で導入されている読影ビューワ「SYNAPSE SAI viewer」を標準ビューワとして採用した。「SYNAPSE SAI viewer」は高いカスタマイズ性を備えており,ユーザーの好みに応じて操作性や表示画面を柔軟に設定できる。画像配置を簡便に行える「レイアウティング機能」や,過去検査の画像と現在の画像を自動的に同期させる「自動スライス位置合わせ機能」など,多彩なワークフロー支援機能を搭載している。これにより,読影業務の効率化を図り,画像診断を強力にサポートする。
(3)いつでも,どこでも医用画像を参照できる「Cloud viewer」
「Cloud viewer」はPCやタブレットなどのモバイル端末を用いて,インターネット環境があれば,外出先や自宅,移動中でもCT,MRIなどの医用画像をスムーズに参照できるビューワ。専用ソフトのインストールは不要で,モバイル端末に標準搭載されているWebブラウザを利用し,端末に画像データを残さないゼロフットプリント方式を実現している。さらに「SYNAPSE SAI viewer」と操作性やユーザーインターフェースの共通性を追求することで,直感的な操作性を実現した。在宅診療・訪問診療など,クラウドならではの機動力を活かすことで,医療現場における医師の働き方改革に貢献する。
Cloud viewer (左:PC版,右:モバイル版)
(4)AI技術を活用して開発した読影支援機能を「医療クラウドサービス」で利用可能
「医療クラウドサービス」は,「SYNAPSE LEAD Cloud」からクラウドサーバーにアップロードされた画像に対し,選択した読影支援機能の解析結果をビューワ上で参照できるサービス。ユーザー登録後,専用ポータルサイトから「胸部X線CADサービス」や「肺結節検出サービス」など,5つの解析機能の中から必要なものを選択するだけで,簡単に利用できる。料金プランは,利用回数に応じた従量課金と,一定期間利用できる定額利用の2種類を用意しており,導入コストを抑えながら,目的や運用に応じた柔軟な活用が可能である。さらに,本格導入前に無料トライアルから利用を開始することもできる。
胸部X線CADサービス*6 |
肺結節検出サービス*7 |
肋骨骨折検出サービス*8 |
頭部高吸収/低吸収強調フィルタサービス*9 |
腹部吸収値強調フィルタサービス*10 |
*6 胸部X線CADサービス(CXR-AID)は,「胸部X線画像病変検出ソフトウェア CXR-AID」の【類型1】によって提供されるサービス。販売名:胸部X線画像病変検出(CAD)プログラム LU-AI689型 承認番号:30300BZX00188000
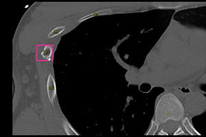
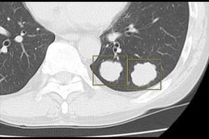
*7 肺結節検出サービスは,肺結節検出プログラム FS-AI688型で実現している。本サービスに含まれる肺結節性状分析機能は画像診断ワークステーション用プログラム FS-V686型,肺区域ラベル機能は画像処理プログラム FS-AI683型で実現している。
*8 肋骨骨折検出サービスは,肋骨骨折検出プログラム FS-AI691型で実現している。本サービスに含まれる肋骨ラベル機能は画像処理プログラム FS-AI683型で実現している。
*9 頭部高吸収/低吸収強調フィルタサービスは,画像処理プログラム FS-AI683型で実現している。
*10 腹部吸収値強調フィルタサービスは,画像診断ワークステーション用プログラム FS-V686型と画像処理プログラムFS-AI683型で実現している。
●問い合わせ先
富士フイルムメディカル(株)
マーケティング部
E-mail:shm-fms-hansoku@fujifilm.com
