2026-4-14
64列128スライスCTシステム
「SCENARIA View Plus」
富士フイルム(株)は,マルチスライスCTシステム「SCENARIA View Plus(シナリア ビュー プラス)」*1の新バージョンを富士フイルムメディカル(株)を通じて6月1日より提供開始する。
本製品は,「SCENARIA View Plus」の高画質な画像の提供と検査ワークフロー効率化のコンセプトをそのままに,救急医療における様々な画質課題,ワークフローの課題への対応力強化をめざして開発した64列128スライスのCTシステム。
なお,同社は,2026年4月17日〜19日にパシフィコ横浜(神奈川県横浜市)で開催される「2026 国際医用画像総合展(ITEM2026)」に本製品を出展する。
日本国内においては,効率的かつ質の高い医療提供体制の構築をめざした地域医療構想の進展により,急性期医療の役割はより高度化し,限られた人員で迅速かつ的確な初期診断を行う体制が求められている。さらに,高齢化の加速とともに増大する高齢者医療ニーズに対して働き手は減少していくことが想定され,幅広い医療ニーズに対応するCT検査には,より”即応力”と”効率化”が求められている。
「SCENARIA View Plus」は,発売以来,同社のAI技術を活用した開発により,高画質化とワークフローにおける自動化ソリューションの適用対象を拡大してきた。今回,さらに検査への即応力,効率化を支援する技術を充実させ,救急医療を始めとした国内の医療ニーズに応える。
CT撮影時の被写体の動きによる画像のブレを低減する技術StillShot*2は,適用範囲を胸部,心臓に加え,頭部,腹部へと拡げた。撮影中の被検者の動きによる画像のブレを補正して,アーチファクトの少ない画像を作成する。
検査ワークフローにおいては,各工程においてAI技術*3を活用して開発した自動化ソリューションやSYNAPSE VINCENT Core*4との連携による効率化を提案してきた。今回,さらに検査オーダー,検査後の後処理においてAI技術を活用して開発したワークフロー向上技術を強化することで,検査プロセス全体を通じた効率化を目指す。画像処理においてはDeep Learningを活用して開発した画像ノイズ低減処理技術DLR Focus*2,3を新たに搭載し,さらなる低被ばく化をめざした。
富士フイルムは,今後も医療現場のニーズに応える幅広い製品・サービスを提供することで,医療の質・効率・安全性の向上と人々の健康維持・増進に貢献していく。
1.販売名
全身用X線CT診断装置 SCENARIA View(医療機器認証番号:230ABBZX00027000)
2.発売日
2026年6月1日
3.主な特長
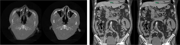
(1)動き補正技術StillShotのさらなる強化
StillShotは収集したRaw Dataから被写体の動く方向と量を4次元的に算出する際に,体軸方向の連続性を広範囲に維持することでブレの少ない画像を提供する。胸部,心臓だけでなく,頭部や腹部においても,撮影中の被検者の動きによる画像のブレを補正して,アーチファクトの少ない画像を作成する。
Body StillShot2(各 左:処理前 右: 処理後)
(2)AIを活用して開発した自動化ソリューションを強化しCT 検査全体をサポート
これまで「SCENARIA View Plus」では,AI 技術を活用して開発した自動化技術として,寝台自動位置決め機能(3D カメラ:AutoPositioning*3,5)や,自動撮影範囲設定機能(AutoPose*3,6)を搭載してきた。
今回,(1) 検査オーダー,(2) 検査後の後処理においてもAI技術を活用して開発した機能を加えることで,CT 検査全体のワークフロー効率を向上させた。
(1) 検査オーダー:AutoProtocol*3
従来,診断医からの検査依頼に対して,放射線科医が撮影プロトコルの指示出しを行っていた。様々な被検者情報を総合的に判断しながら膨大な検査依頼に対応する放射線科医の負担軽減のため,AutoProtocolは,RIS上で設定された撮影プロトコルをMWMで受取り,被検者登録時に自動選択*7することで,検査オーダーの効率化を支援する。
(2) 後処理:自動断面設定機能*3
従来,傾いた体位で撮影された場合には,手動でMPRの角度や範囲を設定する必要があった。そこで,AI技術を活用して開発した画像認識技術により,正常な体位と同様の断面となるよう撮影後に角度調整して,頭部の回転とOMラインの作成範囲を自動設定できるようにした。
SYNAPSE VINCENT Coreの脳解析機能と組み合わせることで,頭部画像診断を支援する。
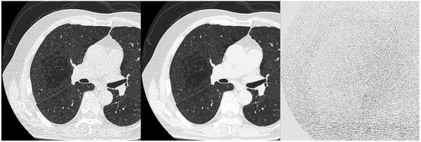
(3)DLR Focus*3(Deep Learningを活用して開発した画像ノイズ低減処理技術)
従来の逐次近似処理では,処理後の画像ボケやコントラスト低下などを理由に,撮影線量を十分に下げられないなどの課題があった。そこで,さらなる低被ばく化をめざして,Deep Learningを設計段階で用いて画像再構成技術DLR Focusを開発した。DLR Focusは,低線量撮影したノイズの多い画像に対して,構造を維持したままノイズを低減する*8。
DLR Focus(左:処理前 中:処理後 右:処理前後の差分)
処理前後の差分画像から,断面の構造を保ったままノイズだけが除去されていることが分かる。
*1 SCENARIA View Plusは,SCENARIA Viewの操作卓CT-OC-23B搭載モデルの呼称。
*2 オプション。
*3 AI技術のひとつであるDeep Learningを活用して開発した機能。導入後に自動的に装置の性能・精度が変化することはない。
*4 SYNAPSE VINCENT Coreは,SYNAPSE VINCENTの多彩な解析アプリケーションのうち放射線科領域向けの解析機能に特化したソフトウェア。
3D画像解析システム SYNAPSE VINCENT 販売名:富士画像診断ワークステーション FN-7941型
医療機器認証番号:22000BZX00238000 製造販売業者:富士フイルム(株)
*5 オプション。位置決め時の寝台移動を補助する機能であるため,投光器(ライトローカライザ)を用いて,操作者が最終的に目視及び手動で位置決めする必要がある。
*6 自動算出された撮影範囲は操作者による確認,調整が必要。
*7 設定された撮影条件は最終的に操作者が確認し,必要に応じて調整する。
*8 AAPM CT Performance Phantomを用いて,最も強いDLR強度を使用して試験し,ノイズ低減処理前後の差分画像に対するファントム内構造部のプロファイルの標準偏差を,ボケやすさを表す指標として用いて評価した場合。
●問い合わせ先
富士フイルムメディカル(株)
マーケティング部
E-mail:shm-fms-hansoku@fujifilm.com
