2019-4-30
ホロジックジャパンブース
ホロジックジャパンは,同社の強みであるエビデンスをキーメッセージに,トモシンセシス(3D)撮影機能を実装したデジタルマンモグラフィ「Selenia Dimensions」の新モデル「3D Performance」などの製品群を展示した。ホロジックは,1986年に米国で創業,現在はマンモグラフィ・骨密度測定,診断・検査,婦人科用外科手術,美容医療の4分野を主要領域として,女性医療に特化した事業を展開している。マンモグラフィにおける全世界のマーケットシェアは約65%(米国は約90%,ヨーロッパは約80%)と非常に高く,絶え間ない研究開発による革新的な製品が強く支持されている。ブースでは,トモシンセシスを用いることによる「浸潤癌の検出率41%増加」「偽陽性による要精検が最大で40%低下」などのエビデンスを掲示し,トモシンセシスがもたらすメリットをアピールした。
マーティン・アームストロング代表取締役社長は,「ホロジックのマンモグラフィは,エビデンスがあり,数字を示せることが他社にはない強み。研究開発に非常に力を注いでおり,技術の進化はもちろん,被検者の不快感をいかに軽減するかを重視した製品開発を行っている。『マンモグラフィは痛い』というイメージが一般的だが,“ペインレス”の検査のための開発を続け,広げていきたい」と話す。
ホロジックは,2018年にはデジタルX線関連機器メーカーのFaxitron社や,マーカークリップなどを扱う医療機器会社Focal Therapeutics社を傘下に入れるなど積極的に企業買収も行っており,女性医療のマーケットリーダーとして,ブレストヘルスをトータルにサポートする体制の拡充を進めている。
マーティン・アームストロング代表取締役社長とブースに掲げられたキーメッセージ
●マンモグラフィ:「Selenia Dimensions」に新モデル「3D Performance」が登場
ホロジックの主力製品であるデジタルマンモグラフィシステムは,全世界で最大のシェアを持つ「Selenia Dimensions」に最新モデル「3D Performance」が追加された。Selenia Dimensionsは,トモシンセシス(3D)撮影が可能なデジタルマンモグラフィで,250を超える臨床的有用性を示す論文が発表されている。トモシンセシスは,わずか3.7秒のスキャン時間で,±7.5°の範囲を15回撮影し,1mmピッチのスライス画像で3D画像を再構成する。乳腺の重なりを排除して画像を確認することが可能で,2Dでは乳腺の重なりに隠れて見えない病変を確認しやすくする,あるいは正常乳腺が重なることで病変に見える偽陽性を低減するといったメリットをもたらす。2D単独と比べて浸潤癌の検出率が20〜65%増加する,また,偽陽性による要精検が最大40%低下すると報告されており,精度の高い検査を実施することができる。
4月に国内発売した3D Performanceは,「トモシンセシスをより多くの施設で使ってほしい」との思いを込めて開発されたモデル。Selenia Dimensionsの特徴を継承し,被検者により快適な検査を提供するための機能やオプションが用意された。新たに開発された「MammoPad」は,乳房を乗せるFPDに貼り付けて使用するスポンジ状のディスポーザブルクッション。圧迫による痛みや,FPDに直接肌を触れることによる不快感を軽減し,衛生面にも配慮した検査が可能になる。撮影では,線量を増やす必要はなく,かつ画質にも影響しない。
また,最上位機種「3Dimensions」で実装された圧迫板「SmartCurve」が採用された。SmartCurveは,角に丸みを持ち,圧迫面に乳房の形に沿うようにカーブが付いた圧迫板で,従来の平面の圧迫板と比べ,圧迫時の痛みを軽減することができる。SmartCurveを導入したユーザーからは,ポジショニングで手を抜きやすく,乳腺がしっかりと広がって観察しやすい画像を得られるとの声が寄せられているという。痛みが少ないことで被検者の体動も抑えられ,画質の向上にも貢献する。
併せて展示された3Dimensionsは,トモシンセシスの画質向上,被検者の負担軽減,操作性の向上をポイントに開発された最上位機種である。新開発のトモシンセシス画像再構成アルゴリズム“ClarityHD”により,トモシンセシス画像が高精細化し,従来よりも鮮鋭度と粒状性の高い画像を取得可能になった。圧迫板SmartCurveやMammoPadも使用可能である。操作性の面では,Cアームとガントリの両方の側面に操作ボタンを配置することで,Cアームのポジションにかかわらず操作をしやすく,MLO撮影ではCアームが15°退避するため,操作者・被検者ともに無理のない姿勢で検査を施行することができる。
ブースではビューアを設置し,2Dではわからずトモシンセシスで病変を発見できた臨床画像などを展示。高精度なマンモグラフィ検査を実施できることを紹介した。
「Selenia Dimensions」の最新モデル「3D Performance」
圧迫板「SmartCurve」と新開発の「MammoPad」
最上位機種「3Dimensions」
3Dimensions はCアームとガントリの両方に操作ボタンを配置
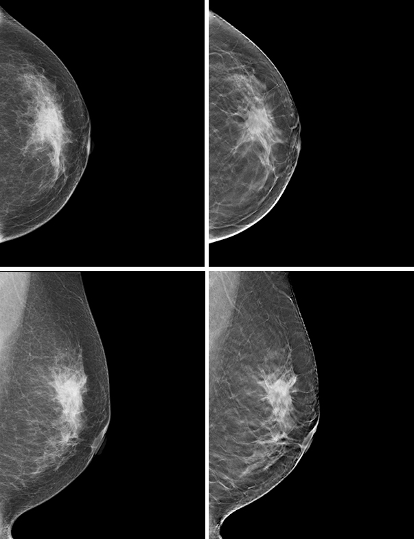
同一患者のLCC(上)とLMLO(下)。2D(左)に比べ,トモシンセシス(右)では
より明瞭に病変を確認可能(ホロジックジャパン提供)
●バイオプシーシステム:バイオプシー検査を安全に短時間で実施できる「Affirm Prone Biopsy System」
バイオプシーシステムとしては,ブース正面に腹臥位式乳腺バイオプシー専用システム「Affirm Prone Biopsy System」を展示した。Affirm Prone Biopsy Systemは,画素サイズ70μmの直接変換方式FPDを搭載し,トモシンセシスガイド下/ステレオガイド下でのバイオプシーを,腹臥位の状態で施行できるシステム。腹臥位のため体動なく安全に行えることに加え,穿刺の様子が被検者から見えないため心理的負担を軽減できる。トモシンセシス,ステレオともに撮影は自動化され,1回のトモシンセシス撮影でターゲティングができるなど,スループット向上においてもメリットがあり,入室から退室まで30分程度でバイオプシー検査を実施することも可能となっている。
トモシンセシスガイド下バイオプシーは,1回の撮影で得たトモシンセシス画像から,ワンクリックでターゲティングが可能。セットした針に合わせて,ターゲットの位置,針の開口部,圧迫板の位置などがグラフィック表示されるため,検査をシミュレーションしやすい。採取位置に合わせてベッドの開口部のクッションが3種類,圧迫板4種類が用意されている。ターゲットがC(外側上方)にあり腋窩に近い場合や,外側乳腺の乳腺末梢部にある場合には,through armも行える。ベッドの開口部を最も大きいサイズに交換し,被検者の上肢を下垂させることで,より外側端の石灰化も採取可能な視野に描出することができる。ベッドの下には専用の手台を装着可能で,下垂させた上肢を乗せることで安定した体位をとることができる。
また,吸引式組織生検システム「ATEC」や吸引式組織生検針セット「Eviva」,吸引式組織生検針キット「Celero」と併せて,各生検システムと互換性のある留置マーカー「TriMarkブレストティシュマーカ」を展示した。形状はコルク型と砂時計型で,マンモグラフィ,MRI,超音波画像に対応可能なチタン製マーカー。日本国内では,センチュリーメディカル(株)より2019年2月に発売された。
ブースでは,乳がん検診受診率向上をめざした車載システムを案内したほか,国内77か所のサービス拠点やリモート診断機能により,システム導入後も安心して使用できる点などアピールした。
短時間で安全にバイオプシー検査を施行できる「Affirm Prone Biopsy System」
1回のトモシンセシス撮影でターゲティングが可能
ラテラル方向からの穿刺も含め360°どこからからでもアプローチできる。
ターゲットの位置,針の開口部,圧迫板の位置などをグラフィック表示
留置マーカー「TriMarkブレストティシュマーカ」とデリバリーシステム
全国77か所にサービス拠点を配置し,安心のアフターサポートを提供
●お問い合わせ先
社名:ホロジックジャパン株式会社
住所:東京都文京区後楽1-4-25
TEL:03-5804-2340
URL:http://hologic.co.jp/
