2021-12-23
RSNA 2021 CT
シーメンスは,15年以上の歳月をかけて研究開発したPhoton-counting CTを世界で初めて製品化し,「NAEOTOM Alpha(ネオトムアルファ)」(薬機法未承認)をRSNA 2021でアンベールした。
CTは各社が開発を重ねることで飛躍的に発展してきたが,ガントリの回転速度やピクセルサイズなど,物理的な限界が立ちはだかりつつあった。そこで,従来CTの限界を突破する次世代CTとして,長年,実用化が待ち望まれていたのがPhoton-counting CTである。
NAEOTOM Alphaは,従来CTの検出器とはまったく異なる原理・構造のPhoton-counting検出器“QuantaMax detector”を搭載し,高解像度化や最大45%の被ばく線量低減,エネルギー情報を基にしたスペクトルイメージングなどが可能となる。
欧米では臨床研究として20以上のシステムがインストールされ,すでに8000人以上の検査を実施しており,500件以上のPhoton-counting関連の特許が出願されている。
●X線から信号への直接変換で高画質化やエネルギー弁別を実現
従来のシンチレータ検出器は,検出器に入射したX線をシンチレータによって光に変換し,その光をフォトダイオードによって光電流に変換するという2段階の変換プロセスを経て,光電流を積分することで最終的な計測信号としている。フォトダイオードにより変換された光電流は電気ノイズの影響を受けやすく,また,光電流の強度はX線のエネルギー強度に比例するため,相対的に低エネルギーの情報が過小評価される特性がある。
これに対してPhoton-counting検出器は,検出器に入射したX線が半導体内で電子・正孔対を発生させ,電子をマイクロ化した陽極ピクセルに掃引し,パルスとして個々にカウントして計測信号を得ることで,X線の強度とエネルギーを検出する仕組みとなっている。この機構により,Photon-counting CTでは,(1) 計測信号から電気ノイズを完全に除去することができ,低線量撮影で低ノイズの画像を取得できる,(2) 相対的に低エネルギー側の感度が高いことで,軟部組織や造影剤のコントラストが高くなる,(3) 単一検出器で複数のX線エネルギーを計測でき,K吸収端イメージングによるマルチマテリアルイメージングが可能,(4) 空間解能はセンサーの陽極ピクセルの最小サイズに規定されるため,高空間分解能撮影が可能,といったメリットが得られる。
●QuantaMax detectorを搭載した次世代CT NAEOTOM Alpha
NAEOTOM Alphaは,Photon-counting検出器QuantaMax detectorを搭載し,最大ピッチ3.2,66msの時間分解能(ハーフ再構成)を有するDual Source CTである。QuantaMax detectorは,日本のアクロラド社と共同開発した体軸方向6cm幅のテルル化カドミウムベースの検出器で,130万以上の検出素子を備えている。構造的にシンチレータ検出器のような検出素子間の物理的な隔壁が不要なため,幾何学的な線量効率は100%に達する。線量効率の低下は,散乱線防止のコリメータやグリッドによるもののみであり,従来CTと比べて最大45%の線量低減が可能となっている。標準スキャンモードでスライス厚0.4mm,面内分解能0.24mm,高解像度スキャンモードでスライス厚0.2mm,面内分解能0.11mmの高空間分解能を実現し,より微細な病変や解剖学的構造を描出することができる。
QuantaMax detectorでは複数のエネルギーを同時に計測できるため,すべての検査においてデフォルトでスペクトル情報を取得できる。K吸収端の位置(エネルギー値)が個々の元素に固有であることを利用し,通常の撮影と同時にヨードマップやガドリニウムマップを生成できるほか,金属アーチファクト軽減にも有効なmonoenergetic image(仮想単色X線画像)を作成することもできる。
また,最大1300mAの管電流出力が可能なハイパワーなX線管“Vectron”を搭載し,被ばく低減技術“Tinfilter technology”も採用されている。これら技術を総合的に活用することで,あらゆる領域において画像診断の質の向上と,線量や造影剤の低減の両立を高いレベルで実現できる。
●“myExam Companion”などのAI技術でオペレーターを支援
NAEOTOM Alphaのガントリ開口径は82cmと広く,テーブルは高さ38cmまで下げることができるため,患者は安全かつ快適に検査を受けることができる。また,人工知能(AI)技術も活用したワークフロー改善や検査の標準化のための技術も実装されている。検査ガイド機能“myExam Companion”は,オペレーターが被検者の性別や年齢,体格,息止めの可否など,検査に関する質問に答えることで,自動的に最適な撮影プロトコルが提案される。Photon-countingにより可能になった新しい技術も,myExam Companionによるサポートで容易に活用することができる。
天井に備えられる「FAST 3D Camera」は,赤外線カメラで寝台上の被検者の体格を立体的にスキャンし,AIアルゴリズムで解析することで,撮影部位が中心となるように自動でポジショニングを行う。また,ワークフローを支援する“GO technologies”は,オペレーターによらず高いレベルでのルーチン検査を可能にする技術で,Scan&Go(タブレット端末による遠隔操作),Check&Go(スキャンごとに撮影範囲や造影剤分布をリアルタイムにチェック),Recon&Go(ゼロクリック画像再構成),CT View&Go(画像処理機能)から構成される。
さらに,新機能の“myExam Satellite”は,クライアント端末の追加により,スキャン操作と並行して次の検査の撮影準備や後処理,読影などを行うことができ,効率的な業務遂行を支援する。
●高解像度や高速撮影で臨床価値の高い画像を提供
Photon-counting CTのプロトタイプによる研究は2014年から開始され,すでに100を超える論文が発表されている。また,NAEOTOM Alphaの臨床研究から多くの臨床画像も出てきている。分解能0.11mmの実現により,あぶみ骨や蝸牛などの微細な構造を従来CTと比べ非常に高精細に描出することができる。また,被ばく低減の効果も顕著で,副鼻腔を0.0063mSvという超低線量で撮影可能という報告もされている。
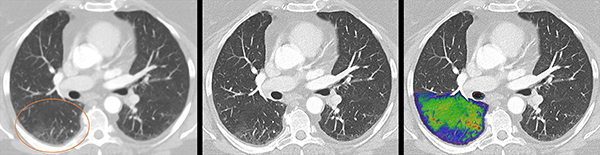
心臓や肺といった領域も高速撮影により明瞭な画像を得られるほか,スペクトル情報を利用してヨードマップや最適なコントラストのmonoenergetic imageなどを作成できる。心臓では,石灰化を除去したPURE Lumen(純粋な内腔)を観察でき,石灰化の強い患者やステント留置後のフォローアップでも診断価値の高い画像を取得可能だ。また,COVID-19症例では,一度の低線量撮影で高分解能画像による肺炎の評価,スペクトラルイメージでの血流の評価が可能になることなどが紹介された。
世界初のPhoton-counting CT「NAEOTOM Alpha」(薬機法未承認)
Photon-counting検出器の仕組み
“myExam Companion”や“GO technologies”によりオペレーターを支援
従来CT(左)とNAEOTOM Alpha(右)によるあぶみ骨と蝸牛の描出
COVID-19症例(左:従来CT,中:NAEOTOM Alphaの高分解能画像,右:スペクトラルイメージによる血流評価)
