Brivo MR355 × 医療法人社団 井野口病院
ルーチン検査を追究しつつも高性能な1.5T MRI「Brivo MR355」が全身のあらゆる領域で有用性を発揮—先進アプリケーション"Inhance","Ready Brain"が医療の質を飛躍的に向上
2011-6-1
医療法人社団井野口病院 は2010年10月,高性能MRIによる,より質の高い医療の提供をめざし,GE社製1.5T MRI「Brivo MR355」を導入した。同院は先進医療,救急医療,予防医学を三本柱とするメディカルフロンティア構想を掲げ,長年にわたり,最先端医療機器による高度医療を地域に提供し続けてきた。この三本柱をより高い次元で実現するために欠かせない装置として,高画質・高機能と高スループットを両立したBrivo MR355を導入したことで,同院の医療は新しい展開を迎えようとしている。同院におけるBrivo MR355導入のねらいと現状,今後の展望を取材した。
放射線科の |
外科の |
脳神経外科の |
●医療の質の向上をめざしMRIの更新を決定
1977年の開院以来,常に“人の心”を中心に据えて医療を行ってきた井野口病院は,メディカルフロンティア構想を掲げ,より質の高い医療を追究し続けてきた。92年の病院新築時には,将来にわたり医療の進歩に対応できるよう,病院全体に院内LANを配備するなどインテリジェントビル化が図られたほか,画像データのデジタル化や高度な画像機器の導入を積極的に推進した。その後も,マルチスライスCTの導入や血管撮影装置の更新などを順次行い,2010年10月には,0.5T MRIを最先端のGE社製1.5T MRI「Brivo MR355」へと更新した。
MRI更新の理由について,画像診断部放射線科の戸塚功二技師長は,「以前稼働していた0.5T装置は,すでに導入から18年が経過しており,ハードウエアが新しい撮像法に対応できなくなっていました。特に,脳神経外科でニーズの高い拡散強調画像(DWI)が撮像できず,コイルは頭部と頸部が別々なので,患者さんに一度寝台から降りていただいて付け替えている状況でした」と説明している。
また外科からは,MRCP(MR胆管膵管撮像)の画質向上のほか,躯幹部や下肢の非造影MRAが可能なことなどが要望された。そこで,こうした課題の解消をめざし,新しいMRI装置の選定が開始された。
前列右から三浦義夫医師,加納由香利医師, |
コンソール |
●高画質・高検査効率なBrivo MR355を評価
装置の選定は戸塚技師長が中心となって行われ,上記の課題をクリアしつつも,よりコストパフォーマンスの高い3社の装置が候補となった。この時点で,Brivo MR355はまだ国内で実際に稼働していなかったが,戸塚技師長は同社のほかの装置の稼働施設を見学し,MRユーザー会にも参加してコンソールの操作性を確認した。また,他社の装置についても,他院で実際に稼働する様子を見学した上で詳細な検討を重ね,最終的にBrivo MR355が選定された。その理由について,戸塚技師長は,「Brivo MR355は,Express Coilという,頭部から骨盤まで対応する受信コイルが埋め込まれた寝台が採用されており,患者さんを動かすことなく全身の検査が可能です。非造影MRAをはじめ,当院が求める最新のアプリケーションが搭載されている点にも強く期待しました」と述べている。
また同院の場合,MRI室は十分な設置スペースがあったものの,キャビネットをPACSサーバと同じ機械室に設置しなければならず,装置によっては電源容量を増やさなければならなかった。しかし,Brivo MR355は,シングルキャビネットで機械室のないレイアウトも可能なほか,“Peak Power Management”技術により,25KVAという低電源容量を実現していた。そのため,同院では従来の機械室と電源がそのまま使用可能であり,導入時のコストが大幅に抑制できる点も決め手のひとつとなった。
●ルーチン検査を追究して開発された Brivo MR355
Brivo MR355は,ルーチン検査をより早く正確に行うことをコンセプトとして開発された,操作のシンプル性を追究した装置である。自動化機能が充実しており,Express Coilでは,“Auto Coil Selection”機能によって,ランドマーク設定を行うと同時に最適なコイルエレメントが自動的に選択されるほか,頭部撮像の際に,数回のクリックで位置決めから一連の撮像まですべて自動で行う新機能“Ready Brain”が搭載された。また,コンソールは,アイコンによる直感的なプロトコール選択が可能で,シンプルモード,スタンダードモード,エキスパートモードの選択もできるため,操作者を選ばない設計となっている。
こうした優れた操作性に加え,ガントリ全体が大幅に改良され,ガントリ内でアナログ/デジタル(AD)変換を行う画期的なデジタル光伝送システム“Optix Lite”が採用された。これにより,ノイズが大幅に削減され,きわめて高画質が得られるようになった。また,同社MRIの最先端アプリケーションである“PROPELLER”(体動補正技術),“LAVA”(上腹部などの3Dダイナミック撮像用アプリケーション),“MERGE”(マルチエコータイプのGRE法)などの標準アプリケーションをはじめ,非造影MRA“Inhance”など多数のオプションアプリケーションにも対応しており,まさに同院のように,幅広い診療科への対応や,検査スループットと検査精度の向上を高い次元で同時に実現したいという施設には最適な装置であると言える。
●自動化機能とExpress Coilが検査効率を飛躍的に向上
同院では現在,6名の診療放射線技師がローテーションでMRIを担当しているが,全員が特に問題なくすぐに操作できるようになった。また,特に有用な点について,戸塚技師長は,「コンソールモニタが24インチと大きく,バックグラウンドで撮像をしながら前の検査の画像再構成やサーバへの転送などの作業が,以前と比べて非常に簡便に行えます。検査時間も大幅に短縮され,例えば脳ドックは,以前なら撮像に40分,その後の画像処理に10~15分と計約1時間かかっていたのですが,いまでは計20分弱と半分以下の時間ですんでいます」と高く評価している。
●Ready Brainの評価
一方,頭頸部の一連の撮像が自動で行えるReady Brainについては,戸塚技師長は当初,検査スループットの向上が最大のメリットと考えていた。しかしBrivo MR355の場合,Ready Brainを使用しなくても非常に高速に高画質が得られるため,むしろ再現性の高さという点でのインパクトが非常に強かったという。Ready Brainについて,戸塚技師長は次のように述べている。
「例えば,脳ドックの二次検査や年に数回,フォローアップのために撮像する患者さんの場合,撮像する技師が違ったり,同じ技師であっても手作業で位置決めを行う場合は,角度やスライスの開始位置,トータルのスライス数などが違ってしまうことがありました。そのため,検査のたびに履歴を確認しなければならず,非常に手間だったのですが,Ready BrainはAC-PC基準軸に合わせて位置合わせから撮像まで自動で行ってくれるので,毎回ほぼ同じ位置が同じ条件で撮像できます。背中の曲がった高齢者や首がねじれている方など,真っ直ぐな姿勢になるのが困難な患者さんでも,AC-PC基準軸を装置が認識してくれるので,患者さんが楽な姿勢で撮像できる点も非常に有用です。当初は脳ドックで使用することを考えていたのですが,頭部は全例Ready Brainで撮像しています」
同院では現在,頭頸部領域のルーチン撮像については,T1強調画像,T2強調画像,FLAIRのアキシャル像と頭頸部MRAを基本としているが,医師によってはDWIやT2*強調画像を追加する場合もある。しかし,Ready Brainでは,事前にオプションの撮像法も含めてすべて設定しておき,実際の撮像時に不要な撮像法を削除した上で実行するだけですむため,プロトコールの変更もきわめて簡単に行えるという。
●Express Coilの評価
また,Express Coilも検査効率の向上に大きく貢献している。戸塚技師長は,「頭部と頸椎,頸椎と腰椎など,2か所にまたがる撮像については,以前は別の日に撮り直したり,検査時間がそれぞれ40分ずつ,トータルで1時半くらいかかることもあったのですが,それが一度で撮像できるため時間の大幅な短縮につながり,大変助かっています」と述べている。
腹部についても,前部アレイコイルを組み合わせることで48cmという広いFOVで撮像でき,比較的小柄な女性であれば,肝臓から骨盤領域まで一度で検査できるようになった。
●最先端アプリケーションが診療の質の向上に貢献
Brivo MR355を導入後,同院では月に約150件の撮像が行われている。頭部領域の撮像が全体の7割を占め,整形外科領域が2割,躯幹部領域が1割となっている。同院は二次救急を担っているため外傷の撮像が多く,整形外科の医師からは,「Brivo MR355は,磁場の均一性が高いので脂肪抑制が均一にかかり,圧迫骨折や骨挫傷がわかりやすい。また,軟部組織のコントラストも優れているので,靭帯断裂や半月板損傷なども非常に観察しやすい」と高く評価されている。また頭部領域や,以前はほとんど検査が行われていなかった躯幹部領域でも,さまざまな撮像が可能になった。
●躯幹部領域における非造影MRA InhanceとMRCPの有用性
躯幹部領域については,Inhanceによる上行大動脈や腹部の大動脈瘤,肺動脈血栓などの診断,MRCPによる胆石症や胆嚢炎の撮像,Gd-EOB-DTPA造影MRIによる肝細胞がんの検索などが行えるようになった。戸塚技師長は,特に有用性の高いInhanceとMRCPについて,「Inhanceでは,いままで多くの有用な画像を得ていますが,条件が整ったときには予想以上の高画質が得られています。撮像の仕方にはいくつかの方法があるのですが,腹部領域ではinflow IR(IFIR)法にて背景画像を消し,目的の血管だけを選択的に描出することができます。また,下肢血管は2D inflow法で撮像しますが,心電図と同期させて血流の流速が速いタイミングのみデータ収集を行うことも可能です。MRCPについても,肝内胆管や膵管が末梢まで非常に明瞭に描出でき,自由呼吸下でもブレの少ない高画質が得られています」
なかでも,Inhance のIFIRは,IRパルスを2か所に同時にかけられる点が非常に有用だという。具体的には,同院では主に腹腔鏡下に胆嚢摘出術を行うが,その際,術前に動脈の位置や走行を把握するためにInhanceを撮像している。このとき,IRパルスを肝臓近傍と脾臓近傍に別々にかけることで,1回の撮像で背景肝と門脈を同時に消すことができるという。肺動脈を描出する際にも,左右の肺を一度で撮像できるため,撮像時間の短縮につながっている。
また,MRCPの有用性について,外科の三浦義夫医師は次のように話す。
「MRCPをMRAと組み合わせることで,胆道系と動脈系,特に右肝動脈の位置関係を黄疸の有無にかかわらず,造影剤を使用せずに,被ばくのないMRIにより1回の撮像で検査できるようになりました。これは非常に大きなメリットです。当院ではBrivo MR355導入以降,胆石症の術前画像診断が迅速に行えるようになり,発症後3日以内の手術が望ましいとされている急性胆嚢炎の手術が早期に行えるようになりました」
三浦医師は現在,手術の際には,MRCPとMRAにて胆道系と動脈系の3Dイメージ(VR像)をAWワークステーション(GE社製)にて作成し,滅菌袋に入れたiPad(Apple社製)で術中に画像を参照することで,胆管と血管の走行などの解剖の理解に役立てている。血管を損傷するなどの合併症のリスクを回避でき,安全性や手術精度の向上につながっている。また,胆石症に対するスクリーニングとして腹部エコーとMRCPを行うことで,CT検査を行うことなく手術が施行可能となった。同院では2011年4月からDPC(診断群分類包括評価)を導入しているが,造影剤を使用しない低侵襲な診断が行えるのはもとより,コストの抑制にもつながっている。
このほか,最近では腸閉塞の診断の際にT2強調画像のMIP像を参照したところ,閉塞部位の特定が可能だったため,同院では今後,腸閉塞の部位診断目的にも,MRIを積極的に活用していく予定である。
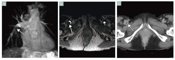
■症例1 Inhanceによる非造影MRA(胆嚢摘出術)
a:呼吸同期inflow IR法による腹腔動脈~肝動脈部のMIP像,b:MRCP画像。aとbを合成し,VR処理を行った(c)。dはcを用いた腹腔鏡下胆嚢摘出術の様子。iPadにて右肝動脈の位置を確認しながら手術を行っている。
■症例2 Inhanceによる非造影MRA(肺動脈)
a:Inhance inflow IR法による肺動脈撮像をMIP処理で表示。右肺動脈(中間~肺底動脈幹)に陰影欠損(←)が認められ,肺動脈血栓症と診断された。
b:同患者,同日のMR Venography。
c:同部位の造影CT画像。右大腿静脈に血栓(↑)が観察される。
●頭部領域におけるDWI,MRAの有用性
同院で最も撮像件数の多い頭部領域においては,Brivo MR355によって画質が飛躍的に向上し,動きが抑制できない患者さんでも明瞭な画像が得られるようになった。また,以前は撮像できなかったDWIにも対応できるようになり,臨床的有用性が大きく高まっている。特に,DWIの有用性について戸塚技師長は,「DWIは一般的に,T1強調画像,T2強調画像などと比べて画像の歪みが大きいのですが,Brivo MR355では歪みが非常に小さく,他の画像と重ね合わせたときの位置ズレが少ないため,病変をより正確に同定できるようになりました」と述べている。
脳神経外科の加納由香利医師も,Brivo MR355がもたらす臨床的有用性について,次のように評価している。
「DWIが撮像可能となったことで,症状からは診断がつけにくい微小な脳梗塞が早期に確定診断できるほか,以前には困難であった類上皮腫とクモ膜嚢胞との鑑別も容易となり,治療方針の決定に役立つと期待しています。また,フォローアップの症例で,以前の装置では3つ程度しか認識できていなかった海綿状血管腫が,T2*強調画像で多発していることが確認できました。MRAも,以前は画像の空間分解能が低く歪みが大きかったのですが,現在は画質が大幅に向上し,脳動脈瘤の偽陽性がかなり減少しています。造影剤を用いたCTアンギオグラフィで精査を行う際に,確信を持って患者さんに検査の必要性を説明できるため,私自身の負担も軽減されました」
このほか,新たに撮像可能となった3D SPGR(spoiled gradient echo)法では,神経と血管との関係が明瞭に描出できるようになり,顔面痙攣や三叉神経痛の治療方針の決定に役立つほか,薄いスライスでの撮像が高速で行えるようになったことで,以前の装置ではできなかった,下垂体腫瘍のダイナミック撮像なども可能になると期待されている。
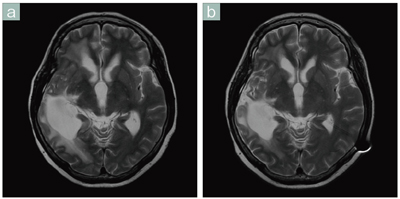
■症例3 Ready BrainによるT2強調画像(水頭症)
同一患者のT2強調画像。
a:水頭症の治療前,b:治療2か月後。わずかな断面のズレはあるが良好な再現性が得られている。Ready Brainを用いることで継時的な変化を客観的に観察することができ,患者さんにも病状をわかりやすく説明できる。
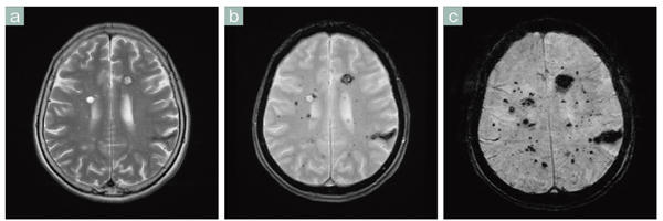
■症例4 磁化率強調画像(海綿状血管腫)
a:T2強調画像,b:T2*強調画像,c:T2*強調画像のthin sliceをMinIP処理したもの。
T2強調画像(a)では出血を伴う比較的大きな病変しか同定できないが,T2*強調画像(b)では小さな病変がたくさん確認できる。cでは,さらに小さな病変を強調して描出することができる。
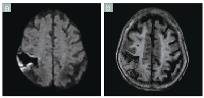
■症例5 頭部の拡散強調画像(陳旧性の脳梗塞の近くに新たな脳梗塞が生じた症例)
a:拡散強調画像 b:FLAIR Brivo
MR355の拡散強調画像(a)は解像度が高く歪みも少ないため,病変の存在だけでなく,位置や範囲の状況も正確に把握できる。この症例は,もともと麻痺があり症状がはっきりしなかったため,拡散強調画像(a)が非常に有用だった。
●MRIの能力を最大限追究し幅広いニーズへの対応をめざす
Brivo MR355を活用した将来展望について,戸塚技師長は次のように述べている。
「非造影MRAについては,すでに多くのメリットが得られていますが,これからますますニーズが増えていくと思いますので,今後も追究していきたいと思います。また,現在はMRIの検査枠にまだ余裕がありますので,近隣のクリニック,特に婦人科領域や歯科など,当院にない診療科の検査依頼も積極的に受け,検査数の増加に務めていきます」
すでに同院の診療に大きく貢献しているBrivo MR355であるが,Inhance以外にも“Diffusion Tensor Tractography”や“CartiGram”(T2 MAP)などのオプションアプリケーションが搭載されており,戸塚技師長は今後,これらについても検討を重ね,診療に役立てていきたいと考えている。各診療科や地域の幅広い期待に応えるために,Brivo MR355の能力を最大限に引き出すための取り組みは,今後も続けられていく。
(2011年4月21日取材)
医療法人社団 井野口病院
住所:〒739-0007 広島県東広島市西条土与丸6-1-91
TEL:082-422-3711
病床数:196床
診療科目:内科,循環器科,消化器科, 外科,
脳神経外科,整形外科,肛門科,リハビリテーション科
http://www.inokuchi.or.jp/
