iDose4 O-MAR × 天草郡市医師会立天草地域医療センター
最先端の画像再構成技術によって低電圧撮影による造影剤減量など地域のニーズに合った検査を支援─逐次近似応用再構成法iDose4と金属アーチファクト低減技術O-MARを臨床に活用
2012-11-1
iDose4,O-MARなど最新の画像再構成技術を搭載した
Brilliance iCTと放射線科スタッフ
天草地域医療センターは,1992年の開設以来,天草地域の高度医療を支える中核病院として,また,医師会立の病院として地域連携の中心的役割を果たしている。同センターは2010年,フィリップスエレクトロニクスジャパンの256スライスのヘリカルスキャンCT「Brilliance iCT」を導入,頭部のCTAから心臓,整形領域まで全身の検査を行っている。2012年3月,フィリップスが開発した第4世代の逐次近似応用再構成である「iDose4」が導入され,被ばく低減や検査スループットの向上のほか,同センターで取り組んでいる低電圧撮影に大きな効果を挙げている。金属アーチファクト低減技術である「O-MAR:Metal Artifact Reduction for Orthopedic Implant」の運用などもあわせて,放射線科の中浦猛部長,緒方隆昭技師長とスタッフに取材した。
■地域医療支援病院として救急を含めた高度な医療を提供
中浦 猛 部長
天草地域医療センターのある天草医療圏は,熊本県の西部に位置し,上天草市,天草市,苓北町の3つの市町,大小120の島からなる地域で,人口は13万人,高齢化率は平均を大きく上回る30%以上となっている。同センターは,医師会立の病院として,地域の医療機関からの紹介を基本とする紹介外来型,開放型・共同利用型の病院として運営されており,紹介率は86%,地域医療支援病院として高度な医療を提供できる設備,体制を整えている。また,救急医療については,小児救急拠点病院,脳卒中急性期拠点病院など,救急全般を24時間体制で行っている。
放射線科では,CTがBrilliance iCTと16列CTの2台,MRIがIngenia3.0T(フィリップス)と1.5Tの2台体制,バイプレーンの心カテ装置など血管撮影装置3台,透視と一般撮影装置が各2台をそろえている。機器導入など運用の方針について緒方技師長は,「地域の医療を支える地域医療支援病院としての役割を果たすべく,病院の規模以上に医療機器は充実しています。機種の選定にあたっても,臨床のニーズにあった機器を選択できるように,装置の性能や特徴を判断し,その価値を生かせるように責任を持って運営にあたっています」と述べる。
放射線科のスタッフは,中浦部長をはじめ放射線診断医3名,診療放射線技師12名。中浦部長は放射線科の診療の現状について,「紹介型の病院ですので,外来や入院の依頼検査のウエイトが高いのが特徴です。また,放射線科として外来を行っており,肝臓がん(HCC)に対するTAEや肺生検などを行っているほか,交通外傷など緊急IVRにも対応しています」と述べる。
■高いバランスを持つ Brilliance iCTであらゆる検査に対応
Brilliance iCTの高出力X線管球とiDose4で低電圧撮影による造影剤減量検査を実施
Brilliance iCTは,256スライスのフィリップスのマルチスライスCTの最上位機種である。2010年に導入されたが,機器導入の経緯について緒方技師長は,「アンギオCTシステムのリプレースということで,通常よりも上位機種の選定を行うことができ,256スライスのiCTの導入に至りました。CT室には移動型Cアーム血管撮影装置を設置し,CTアンギオにも対応できるようにしています」と説明する。
中浦部長は,Brilliance iCTの選定と導入について,次のように話す。
「病院の性格を考えて,ひとつの機能に特化したCTではなく,全身の検査を高いレベルで撮影できる機種を検討しました。研究機関であれば得意分野に特化したCTのニーズがあると思いますが,当センターのような臨床病院では,あらゆる領域でバランス良く,高い画質が得られることが重要です。実際に導入後は,頭部のCTAから整形外科の単純撮影まで,全身の撮影を行っています。iCTは非常に高いバランスを持つ高性能な装置だと実感しています」
O-MARなどさまざまなアプリケーションを搭載するBrilliance iCT |
Brilliance iCTのコンソール |
■造影剤減量を可能にする低電圧撮影にiDose4を適用
図1 iDose4の線量(横軸)と画質(縦軸)の関係
同センターでは,2012年3月,Brilliance iCTに逐次近似法(iterative reconstruction:IR)を応用した画像再構成法であるiDose4が導入された。iDose4では,raw data領域とimage領域のハイブリッドIRによって,自然で高速なノイズ除去(デ・ノイズ)による画像再構成を実現する。同じ線量であれば,従来のFBP法と比べてiDose4では空間分解能を最大68%向上でき,FBP法と同じ画質であれば,被ばく線量を最大80%削減することができる(図1)。iDose4導入のねらいについて,中浦部長は次のように説明する。
「iDose4は,被ばく線量の低減と,当センターで行ってきた低電圧撮影と組み合わせることで,造影剤投与量のさらなる減量を進めることが目的です。iDose4のデ・ノイズ効果によって,体格の大きい患者さんへの撮影や,撮影条件に制限されることなく検査が可能になり,低電圧撮影の適応範囲の拡大が実現できます」
同センターでは,中浦部長を中心にCTの管電圧を下げて撮影することで,より少ない造影剤量で検査を行う低電圧撮影に取り組んできた。低電圧撮影は,光電効果によりX線エネルギーの低下に従ってヨードの質量減弱係数が上昇し造影効果が向上することを利用し,通常の撮影より低い100~80kVpで撮影することでコントラストを上昇させ,造影剤量の削減を可能にする撮影方法である。中浦部長は,「低電圧撮影はノイズの増加が従来の課題でしたが,大出力の可能なX線管球と多列化された検出器によって,撮影時間あたりのmAs値が向上したため,低電圧時のノイズ増加を上回ってCNRの向上が可能になってきました。そこで,低電圧撮影をベースに造影剤を減量した撮影プロトコールを作成して,臨床での取り組みをスタートしました」と,低電圧撮影への取り組みを語る。
緒方技師長は,同センターでのBrilliance iCTの導入も,低電圧撮影を視野に入れてのことだったと経緯を説明する。「天草地域は高齢化率が高いため,腎機能の悪い患者さんが多く,造影剤減量を必要とする検査の割合が高くなっています。CT検査では,低被ばくや造影剤腎症への対応など低侵襲の検査が求められていますが,大出力の管球を持つiCTを導入したのも,低被ばくだけでなく,低電圧撮影による造影剤量低減を考えてのことです」
同センターでは,撮影前の血液検査の結果から求めたeGFRを基準にしたプロトコールを作成し,造影剤量を減量した撮影を行っている。具体的には,eGFRが60以上で通常の造影剤量,30~60までは100kVpを用いた造影剤減量,30未満で,造影CTがどうしても必要な場合には80kVpを用いた大幅な造影剤減量を行う。低電圧撮影による実際の造影剤量の削減量は,CTDIvolを一定にして造影剤の注入時間を同じにした場合に,100kVpで20%,80kVpで40%程度の減量が可能になる。中浦部長は,CT撮影における造影剤のリスクについて,「心臓のPCIの統計で,eGFRあたりの造影剤の投与量によって造影剤腎症の危険性が高まるというデータが出ています。CTのヨード造影剤はPCIよりも安全性は高いと言われていますが,当センターのプロトコールはPCIよりも低く設定しています」と説明する。
緒方隆昭 技師長 |
中武治彦 主任 |
佐田淳一 技師 |
■iDose4のデ・ノイズ効果によって広く画質を向上
Brilliance iCTは,1000mAの高出力が可能なiMRC管球を搭載しており,低電圧撮影における高電流出力の検査を可能にする。さらに,iDose4の適用によって低電圧撮影の運用と適応が広がっていると,中武治彦主任は言う。
「iCTの高出力X線管球で80kVpの低電圧撮影が可能になりましたが,管球への負荷も大きく,腹部での連続撮影などでは工夫が必要でした。いわば,出力の限界のところで撮影を行っている状態だったのですが,iDose4を組み合わせることで,画質を保ちながら撮影時の出力を下げることができ,余裕を持って安定した撮影が可能になりました。それによって撮影の選択肢が増え,高画質撮影か,高速撮影か,低被ばくか,造影剤低減に持っていくかなど,患者さんの状況に合わせた検査が可能になりました」
中浦部長は,iDose4によって,これまでノイズが多く撮影できなかった高体重の患者さんなどへの低電圧撮影の適応が広がると評価する。
「iDose4のメリットは,従来の撮影プロトコールを変えることなく適応でき,レベルによって得られる画質が計算できることです。ノイズの除去によって,これまでは難しかった体重の重い患者さんでも80kVpでの撮影が可能になっています。さらに,造影剤量を変えずに被ばく線量を低減したり,CTAなどでは高周波関数と高いレベルのiDose4を組み合わせて画質と空間分解能を改善するなど,領域や診断目的に合わせた自在な使い方が可能です」
同センターでは,iDose4のベータ版のテストを行ったことがあるが,中浦部長はその経験から,「各メーカーの逐次近似法を用いた再構成画像は,初期の頃はノイズは減っているものの従来のCTとはまったく異なる印象の画像でした。iDose4では,その中でも最初から違和感の少ない画像でしたが,製品版ではこれまでの画像の延長線上にある自然な描出になっていました」と評価する。
iDose4では,ノイズの除去,被ばく線量低減の程度に応じて,7段階のレベルを選択することができるが,同センターでは撮影プロトコールの中に組み込まれており,検査時には選択や入力などの手間をかけることはない。中武主任は,検査時のiDoseレベルの選択について,「腹部ではレベル3ないし4,血管系では5,心臓などでは高周波関数と組み合わせてレベル7を中心に使っています」と説明する。
また,iDose4は,線量不足によって発生する肩や骨盤部でのストリークアーチファクトの低減にも効果が高いと佐田淳一技師は言う。「できるだけ低被ばくでの撮影を心がけていますが,それによって厚みのある部分では線量が不足し,ストリークアーチファクトが発生しやすい難しさもあります。iDose4では,これに対しても抑制効果が高く,違和感なく自然な画像を得ることができます」
●iDose4と低電圧撮影(80kVp)を用いた大幅な造影剤減量(300mgI/kg,−50%)
体重あたり1mLの造影剤を30秒注入
■O-MARで人工関節などの金属アーチファクトを低減
同センターでは,フィリップスの金属アーチファクトを低減する再構成技術であるO-MAR(Metal Artifact Reduction for Orthopedic Implant)を導入し,整形外科の人工股関節が留置された患者さんへの撮影などに活用している。O-MARは,独自のアルゴリズムによって整形用の金属インプラントのアーチファクトを補正する逐次近似再構成を応用した技術で,チェックボックスをクリックするだけで使用でき,撮影後にraw dataを元に適用することも可能だ。データとしては,オリジナル画像とO-MAR適用画像の2種類が作成され,両画像を比較して観察することが推奨されている。
検査におけるO-MARの運用について,佐田技師は次のように説明する。
「整形外科領域ではもちろんのこと,大腿骨骨頭置換術によって人工股関節のようなインプラントが入っている患者さんに対して,検査時にO-MARを適用することで金属アーチファクトが除去され,関節周囲や膀胱,前立腺などの軟部組織の観察がある程度可能になります。画面上でO-MAR適用のチェックを入れるだけで,自動的に処理画像とオリジナル画像が生成されますので,検査の際に特に手をかける必要はありません」
O-MARの効果について中浦部長は,「これまでCTでは,金属によるアーチファクトの影響を除去することはあきらめていましたが,O-MARによって,これまで観察できなかった人工関節周囲の構造や軟部組織などが見えてくる可能性があると感じています。一方で,被検者によって効果の程度に差があるため,読影の際にはオリジナル画像と比較参照することが重要です。その意味で,O-MARは従来なかった素晴らしい“補助ツール”であると言えると思います」と述べる。
同センターでは,整形外科で大腿骨骨頭置換術を数多く手掛けており,O-MARによる術後のフォローアップ撮影を週4~5件行っている。佐田技師は,「画像の評価方法や画質の検討はまだこれから行っていく必要があると思いますが,O-MARは,インプラントのある患者さんの画像診断において有効なツールとなっていくことは間違いないでしょう。整形外科医からも喜ばれています」と評価する。
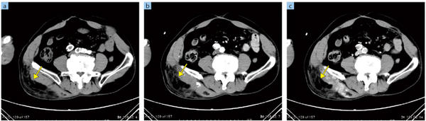
●O-MAR(Metal Artifact Reduction for Orthopedic Implant)による画像比較
O-MAR(Metal Artifact Reduction for Orthopedic Implant)による画像比較
■低電圧撮影とiDose4の普及に期待
緒方技師長は,iDose4やO-MARなどiCTのこれからの運用について,「われわれは低電圧撮影に一足先に取り組みましたが,CTの技術の進歩によってより低侵襲な撮影方法が一般化していくことは大きな意義があると思います。今後は普及クラスの製品まで搭載されることで,どのCTでも当たり前のように,患者さんにやさしい検査が行えるようになることを期待しています」と言う。
iDose4へのこれからの期待について,中浦部長は次のように語る。
「iDose4は特別な技術ではなく,一般化して広がっていくと思います。それと同様に,iDose4を用いた低電圧撮影と造影剤の減量も,普通に行われるようになっていくでしょう。CTの高性能化によって,どの部位でも簡単に低被ばく,少ない造影剤量で従来と変わらない画質を得られます。低電圧撮影がもっと多くの施設に普及していくことを期待しています」
CTの画像再構成技術の進化が,診断能力の向上と同時に,低被ばく,造影剤減量など,社会のニーズに応える撮影法に貢献することが期待される。
(2012年9月3日取材)
住所:〒863-0046 熊本県天草市亀場町食場854-1
TEL:0969-24-4111
病床数:210床
http://www.amed.jp/
