Selenia Dimensions × 慶應義塾大学病院
トモシンセシス対応FPD搭載デジタルマンモグラフィ「Selenia Dimensions」がもたらす乳腺診療のブレイクスルー ─トモシンセシスによる感度・特異度の向上,診断の質の向上を実現
2013-8-1
乳腺診療のスタッフ。
左から中央放射線技術室の松下麻衣子技師,城生 葵技師,
高橋助教,谷本准教授,根本副主任。
慶應義塾大学病院は, 2013年4月に,マンモグラフィシステムをCRから日立メディコのFPD搭載デジタル式乳房X線診断装置「Selenia Dimensions」(HOLOGIC社製)に更新した。同院では,一般・消化器外科乳腺班と放射線診断科,中央放射線技術室の緊密な連携により,質の高い乳腺診療を提供するとともに,Selenia Dimensionsの最大の特長であるトモシンセシス撮影機能を活用することで,さらに大きな成果を上げている。導入の経緯やねらい,初期使用経験について,装置選定で中心的な役割を担った中央放射線技術室の根本道子副主任と,一般・消化器外科乳腺班の高橋麻衣子助教,放射線診断科の谷本伸弘准教授を取材した。
高橋麻衣子 助教 |
谷本伸弘 准教授 |
根本道子 副主任 |
■特定機能病院として乳腺診療の精査・外来を実施
慶應義塾大学病院の中央放射線技術室は,診療放射線技師79名,臨床検査技師3名のスタッフ体制で,超音波も含めたすべてのモダリティ検査に加え,放射線治療や血管内治療にも携わっている。
乳腺診療については,主に紹介患者を対象に精査・外来診療を行っている。2003年に立ち上げられた乳腺検査室は,当初よりCRシステムを導入し,デジタル化の環境を整えていた。同院は,2008年にフィルムレス運用に移行したが,外来診察室が外科全体で共用であるため,乳腺専用ビューワを設置することが難しく,精度担保の観点から,マンモグラフィのみフィルム運用を継続している。
マンモグラフィ検査は,マンモグラフィ検診精度管理中央委員会の認定を持つ女性技師8名のうち,3名が主に担当し,検査件数は年間で約3000件,検査室での生検は70〜100件を実施している。乳腺検査室の立ち上げから10年が経ち,装置の更新時期を迎えたことから,機種選定の末,2013年4月にSelenia Dimensionsが導入された。
■乳腺の重なりを明瞭に描出するトモシンセシス対応装置を選定
マンモグラフィ装置の機種選定は,2007年頃から検討が始まった。中心的役割を担った根本副主任は,マンモグラフィでは微細な病変の検出が必要なことから,当初は,より画素サイズが小さい高精細な装置を視野に入れていたと話す。しかし,「医師が読影時に迷ったり,見落としてしまったりすることなく,正しい診断を行うために必要なのは,最も悩む“乳腺の重なり”を確認できる画像」だと考え直したと言う。腫瘤は超音波検査で確認でき,石灰化は拡大撮影で対応可能なため,読影や診断で困るケースは少ない。一方で,FADや構築の乱れの疑いで精査したものの,検診と同じような情報しか得られないまま診察室へ検査結果を送るケースを,根本副主任自身も経験していた。
そして,従来のマンモグラフィにプラスαの情報を得られるとして,FADや構築の乱れを断層で観察できるトモシンセシス撮影が可能な装置が候補として挙がった。しかし,当時はニーズにマッチする装置がなく,2011年になって,日本乳癌学会で展示されたSelenia Dimensionsを高橋助教と根本副主任が見学したことで,実際に採用へと動き出すことになった。根本副主任は,「技師の立場としては,従来と同じようなスループットで,トモシンセシス撮影ができることが条件だったため,この装置なら問題ないと考えました」と述べる。
ただ,導入までには多少の時間を要した。トモシンセシスをデモ導入していた他施設から,放射線科医による読影の協力がなければ,データ量の多いトモシンセシス画像を生かすことは難しいとの助言を得た。当時,同院ではマンモグラフィを放射線科医が読影する体制ではなかったため,新たな業務が増えることについて納得を得ることやレポーティングシステムの構築も含め,導入のための環境を整える必要があった。読影にあたる谷本准教授は,「技師の負担も増えたとは思いますが,レポーティングシステムなども整えられた結果,読影は非常にしやすいですし,患者に有益な検査であり,やりがいがあります」と話す。
■検査から読影までのシステムを整備しトモシンセシスを全例実施
同院の乳腺外来は,精査や治療での紹介や,自己検診で異常を感じた患者が受診する。初診は月に100名程度で,一般・消化器外科乳腺班のスタッフ医師3名が,週2日診察を行う。治療は手術,抗がん剤,ホルモン剤,放射線療法を組み合わせた集学的治療を実施し,乳がんの手術は年間200〜250例に上る。
初診患者には,マンモグラフィと超音波の検査を必ず行っており,Selenia Dimensionsに更新後は,通常のCC,MLOの2D撮影に加え,全例でトモシンセシス撮影を実施している。トモシンセシス撮影は,4秒以下で±7.5°の範囲を15回照射し,ボリュームデータを取得する。そして,そのポジショニングのまま,2D撮影に移ることができる。撮影後は,技師がコンソールモニタで画像をチェックし,2D画像をフィルム出力してカルテ室へ保管する。画像データは,Selenia Dimensions専用ビューワ「SecurView」(5MP×2面)に送られ,技師がビューワで画像を見ながらレポーティングシステムでテクニカルレポートを作成している。最終的に画像データはPACSへと転送されるが,トモシンセシスの画像データについては,ボリュームデータ(トモシンセシス特化のDICOMデータ)をスライスデータに変換する必要があるため,検像システムでデータ変換を行っている。また,サーバへの負荷を軽減するために,断層画像の要不要を検像した上で,PACSへ転送している。そして,週2日の読影日に,放射線科医が検査室にあるSecurViewにて読影し,レポートを作成している。
読影は,放射線診断医4名が主に担当しており,マンモグラフィ,MRI,超音波をすべて読影し,がんと診断した場合は,進行度や浸潤範囲を見て,治療方針についてコメントする。谷本准教授は,「詳細なテクニカルレポートがあるおかげで,トモシンセシス画像を参照しても,1件あたり1〜2分で読影することができます」と話す。
外来診察室では,電子カルテシステムに反映された読影レポートと2Dフィルムを診断に用いて,テクニカルレポートとPACS内の2D+トモシンセシス画像を参照データとして利用している。診察室を外科で共用していることから,乳腺専用システムの設置は難しいのが現状だが,診察室でも2Dマンモグラフィのモニタ診断ができるように,精度を保ちつつ,医師のストレスにならないビューワを検討中だという。
現在は,乳腺診療の質の向上のため,外科医,放射線科医,乳腺担当技師によるカンファレンスを週1回開催し,生検の実施判断や診断確定,治療方針を決定している。高橋助教は,「カンファレンスで生検実施を判断する症例について,放射線科医に良悪性の評価をしてもらうと非常に適中率が高く,質の高い診断ができるようになりました。生検は患者さんの負担になるので,要不要をしっかりと判断することはとても大切です」と,カンファレンスの成果を述べる。
Selenia Dimensions
SecurView専用キーパッド |
SecurViewによる読影風景。撮影技師によるテクニカルレポートも,SecurViewにて画像を確認し作成される。 |
■スループットの向上でよりていねいで質の高い検査が可能に
CRからFPDになったことで,カセッテの出し入れや読み取り作業がなくなったが,検像やデータ転送の作業が発生したことに加え,撮影技師によるテクニカルレポートを新しく作成するようになった。装置更新後のスループットについて,根本副主任は次のように述べる。
「FPD装置の導入には,スループットの向上もひとつのねらいでした。ただし,検査件数を増やすのではなく,患者さんと向き合う時間を取り,検査の質を上げることが目的です。トモシンセシス撮影により検査時間の延長を懸念しましたが,コンソールでの画像確認や処理の時間が短縮され,実際の検査時間は以前よりもやや短くなっているようです」
マンモグラフィは検査説明と撮影,テクニカルレポートの作成までを含めて20分の時間枠で行っている。トモシンセシス撮影についてはていねいに説明を行うことで,現在のところ断られたケースはない。トモシンセシス撮影は,オーダ時に適用症例の選別が困難なことや,検査の質や費用も含めて公平性を保つために外科乳腺班医師と検討した上で全例実施の運用としたが,根本副主任は,「トモシンセシス撮影で,まったく思いがけないところに所見が見つかるといった症例も多く,全例実施の方針は良かったと思います」と話す。
操作性の点では,フットペダルと手動圧迫ダイヤルが重視された。フットペダルは,ポジショニング時に必要なCアームと圧迫パドルの上下動のみのシンプルかつ確実な操作が可能なものとした。また,乳房の圧迫は,最後は手動で行うが,他社装置がメーター表示を頼りに圧迫するのに対し,Selenia Dimensionsはダイヤルをしっかりと握ることができ,圧迫の程度がダイレクトに技師の手に伝わってくるという。これらにより,できるだけ患者に不安や痛みを与えずに,適切なポジショニングが可能になる。
Selenia Dimensions のFPDは,最大視野が24cm×29cmと,従来装置と比べ患者に当たる部分が大きくポジショニングに懸念があったが,プリセットされた位置に圧迫パドルと照射野が自動で移動するとともに,フェイスシールドが前後にシフトすることで,使いにくさが解消されていると,根本副主任は評価する。コンソールは,3MPプレビューディスプレイと操作用のタッチスクリーンカラーディスプレイが分離しているため,画像を展開しながら,直感的な操作が可能である。また,指紋による生体認証装置で容易に撮影者登録を行えるため,技師がローテーションで撮影する際には非常に有用だという。
圧迫パドルと照射野はプリセットされた位置に自動で移動
フェイスシールドはシフト可能で,
コンソールはプレビューディスプレイと操作パネルが分離 |
手動圧迫ダイヤルで適切な圧迫が可能
指紋での生体認証で容易に撮影者登録ができる。 |
■トモシンセシス撮影による乳房断層画像の実力
Selenia DimensionsのFPDは,α-Se(アモルファスセレン)採用の直接変換方式のため,信号変換による画質劣化がなく,高画質撮影が可能な点も特長である。装置更新によりCRからFPDになったこと,また,画素サイズがCR装置の50μmから70μmとなったことは大きな変化と言えるが,画質については,2D画像はコントラストと鮮鋭度がCRよりも向上しているという。
一方,トモシンセシス画像については,最初は誰もが「よくわからない」という印象を抱いたと話す。2D画像と比べると粗い画像で,コントラストが付かず,ボリュームデータであるという違いもあり,慣れるまでに相当な時間を要するのではないかと危惧されたが,高橋助教は,「半日ほどの勉強会でいくつかの症例を経験すると画像にも慣れ,FADが見やすいといった利点が実感できました」と述べる。また,谷本准教授も「読影では,トモシンセシスと2Dの両方を見るので,特に問題はありませんでした」と話す。
実際に使い始めると,トモシンセシスの有用性の高さが診断能の向上に明確に表れてきた。高橋助教は,「FADや構築の乱れは,2D画像では乳腺の重なりなのか,病変によるものなのかの判断が難しいケースも多くあります。しかし,トモシンセシスで角度を変えて観察することによって,不明瞭だった部分が明らかになり,感度,特異度が向上しました。若い女性に多い高濃度乳腺に対しても有用です」と,診断に大きく貢献していると話す。また,谷本准教授は次のようにトモシンセシスを評価する。
「腫瘤については,massの輪郭が非常にわかりやすいです。石灰化についても,2D画像ではCCとMLOの画像から,頭の中で石灰化の位置を考える必要がありましたが,トモシンセシスでは石灰化の分布が明瞭になりますし,形状もよくわかります。重なりがわかりやすいため,術後のフォローでは迷うことがありません」
トモシンセシスに期待を込めて装置を選定した根本副主任は,「massが触れたり,超音波で検出されても,乳腺とX線吸収差が付かなければ,よほどの構造異常がない限りトモシンセシスでも拾い上げることができません。しかし,見方を変えれば,同じX線吸収率の組成であるという情報が診断に寄与することもあるでしょう」と,プラスαの情報の取得という,期待どおりの効果を上げていると述べた。
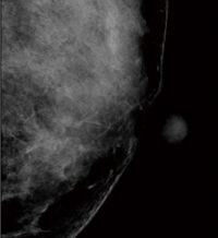
■症例1:spiculated massの検出
症例1:2D画像(所見部分拡大) |
症例1:トモシンセシス静止画像 |
症例1:左CCの2D画像 |
症例1:左CCのトモシンセシス静止画像(19スライス目) |
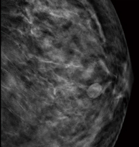
■症例2:dense breastの中のmass
症例2:2D画像(所見部分拡大) |
症例2:トモシンセシス静止画像 |
症例2:左CCの2D画像 |
症例2:左CCのトモシンセシス静止画像(11スライス目) |
症例2:左MLOの2D画像 |
症例2:左MLOのトモシンセシス静止画像(19スライス目) |
■トータルで見た侵襲度の低減を図る
Selenia Dimensionsでは,HTCグリッドの採用や,乳房圧や撮影モードに合わせて自動的に線質フィルタが選択される機能などの被ばく低減の工夫がなされている。トモシンセシスの被ばく線量についての詳細な検証はこれからとなるが,根本副主任らは経験をもとに,画質とのバランスを見ながら撮影条件を調整することで被ばく低減に努め,腹部への防護エプロンを用いるといった受診者に対する被ばくへの不安低減対策にも取り組んでいる。また,陽極にタングステンが用いられることで発生する散乱線について,現在,他施設と共同研究を進めているという。
根本副主任は,「照射線量については今後検討を進めますが,照射線量の低減には限界があるため,それ以外で被ばく低減を図ることが大切だと思います。また,MRI検査や生検,マンモグラフィでの短期フォローが,トモシンセシスにより“必要がない”と明確に判断できることは,総体的に被ばくや侵襲度の低減につながると考えられます」と,トータルで患者の負担を軽減することの重要性を強調した。
■さらなる診療への貢献と患者負担の軽減に期待
トモシンセシス撮影に対応したSelenia Dimensionsの導入により,感度と特異度が向上したことで,質の高い診療とトータルに見た患者への侵襲低減が可能となった。トモシンセシスの今後の活用について,根本副主任は次のように語る。
「トモシンセシスでしか検出できないようなFADや構築の乱れの所見に対する,生検への活用を考えています。石灰化に対する生検に使用した場合でも,組織を採ったあとの乳房の空洞は,2D画像では黒くなってしまい,石灰化が残っていてもわからないこともありますが,断層画像であれば残存石灰化の有無もとらえることができます。さらに,装置に依存しますが,トモシンセシス画像からMIP画像を作成できれば2D撮影を省略でき,確実に被ばく低減,時間短縮につながるため,検討する価値があると思います」
高橋助教は,トモシンセシス撮影は要精検率を効果的に減らせることから,検診施設での使用が望ましいと指摘する。
「検診施設で要精検率を下げられれば,偽陽性で精査に回り不安な思いをする人も減りますし,経済的な負担も軽減できます。そのためにも,トモシンセシスの実績を積み重ねて公表することが,当院の役割のひとつと考えています」
トモシンセシス撮影に対応したマンモグラフィ装置は,まだ数少ないが,短期間ながら同院の使用経験からも,その有用性の高さは明確である。今後も同院からのエビデンスの発信が期待される。
(2013年6月10日,14日取材)
慶應義塾大学病院
住所:〒160-8582
東京都新宿区信濃町35番地
TEL:03-3353-1211
病床数:1044床
診療科:41科(センター,外来等含む)
URL:http://www.hosp.keio.ac.jp/
