Selenia Dimensions × 聖路加国際病院
有用性を見極めて診療に活用することで発揮されるトモシンセシスの真価 ─ Selenia Dimensionsのトモシンセシス画像で,病変の見落としのない,質の高い検査を提供
2013-10-1
専用ビューワ「SecurView」による
トモシンセシスの読影
聖路加国際病院は2012年9月,2台導入していた日立メディコ社のFPD搭載デジタルマンモグラフィ「Selenia」のうち1台を,同社のトモシンセシス対応装置「Selenia Dimensions」(HOLOGIC社製)に更新した。新患を対象に精密検査でトモシンセシス撮影を実施し,超音波など他のモダリティとともに相補的に活用している。同院におけるSelenia Dimensionsの運用や臨床的有用性について,放射線科の角田博子医長にお話をうかがった。
■ブレストセンターで患者中心のチーム医療を
提供
聖路加国際病院では,2005年にブレストセンターを開設し,関連する複数の診療科に加え,看護師,薬剤師,ソーシャルワーカーとも連携し,患者中心のチーム医療を実施している。ブレストセンターでは,本院に隣接する同院予防医療センターにおける検診でピックアップされた受診者の二次検査や,乳がんと判明して治療希望で来院する患者の診療など,精密検査から治療,術後のフォローアップまで行っており,2012年度の手術実績は820件に上る。
放射線科での検査は,視触診,マンモグラフィ,超音波検査に加え,必要に応じて生検,MRIを実施する。このうちマンモグラフィシステムは,センター開設当初から日立メディコ社のFPD搭載デジタルマンモグラフィ「Selenia」(HOLOGIC社製)を2台導入していたが,2012年9月に1台をトモシンセシス対応FPD搭載デジタルマンモグラフィ「Selenia Dimensions」(HOLOGIC社製)に更新した。現在,トモシンセシス撮影機能を二次検査・精密検査に用いて,成果を上げている。
Selenia Dimensions |
3MPディスプレイを搭載したコンソール。 |
■他モダリティとの相補的な活用で発揮されるトモシンセシスの真価
角田 博子 医長
同院予防医療センターでは,Selenia Dimensionsの国内本格導入を前に,2010年12月より約3か月間,トモシンセシスについて評価・検討を行った。当初は,海外向けの画質調整がされていたことから,コントラストが強く,硬い印象の画像であったが,日本人女性の乳房に合わせた調整を行い,角田医長らの求める画質の提供が可能になった。
トモシンセシス撮影は,±7.5°の範囲を15回照射して得た断層像を再構成して,ボリュームデータを得る。断層像をスクロールしながら観察できるため,従来のCC,MLOの2D画像では観察が難しい乳腺の重なりなどを明確に見ることができるとして,その有用性が期待されている。
トモシンセシス画像について角田医長は,「最初にデモで使用したとき,従来の2D画像では見えなかったものが認識できたり,迷っていたものを明確に判断できたりといったことを経験し,トモシンセシスの有用性を強く実感しました」と述べる。それと同時に,「とても小さな嚢胞なども見えてくるため,逆に迷ってしまう症例というのもあります」と話す。
「当院の場合は,トモシンセシスは精査で行っており,小さな嚢胞を拾い上げても超音波検査で落とすことができるので,臨床上は問題ありません。しかし,検診で用いる場合には,どこで線引きをするかの決定は難しいものと考えます」
トモシンセシスの最適な運用方法については,今後の検討が待たれるが,臨床上の有用性は大きいと角田医長は話す。
「特に構築の乱れについては,大きくても2D画像では見えないこともよくありますが,トモシンセシスでは引きつれの様子がはっきりとわかります。また,2D画像では,カテゴリー分類の決定に迷うこともあるのですが,それを明確にできることも非常に有用です」
角田医長は,トモシンセシスは,感度や特異度だけでなく,明確にカテゴリー分類分けをできるといった,表に現れない部分にアドバンテージがあると話す。また,迷いがなくなる分だけ,読影の時間短縮にもつながるという。
超音波検査は,トモシンセシスの苦手な部分をカバーするが,その反対のケースもある。例えば,脂肪と等エコーの腫瘤は拾い上げることが難しいこともあるが,トモシンセシスでは描出が容易である。また,超音波での拾い上げが難しい大きな乳房の中の小さな腫瘤は,トモシンセシスで存在位置を確認して,超音波で該当箇所を重点的にスキャンすることで認識することができ,超音波ガイド下生検でのアプローチが可能になる。
「多発性病変にもトモシンセシスが有用だと思います。病変が複数あるときに,どの所見とどの所見がCCとMLOで対応するかわからないこともありますが,トモシンセシスでは三次元的に病変の位置を把握することができるので,病変の位置が容易にわかります。トモシンセシスを撮影したことで,2つと思われていた病変が3つあることがわかり,術式が変更になった症例も経験しました」
角田医長は,検査ではトモシンセシスや超音波など,モダリティごとの得手不得手をしっかりと把握して適切に使用すること,そして,読影では精度管理されたモニタを使用し,ピクセルサイズを理解して読影することが重要であることを強調した。
■過去画像のない新患にトモシンセシス撮影を適用
同院の乳房検査は紹介を中心とした精密検査が多くを占める。基本的に視触診,マンモグラフィ,超音波検査は全例に実施しており,2台のマンモグラフィ装置による検査は,月平均で約800件,1日あたり40〜50件,最大で約70件に上る。
現在,トモシンセシス対応装置が1台のため,トモシンセシス撮影を全例に実施することはできない。そこで,Selenia Dimensions導入時に,同院でマンモグラフィ検査を受けたことのない新患を対象にトモシンセシスを撮影するという運用ルールを定めた。角田医長は,トモシンセシス適用の考え方について,次のように話す。
「全員に実施できないのであれば,患者さんに公平に検査を受けていただくためのルールが必要です。そこで,当院に過去画像がなく,比較読影ができない新患を対象に,トモシンセシスを適用することにしました。これが最適な運用であるかはわかりませんが,過去画像がある方は,比較できるアドバンテージがあるというように考えました」
マンモグラフィ検査は,乳腺外来の予約枠を設けるとともに,当日オーダにも対応しており,受診者は基本的に当日中の検査が可能となっている。トモシンセシス撮影は,紹介を含む新患を対象に,現在は1日あたり10件程度を行っている。なお,マンモグラフィを直近に前医で撮影していて画像を参照できる場合など,撮り直す必要がないと判断ができれば省略することもある。視触診,マンモグラフィ,超音波検査の結果を,主治医と放射線科医で検討した上で,悪性の可能性がある場合には必要に応じて生検を実施する。また,乳がんと診断された場合には,前医で検査ずみの患者や妊娠中などの適応外を除き,MRI検査を行っている。
生検は,超音波ガイド下生検を優先し,超音波で見えない病変については,バイオプシーガイダンスシステム「MultiCare」(HOLIGIC社製,日立メディコ社販売)を用いて,マンモグラフィガイド下に行っている。マンモグラフィガイド下生検は,週2日の実施日に,それぞれ最大3件の検査枠で実施し,超音波ガイド下生検は,週に5,6件を実施している。
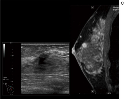
■症例1:40歳代後半,女性。両側乳房腫瘤を自覚,近医で良性と診断。超音波フォロー中に新規病変を指摘されて当院へ紹介。
a:左右MLO画像
b:左MLO拡大画像(左),トモシンセシス拡大画像(右)
c:造影MRI矢状断像,Bモード画像,病理像
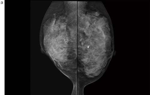
■症例2:40歳代後半,女性。5年前に葉状腫瘍に対して摘出術施行。
a:左右MLO画像
b:右MLO画像(左),トモシンセシス画像(右)
c:Bモード画像,造影MRI矢状断像
d:病理像
■業務効率を重視したシステム構築が重要
通常のマンモグラフィを含めたルーチン読影を行う
高精細5MPモニタ
放射線科では,CT 3台,MRI 4台(1.5Tと3Tが各2台)のほか,単純X線,超音波,マンモグラフィなど,数多くのモダリティが稼働している。2003年からPACS導入による完全フィルムレス化をいち早く実現している同院では,レポーティングシステムを構築し,各種造影検査なども含めて,検査画像はすべて放射線科医が読影してレポートを作成している。マンモグラフィの読影は,角田医長を含め2名の放射線科医が担当している。
Selenia Dimensionsでの撮影から,読影までのデータ運用は,次のような流れとなる。撮影後,通常の2Dデータは院内PACSに,トモシンセシス撮影のボリュームデータはSelenia Dimensions専用ビューワ「SecurView」へと転送される。読影においては,角田医長らは,マンモグラフィを含めたすべてのモダリティの画像を読影しているため,ルーチンの読影を高精細モニタ(5MPモノクロ)2台で行い,トモシンセシス画像は,専用ビューワであるSecurViewで読影する。現在は,トモシンセシス画像で所見が認められた場合は,2D画像の対応する箇所に矢印を記載するなどして,主治医に報告するという運用を行っている。
角田医長は,「読影医は膨大な業務を抱えているため,複数のビューワやレポーティングシステムが別立てとなっていると,業務効率を上げることができません。データ容量の大きいマンモグラフィが他に影響することのないようなデータの運用を考え,病院全体としてシステムづくりをすることが大切です」とシステム構築のポイントを指摘する。トモシンセシス画像に対応するビューワの整備が進んでいるため,今後,読影環境が改善していくことが期待される。
■読影方法を考慮した操作環境のカスタマイズ
トモシンセシス画像はSecurViewにて読影
(右下は専用キーパッド)
トモシンセシスの読影方法について角田医長は,「トモシンセシスの読影においても効率化を図るため,自分の読影スタイルに合わせて,専用キーパッドに操作ボタンを設定しました。私は,スクロールだけはマウスにして,キーパッドと併用して読影しています」と話す。
Selenia Dimensions専用ビューワのSecurViewは,キーボード,マウス,専用キーパッドでの操作が可能である。トモシンセシス画像は,断層像を連続表示し,動画のように乳房を観察する。角田医長はトモシンセシス読影を,モニタに乳房全体を表示し,上下(大きい乳房では上中下)に分けて,それぞれ動画を往復して観察する方法で行っている。
マンモグラフィ読影では,過去画像との比較が重要であるが,動画であるトモシンセシス画像同士の比較読影は,人間の視野や認識力では難しいと角田医長は指摘する。
「動画を完全に同期させたとしても,読影は難しいでしょう。また,過去のトモシンセシス画像を2Dのキー画像にしたとしても,そのキー画像とは別の場所に新しい病変が出てくるかもしれません。比較読影を考えると,将来的にはC-Viewが非常に有望だと思います」
C-Viewとは,トモシンセシスの3D画像から2D画像を作成する技術で,欧米では先行して実用化されている(2013年11月末国内薬事取得)。角田医長は,3Dの情報も取り込まれた2DのC-Viewが可能になれば,トモシンセシスのみを撮影し,C-Viewでルーチン読影をするだけでマンモグラフィの読影がすむと予測する。C-Viewでは,2D撮影を省略できるため,被ばく低減にも直結することから,有用性の高い技術として期待される。
■トモシンセシスを知るためのワークショップを開催
第3回のトモシンセシスワークショップ風景
トモシンセシスは,画像や読影方法が従来のマンモグラフィとは異なるため,実際に体験することで理解につながる。そこで,日立メディコ社では,これまでに3回のトモシンセシスのワークショップを開いた。角田医長は,その2,3回目の講師を務めた(3回目は2013年9月15日に開催)。
ワークショップには,毎回約30名が参加。最初に講師がデモンストレーションで10例ほどを詳細に解説し,その後,20例程度を参加者が読影して答え合わせをするという方法で,約4時間のプログラムが組まれている。参加者の満足度は高く,実施後,「どのような症例に有効なのかわかった」「トモシンセシスの導入を迷っていたが決断できた」「導入後の運用方法が見えてきた」といった感想が多く寄せられたという。
講師を引き受けた角田医長は,「ワークショップは,参加者が公平な目で見ることができる良い機会だと思います。実際に見ることで,トモシンセシスの得意なところ,苦手なところを理解した上で,導入を検討していただくことができます。乳房検査に使われるモダリティは,それぞれに利点がありますが,すべてを網羅することは現実的ではないので,施設ごとに装置を選択し,運用を構築していくべきでしょう。トモシンセシスは,その有力な選択肢の1つであり,効果的な活用のために,ポテンシャルを引き出していくことはとても重要です」と語る。
学術の場でも活発な議論が交わされるトモシンセシスは,今後,臨床応用が進んでいくと考えられる。トモシンセシスの可能性を見極め,適切に運用することで,乳房検査での重要な位置を占めるようになるに違いない。
(2013年7月26日取材)
聖路加国際病院
住所:〒104-8560
東京都中央区明石町9-1
TEL:03-3541-5151
病床数:520床
診療科:34科(センター,診療部含む)
URL:http://www.luke.or.jp/
