Mobilett Mira × 医療法人社団 明生会 セントラル病院
ワイヤレスFDを搭載したモバイルX線撮影装置が病棟撮影のワークフローを変える ─病棟に無線LANを設置し,フルデジタルのメリットを生かした運用で撮影業務を効率化
2013-10-1
国内第1号機として導入された
Mobilett Miraと放射線科スタッフ
1964年,東京オリンピックの開会式の日にオープンした医療法人社団 明生会 セントラル病院(安藤明子院長)は,高齢者医療と人間ドックを中心として東京都渋谷区で本院,分院,松濤の3つの施設を運営している。同院では,病棟でのX線撮影業務の効率化と迅速な診断体制の構築をめざして,2013年5月にシーメンスの移動型X線診断装置「Mobilett Mira」を導入した。Mobilett Miraは,ワイヤレスフラットディテクタ(FD)を搭載したフルデジタルの移動型X線撮影装置で,国内第1号機となる。同院でのMobilett Miraの運用について,放射線科の長尾 一科長と検査を担当する宮下真梨子技師に取材した。
■渋谷区松濤の地で3病院による高齢者医療,
人間ドックなどを展開
セントラル病院は,本院(92床),分院(121床),松濤(110床)の3つの施設を運営する。同院は,1964年の診療開始後,75年に分院を開設。本院は1998年に現在地に新築移転し,それまでの本院は老人保健施設として運営されていたが,2012年に新たに全床医療療養病床の「セントラル病院松濤」としてリニューアルされた。診療としては,高齢者医療と,脳ドックなど各種専門ドックを含む人間ドックを中心に取り組み,本院では外来診療(内科)も行っている。主なスタッフは,3病院で常勤医師11名(本院4,分院3,松濤4),非常勤放射線科専門医師6名,看護師86名,診療放射線技師5名となっている。
長尾 一 科長
同院では,画像情報システムを早くから整備し,フィルムレスでの運用を行ってきた。1998年の本院の新築移転時にDICOMによる画像ネットワークを導入,人間ドックを中心にフィルムレスでの運用体制を構築した。2010年,2度目のサーバリプレイスを機に,PACSとバックアップも兼ねたサーバとして国内1号機のsyngo.viaを導入し,画像ネットワークの強化を図った。また,同時に3つの施設を高速赤外線通信システムで結び,本院を中心にした画像情報のイントラネットシステムを構築した。いち早くデジタル化・フィルムレス化に取り組んだ経緯について長尾科長は,「本院の移転にあたって人間ドックに力を入れる方針があり,受け入れ枠の追加やMRI導入による検査件数の増加が想定されていました。松濤という場所柄から病院にはフィルム保管のための十分なスペースがなく,解決方法としてフィルムレスに取り組んだのがきっかけです。そのネットワークをベースとして,昨2012年,分院を含めた3施設のイントラネットが完成しました」と説明する。
宮下真梨子 技師
各施設のモダリティは,人間ドックを行っていることもあって充実しており,本院にはCT(2列),MRI(MAGNETOM ESSENZA),一般撮影装置,X線TV装置2台,ポータブル撮影装置,骨密度測定装置,マンモグラフィ,分院にはCT(SOMATOM Spirit)と一般撮影装置,松濤にはCT(16列),X線TV装置とポータブル撮影装置(MOBILETT XP)が導入されている。長尾科長は機器の配置について,「300床程度の1つの病院であれば,マルチスライスCTが1台あれば十分ですが,寝たきりの高齢者が多く,急変などの際の撮影を考慮すると,各施設にCTを配置する必要がありました。同時に,これらの機器を管理し,滞りなく検査を行うためのスタッフの配置も必要です」と言う。
セントラル病院の3つの施設は,本院と分院は300mほどの距離があり,旧山手通りを挟んで本院と向かい合わせて松濤が建つ。それぞれの施設の距離はそれほど離れていないが,往来の激しい幹線道路を挟むため,施設間の移動には時間がかかる。移動型X線装置の導入にあたっては,こういった分散した施設の状況と,それに伴う診療放射線技師のワークフローを改善する目的があったと長尾科長は説明する。
「人間ドックや外来のある本院に人員を重点配置する一方で,分院・松濤は両施設で1名の配置となっています。両施設とも高齢者が中心の療養病床で,検査件数はさほど多くないものの,寝たきりや重症度の高い高齢者が多く,病棟撮影のニーズは高くなっています。また,CT検査や緊急撮影もあり,病院間を行き来するスタッフの負担軽減と業務の効率化が必要になっていました」
患者情報は磁気カードリーダーで取り込み |
アーム部分のボタンで本体の前後の移動が可能。撮影セッティングを行いながら微調整ができるようになっている。 |
ワイヤレスFDは本体に収納可能で,セットすると充電がスタートする。 |
本体の17インチカラータッチスクリーンパネル。アイコンとタッチ操作で簡単に操作が可能。 |
分院の全病棟には無線LANのアクセスポイントを設け,PACSへの画像転送を可能にした。
■病棟撮影の効率化をめざしMobilett Miraを導入
2013年5月,同院にワイヤレスFDを搭載した移動型デジタルX線撮影装置Mobilett Miraが導入された。Mobilett Miraは,半切サイズ(35cm×45cm)のワイヤレスタイプFDと,高出力のX線管を搭載したデジタルX線撮影装置である。FDからX線管を含めた本体までシーメンスが開発した一体デザイン型装置で,同院での導入が国内第1号機となった。
同院では,分院のポータブル撮影装置が更新時期を迎えていたことから機種の検討を開始したが,長尾科長はワイヤレスFDを搭載したポータブル装置の導入に至った経緯を次のように説明する。
「2つの病院におけるスタッフのワークフローを改善するために,導入前に移動や病棟撮影の際の技師の行動パターンをフローチャート化して解析しました。それによって,分院がイントラネットにつながっても,以前のようなアナログの移動型撮影装置とCRの組み合わせのままでは,われわれが抱えている病棟撮影の課題を,半分しか解決できないことがわかりました」
分院での一般撮影の検査件数は,1日平均5件前後だが,寝たきりやベッドから動けない高齢患者が多く,移動型X線撮影装置による病棟撮影が中心となっていた。分院の放射線科は地下1階にあり,以前はオーダが出るたびに撮影件数分のIP(イメージングプレート)を持って病棟に上がり,撮影後はIPの読み取りのために地下まで戻る必要があった。長尾科長は,「そこで,ワイヤレスのFDを搭載した移動型デジタル撮影装置であるMobilett Miraを導入し,固定タイプと同等の高画質撮影を実現すると同時に,病棟へ無線LANを導入することで,業務の効率化とスタッフの負担軽減をめざしました」と経緯を説明する。
■セントラル病院におけるMobilett Miraによる病棟撮影ワークフロー
(1) 地下の放射線科からエレベータで病棟まで移動する。Mobilett Miraは390kgと軽量・コンパクトで,撮影スタッフが同乗できる。 |
(2) 病棟の廊下を病室まで移動中。電動アシスト機能を搭載したMobilett Miraは,力を使うことなくスムーズに移動できる。 |
(3) ベッドサイドでのセッティング。カウンターバランス機構で,ロックをせずに目的の位置にアームを移動してセッティングが可能。 |
(4) 半切サイズ(35cm×45cm)のワイヤレスFDは,取っ手がついているため扱いやすくなっている。大容量のX線管とあわせて,グリッドレスの撮影を行っている。 |
(5) 曝射後,約3秒でプレビュー画像が表示される。画像の確認,調整を行い,無線LANでPACSサーバに送信する。 |
■移動撮影での使いやすさと操作性を追究した機能を搭載
同院でのMobilett Mira選定の1つの決め手となったのが,軽量でコンパクトなサイズである。同院では,病棟への移動用のエレベータに600kgという重量制限があり,他社のポータブル装置では装置本体は搭載できたとしても,操作者は階段で移動しなければならない状況が考えられたという。その点で,Mobilett Miraは390kgと余裕があり,FDを持った技師が同乗することが可能だった。長尾科長は,「分院は階段の段差が高く急勾配ですし,装置だけをエレベータで移動させるのは,業務の形態からいってもナンセンスでした。Mobilett Miraの軽さも導入の決め手の1つとなりました」と言う。
また,担当の宮下技師は,実際の移動でも,コンパクトさと電動アシスト駆動によって,狭い廊下やベッドサイドをスムーズに通ることができると評価する。「電動アシストは,ボタンがなく本体を押した方向にサポートされる感じで,最初は少し戸惑いましたが,慣れれば狭い通路でも移動できます。左右の車輪が独立して駆動するため,その場での方向転換など小回りが効くのも助かります」と言う。
ベッドサイドでの撮影時には,アームだけが独立して旋回し,ロックレスでX線管ヘッドを目的の位置に固定できる“カウンターバランス機構”が威力を発揮しているという。宮下技師は,「アームを自由に動かして適切な位置でロックすることなく,そのまま固定できます。撮影位置のセッティングが簡単にできるようになりました」と評価している。
●撮影前の準備
Mobilett Miraは,DICOMワークリストに対応しており,無線LANによるHISやRISからの患者情報や撮影条件の取得が可能だが,同院ではHISが未導入のため,撮影時の患者情報の登録は磁気カードを利用している。長尾科長は,「入院時に作成した放射線科専用磁気カードを撮影前に読み取ることで,患者情報を取り込んでいます。検査件数が少ない場合には,低コストでミスの少ない運用が可能です」と言う。
●無線LANと組み合わせた画像転送
Mobilett Miraでは,曝射から約3秒でプレビュー画像,10秒で本画像が表示される。17インチのタッチスクリーンパネルで画像を確認し,大角などのサイズに合わせて不要な部分の画像をカットし,場合によっては階調処理を行ってから,サーバに転送する。宮下技師は,「撮影後には,患者さんに不快な思いをさせないように,まずFDをはずすようにしています。それが終わる頃には画像が表示されているのでストレスはありません。画像の調整などもタッチパネルで簡単にできます」と使い勝手を評価する。
同院では,すべての病棟に無線LANを設置したことで,その場でPACSのサーバへの転送が可能になった。撮影する技師にとっては,連続撮影やオーダの変更などにも柔軟に対応できるようになり,医師にとっても画像の出来上がりまで待つことなく,迅速に診断が可能になっている。病棟では,胃瘻などの経管栄養カテーテル交換の際に,造影検査で交換後の確認を行っているが,造影後の確認がMobilett Miraのモニタでベッドサイドで行えるため,再挿管などへの対応も迅速にできるようになったという。
●FDからX線管までトータルデザインのメリット
Mobilett Miraはシーメンスが,FDからX線管まで,モバイル型X線撮影装置の1つの製品として,設計しデザインしている。X線管を支えるアームも,ケーブル類がすべて内蔵されており,ベッドサイドの点滴や機器などとの干渉を防ぎ,清潔な環境にも配慮されている。長尾科長は,「Mobilett Miraは,CRのユニットをアドオンしたり,フラットパネルを後から搭載するタイプの製品とは違って,最初からFD搭載のモバイル装置として構成されています。そのため,必要な機能が最初から設定されており,余計な部分がありません。シンプルなデザインは,狭い病棟を移動して撮影する装置には重要であり,安全で効率的な検査業務を可能にしています」と評価する。
●大容量X線管と画像処理を駆使した高画質撮影
Mobilett Miraは,最大35kW,450mA,最短1msの大出力のX線管の搭載により短時間の照射を可能にし,一般撮影装置と同等の高画質を実現する。長尾科長は,高出力X線管のメリットについて,「FDになったことで,画素数が増えダイナミックレンジやSNRが向上したのと同時に,450mAまで管電流を上げられることで,息止めが困難なケースや意識がない患者さんの撮影の際に威力を発揮します。大電流,短時間撮影ができることは大きなポイントになりました」と述べている。
●グリッドなしの病棟撮影を実施
同院では,Mobilett Miraの病棟撮影をグリッドなしで行っている。通常のX線検査では,散乱線除去のためにパネルにグリッドを装着して撮影を行うが,長尾科長は,「当然,グリッドを入れた方が解像度の高い画像が得られますので,病棟撮影であっても診断価値の高い画像を撮るべきだと考えて,従来よりグリッドを入れた撮影を行っていました。しかし,寝たきりの患者さんの場合,褥瘡予防のため柔らかいエアーマットなどを使っていることが多く,パネルが傾いてグリッドの“リス干渉”を起こすことがあります。Mobilett Miraは,グリッドを使用しない撮影を想定したさまざまな画像処理が可能なことから,グリッドの有無で比較検討を行いました」と言う。
長尾科長はグリッドなしの画質について,「胸部の画像はもちろんですが,より散乱線の多い腹部の撮影でも予想以上の画像が得られました。グリッド装着時の干渉による再撮影の可能性と,ポータブルの病棟撮影に求められる画質とを勘案し,病棟では基本的にグリッドなしで撮影を行うようになりました」と説明する。
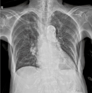
■Mobilett Miraによる臨床画像
検査目的:右下肺肺炎フォローアップ |
検査目的:イレウス疑い |
■ワイヤレスとフルデジタルが病棟撮影のワークフローを革新
Mobilett Miraの導入で,病棟での撮影業務の効率化を実現したセントラル病院だが,長尾科長はさらに運用の工夫を重ねて,より良い検査を短時間で行えるように進めていきたいと語る。さらに,国内1号機として導入したMobilett Miraへの期待について,次のように語る。
「デジタル撮影になったことで,フィルムの時のような再撮影は少なくなりました。一方で,自動露出機構がないポータブル撮影では,体格などによる撮影条件の修正は撮影者の判断に任されています。いっそうの被ばく低減を進めるためにも,FDが持っているEXI(Exposure Index)のデータを利用した撮影技術が開発されれば,今後の被ばく線量コントロールに効果的なのではと期待しています」
Mobilett Miraが実現するワイヤレスFDとフルデジタルのポータブル撮影により,撮影業務のワークフローの変革が期待される。
(2013年8月8日取材)
医療法人社団 明生会 セントラル病院
a 本院(病床数:92床)
東京都渋谷区松濤2-18-1 TEL 03-3467-5131
b 分院(病床数:121床)
東京都渋谷区神泉町25-1 TEL 03-3465-5131
c 松濤(病床数:110床)
東京都渋谷区松濤2-11-12 TEL 03-3485-5131
http://www.central-hospital.or.jp/
