Multiva × 長野県立こども病院
最新鋭1.5T装置が可能にする小児に優しい検査とワークフローの改善─画質とスループットの向上を両立し小児に負担をかけない安全なMRI検査を実現
2013-11-1
長野県立こども病院が導入した
Multiva国内第1号機
1993年の開院以来,県内における小児医療の中核を担っている長野県立こども病院。放射線部門では,「医療被ばく低減施設」の認定を受けるなど,小児に負担をかけない検査に取り組んできた。その放射線部門では,前機種をリプレイスする形で,2013年7月22日からフィリップスエレクトロニクスジャパンの最新鋭1.5T MRI「Multiva」の国内第1号機が稼働を開始。ワークフローの改善を追究して開発されたMultivaは,小児に優しく,安全な検査の遂行に大きく貢献している。さらに,シーケンスが大幅に充実したことで,診断・治療に有用な情報を提供できるようになった。リプレイスにより,多くのメリットを生んでいるMultivaの導入経緯と使用経験について取材した。
■「医療被ばく低減施設」の認定を受けるなど小児に優しい検査を実施
放射線部門内に設けられた
県内初の3Dモデル造形センター
長野県立こども病院は1993年5月,全国で9番目の県立の小児医療専門病院として,現在地である長野県安曇野市に開院した。当初60床だった病床は,翌年に100床へ増床。その後も院内保育所や総合周産期母子総合医療センター,長期入院患者家族滞在施設を開設するなど,診療体制や設備の整備を図りつつ,20年にわたり長野県における小児・周産期医療の中核施設としての重責を担ってきた。さらに,2010年には地方独立行政法人へと移行。これにより病院経営の基盤を強固にして180床に増床した。加えて,小児救急医療を充実させたほか,小児集中治療室と後方支援のハイケアユニットの整備,放射線部門におけるエコーセンターと3Dモデル造形センターの設置といった,診療機能の強化を図っている。
同院の放射線部門である放射線科と放射線技術科は,長年にわたって小児への負担が少なく,かつ精度の高い検査・診断に取り組んできた。小児の検査では当然,放射線被ばくの低減が重要となる。そこで,放射線技術科では,スタッフの検査技術の向上と安全管理の徹底を図り,適正かつ可能なかぎり被ばくを低減した検査を行ってきた。毎朝のミーティングのほか,毎月行われる放射線科との合同会議においても,検査の内容や業務の問題点を議題に挙げて,その改善に取り組んでいる。また,小児患者は成人してからも検査を受ける機会が多いことを踏まえ,開院時から患者ごとの検査情報を個別ファイルで管理して,トータルでの被ばく線量を算出できるようにしている。
このような取り組みが評価されて,同院は,小児医療専門病院としては初めて,公益社団法人日本診療放射線技師会の「医療被ばく低減施設」に認定された。この施設認定は,長野県内の医療機関初で,全国でも18番目であり,同院の医療被ばく,医療安全への高い意識を象徴するものだと言える。放射線技術科の中沢利隆科長は,「開院時に0歳だった患者さんが現在20歳になっているなど,成人を過ぎても継続して当院で検査を行っています。それだけに,体格に応じた線量を検討するなど,日々の研鑽が重要です」と,小児医療専門病院で働く診療放射線技師に求められる姿勢について述べている。
こうした小児に対する負担の少ない,安全な検査という考えは,モダリティの選定にも反映されており,Multivaの導入へとつながった。
安河内 聰 |
近藤良明 |
中沢利隆 |
■ポテンシャルの高さを評価しMultivaの採用を決定
長野県立こども病院の放射線部門では,開院時にフィリップス社製0.5T MRIの「Gyroscan NT5」を導入。同社と協力しながら,画質の向上を図り,質の高い検査に取り組んできた。その後,2001年には同じくフィリップス社の「Intera 1.5T」へと更新。10年以上にわたりフル稼働させてきた。
Intera 1.5Tは,同院の診療に大きく貢献してきたものの,10年を超す長期間の使用により,検査業務に支障を来すようなトラブルも発生するようになっていた。また,診療科からは,より精度の高い画像へのニーズが高まっていたが,SNRを上げるためには撮像時間が長くなるため,検査効率も低下していた。さらに,Intera 1.5Tでは対応できない心筋線維化の評価や心機能解析などの要望も高まっていた。こうした理由から,同院ではMRIを更新することになった。
新機種の選定にあたっては,当初3T装置も対象にしていたが,小児検査ではME機器を周辺に配置することが多く,安全管理の観点から1.5T装置の方が適しているとの判断を下した。そこで,Intera 1.5Tのマグネットを流用して予算を抑えつつ,フィリップス社のハイエンドクラス装置へと更新することにして,その予算を確保した。具体的な検討を進めていく中で,同社の「Ingenia」とエントリークラスの「Achieva」の中間のニーズを満たすミドルクラスの新製品として,「Multiva」シリーズが2013年4月に発表された。これを受けて,再度候補を練り直すことにして,放射線科と放射線技術科,主要な診療科で構成する「MR更新作業部会」を設置。4月中旬に検討会を開いて,Multiva以外に他メーカーの装置もリストに挙げて選定を行った。
この検討の中では,国内1号機としてMultivaを導入することで,フィリップス社と共同で画質向上などのためのハードウエア・ソフトウエア両方のチューンナップを行うことが確認された。病院とメーカーが協力して,より優れた装置へと磨き上げていくことができるという期待感からも,Multivaを採用することに決定。中沢科長は,「当院では,各診療科の医師の画質に対する要求が高く,これまでもフィリップス社とともに,画質向上に取り組んできました。このようにして長年かけて築き上げた信頼関係も考慮しました」と述べている。また,循環器小児科の安河内 聰部長は,「Ingeniaは,確かにアプリケーションは充実していますが,われわれが求める画質を得るためのセッティングや撮像法を工夫していくためには,新開発のMultivaが持つポテンシャルの高さの方を重視しました」と,選定に込めた思いを語る。
ガントリにイラストが施されたMultivaと |
Multivaのコンソール |
■ワークフローの改善を追究したMultiva
フィリップス社の最新鋭1.5T MRIであるMultivaは,ワークフローの改善を追究した装置として,2013年4月に発表され,6月から販売が開始された。高速化撮像を行うパラレルイメージング法の“SENSE”は最大16倍速に対応し,撮像時間の大幅な短縮が可能となり,頭頸部,体幹部,四肢関節のルーチン検査を10分程度で実施できる。また,RFコイルを軽量化することで,被検者のセッティングを容易にしている。撮像時間の短縮とセッティングの簡便化により,従来装置と比べトータルの検査時間を最大40%削減することが可能である。
一方,画質の向上については,Multivaでは“Direct Digital Sampling”技術が採用されており,フィルタ処理を行わずにMR信号をデジタル変換するため,SNRの高い画像を得ることができる。また,最大3MHzのバンド幅により,高分解能撮像も可能である。FOVは最大53cmで,直線性誤差が1.4%という最新の傾斜磁場“Galaxy Gradient”によって,歪みを抑えた広範囲の撮像を行える。
なお,今後は頭頸部,体幹部などの撮像領域のRFコイルエレメントを自動的に選択する“SmartSelect”が搭載される予定であり,さらなる検査効率の向上が期待される。
Multivaとともに導入したMRI対応のINVIVO社製生体情報モニタリングスシステム「INVIVO Expression」 |
容易なセッティングと撮像時間の短縮を |
■診断能の向上に加え検査の効率化を実現
同院では,Multivaの稼働開始から,約1か月間でおよそ150件のMRI検査を行ってきた。その内訳は50%が脳神経外科領域,30%が心臓・大血管,残りの20%が体幹部と四肢など整形外科領域となっている。症例としては,脳神経外科領域では脳血管障害(もやもや病),脳炎,脳腫瘍,脊髄脂肪腫,循環器領域では先天性心奇形や川崎病,拡張型心筋症,血液・免疫関連の疾患では神経芽細胞腫,ウイルムス腫瘍,若年性リウマチなど,神経科の症例では脳奇形,脳変性疾患,整形外科では半月板損傷,ペルテス病,化膿性関節炎,骨髄炎が多い。
これらの撮像は,1日8件の検査枠の中で行われている。ルーチン検査のプロトコールはIntera 1.5Tを引き継いでいるが,ボリューム撮像のシーケンスが増加し,症例に応じてVISTA,Volume DWI,ASL,DTIを追加している。脳神経外科領域での血管や血流の撮像については,従来機種でも撮像していたTOF-MRAとPC-MRAに加え,Black Blood VISTA,PRESTO-T1 FFEを新たに行っている。また,心臓MRIでは,従来のMRCAに加えて,シネMRIとしてBalanced TFEと3D-PCAを撮像している。このように新たなシーケンスを追加できたことは,診断,治療に大きなメリットをもたらしている。
●3Dシーケンスの充実による診断精度のさらなる向上
Multiva更新のメリットは,まず前機種と比べて格段に画質が向上したことに表れている。安河内部長は,「空間分解能と時間分解能が上がり,さらに磁場の均一性も優れているためSNRも良くなりました。これにより撮像時間の短縮や画質の向上が図れ,検査の適応が広がると考えています」と述べている。例えば,心臓MRIでは,シネ撮像による左室駆出率計測で心機能評価を行っていたが,Multivaでは以前より大幅に時間を短縮できている。安河内部長は,「稼働し始めてから30例近く検査を行っていますが,撮像時間が短くなっただけでなく,右室と左室容積の算出や駆出率の計算処理のスピードが速くなりました」と説明する。さらに,安河内部長は,whole heart 4D MRIについても高く評価している。
「当院のようなこども病院では先天性心奇形の症例が多くあります。この症例ではwhole heart 4D MRIを撮像することで,心臓全体の構造と動きを容易に推測できます。心奇形のような複雑な構造をした心臓の場合,どのように長軸をとるか,4チャンバーを描出するかを検討するために,まず全体を4Dで撮像してからスキャン断面を決めることで,撮像時間も短縮できます」
これに加え,Black Blood VISTAも,「撮像時間を短縮できるだけでなく,ボリュームデータによって観察したい断面図を撮像した後からでも簡単に設定できます」と,安河内部長は有用性を説明する。
放射線科の近藤良明部長も同様に,「Multivaになったことで,空間分解能が良い高精細の画像を得られるようになりました。従来装置の撮像ではギャップレスの画像が少なかったので,病変を見落とすリスクがありましたが,Multivaではスライス厚を薄くして,高精細の画像を多断面で観察することにより,確実な存在診断ができています」と評価している。
しかし,ボリュームデータは,読影量の増加につながり,放射線科医の負担を増やすことにもなりかねない。これについて近藤部長は,「画像の精度が上がったことで,例えば,水やアーチファクトの鑑別に迷うことがなくなり,以前よりもストレスなく読影できています」と述べており,むしろプラスに作用していると言える。このほか,近藤部長は,MRSの撮像が前機種より短時間になったことで,ルーチン検査でも行える点を高く評価している。
●高いスループットが安全な検査環境にも効果
ワークフローの改善を追究したMultivaだけに,検査の効率化,スループットの向上というメリットも生まれている。安河内部長が前述したとおり撮像時間が短縮されていて,中沢科長は,「以前の機種では40分かかっていた撮像が,SENSE対応のコイルとなり1スキャンあたり1分程度短縮されたことで,約30分で完了するようになりました」と説明している。加えて,セッティングが容易になったことも効率化につながっている。中沢科長は,特にMultivaで対応可能となった小児用頭部脊椎コイルが,大変優れていると述べる。
「小児用頭部脊椎コイルにより,1歳程度の小児であれば頭部から脊椎までが1回のスキャンで撮像できます。これまでは,頭部と脊椎の検査は別々にオーダが出されていて,先に頭部用コイルをセッティングして撮像を行い,その後に脊椎用コイルをセッティングし直すという手間がかかっていました。しかし,この一体型のコイルによりスキャン効率が大変良くなっています。最近では,心臓用のコイルを足して,頭部と心臓を1回で撮像するケースもあります」
このような撮像時間の短縮は,小児患者にとってメリットが大きい。鎮静剤量を削減することができるようになり,負担をかけない検査が可能となった。小児のMRI検査では,鎮静剤投与による合併症が問題化され,日本小児科学会など3団体が見守りに専念できる医師や看護師の配置を求めた提言をまとめており,医療機関には速やかな対応が求められている。安全性という観点からも,Multiva導入の効果は非常に大きいと言える。
さらに,コンソールでの操作も前機種からの効率化が図られた。事前に検査内容を登録できる“Exam Card”方式となり,操作が簡略化したことに加え,撮像と画像処理を並列処理できることで,処理中に次の検査に移行するなど,スループットが向上している。
このようなメリットにより,入室から退室までの1検査の時間が,1時間以内に収まるようになった。短縮化によってできた余裕は,無理に検査枠を増やさず,緊急検査に速やかに対応するために生かしている。こうした検査マネジメントが,精度が高く安全性の高い検査へと結びついているのである。
■症例1:もやもや病(6歳,男児)の頭部MRA
■症例2:重複大動脈弓(10歳,男児)の心臓MRA
■症例3:フォンタン手術術後(18歳,女性)の心臓MRA
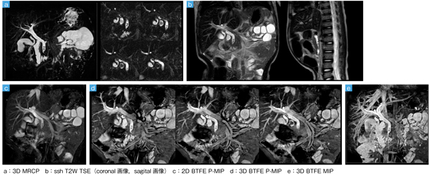
■症例4:総胆管結石(3歳,男児)のMRCP
■症例5:心筋症(1歳,男児)のシネMRI
■さらなる負担軽減のためにCT検査の置き換えも検討
長野県立こども病院で順調な滑り出しを見せたMultivaの運用であるが,今後はシーケンスの検討を重ねて,さらなる画像の精度向上に取り組んでいくことにしている。中沢科長は,「テンソルイメージングが可能になったことから,脳神経外科医から期待が寄せられています。脳腫瘍では,神経線維がどのように腫瘍に関与しているかが重要となるので,それがわかるようになれば,術式や手術時のアプローチの検討に有用な情報となります」と述べている。また,安河内部長は,従来はCTで行っていた心臓・大血管の検査をMultivaに移行する可能性を探っていきたいと言う。
「空間分解能に優れたCTは,3D画像も高精細で,冠動脈の評価も造影CTの方がきれいに血管を描出できていましたが,Multivaではボリュームのデータセットを得られるようになり,これを解析処理することで,診断能が向上しています。高心拍や息止めなどの課題がありますが,アプリケーションやコイルの開発が進めば,CT検査に置き換わる可能性があると思います」
このような可能性については,近藤部長も言及しており,「適正な鎮静剤使用を留意しつつ,小児被ばくを減らすためにも取り組んでいきたいテーマです」と述べている。
同院が国内第1号機として導入したMultivaは,未来あるこどもたちのために,負担の少ない,優しい検査を行うMRIとして,ますます活用されていくであろう。
(2013年8月29日取材)
長野県立こども病院
住 所:〒399-8288
長野県安曇野市豊科3100
TEL:0263-73-6700
病床数:200床(許可病床数)
診療科目:総合小児科,血液腫瘍免疫科,遺伝科,神経小児科,精神科,新生児科,産科,循環器小児科,心臓血管外科,小児外科,整形外科,形成外科,脳神経外科,眼科,泌尿器科,耳鼻いんこう科,皮膚科,麻酔科,小児集中治療科,放射線科,臨床病理科,リハビリテーション科
http://nagano-child.jp/
