MAGNETOM Amira × 宗像水光会総合病院
「高い臨床価値」と「運用コスト低減」を両立した最新1.5T MRIで地域医療を充実化 〜検査の適応を広げるアプリケーションを活用し,紹介検査の増加などを図る〜
2015-9-1
MAGNETOM Amiraの国内第1号機とスタッフ
宗像水光会総合病院は,1965年に福岡県福津市に開院して以来,救急など急性期医療に取り組み,宗像保健医療圏における地域中核病院として地域医療を支えてきた。同院の放射線部門では,MRIを更新し,2015年7月からシーメンス・ジャパンの最新鋭の1.5T装置である「MAGNETOM Amira」の日本国内第1号機が稼働し始めた。「高い臨床価値」と「運用コスト低減」を特長とするMAGNETOM Amiraの導入は,検査の適応を広げるとともに,高いスループットによって同院の診療に貢献している。そこで,導入のねらいと初期使用経験について,田山慶一郎院長/心臓血管外科部長,木下良正脳神経外科医長,山中啓二理事/事務長,上田亮治放射線室長/放射線技師長に取材した。
田山慶一郎 院長/ |
木下良正 |
山中啓二 |
上田亮治 放射線室長/ |
地域中核病院として画像診断装置も充実
宗像水光会総合病院の前身である津留外科病院は,1965年に22床の病院として開院した。翌66年には救急指定病院(救急告示病院)となり,36床に増床。67年には津留病院へと改称した。救急指定病院として地域住民に安心を提供し,信頼に応えていく中で,病院の規模も拡大を続け,医療法人となった79年に170床となり,以降,83年に210床,85年に303床へと病床数を増やしていった。さらに,90年には,現在地に新築移転し,宗像水光会総合病院に改称。現在,300床の総合病院として機能している。
また,水光会グループとして福祉,介護事業にも取り組み,水光会地域総合ケアセンター,水光会ふくま訪問看護ステーションなどの在宅サービス,水光デイサービスセンターをはじめとした通所介護サービス,サービス付き高齢者向け住宅「みずきの郷」,介護老人保健施設「水光苑」といった施設サービスを展開。一方で,予防医療にも力を注いでおり,水光会総合リハ・フィットネスセンター,水光会健康増進クリニックなどを運営している。このほかにも,宗像看護専門学校を開設するなど水光会グループはまさに,福津市,宗像市を範囲とする宗像保健医療圏の健康,医療,福祉,介護をカバーしており,宗像水光会総合病院はその中核施設の役割を担っている。
田山院長は,「当院は地域中核病院として,救急医療に力を入れる一方で,大学病院とも連携して高度な医療を提供し,地域完結型医療をめざしています」と述べている。このため,急性期医療に関しては,循環器内科と心臓血管外科が連携して診療に当たる心臓血管センターを設けるなど,専門性の高い治療ができる体制を構築。一方で,回復期リハビリテーション病棟も49床確保し,入院患者の社会復帰を支援している。
急性期から回復期,慢性期までの地域完結型医療を提供していくために,同院では,診療を支援するためのITシステムや画像診断装置を積極的に整備してきた。現在他に新築移転した90年には,まずオーダリングシステムを稼働させ,その後PACSを導入。2010年にはPACSを更新してフィルムレス運用へと移行した。さらに,2014年には電子カルテシステムを稼働させており,業務の効率化を図るとともに,職員の情報共有を強化し,診療の質を向上させている。
また,放射線部門では,81年に最初のCTが設置され,現在では64スライスCTを稼働させている。MRIは新築移転した90年に導入し,その後2001年には1.0T装置に更新して,検査を施行してきた。そして,2015年に,よりいっそうの診療環境の充実化を図るために,1.0T装置を更新し導入したのが,シーメンス・ジャパンの最新鋭の1.5T MRIであるMAGNETOM Amiraである。
日本国内第1号機となるMAGNETOM Amira
宗像水光会総合病院の放射線部門は,放射線科と放射線室で構成される。放射線科には常勤医が1名勤務し,非常勤の放射線科医も含めて読影業務を行っている。読影はCTとMRIのほか,健診の胸部X線と消化管透視検査があり,読影件数は,2014年度の実績で,CTが約1万1000件,MRIが約3000件となっている。
一方,放射線室には15名の診療放射線技師が所属し,「患者さんにやさしい撮影」「医用画像の質の向上」「被ばく低減」を心掛け,日々検査業務に取り組んでいる。実際の業務では,モダリティごとに担当を設けて,各スタッフが専門性の高い検査にも対応できるようにしている。救急医療に高い実績を持つ同院だけに,放射線室も24時間体制で検査を行っており,各診療科に質の高い有用な画像を提供している。
このような状況の中,MRIについては長年1.0T装置を使用してきたが,使用できるシーケンスに制限があり,依頼医のニーズに応えることができないケースが増えてきた。加えて,10年以上使い続けるうちに装置の老朽化も進み,さらに追い打ちをかけるように,部品調達などの問題から装置メーカーのサポートが終了することになった。そこで,同院では,MRIを更新することにして,2014年12月ごろから具体的な選定作業を開始した。選定に当たって,心臓血管外科医でもある田山院長は,心臓MRIにおいて高画質の画像が得られる装置を求めたと言う。
「前装置では心臓MRIを撮像できなかったので,学会などで他院の先生方が非常に高精細な画像を使って発表しているのを見て,心臓MRIでも優れた画像が得られることを採用条件にしました」
一方で,病院経営の観点からは,イニシャルコスト,ランニングコストなどのコストパフォーマンスに優れていることを重要な選定条件とした。山中理事は,「MRIを稼働させる上で,ヘリウムガスはランニングコストの大きな部分を占めています。特に昨今,ヘリウムガスの価格が高騰していることもあり,これを低く抑える必要がありました」と説明する。
さらに,山中理事は,地域医療の中核病院として,地域住民や連携先施設からの信頼に応えるための装置にしたいという考えもあったという。
「当院は,宗像保健医療圏唯一の総合病院として,多種多様なご要望に応えていく責務があります。特に,画像診断装置の充実や人材育成は,当院の役割でもあるので,今後も取り組んでいきたいと考えています」
このような臨床,経営の両面のニーズに応える候補機種を上田放射線室長がリストアップし,具体的な検討を進めていった。上田室長は,「1台で全検査を行うことを前提としたことから,3Tよりも取り回しの良い1.5T装置にすることにし,各社の製品から候補機種を選び,院内で議論していきました」と説明する。この過程の中で,シーメンス・ジャパンが今春発表したMAGNETOM Amiraが採用候補に浮上した。国内の導入実績のない新製品であることに対して不安もあったが,それは反対に最新の技術を利用できるというメリットもある。このことを踏まえて他機種との選定を行い,同院の要望でもあった,臨床面での有用性の高さと経営面での経済性の高さを高い次元で実現できるとの判断から,2015年の春,国内第1号機となるMAGNETOM Amiraの導入を決定した。
MAGNETOM Amira(左)とLED照明によって明るいガントリ内部(右)
「高い臨床価値」と「運用コスト低減」の両立を高次元でバランス
MAGNETOM Amiraの採用決定後,更新の準備作業が早急に進められた。装置の入れ替え作業を経た上で稼働のテストなどが行われ,1か月半程度の期間はMRIの検査業務を休止して,他院への紹介検査などで対応した。日本国内第1号機ということもあり,シーメンス・ジャパンとしても稼働に向けて万全の体制をとってセッティングを行い,2015年7月から本格的な検査を開始した。
MAGNETOM Amiraは,第100回北米放射線学会(RSNA 2014)で発表され,その後,JRC2015の2015国際医用画像総合展(ITEM in JRC 2015)において日本国内でも披露され,2015年4月に日本国内での販売を開始した。同社では,「高い臨床価値と運用コストの低減が求められている日本市場向けに開発された装置」と位置づけ,1.5Tにおける主力製品として今後の普及に向け力を入れている。
「高い臨床価値」を提供するために,MAGNETOM Amiraには,3T MRIのハイエンド装置である「MAGNETOM Skyra」と同じ,最新のソフトウエアバージョンである“E11”が搭載された。“syngo”インターフェイスをベースに開発されているE11には,従来のアプリケーションに加えて,腹部領域や心臓領域,整形外科領域などで有用性の高い機能が新たに搭載されている。まず,E11で新たに可能となった撮像法として,“FREEZEit”が挙げられる。これは,“TWIST-VIBE”と“StarVIBE”という2つのシーケンスがあり,肝臓の造影検査において威力を発揮する。TWIST-VIBEは,短時間での高い時間分解能を持った3Dダイナミック撮像が可能なシーケンスで,超早期相の評価など,より高度な診断を可能にする。また,StarVIBEは,2~3分程度の撮像時間で,自由呼吸下での造影でもモーションアーチファクトを抑えた高画質画像を得られることから,息止めの困難な小児や高齢者への検査適応を広げるシーケンスである。
E11には,心臓領域における機能として,呼吸による心臓の位置ズレを自動補正する“HeartFreeze”も搭載している。加えて,末梢血管描出を高速に行うために開発された新しい非造影MRA技術“QISS”が搭載された。QISSは,従来よりも大幅に撮像時間を短縮し、10分程度で下肢全長の撮像が可能であり,かつ再現性の高い撮像法でもある。このほかにも,人工関節などのインプラントによるメタルアーチファクトを軽減する“syngo WARP”といった,整形領域での検査に対応したアプリケーションも採用されている。
また,MAGNETOM Amiraでは,E11に搭載された静音技術“Quiet Suite”も利用できる。同社の従来機種と比較して,最大97%以上のノイズを除去できるこの技術は,傾斜磁場コイルのスイッチング時に発生するノイズを大幅に低減したもので,画質を維持したまま,全身検査において包括的に用いることができる。さらに,ultrashort TEをベースにした静音撮像のシーケンスである“qPETRA”も可能である。
このような臨床面での特長以外に,MAGNETOM Amiraは,コスト面でのメリットも有している。同社のMRIは,“ゼロボイルオフテクノロジー”により,ヘリウムガスを消費することなく,補充も不要である*。加えて,MAGNETOM Amiraでは,“Eco-Power”という消費電力を抑える新開発の技術を採用している。このEco-Powerは,マグネット内の液体ヘリウムを常時モニタリングして,循環させる必要がない場合は,コンプレッサーを停止させることができる。これにより,従来機種に比べて検査待機時の電力消費を約30%も抑えることが可能で,電気代などのランニングコスト削減につながる。
「臨床的価値」と「運用コスト低減」の両立という難しい課題を高次元でバランスさせたMAGNETOM Amiraは,まさに宗像水光会総合病院のニーズに応える装置であったと言えよう。
syngoのユーザーインターフェイスにより |
外来でMAGNETOM Amiraの検査画像を |
高精度の画像と高いスループットを実現
2015年7月に稼働し始めてからまだ日が浅いものの,MAGNETOM Amiraは順調に稼働しており,検査の適応も増やしつつある。放射線部門では,1日に20件のMRI検査枠を設けており,そのほかに緊急検査も行っている。領域別に見ると,頭頸部領域の検査が最も多く,次いで脊髄,四肢などの整形外科領域や腹部領域の検査も増えている。また,撮像シーケンスについては,例えば頭頸部領域のルーチン検査の場合,T1強調,T2強調,T2*強調,FLAIR,拡散強調,頭部MRAをセットにしており,症例に応じて頸部MRAを追加している。
まだ検討件数は多くないが,更新によるメリットはすでに多くの医師,診療放射線技師が実感できており,宗像水光会総合病院の診療に新たな可能性をもたらしている。最も多くの検査をオーダしている脳神経外科では,各種のアプリケーションを試用しつつ,診断に有用な画像を得ている。木下医長は,次のように説明する。
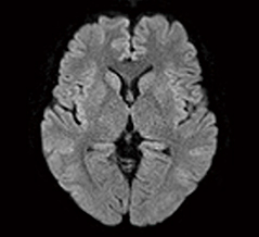
「ルーチン検査では,体動補正のアプリケーションである“syngo BLADE”を使用していますが,アーチファクトのない精度の高い画像を撮像できています。また,顔面けいれんや動眼神経麻痺の検査には,高速撮像法である“syngo SPACE”を用いており,脳神経を高精細に描出しています。さらに,拡散強調画像のアプリケーションである“syngo RESOLVE”もとても高く評価しています。拡散強調画像はMAGNETOM Amiraの本稼働前から期待していたのですが,syngo RESOLVEでは歪みのない,アーチファクトを抑えた画像が得られており,後頭蓋窩の梗塞診断において非常に有用です」
このほかにも,MAGNETOM Amiraで可能になった撮像法に対し,現在検討を進めている。木下医長は,「少しずつですが,ASLやblack blood法での撮像を行っています。ASLは,頸動脈ステント留置術における過灌流の評価にも有用だと思いますので,今後,積極的に取り入れたいと考えています」と述べている。
一方で,運用コストに関するメリットについては,まだ具体的な数字は出ていないが,最新鋭の高磁場装置を導入したことで,検査全体のスループットが向上している。上田室長は,「頭頸部領域の検査ならば,検査時間が従来の1/2〜1/3程度に短縮できています。前装置では,検査枠をこなすだけでも厳しい状態でしたが,MAGNETOM Amiraに更新したことで余裕が生まれました。今後は,この時間を生かして,診断・治療に有用なシーケンスを追加するか,もしくは検査枠を増やすといったことを検討したいと思います」と話している。
さらに,木下医長は,診療放射線技師の業務負担の軽減という効果も出てきていると指摘する。
「MAGNETOM Amiraでは,高齢者の遅い血流でも脳血管末梢の描出が良くなり,再測定が不要となりました。また,頭部と頸部のMRAで受信コイルを交換せず,同時に頭頸部血管を撮像できるため,迅速に有用な脳梗塞の急性期診断が可能になり,かつ診療放射線技師の作業負荷が減ったことも評価できます」
撮像時間の短縮は,被検者のメリットにもなっている。また,Quiet Suiteにより撮像音が通常の1.5T装置に比べて大幅に抑えられていることも,被検者にとって優しい検査に結びついている。加えて,ガントリ内や寝台にLEDを施し,明るく開放的な雰囲気を与えることで,被検者に安心感を与えている。こうしたメリットは,被検者が持つ「うるさい」「狭い」というMRIに対する先入観を払拭し,同院にとっても紹介検査の受け入れなどにおいて,良いアピールポイントになると期待されている。
症例1:頭部MRA
症例2:頭部拡散強調画像(syngo RESOLVE)
症例3:頭部ASL画像
| 症例4:腹部造影MRI(StarVIBE/息止めなし)
|
症例5:非造影下肢MRA(QISS)
|
心臓MRIなど適応を広げ地域医療の充実化を図る
短期間での使用経験でありながら,MAGNETOM Amiraの持つポテンシャルの高さを実感している田山院長らは,今後の診療において,さらにその機能を活用していきたいと考えている。その一つが心臓血管センターを有するという同院の特色を生かすことにもなる心臓MRIへの取り組みである。田山院長は,「心臓MRIを視野に入れて導入した装置なので,ぜひ早期に実施したいと思います」と述べている。
これについては,山中理事も「当院は24時間体制で心疾患の診療に対応できる医療圏内で唯一の医療機関です。今回導入した最新型のMRIは,患者さんにも優しい装置と聞いていますので,地域の先生方に積極的にご利用いただければうれしいですね」と話している。すでに,数例のテスト撮像を行っており,シネMRIなどで良好な画像が得られている。今後は,心機能評価などを検証して,次のステップに進むことにしている。また,脳神経外科の検査に関して,木下医長は,「認知症の鑑別などに,ASLやSWI,DTI,高分解能撮像を検討したいと考えています」と,これからの展開を説明する。
日本国内第1号機として導入したMAGNETOM Amiraは,MRI検査の適応を拡大し,すでに宗像水光会総合病院の診療の中で重要な役割を担う存在となりつつある。「高い臨床価値」と「運用コスト低減」という特長は,今後,紹介検査数の増加など,病院経営にも良い影響を与えるであろう。そして,紹介検査が増えることによって,医療圏全体での質の高い診断・治療へとつながり,同院が重責を担う地域医療の充実にも結びつくはずである。
(2015年7月24日取材)
*メンテナンスや部分交換に伴い,ヘリウムを消費することがある。
医療法人社団水光会 宗像水光会総合病院
住 所:〒811-3298 福岡県福津市日蒔野5-7-1
TEL:0940-34-3111
病床数:300床
診療科目:外科,内科,形成外科,皮膚科,整形外科,小児科,泌尿器科,脳神経外科,リハビリテーション科,耳鼻咽喉科,心臓血管外科,循環器内科,眼科,放射線科,産婦人科,麻酔科
URL:http://www.suikokai.or.jp
