AZE,「Symposium on CT/MR Image Processing for Advanced Diagnosis」を開催
2013-4-1
シンポジウム会場風景
株式会社AZEは2013年2月9日,医用画像診断とワークステーションに関するセミナー“Symposium on CT/MR Image Processing for Advanced Diagnosis”の第2回目を米国ワシントンD.C.にて開催した。日本,米国,韓国より放射線医学の専門家11人がパネリストとして参加,各専門領域の画像診断技術の動向や最近の取り組みについて報告したほか,今後期待される新機能についての要望など,活発な意見交換が行われた。
〈パネリスト〉
National Institutes of Health, USA
John’s Hopkins University, USA
Harvard Medical School, USA
University of California San Francisco, USA
Stanford University, USA
Samsung Medical Center, Korea
Erasmus University, Netherlands
Ehime University, Japan
Keio University, Japan
セッション後半には,当社の3DレジストレーションビューアPhoenix(フェニックス)と,3DワークステーションVirtualPlaceの新機能に関するプレゼンテーションを踏まえ,パネルディスカッションを行った。
Phoenixは,読影作業の効率アップと大幅な時間短縮を実現することを最大の目標として開発された,読影専用ビューアである。複数の検査(検査日やモダリティの異なる画像など)を並べて読影する際,従来はページングに頼るしかなかったスライス位置を,ワンクリックまたはドラッグアンドドロップのみで自動的に合わせて表示できる“Smart Registration”機能,断面位置合わせ後の複数データの重ね合わせをワンクリックで行う“Smart Fusion”機能など,効率的かつスピーディに読影を行える機能が多数搭載されている。
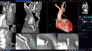
VirtualPlaceの新機能としては,ネイティブ冠動脈とともにバイパス術後のグラフトを自動で抽出し,吻合部のチェックや新規病変を解析する機能を搭載した“CT細血管解析”,CT画像に含まれるノイズ成分を効率的に除去する技術を軸に据え,肝臓領域の辺縁や門脈,静脈などの血管末梢の描出の精度が大幅に向上した“肝臓解析”,ポリープの効率的検出を主眼とし,展開図や仮想内視鏡魚眼モードを積極的に取り入れ,読影者のストレスと見落としの低減化を図った“大腸解析”などを紹介した。
Smart Fusion機能
肝臓解析 |
CT細血管解析 |
大腸解析 |
* * *
AZEは,ワールドワイドに活躍されている先生方の意見をできるかぎり多く吸収し,グローバルレベルで「人と医療に役立つ製品づくり」に生かすため,今後もこのようなシンポジウムを継続開催していく予定である。
株式会社AZE
〒100-0005
東京都千代田区丸の内1-8-1 丸の内トラストタワーN館13階
TEL 03-3212-7721 FAX 03-3212-7722
URL http://www.aze.co.jp/
