CURRENT TECHNOLOGY
「ECHELON OVAL」に搭載されたOVAL Patient Bore技術
2013-4-26
ECHELON OVAL
日立メディコの新しいワイドボアMRI「ECHELON OVAL」は,楕円形状のワイドボア“OVAL Patient Bore”,コイル装着を容易にしてワークフローを改善した“WIT RF Coil System”といったハードウエアの特長に加え,高機能撮像のための最新アプリケーションを搭載したハイエンドの1.5T MRI装置です。日立が培ってきたオープンMRIの快適性と,高磁場MRIの高画質を両立できるシステムとして,臨床の場での活躍が期待されています。
今回は,ECHELON OVALの最大の特長である楕円ボアを実現した技術を紹介します。
OVAL Patient Bore
快適な検査空間を追究した楕円ボアは,図1に示すように,左右方向を74cm,上下方向を65cmと大幅に拡大しました。Spineコイルを組み込んだ薄型設計テーブルにより,テーブル上の実質的なスペースを拡大して,検査空間を従来の60cmクラスのボア装置からおおよそ40%も拡大しました。このため,体の大きな被検者でも,上下,左右方向ともに十分な余裕があります。
さらに,OVAL Patient Boreは,幅63cmのワイドテーブルを可能にしました。
図1 OVAL Patient Bore
楕円ボアの効果
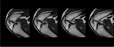
楕円形状のボアは,これまで困難であった撮像の可能性を広げます。楕円ボアの効果として,図2に示すように,肩関節などのオフセンター部位を撮像する際に,撮像部位を静磁場中心に移動できるため良好な脂肪抑制効果が得られ,高画質画像を得ることができます。また,自由な体位での撮像が可能で,まっすぐに寝ることが困難な被検者では,横になって撮像することも容易です。関節部の撮像では,図3に示すような膝関節の屈曲位など,大幅に拡大した左右方向のワイドボアを生かした撮像が可能です。
63cm幅のワイドテーブルは,脊椎撮像用のSpineコイルも拡張しました。Spineコイルの左右の部分をフレキシブルな構造として巻き付けて使用することで,腹部撮像時にコイルの感度範囲を有効に利用して,感度をさらに向上することができます(図4)。また,脊椎撮像時にはフラットな形状で使用することで,不必要な背中部分の脂肪信号を抑えることも可能です。
図2 楕円ボアの効果:肩関節の撮像例
図3 楕円ボアの効果:膝屈曲位 PDWI SAG
図4 楕円ボアの効果:Spineコイルの感度向上
楕円ワイドボアを実現した技術
これまで,ワイドボアMRIの実現には2つの手法がありました。1つは磁石の大型化ですが,傾斜磁場コイルの厚さを確保してボア径を拡大するために磁石を大型化すると,磁場均一度の低下や漏洩磁場の増加が生じる可能性があります。もう1つは傾斜磁場コイルを薄型化することですが,アクティブシールド方式のメインコイルとシールドコイルとの間隔を狭くすると,傾斜磁場の発生効率やリニアリティの低下が問題になると考えられます。このため,楕円形状の傾斜磁場コイルが高いリニアリティで実現できれば,超電導磁石の性能を維持したワイドボア化が可能となり,また,撮像空間の確保と傾斜磁場コイルに必要な性能の両立が実現できます。しかし,このような特殊な形状の傾斜磁場コイルの開発はこれまで困難でした。
日立には,超電導オープンMRI「OASIS」で開発したフラットな傾斜磁場コイルを設計できる高度な技術があります。図5に示すこの技術は,核融合装置のプラズマを制御する高精度コイルを設計するために日立が開発した解析シミュレーションプログラムです。これは,従来のようにコイルパターンを入力して発生する磁場分布を計算するのではなく,発生させたい磁場分布とコイルの存在位置を入力して,逆問題を解いて任意の形状のコイルパターンを計算できる優れたプログラムです。この技術により,「ECHELON OVAL」ではこれまで困難であった楕円形状の傾斜磁場コイルパターンを完成させました。さらに,このシミュレーションプログラムは,静磁場の均一性を向上する磁場シミングのシミュレーションにも応用されています。
図5 楕円型傾斜磁場コイルの開発
楕円型 RF照射コイルの開発
楕円ボアの実現には,ボアの最も内側に配置されるRF照射コイルも楕円形状にする必要があります。「ECHELON OVAL」は,新開発された楕円形状のRF照射コイルを搭載し,さらに,3T装置と同様な照射位相とパワーを独立してコントロールできる2ch独立制御方式を採用しました。これにより,図6に示すような照射不均一の発生しやすい乳房撮像においても,安定した均一RF照射を可能とし,高画質を実現しました。
図6 楕円型RF照射コイル
