ユーザー訪問
阪本クリニック
AIRIS Soleilを導入し確実な診断と納得性の高い診療を提供
整形外科診療を中心にスムーズな病診連携を実施
2013-4-26
AIRIS Soleil
阪本クリニックは,1996年の開院と同時に,日立メディコの永久磁石型0.3TオープンMRI「AIRIS」を導入し,MRIの診断能を生かした診療を行ってきた。更新時期を迎えた2012年10月に,永久磁石型0.25TオープンMRI「AIRIS Soleil」にリプレイスし,専門の整形外科領域を中心に,高い診断精度,高スループットの検査を実施している。AIRIS Soleilを用いた診療の実際や,その臨床的有用性について,阪本博史院長と西野佳布技師にお話をうかがった。
阪本博史 院長 |
西野佳布 技師 |
オープンMRIを活用し地域ニーズに応える診療を展開
AIRIS Soleilのコンソール
リハビリテーション用プールやトレーニングマシンを備え,脳梗塞や整形外科手術後,老年期のリハビリテーションに重点を置く阪本クリニックは,1996年の開業時よりAIRISをはじめ,CT,X線一般撮影などの装置を導入し,精度の高い診断を提供してきた。
膝・股関節やスポーツ外傷などを専門とする阪本院長が,開業の際に条件としていたのが,MRIの導入とプールが設置できる環境があることだったと言う。その理由について阪本院長は,「MRIによって神経や靱帯,軟骨などが描出でき,より精度の高い診断につながることを実感していました。また,勤務先で行っていたプールリハビリテーションが,関節に負担を掛けずに筋力を付けるのに非常に有用であると実感しており,効果的なリハビリテーションのために必要だと考えました」と話す。
その条件に合った場所としてクリニックをオープンした現在地は,周辺に田畑も多く残り,膝を痛めて受診する農業従事者も多く,整形外科へのニーズが高い地域でもあった。また,近隣には大阪労災病院や阪和泉北病院など,関節外科手術ができる病院が複数あり,手術の紹介や術後のリハビリテーションなど,各施設と連携した診療を展開する。2003年には東洋医学的な治療にも対応できるように,近隣に分院として鍼灸整骨治療院を開院。婦人科医である知子夫人が更年期外来を設けるなど,診療内容を拡充してきた。
同院は現在,診断装置としてMRIのほか,X線一般撮影装置(DR)と骨密度測定装置(日立アロカ社製DCS-900EX)をそろえ,プールやパワーリハビリテーションマシン,物理療法室など,充実したリハビリテーション施設を備えている。スタッフは,分院も合わせて約30名が在籍。現在は,介護保険の通所リハビリテーションも行っており,この利用者も含めて,1日に約150名が来院する。
0.3T相当の画質を実現したAIRIS Soleilに更新
開院時にAIRISを導入した理由について,阪本院長は,「整形外科領域では広い撮像範囲は必要ありません。AIRISは永久磁石型ながら画像が良く,オープンタイプで閉所恐怖症の患者さんも検査が受けやすいと考えました。MRIの導入で単純X線画像とは違う三次元的な画像で患者さんに説明できるので,わかりやすいのが大きなメリットです」と述べる。
そして,長年使用してきたAIRISの更新時期を迎え,2012年10月にAIRIS Soleilにリプレイスした。当初,静磁場強度が下がることの影響を懸念したが,導入前にAIRIS Soleilの画像を見て, 信頼できる画質を得られることがわかり,導入を決定した。阪本院長は,「技術の向上により,以前の装置よりも画質はきれいになりました。整形領域の膝や足首,肩,腰の椎間板,頸部などの撮像には,非常に優れています」と評価する。
AIRISシリーズの最新モデルであるAIRIS Soleilは,日立がオープンMRIで培ってきた技術に加え,超電導MRI「ECHELON」シリーズで開発した画像フィルタを実装することで,SNRを向上させ,これまでの0.3T装置と同等の画質を実現した。
期待に応える画質を提供できることが導入の決め手となったAIRIS Soleilであるが,阪本院長は,導入後にもうひとつ大きなメリットを実感していると述べる。
「撮像時間が以前の装置と比べ,2/3程度に短くなり,スループットが向上しました。検査中の静止時間が短くてすみ,患者さんの負担も軽減しています」
MRI検査は予約制で,多い日で1日5,6件行っているが,装置更新で撮像時間が短くなったことにより,1日最大8件まで実施可能となった。また,近隣のクリニックからの紹介検査も行っており,婦人科から週2,3件,整形外科から月10件程度の検査に対応している。
患者に優しい検査を可能にする機能とアプリケーション
操作面では,フットスイッチで操作できるテーブルの横スライドの範囲が広がり,より患者さんのセッティングをしやすくなったと,西野技師は話す。
「以前の装置では,肩や膝を撮像するために患者さんを寝台の左右に寄せてセッティングする必要があり,大柄な患者さんは特に難しかったのですが,AIRIS Soleilでは,寝台が横に大きくスライドするため,患者さんは楽に寝た状態で撮像できます」
ほかにも,ボタン1つで撮像条件などを設定できるプログラムを組み,前回撮像時のチルト角度を入力して再現性を高めるなど,全体的に操作性が向上した。コイルも,サイズのラインナップが広がり,大柄な患者さんでも良好な画像を取得できるようになったという。
AIRIS Soleilは,高機能アプリケーションも上位機種から継承している。パラメータ変更補助機能のサジェスチョンUIや,モーションアーチファクト低減技術“RADAR”,磁場不均一に強い脂肪抑制技術“FatSep”などを搭載して,良好な画像の取得をサポートする。
肩の撮像では,わずかな手の回転だけでも動きによるアーチファクトが発生するため,RADARをプログラムに組んでいる。西野技師は,「患者さんは痛みがあるので,少しでも楽な姿勢になろうと無意識に動いてしまいます。これをRADARで補正できるのは,とても有用です」と評価する。
また,撮像後の確認画像の表示や,画像転送時間も短縮し,検査後はスムーズに診察に進めるようになっていると言う。
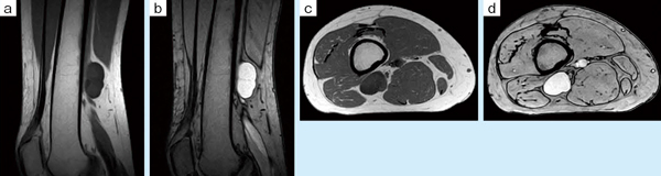
■症例1:右大腿軟部腫瘍
55歳,女性。10年前に軽い膝上部の痛みで受診。単純X線では所見がなく,触診で大腿後部に腫瘍様しこりを触れた。MRIにて軟部腫瘍を確認し,年1回のMRI検査を行っているが,サイジングにより腫瘍の拡大が確認されており,手術治療を検討している。 a:T1WI,COR,FOV:200mm,TR/TE:460/16,FA:90°,スライス厚:3mm b:T2*WI,COR,FOV:200mm,TR/TE:790/15,FA:30°,スライス厚:3mm c:T1WI,AX,FOV:200mm,TR/TE:460/16,FA:90°,スライス厚:3mm d:T2*WI,AX,FOV:200mm,TR/TE:790/15,FA:30°,スライス厚:3mm
■症例2:関節リウマチ,変形性膝関節症
73歳,女性。基礎疾患としてリウマチがあり,両膝の変形性関節症(OA)も進行している。MRI検査は,単純X線ではわかりにくい軟骨の磨滅の程度,骨壊死の範囲などを確認でき,手術適応の判断には重要な検査である。 a:T1WI,COR,FOV:200mm,TR/TE:460/16,FA:90°,スライス厚:3mm b:T2*WI,COR,FOV:200mm,TR/TE:790/15,FA:30°,スライス厚:3mm
■症例3:変形性足関節症
74歳,女性。足関節の痛みを訴え受診。単純X線では,関節裂隙がやや内側で狭少化している程度であった。MRIにて,脛骨,距骨とも荷重部に一致した骨軟骨壊死を認め,痛みの原因と診断した。 a:T1WI,COR,FOV:200mm,TR/TE:400/26,FA:90°,スライス厚:3mm b:T2*WI,COR,FOV:200mm,TR/TE:660/13.5,FA:30°,スライス厚:3mm c:T1WI,SAG,FOV:200mm,TR/TE:400/26,FA:90°,スライス厚:3mm d:T2*WI,SAG,FOV:200mm,TR/TE:660/13.5,FA:30°,スライス厚:3mm
MRIを活用した確実な診断と納得性の高い患者説明
MRI検査は,阪本院長の専門である膝の撮像件数が最も多い。T1,T2のコロナルを基本に,前後の位置確定にサジタルを追加する。ほかの部位も含めて,ルーチン撮像は最小限にし,必要に応じて追加する方法で,検査時間をできるだけ短くして,患者負担の軽減に努めている。
症例の多い変形性膝関節症では,MRIで軟骨のすり減りの程度を観察しながら,保存的療法のヒアルロン酸注射のタイミングを決定している。また,阪本院長は,Jリーグのセレッソ大阪のチームドクターも務めており,スポーツ整形関連の患者も多い。スポーツ整形におけるMRIの有用性について,阪本院長は,「MRIでは出血巣が観察できることが大きな利点です。程度や受傷時期によって治療方針が変わる筋損傷,靱帯損傷などは, 2週間以内の受傷であれば出血が観察されるため,客観的な診断が可能です」と語る。
同クリニックで診断を付けられるため,患者さんが病院での検査を何週間も待ったり,病院とクリニックを何度も行き来する必要がなく,また,手術適応などで紹介する場合にも,紹介先での診療がスムーズに進み,紹介先と患者さんの負担を軽減できることも,大きなメリットと言える。
乳がん診療にも応用し地域へのさらなる貢献を
阪本院長は,AIRIS Soleilを使用した今後の診療について,乳がん検診での活用を考えていると話す。
「現在,婦人科検診としてはエコーによる乳がん検診を行っています。MRIは乳腺腫瘍の検出に優れていると言われていますし,マンモグラフィのような侵襲的な検査ではないので,患者さんも受診しやすくなり,乳がんの早期発見につながると思います」
同クリニックは,さまざまな検診なども行っているほか,高齢の患者さんも多いことから,AIRIS Soleilを活用し,加齢に伴って発生する腰部脊柱管狭窄の診断や,頭部検査でラクナ梗塞を検出するなど,地域を支える“かかりつけ医”としての役割を果たしている。AIRIS Soleilを活用した診療は,今後も地域を支えていくだろう。
(2013年2月5日取材)
阪本クリニック
阪本クリニック
〒599-8126 大阪府堺市東区大美野22-4
TEL 072-235-0018 FAX 072-239-0038
http://www.sakamoto-clinic.jp/
診療科目:整形外科,リウマチ科,婦人科,リハビリテーション科
