USER'S VIEW
講演2 MRガイドによる経皮的凍結治療:腎腫瘍への適用経験と将来展望
最上 拓児(東京慈恵会医科大学附属柏病院放射線部)
第32回日本画像医学会 産学共催セッション ランチョンセミナー6「前立腺癌のMRI診断とMRIガイド凍結治療」
2013-4-26
図1 凍結手術器「Cryo-Hit」
(Galil Medical社製,日立メディコ社販売)
第32回日本画像医学会(金澤 實大会長・埼玉医科大学呼吸器内科教授)が2013年2月22日(金),23日(土)の2日間,東京ステーションコンファレンス(東京都千代田区)にて開催された。22日に行われた産学共催セッションランチョンセミナー6(日立メディコ社共催)では,座長の楫 靖氏(獨協医科大学放射線科教授)の進行のもと,「前立腺癌のMRI診断とMRIガイド凍結治療」をテーマに,東京歯科大学市川総合病院放射線科の山添真治氏と,東京慈恵会医科大学柏病院放射線部の最上拓児氏が講演した。
温度変化を用いた生体細胞の組織破壊による治療は,熱を加え焼灼するラジオ波(RF)治療が主流であるが,最近ではマイクロ波,レーザー波,集束超音波なども用いられている。一方,冷却治療である凍結治療は,最近ではアルゴンガスを用いて,Joule-Thomson効果による物理的な変化で低温を発生させて行う治療が一般的になってきている。
本講演では,当院で行っているMRガイド下凍結治療の歴史と現状,将来展望について報告する。
凍結治療の歴史
冷却治療は,古代エジプトの記録に残っているほど,古くから医療分野で応用されてきた。近代では,1850年にArnottが生理食塩水と氷を用いて,乳癌や子宮頸癌の治療を行ったことが最初とされている。当時はまだ,目で見える表在領域の治療だった。その後1963年,Cooperが細い管の中に液体窒素を灌流させ,頭部治療(パーキンソン病)を行ったとされている。しかし1970年代には,十分なモニタリングができずに残存や再発が頻発し,凍結治療は衰退していった。1980年代後半になると,画像モニタリング下の経皮的凍結治療が徐々に行われるようになってきた。腎癌については1995年,京都府立医科大学泌尿器科の内田睦医師が,世界で初めて経皮的凍結治療を行ったとされている。
当院での凍結治療の歴史
当院も経皮的凍結治療において,長い歴史がある。2001年3月〜2002年10月には,北海道大学と共同で肝腫瘍,腎腫瘍,子宮筋腫を対象に臨床治験を施行した。約10年後の2010年1月8日にようやく,凍結手術器「Cryo-Hit」の薬事承認が得られた(図1)。そして,翌2011年7月,腎癌に対する凍結治療が保険収載となり,同年9月には,当院でも凍結治療を再開することができた。
現在,保険適用は「小径腎悪性腫瘍」のみであり,4.0 cm以下のT1aが対象で,併存疾患や腎機能障害,単腎,手術既往の症例も適用範囲内となる(図2)。保険点数は52800点,施設基準として,泌尿器科の標榜,経験5年以上の常勤泌尿器科医が2名以上配置が条件となっている。
図2 保険適用疾患
凍結治療の利点と欠点
RFの場合,治療部位のどこまで焼灼できたかは,経験によって評価されている。凍結治療では,US,CT,MRIいずれのモダリティでも画像で治療域を目視確認できるのが大きな利点である。治療中にほとんど痛みを感じないことも利点のひとつである。さらに,大きな腫瘍に対する治療も,複数の針を同時使用することで可能である。また,RFに比べ,尿路損傷が少ないという報告もされている。
欠点としては,RFより針1本での治療域が小さく,対象が大きい場合は複数の針を刺す治療となり,抜去時の出血による合併症がRFに比べやや多い。また,アルゴンやヘリウムという稀少ガスを用いるため,RFに比べてランニングコストが高くなる。
凍結による細胞壊死のメカニズム
凍結治療の標的温度は,動物実験の腎臓の場合,−19.4℃以下になると均一な細胞壊死が得られると報告されている。しかし,悪性腫瘍の場合は低温にも抵抗性があるため,−50℃まで冷やすことが望ましいという報告も出ている。
凍結による細胞壊死のメカニズムは,(1) 細胞外氷晶形成,(2) 細胞内氷晶形成,(3) 血流の停止の3つが挙げられる。さらに,凍結の後には解凍という過程があり,凍結と解凍の両方のフェーズで細胞障害を起こさせるのが凍結治療のメカニズムである。
凍結針は,治験時には3.1mmと2.4mmの太い針を使用していたが,現在は1.47mmと,RFに引けを取らない細さにまでなっている(図3)。凍結針の本数は,腫瘍径1cmで1本,2cmで2本,3cmで3本+αを目安に,状況によって本数を追加する場合もある。
図3 凍結針の変遷
腎癌の凍結治療:症例紹介
当院における腎癌のMRガイド下凍結治療は,保険収載後,31例(31病変:2013年2月22日現在)に実施した(図4,5)。腫瘍径は1.3〜3.8cm(平均2.5cm),年齢は46〜87歳(平均70歳)である。経過観察期間は1〜16か月(平均8.5か月)であり,まだ長期の治療経過を評価するまでには至っていない。
図4 MRガイド下凍結治療の治療手技 |
図5 MR透視によるニードル穿刺 |
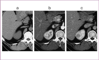
●症例1:46歳,男性,右腎癌
右腎の上局に,早期に造影効果を示す腫瘤が認められ,後期では抜けている(図6)。凍結治療時,MRIでは明瞭な低信号域として氷が描出される(図7)。MRIでは多方向からの撮像が可能で,完全に氷が腫瘍をカバーしているかを確認して治療を進めていくことができる。3週間後の造影CTでは,凍結部位の内部に造影効果が認められる特徴的な所見が得られた。RFの場合は,ほぼ完全に消えてしまうが,凍結治療では造影効果がいつまでも残る場合があり,その評価は今後の課題である。8か月後には,瘢痕組織が収縮していることが確認された。
図6 症例1:46歳,男性,右腎癌
右腎の上局に,早期に造影効果を示す腫瘤が認められ(a),後期では抜けている(c)。
図7 症例1の凍結治療中のMRI
アイスボールが明瞭な低信号域として描出される。
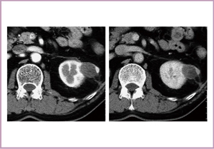
●症例2:66歳,男性,左腎癌
外側に発育するRCCに対し,多方向からMRIを撮像して,凍結状況と腫瘍の関係を確認しながら凍結治療を行った。2週間後の造影CTでは,辺縁部に淡い造影効果が見られ,内側はしっかりマージンが取れており,治療は成功したと評価した。しかし,10週後に造影CTを行ったところ,早期の造影効果と後期での抜けが認められ(図8),辺縁部に残存腫瘍があることが確認されたため,再度の凍結治療を行った(図9)。MRガイド下の経皮的凍結治療は比較的安全に行えるため,繰り返し施行することが可能である。本症例では,1年後の造影CTで造影効果は完全に消失し,腫瘍部位も収縮していた。
図8 症例2:66歳,男性,左腎癌 |
図9 症例2の再凍結治療中のMRI |
凍結治療の評価
治験時の症例の治療後112か月の結果は,完全腫瘍壊死は13例中10例(76.9%),残存腫瘍1例,再発3例で,重篤な合併症は経験していない。他病因での死亡が1例あるが,12例は再発・転移なく生存している。ただし,保険収載後に術後出血で塞栓術を行った例が1例あったことを報告しておく。
凍結治療では,RFに比べ治療領域が早く小さくなることが特徴である。治療から約1年経つと,元の腫瘍径に対して20〜30%のサイズになってくる。その後,徐々に吸収され,消滅するものも多数見られる。
凍結治療の対象疾患拡大への期待
凍結治療は腎癌以外では,脳腫瘍・頭頸部悪性腫瘍・肺癌・乳癌・肝癌(原発/転移)・膵癌・子宮筋腫・前立腺肥大・前立腺癌・骨転移・軟部腫瘍などに有効であると言われている。さらに,疼痛コントロール目的としても,効果が得られるという特徴がある。
最近,当院では乳癌の凍結治療を始めた。まだ3例のみだが,うち最初の1例では,凍結中のMRIで,アイスボールが低信号にて明瞭に描出された。治療後の画像では,強い造影効果を示していた腫瘍は完全になくなっていることが認められた。
まとめ
治験から保険適用下で腎癌の経皮的凍結治療が可能になるまで10年かかった。当院では,腎癌の凍結治療を約50例に施行してきたが,重篤な合併症もなく,十分な治療効果が得られている。
凍結治療は,腎癌以外の領域での効果も確認されており,骨転移症例では凍結後に骨新生が確認された報告もある。今後は,さらに多くの領域において,凍結治療の有用性が期待される。
最上 拓児
1993年 東京慈恵会医科大卒業。95年同大放射線医学講座医員,同年7月大田原赤十字病院。98年 東京慈恵会医科大学放射線医学講座助手(助教),同年11月同大附属病院放射線部,99年同大附属柏病院放射線部。2010年より東京慈恵会医科大学放射線医学講座講師。
