CURRENT TECHNOLOGY
OVAL形状のガントリボアを実現した3T MRI装置「TRILLIUM OVAL」登場
2013-9-25
図1 3T超電導MRIシステム「TRILLIUM OVAL」
日立のMRI装置は,永久磁石方式から超電導磁石方式まで幅広くラインナップしています。
0.25~0.4Tの永久磁石オープンMRI装置や日立オリジナルの1.2T超電導磁石オープンMRI装置「OASIS」,1.5Tの超電導磁石MRI装置「ECHELON」シリーズに加え,この度,3Tの超電導磁石MRI装置「TRILLIUM OVAL」(図1)を発表し,さらにラインナップを拡充しました。
OVAL Patient Boreの採用で快適な検査空間を実現
1.5T MRI装置「ECHELON OVAL」で高い評価をいただいているOVAL(楕円)形状のガントリボア“OVAL Patient Bore”を採用しました。図2に示すように,寝台に横になった人の体は横に広がります。体格の大きな方や狭い所を苦手とする方にとっても開放感を感じていただけるように,横幅74cm,高さ65cmの楕円ボアを実現しています。また,検査空間を横方向に拡張した結果,肩関節などの中心から外れた部位も,寝台上で被検者を横に移動することで,安定して高画質が得られる磁場中心での撮像が可能です。
図2 OVAL Patient Bore
OVAL Drive RFで高画質を実現
「TRILLIUM OVAL」では,図3に示す4ch-4portの独立制御可能なRF照射コイル“OVAL Drive RF”を採用し,高画質を実現しています。
原理的に,3T MRI装置では全身領域でRF照射が不均一になりやすい傾向があります。これは,次のような理由によります。
・RF照射信号の高周波化に伴い,人体の深部に電磁波を良好に照射できない。
・部分的な位相回転の影響が大きくなり,偏った照射分布となる。
・波長が短くなるために人体のサイズとの干渉から定在波が生じて,人体中心部の照射量が増加する。
そこで,RF照射の状態を確認するために,高速に照射強度の分布を得る必要があります。日立は高速で効率的なRF照射分布取得シーケンスを独自に開発し,TRILLIUM OVALに搭載しました。この分布を基に,RF照射不均一を低減するために4チャネルを独立して制御することで,照射不均一の少ない画像を得ることができます。
図3 OVAL Drive RF
MRI検査のWorkflow向上を追究
「TRILLIUM OVAL」は,MRI検査時のWorkflow向上技術であるWIT(Workflow Integrated Technology)を採用しています。
ガントリ前面に搭載した“WIT Monitor”により,被検者情報の一部として,同期検査用の心電図波形などを確認することができます。検査室内での本人確認や同期信号の確認が可能で,コンソールに戻って確認する手間をなくし,検査効率を向上しました。
また,受信コイルシステムも“WIT RF Coil System”を採用し,頭部用と脊椎用の下部受信コイルを寝台に常時設置しておくことができます。検査の際は,撮像部位に応じた上部受信コイルを乗せるだけで撮像が可能で,受信コイルを交換する時間を短縮することができます。
寝台には,着脱可能な“WIT Mobile Table”を採用しました。寝台が着脱可能であるため,被検者の乗せ換えを検査室外で行うことができ,誤ってMRI非対応の車椅子やストレッチャーなどを持ち込み,ガントリに吸着するリスクを軽減できます。
さらに,斜め方向からの着脱も可能で,ガントリから外した状態でも寝台の高さを電動で調節することができ,操作者の負担を軽減します。また,造影検査時の腕置き台や,寝台移動時の被検者ガードとしても使えるアームボードを搭載しています。
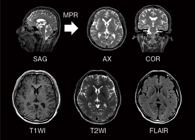
高精細volume imaging 撮像機能“isoFSE”
“isoFSE”は,アイソボクセルの高速3D撮像機能です。FSEの反転パルスのフリップアングルを可変として,マルチエコーの信号強度変化から生じる影響を抑制し,高精細な3D撮像を可能とします。この可変パターンを最適化することで,T1強調画像,T2強調画像,FLAIR画像の高いコントラストを実現しました。
撮像した高空間分解能のボリュームデータから,MPR処理で任意断面の画像再構成も可能です(図4)。
図4 Volume imaging 撮像機能“isoFSE”
3T MRI画像例
図5に,頭部の高空間分解能T2強調画像を示します。拡大画像では,空間分解能が高いことで細かな髄質静脈まで描出されています。組織構造上の違いによる3T特有のコントラストを有する髄質静脈の描出は,病変の鑑別に有用と期待されています。
図6は,膝関節の高空間分解能画像です。関節の診断に重要な関節液が半月板とともに明瞭に描出されており,また,骨髄や皮質,軟骨などの層構造が観察できます。
図5 3T MRI画像例:頭部,2DFSE T2WI
図6 3T MRI画像例:膝関節,FSE PDWI(1024マトリックス)
*本稿で使用した画像は,撮像目的・意義を説明し,文書による同意を得た健常人ボランティア画像である。
日立MRイメージング装置 TRILLIUM OVAL
医療機器認証番号 第225ABBZX00066000号
*TRILLIUM OVAL,OVAL,OVALのロゴ, OASIS,ECHELON OVALは,株式会社日立メディコの登録商標です。
