TOPICS
Hi Advanced MR セミナー
アプリケーションを中心とする高磁場MRIの最新動向
2014-9-25
会場風景
日立メディコは2014年5月24日(土),第1回目となる「Hi Advanced MRセミナー」を富士ソフト秋葉原ビル(東京都千代田区)にて開催した。同社はこれまで,個々のMR装置におけるユーザーズミーティングを中心に情報の発信と共有を行ってきたが,今回初めて,1.5T,3Tハイエンド装置の技術やアプリケーションの有用性および臨床評価など最新情報の提供,そしてユーザーとの情報共有を目的に本セミナーを企画した。
2014年4月,日立製作所は日立ヘルスケアグループを新設し,日立メディコは完全子会社としてグループの中核を担うこととなった。研究開発体制の連携・強化を推進し,世界の医療に貢献しうる技術を提供することにより,世界のヘルスケア分野におけるトップ企業をめざすことを目標としている。このような新たな展開の中で日立メディコでは,臨床医学・臨床現場とのより密接な連携を図り,研究開発につなげていく取り組みの一環としてHi Advanced MRセミナーを位置づけている。
1987年に永久磁石型0.2T MRI「MRP-20」からスタートした日立メディコのMRIはその後,永久磁石型オープンMRIで一時代を築き,さらには1.5T, 3Tの超電導高磁場MRIの投入によりフルラインナップを達成。現在,永久磁石型オープンMRI は0.25T「AIRIS Soleil」,0.3T「AIRIS Vento」と「AIRIS Vento LT」, 0.4T「APERTO Lucent」, 超電導型MRIは1.2Tオープン MRI「OASIS」, 1.5T「ECHELON OVAL」,「ECHELON RX」,そして2013年発売の3T MRI「TRILLIUM OVAL」と,他に類を見ないラインナップの幅広さを実現している。
冒頭,挨拶に立った執行役員CT・MRI事業部長の吉野仁志氏は,医療現場との協力関係をこれまで以上に推し進めることでアプリケーションなどの開発を強化し,ヘルスケアサイクルの中で有用なソリューションの提案を行っていきたいと抱負を述べた。終了後に閉会の挨拶に立った代表取締役取締役社長の山本章雄氏は,臨床現場の医師や診療放射線技師の方々の協力を得て先進技術の開発・研究に取り組み,世界に発信していくことは国産メーカーとしての使命だとして,支援を呼びかけるとともに決意を述べた。
開催の挨拶をする |
閉会の挨拶をする |
本セミナーの講演は,土橋俊男氏(日本医科大学付属病院放射線科技師長)の司会により,日立メディコの技術者2名の発表から開始された。まず最初に,MRIシステム本部の尾藤良孝氏が「Advanced MR 〜DKI,QSMを含む〜」を発表した。1.5T MRI「ECHELON OVAL」と3T MRI「TRILLIUM OVAL」における横幅74cmの楕円ガントリ“OVAL Patient Bore”,3T MRI「TRILLIUM OVAL」における独自の4ch-4port RF照射技術“OVAL Drive MultiTransmit RF”など,高磁場MRIの優れた技術的特長を解説。さらに,計測技術としてμTEや,現在開発中のDKI,QSM (W.I.P.)を紹介した(DKI,QSMは岩手医科大学と共同研究)。DKI(Diffusion Kurtosis Imaging)は,Multi-bの拡散強調画像から制限拡散の程度を尖度(Kurtosis)として画像化するもの,QSM(Quantitative Susceptibility Mapping)は,磁場分布を表す位相画像から原因となる局所的な磁化率差を推定し画像化するものとして期待されている(詳細はこちら )。またμTEは,非常に短いTEを用いたイメージングで,軟骨などT2値が極端に短い組織を画像化可能である。いずれも,これからの高磁場MRIで期待される先進計測技術であり,リリースに向けて開発に力を入れていきたいと述べた。
司会:土橋俊男 氏 |
尾藤良孝 氏 |
原田邦明 氏 |
続いて,MRIシステム本部クリニカルサイエンスグループの原田邦明氏が「3T MRIの画像について」と題し,3T MRI「TRILLIUM OVAL」の画像を多数供覧した。4ch RFシム技術,2 Point Dixon法,非造影MRA,3D FSE(isoFSE),μTEなどの先進技術による高精細画像をはじめ,開放的なOVALのガントリ形状を生かした肩関節や股関節,膝関節などのポジショニングの特徴について解説した(図1〜5)。
図1 4ch RF シム技術:尿管癌の2D FSE RG
(FOV38cm,5mm,3min)
3T MRIで課題であった腹部においても,4chのシミング効果で適正なRF送信が可能となり,良好な描出能が得られている。
(画像提供:岩手医科大学附属病院)
図2 2 Point Dixon法(2mmスライス,息止め19s)
脂肪抑制のin phase,out of phase,水画像すべてを1回で撮像する。
コロナル画像に再構成しても診断に十分な精度が得られている。
(画像提供:岩手医科大学附属病院)
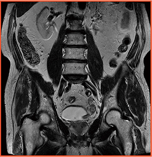
図3 Female Pelvis:卵巣腫瘍
RF照射の均一性を実現。T1WI,T2WIはもちろんDWIも明瞭に描出され,
3TのSNRを生かした画像と言える。
(画像提供:岩手医科大学附属病院)
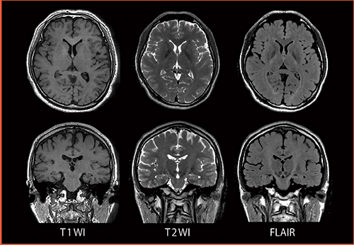
図4 3D FSE(isoFSE):Sagittal Acquisition Reformat Images
T1WI, T2WI,FLAIRをサジタルで撮像し,その後アキシャル画像,コロナル画像に再構成した。効率良く短時間で撮像し,撮像後に他の断面を再構成することで検査スループットの向上が見込める。
図5 Knee PDWI:μTEサブトラクション法
in phaseで長めのTE=8.8 msで撮像しサブトラクションする。拡大すると軟骨の信号が明瞭に描出されていることが認められ,診断能向上が期待できる。
臨床からは,関節MRIの第一人者である新津 守氏(埼玉医科大学放射線科教授・診療科長)と脳神経MRIの第一人者であり,日立メディコとの共同研究を行っている佐々木真理氏(岩手医科大学医歯薬総合研究所超高磁場MRI診断・病態研究部門教授)の講演が行われた(講演の詳細はこちら:新津 守氏 ,佐々木真理氏 )。
新津 守 氏 |
佐々木真理 氏 |
当日は事前の予測を大きく上回る参加があり,サテライト会場を設けてライブ中継を実施するなど,第1回のHi Advanced MRセミナーは成功裏に終了した。今後も日立メディコは,Hi Advanced MRセミナーを通じて,研究開発力の強化と医学・医療への貢献を追究していく。
終了後に行われた併催の関東ECHELON ユーザーズミーティング
