PICK UP Soft Sound ユーザーコメント
医療法人社団正悠会 みたか中村脳神経外科クリニック
2016-9-26
中村正直院長(左)と田中直也主任
みたか中村脳神経外科クリニックは,2015年6月の現在地への移転を機に,MRI装置を0.4T オープンMRI「APERTO」から1.5T MRI「ECHELON OVAL」に更新。基幹病院と地域の医療機関の間で,適切な診療を提供するためのゲートキーパーとしての役割を担っている。患者さんの負担を少しでも軽減するために早期に導入した“Soft Sound”について,中村正直院長と検査課の田中直也主任に取材した。
MRIをスクリーニングに活用
─地域における貴院の役割とは?
中村:頭痛やめまいなどでは基幹病院を受診,あるいは紹介しにくく,地域に重症患者が潜在する現状があります。それと同時に,軽症から重症まで多様な患者さんが基幹病院を受診し,また,退院後は経過観察をどこですればいいかわからず病院外来に通院することもあります。杏林大学(三鷹市)勤務時から,この地域にスクリーニングやフォローアップできる医療機関が不足していると痛感していたことから,MRIを備えた脳神経外科クリニックを開業し,その役割を担っています。
高いオープン性で負担を軽減
─MRIの選定,更新の理由は?
中村:患者さんが楽に検査を受けられることを第一に考え,オープン型のAPERTOを開院時に導入しました。患者さんの増加に従って,撮像時間の短縮や画質向上が必要となり,高磁場装置への更新と移転を決めました。オープンMRIの開放性をできるだけ維持したいと思い,各社装置を体験して,ワイドボアや照明により窮屈さのないECHELON OVALを選びました。
─更新により変化した点は?
中村:装置更新により1日の検査件数は,25〜30件に増えました。画質が向上したことで小さいラクナ梗塞なども明瞭に描出され,DWIやT2*をルーチンに加えることができ,精度の高い検査が可能になっています。以前と比べ音が大きくなったと話す患者さんもいますが,頭部コイルは眼前にスペースができたことから,以前より楽になったという患者さんもいます。
田中:トンネル型に不安を持つ方や,ほかの高磁場装置で検査できなかったという方もいますが,ECHELON OVALはボアが横に広く,内部が明るいので,問題なく検査できる患者さんが多いですね。
Soft Soundで受容性が向上
─静音化に対する患者さんの反応は?
田中:移転後は「音が何とかならないか」としばしば言われました。Soft Soundを入れてからは音について言われることはほとんどないことから,患者さんは不快感がないのだと思います。
─Soft Sound適用時の画質は?
中村:Soft Soundにしたから画質が落ちるという印象はまったくなく,ストレスなく診療できています。
田中:Soft Sound導入後に撮像条件を調整しました。撮像時間は問題ない範囲でわずかに延長していますが,以前と同等の画質を得られており,放射線診断専門医にも納得してもらっています。
─Soft Sound導入の所感は?
田中:現時点では未対応のシーケンスにも対応できるようになれば,患者さんのストレスをだいぶ軽減できると思います。
中村:診察する立場としては,不安を抱えて検査を受ける患者さんが,少しでも楽に検査を受けられることが一番大切です。そのためにECHELON OVALを選び,Soft Soundを導入しました。このシステムを選んで良かったと実感しています。
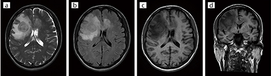
■臨床例1:脳腫瘍(Soft Sound ON)
Soft Sound で撮像した脳腫瘍症例。
さまざまなコントラストに使用できる。
a:T2 WI,AX,TR/TE = 3910 / 84,2 : 25
b:FLAIR,AX,TR/TE = 10000 / 96,2 : 41
c:T1 FLAIR,AX,TR/TE = 3497 / 14 . 8,2 : 06
d:T1 FLAIR,COR,TR/TE = 3497 / 14 . 8,3 : 02
■臨床例2:頭部,同一患者比較(症例なし)
頭部撮像におけるSoft Sound OFF(a 〜c)/ON(d 〜f)の比較。
撮像時間はほぼ同等,画質は同等との評価。
a:T2 WI,AX,TR/TE = 3580 / 84,2 : 08
b:FLAIR,AX,TR/TE = 10000 /96,2 : 41
c:3D-TOF MRA,TR/TE = 23 / 6.9,4 : 19
d:T2 WI,AX,TR/TE = 3910 / 84,2 : 25
e: FLAIR,AX,TR/TE = 10000 / 96,2 : 41
f:3D-TOF MRA,TR/TE = 23 / 6.9,4 : 19
東京都三鷹市下連雀3-34-15
アトラス三鷹レジデンス2階
TEL 0422-40-5070
URL http://www.myclinic.ne.jp/mitaka_nouge/pc/index.html
