PICK UP Soft Sound ユーザーコメント
日本医科大学武蔵小杉病院
2016-9-26
MRI担当スタッフ:(左から)高橋 徹係長,
西村祥循氏,黒瀬厚成係長
日本医科大学武蔵小杉病院では,2013年6月に1.5T MRI「ECHELON OVAL」が稼働し,『磁遊空間Vol.28』で運用の様子を取材した。2台のMRI装置のうち,主にECHELON OVALで行う乳房や手足関節の検査,側臥位での検査などに加え,診療科が求めるMRSといった新しい撮像法に対応している。バージョンアップで使用可能となった“Soft Sound”の初期経験について,放射線科でMRI検査を担当する診療放射線技師の西村祥循氏にお話をうかがった。
ECHELON OVALの有用性
─MRIの選定理由と検査の状況は?
西村:診療の専門化に伴ってより高度な検査への要望が高まり,BeamSatやMRSといった最新の撮像法を利用できるECHELON OVALを導入しました。ECHELON OVALでは現在,10〜16件/日の検査を行っています。BeamSatができるため,脳神経外科からの指定オーダも多いです。
─楕円形ワイドボアの有用性とは?
西村:前置胎盤癒着などで妊婦さんの検査をすることがありますが,お腹が大きいと仰臥位は困難です。楕円形ワイドボアは側臥位での検査が可能で負担を軽減できるため,妊婦さんの検査はECHELON OVALで行っています。
Soft Soundを全例に適用
─Soft Soundの使用状況は?
西村:適用できるシーケンスについては画面に「soft SE」や「soft FSE」などと表示されます。撮像においては,条件の調整が必要なため,調整したプロトコールをあらかじめ作成して登録しています。Soft Soundは,適用可能な全例で使用しています。今はRADARや各種同期と併用できませんが,頭部,頸部,腰椎,小児,前立腺領域などは静音で撮像しています。
─静音化に対する患者さんの反応は?
西村:以前にもMRI検査を受けたことがある患者さんからは,「今回は静かだった」という感想を聞きます。患者さんの負担は軽減していると思います。
─Soft Sound適用時の画質は?
西村:静音化の有無で撮像時間が変わらないように調整しているため空間分解能がわずかに低下しますが,画質はほぼ同等です。読影医からも画質について指摘はなく,読影への影響はないと思います。
小児検査で高い効果を発揮
─小児検査におけるメリットとは?
西村:小児は鎮静した上で入室しますが,検査が始まると音に反応して起きてしまうことがたびたびありました。静音化により,その頻度が低下し,鎮静剤の減量など患者さんの負担も少なくなりました。鎮静が浅いことで呼吸状態などの動態看視が軽減され,より検査に集中できる環境となります。また,検査中断や検査時間延長の可能性が低くなることも,運用上の大きなメリットです。
─他領域への適用は?
西村:前立腺などで必須のDWIはまだ未対応ですが,可能な範囲で静音化することで,患者さんの負担軽減につながります。当院は頭部検査が多いため,T1,T2,FLAIR,MRAが対応していることは大変有用です。
─日立への要望は?
西村:Soft Soundの画質は問題ないので,シーケンスの制限がなくなるといいですね。また,スライス厚が薄くなり,RADARや同期も含め,さまざまな検査に適用できるようになれば,利用価値がさらに高まると思います。
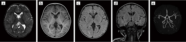
■臨床例1:小児頭部(Soft Sound ON)
小児(1歳)の頭部をSoft Soundで撮像。鎮静下で目覚めることなく撮像が可能であった。
スライス厚はa〜dは4mm,eは1.2mm。
a:T2 WI,AX
b:T1 WI,AX
c:FLAIR,AX
d:FLAIR,COR
e:3D-TOF MRA
■臨床例2:腰椎
腰椎撮像におけるSoft Sound OFF(a〜c)/ON(d〜f)の比較。
スライス厚はすべて4mm。撮像時間はほぼ同等となっている。
a:T2 WI,SAG,2:46
b:T1 WI,SAG,2:42
c:T2 WI,Fatsat,SAG,2:43
d:T2 WI,SAG,2:51
e:T1 WI,SAG,2:46
f :T2 WI,Fatsat,SAG,2:52
神奈川県川崎市中原区小杉町1-396
TEL 044-733-5181
URL http://kosugi-h.nms.ac.jp
