3T MRIの腹部領域における臨床的有用性
中村 優子(広島大学大学院医系科学研究科放射線診断学研究室准教授)
Research session 将来ビジョンについて
2021-5-25
広島大学は,2017年6月に日立製作所社製の3T MRI「TRILLIUM OVAL」を導入し,現在,上腹部検査はすべて同装置で行っている。当院は,日立製作所との共同研究講座「先端生体機能画像開発」において,体幹部領域,特に上腹部をターゲットとして,新たな撮像・解析方法の開発に取り組んでいる。本講演では,肝腫瘍の質的診断と腫瘍検出能の向上における検討について紹介する(W.I.P.を含む)。
TRILLIUM OVALの肝腫瘍診断における有用性
1.HCCの画像診断
原発性肝がんの約95%を占める原発性肝細胞がん(hepatocellular carcinoma:HCC)は,慢性肝炎あるいは肝硬変などの慢性肝障害を背景として発生する。また,HCCは,前がん病変である異型結節から早期のHCC,進行HCCへと脱分化する「多段階発育」の様式を呈し,各分化度により異なる画像所見を示すことがわかっている。肝臓は肝動脈と門脈の二重支配を受けるが,正常な肝臓組織では肝動脈血流3割,門脈血流7割となっている。多段階発育の進行過程では,正常な肝動脈血流は徐々に低下し,その後異常な肝動脈血流を獲得する。脱分化の進行とともに,HCCでは異常な動脈血流が増加し,一方で門脈血流は徐々に低下していく。そのため,HCCの血流を詳細に把握することによって,がんの進行や悪性度の判断が可能になる。
HCCでは,背景肝より肝動脈血流が多いものを多血性,同等か少ないものを乏血性のHCCと呼ぶが,より悪性度の高い多血性HCCを正確に診断することが重要である1)。
2.EOB造影MRIとピットフォール
多血性HCCの典型的な画像所見は,dynamic studyの動脈優位相で早期濃染を示し,門脈優位相あるいは平衡相でwashoutを示す結節と定義される2)。診断に当たっては,ダイナミックCT,ダイナミックMRI,造影超音波のいずれかが推奨されている。
本邦の肝臓のダイナミックMRIでは,Gd-EOB-DTPA(EOB)が使用されることが多い。EOBは肝細胞特異性で,肝細胞造影相でのHCC検出能が高い。また,投与後1分程度までは従来の細胞外液性造影剤と同様の血行動態を呈するため,早期濃染の評価が可能であり,1回の撮像で動脈血流も観察できることが特徴である。一方で,EOBのGd含有量は細胞外液性造影剤の1/4程度であり,多血性病変の評価に劣る可能性も指摘されている。
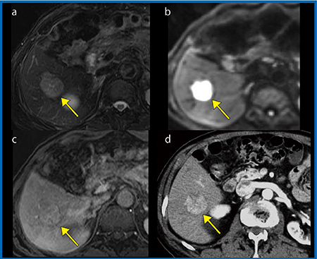
症例1(86歳,男性,肝腫瘍)は,T2強調画像,DWIでは病変を明確に確認でき,分化がある程度進行していると考えられたが(図1a, b),EOB造影MRIでは早期濃染は明確ではなかった(c)。しかし,直近のダイナミックCTでは早期濃染を明確に確認でき(図1 d),EOB造影MRIの動脈相では早期濃染をとらえることができなかったものと考えられる。EOB造影MRIの動脈相のみではなく,直近のダイナミックCTを観察して判断することが必要である3)。
図1 症例1:肝腫瘍(86歳,男性)
a:T2強調画像 b:DWI(b=1000s/mm2)
c:EOB-MRI,arterial phase
d:ダイナミックCT,arterial phase
3. HCC多血性病変に対するTIGREの有用性の検討
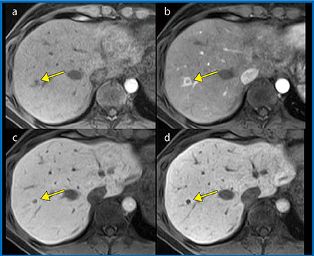
TRILLIUM OVALを用いたEOB造影MRI撮像では,図2のように,動脈相(b)で肝腫瘍の明瞭なリング状濃染が描出されており,転移性肝腫瘍と診断することができた。
当院のEOB造影MRIは,TIGRE(T1-weighted GRadient Echo sequence)シーケンスに脂肪抑制“H-Sinc”を併用して撮像している(図3)。TIGREは,k空間の中心から辺縁に向かって放射状に充填され,各セグメントは撮像時間中,常に中心から辺縁に向かって繰り返される。そのためコントラストは撮像時間の平均となり,動脈相のタイミングを外すことなく撮像できる。そこでわれわれは,ダイナミックCTと比較して,HCCの多血性病変に対するTIGREの有用性の検討を行った4)。
結果として,EOB造影MRIの動脈相は,ダイナミックCTと比較し,HCCの多血性をより正確に評価できていることが判明した。よって,TIGREシーケンスを用いた場合,EOB造影MRIは,ダイナミックCTよりもHCCの血流をより正確に評価でき,HCC診断への有用性が期待される。
図2 EOB造影MRI 転移性肝腫瘍
a:pre b:arterial phase
c:hepatobiliary phase
d:hepatobiliary phase(thin slice)
図3 TIGRE(T1-weighted GRadient Echo sequence)シーケンス
肝腫瘍検出能の向上における検討
続いて,肝腫瘍検出能の向上における検討について紹介する。EOBは,肝細胞造影相での腫瘍検出能が高いが,腹部MRIでは,呼吸や消化管蠕動で生じるアーチファクトによる画質の劣化が生じやすく,腫瘍検出能の向上には画質の改善が必須となる。
1.Pseudo-random trajectory
それに対し,日立が開発したのがpseudo-random trajectoryである5)。従来当院で用いていたcircular trajectoryは,k空間を連続的に走査するため結像性が高い半面,アーチファクトが生じやすいという欠点があった。一方,pseudo-random trajectoryは,golden angleでk空間をpseudo-randomに走査し,アーチファクト分散に有用である5)。
われわれは,EOB造影MRIの肝細胞造影相における消化管蠕動によるアーチファクトの低減にpseudo-random trajectoryが有用な可能性があると考え,検討を行ったが,結果としてpseudo-random trajectoryは肝細胞造影相における消化管蠕動によるアーチファクトを低減できることを確認した6)。
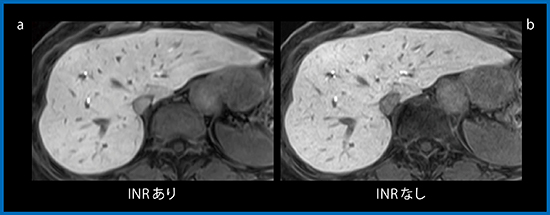
2. Iterative noise reduction(INR)法
さらに,ノイズ低減技術として新たに開発されたのがiterative noise reduction(INR)法である。INR法は,パラレルイメージングの展開図に算出したノイズレベルのg-factorを繰り返し再構成の過程でパラメータとして与えることにより,g-factorの高い領域のSNRを改善する技術である。
症例2(71歳,女性)では,INR併用の画像でノイズが減少していることが確認できる(図4 a)。
図4 症例2:HCC(71歳,女性)の肝細胞造影相
まとめ
腹部領域において,TRILLIUM OVALは安定した画像の撮像が可能である。特にEOB造影MRIで使用するTIGREシーケンスは,動脈相においてHCCの血流を正確に評価できる可能性がある。また,INRはSNRを向上させることで,肝細胞造影相の画質を改善することができる。腫瘍性病変の検出能向上も期待でき,今後検討していきたい。
●参考文献
1)Matsui, O., Kobayashi, S., Sanada, J., et al.: Hepatocelluar nodules in liver cirrhosis: hemodynamic evaluation (angiography-assisted CT) with special reference to multi-step hepatocarcinogenesis. Abdom. Imaging, 36(3): 264-272, 2011.
2)一般社団法人日本肝臓学会 編:肝癌診療マニュアル第4版. 医学書院, 東京, 2020.
3)Korean Society of Abdominal Radiology : Diagnosis of Hepatocellular Carcinoma with Gadoxetic Acid-Enhanced MRI: 2016 Consensus Recommendations of the Korean Society of Abdominal Radiology. Korean J. Radiol., 18(3): 427-443, 2017.
4)Narita, K., Nakamura, Y., Higaki, T., et al.: Utility of Radial Scanning for the Identification of Arterial Hypervascularity of Hepatocellular Carcinoma on Gadoxetic Acid-Enhanced Magnetic Resonance Images. J. Comput. Assist. Tomogr., 2021(Epub ahead of print).
5)Lin, C., Bernstein, M. A. : 3D magnetization prepared elliptical centric fast gradient echo imaging. Magn. Reson. Med., 59(2): 434-439, 2008.
6)Nakamura, Y., Higaki, T., Nishihara, T., et al.: Pseudo-random Trajectory Scanning Suppresses Motion Artifacts on Gadoxetic Acid-enhanced Hepatobiliary-phase Magnetic Resonance Images. Magn. Reson. Med. Sci., 19(1): 21-28, 2020.
中村優子(Nakamura Yuko)
2003年 広島大学医学部卒業。2013年 広島大学大学院修了。2014〜2016年 米国国立衛生研究所留学,小林久隆氏に師事し分子イメージングを学ぶ。2017年4月 広島大学放射線診断学研究室講師,2018年4月より日立製作所との共同研究講座・先端生体機能画像開発共同研究講座准教授,2020年6月より広島大学大学院医系科学研究科放射線診断学研究室准教授。
- 【関連コンテンツ】
