FEATURE
技術解説
AI技術を活用して被検者の体動を検知する被検者見守りシステムを搭載した新モデル
ワイドボア1.5T超電導MRIシステム「ECHELON Synergy」
再撮像の頻度低減を支援し,被検者・医療従事者の負担軽減に貢献
2024-9-25
富士フイルム(株)は,ボア内カメラによる被検者見守りシステムを搭載し,刷新したワイドボア1.5T*1超電導MRIシステム「ECHELON Synergy(エシェロン シナジー)」(Ver.10)を2024年4月8日より発売し,4月12日〜14日にパシフィコ横浜(神奈川県横浜市)で開催された「2024国際医用画像総合展(ITEM 2024)」に出展しました。
今回刷新したECHELON Synergyは,ボア内に設置したカメラで被検者の体動を検知。体動の影響がある受信信号を除去して画像を再構成することで,体動アーチファクト*2を抑制した画像を提供し,再撮像の頻度低減を支援します。さらに,AI技術*3を活用した画質向上技術や検査サポート機能により,安定した質の高い検査を提供します。
本稿では,特徴的なボア内カメラによる被検者見守りシステムや付随する再撮像の頻度低減を支援するサポート機能,さらにはAI技術を活用した画質向上技術,スライスライン設定サポート機能などを含め,臨床現場にご提案したい新しいアプリケーションについて解説します。
被検者見守りシステム
MRI検査は,さまざまな画像種を撮像するため検査時間を要します。検査中の被検者の体動や異変をキャッチするために,一般的には検査室内に被検者監視用のカメラが設置されています。しかし,MRI検査は,比較的狭いガントリ内で撮像が行われるため,撮像コイルなどにより死角ができ,詳細を観察することが難しいのが現状です。
今回,検査中の被検者の監視を容易にするために開発された被検者見守りシステムである「Synergy Vision(シナジー ビジョン)」は,ガントリ内の頭尾方向に2つのカメラを搭載しており(図1),被検者を近距離から監視することができます。このSynergy Visionは,カメラ映像から検査中の被検者の動きの大きさを推定し,体動波形と呼吸動波形が表示され,MRI検査中に被検者がガントリからはい出してくるような大きな動きや,咳やくしゃみのような小さな動きを検出します。もし,被検者がガントリからはい出してくるような大きな動きをした場合は,図1のようにモニタに通知の表示と通知音により,操作者に知らせてくれます。
また,MRI検査中に突発的に咳やくしゃみのような体動が生じた場合,しばしばゴースト状の体動アーチファクトが発生しますが,後述する「Visual StillShot(ビジュアル スティルショット)」を使用することにより,画像再構成技術で体動アーチファクト低減へのアプローチが可能になります。
図1 ECHELON Synergyと被検者見守りシステムSynergy Visionの概要
ガントリ内の頭尾方向に2つのカメラを搭載しており,被検者を近距離から監視することができる。また,被検者がガントリからはい出してくるような大きな動きをした場合は,モニタに通知の表示と通知音により,操作者に知らせてくれる。
再撮像の頻度低減を支援するサポート機能
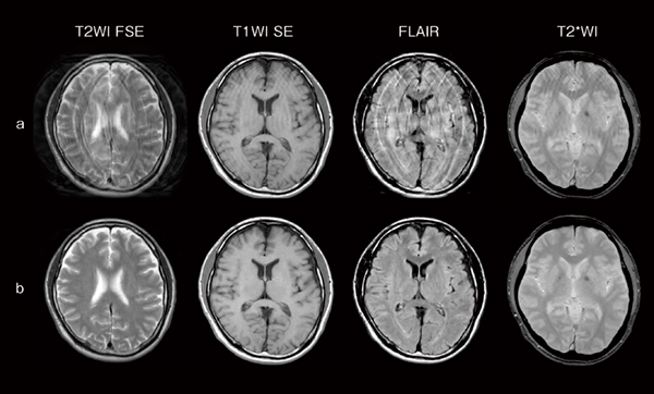
前述のSynergy Visionで被検者の体動を検知し,体動アーチファクトが画像上に確認された場合には,体動による画質劣化を改善する機能「Visual StillShot」を使用することにより,体動の影響がある受信信号を除去して画像を再構成できます。図2に頭部MRIのさまざまなコントラストを示していますが,体動アーチファクトが発生した画像を撮像後,Visual StillShotで再構成することにより,体動アーチファクトを低減した画像を生成することできるため,再撮像頻度の低減が期待できます。
同じく体動による画質劣化を改善する「Navigated StillShot(ナビゲーティッド スティルショット)」という機能があります。これは,カメラの代わりに体動を検出するためのナビゲーターパルス(Motion Navi) を撮像シーケンス内に付加し,体動の基準値に対するナビゲーターエコーの値が一定の閾値を超える場合に体動データを除去します。図3に腹部の息止め不良例を想定したボランティア画像を示しますが,Navigated StillShotによる再構成画像では,体動アーチファクトが軽減していることがわかります。このようにMRI検査中に咳やくしゃみ,不随意運動による突発的な体動などが生じた場合に,画像再構成処理によって体動アーチファクト低減を支援することができますので,再撮像頻度の低減に期待ができます。
また,撮像視野(FOV)内に被写体が含まれておらず,位相方向にオーバーサンプリングをしていない場合,折り返しアーチファクトとして偽像が生じることがあります。このような場合には,撮像後の折り返しアーチファクト画像に対し,「Exp.RAPID(エキスパンド ラピッド)」のパーセンテージを変更することにより,折り返しアーチファクトの偽像部分を展開します。図4に,肝臓レベルの位置で皮下脂肪信号の折り返しアーチファクトが生じた画像を示しますが,Exp.RAPIDで画像再構成した画像では,折り返しアーチファクトの偽像部分が低減されていることがわかります。
さらに,検査中にやむを得ず撮像を中断した場合でも,それまでに取得した撮像データで画像の再構成を行う機能を搭載しました。取得した撮像データに対して繰り返し演算処理を行い未取得のデータを補間することで,再撮像することなく画像を作成し*4,再撮像頻度の低減が期待できます。
このようにECHELON Synergyには,さまざまなシーンを想定した再撮像の頻度低減を支援するサポート機能が搭載されています。
図2 体動アーチファクト画像(a)とVisual StillShotによる再構成画像(b)
体動アーチファクトが発生した画像(a)を撮像後,Visual StillShotで画像再構成をすることにより,体動アーチファクトを低減した画像(b)を生成することができる。
図3 体動アーチファクト画像(a)とNavigated StillShotによる再構成画像(b)
腹部の息止め不良例を想定した腹囲の異なるボランティア画像(a)を撮像後,Navigated StillShotで画像再構成をすることにより,体動アーチファクトを低減した画像(b)を生成することができる。
図4 Exp.RAPID画像再構成による折り返しアーチファクト低減効果
折り返しアーチファクト像(左)では,画像中央に皮下脂肪信号の偽像があるが, Exp.RAPIDを120%に設定した再構成画像(右)では,折り返しアーチファクトの偽像部分がなくなっていることがわかる。
AI技術を活用した画質向上技術
MRIの撮像原理上,データサンプリング数が少ない(マトリックスが低い)場合,大きなコントラスト差がある場所の近くにトランケーションアーチファクト(打ち切りアーチファクト)というしま状(平行な明暗線)のアーチファクトが発生します*5。その際,一般的にトランケーションフィルタというk空間フィルタを使用しますが,トランケーションアーチファクトは低減できる一方で,画像ボケが生じてしまいます(図5)。
今回,新たに搭載した「DLR Clear」は,AI技術を活用した画質向上技術であり,MRIの撮像原理上発生するトランケーションアーチファクトの低減や画像先鋭度を向上することが期待できます。図6に頸椎のT2強調画像の矢状断を示していますが,DLR Clearを付加することにより,しま状のトランケーションアーチファクトが低減していることがわかります。また,図7に肝臓のT1強調画像を示していますが,同じピクセルサイズで撮像しているにもかかわらず,DLR Clearの画像先鋭度が向上していることがわかります。このDLR Clearは,FSEやDWIなどの2Dシーケンスのみならず,RADAR(RADial Acquisition Regime)のようなradial scanや3Dシーケンスにも幅広く適応することが可能であり,MRIの画質向上が期待できる機能です。
図5 トランケーションアーチファクトの発生とk空間フィルタによる画像ボケ
有限のデータで画像再構成を行う際に生じる信号の段差が原因で発生するトランケーションアーチファクトは,平行な明暗線の偽像として現れる。この偽像を軽減するためにトランケーションフィルタというk空間フィルタを使用すると画像先鋭度が低下する。
図6 DLR Clearによるトランケーションアーチファクト低減効果
頸椎のT2強調矢状断画像。DLR Clearを付加することにより,しま状のトランケーションアーチファクトが低減していることがわかる。OriginalとDLR Clearの差分画像ではしま状のアーチファクトが確認でき,DLR Clearによりトランケーションアーチファクト部分の信号が低減していることを示す。
図7 DLR Clearによる画像先鋭度の向上
左右の画像とも同じピクセルサイズで撮像した腹部T1強調画像。DLR Clearを使用すると同じピクセルサイズで撮像しているにもかかわらず,画像先鋭度が向上していることがわかる。
AI技術を活用したスライスライン設定サポート機能
取得する断層画像の位置・角度を自動で設定するスライスライン設定サポート機能として,これまで頭部,脊椎,膝関節,肩関節の設定が可能でしたが,図8に示すように今回,新たに乳房と股関節の撮像にもスライスライン設定サポート機能の使用が可能になりました*6。このスライスライン設定のアルゴリズムには,国内外で多くの医療機関への納入実績を持つ富士フイルムの3D画像解析システム「SYNAPSE VINCENT(シナプス ヴィンセント)」*7で培ってきた臓器認識技術を適用しました。AI技術を活用したスライスライン設定サポート機能により,検査ワークフローの向上が期待できます。
図8 スライスライン設定サポート機能の適用部位を拡大
3D画像解析システムSYNAPSE VINCENT*7で培ってきた臓器認識技術を適用し,AI技術を活用したスライスライン設定サポート機能を搭載している。
画像歪みの少ない拡散強調画像
今回,磁化率による画像歪み(磁化率アーチファクト)の少ない拡散強調画像としてDWI HD(HD:High Definition)が搭載されました(図9)。EPI(echo planner imaging)シーケンスを主体とする拡散強調画像は,EPI特有の磁化率による画像歪みが生じやすいことで知られています。これは,1回の励起でk空間を充填するシングルショット撮像に起因するものであり,画像歪みを低減するためにパラレルイメージングなどを用いて位相数を少なくするような手法が一般的に用いられています。DWI HDは,EPIシーケンスにおいて,画像情報を分割して取得するマルチショット撮像における被検者の生理的な体動の影響により各ショットの信号間に発生する位相のズレを補正し,かつ,画像歪みを低減した画像を得ることができます。DWI HDはシングルショット撮像よりも磁化率による歪みが少なく,高い空間分解能で撮像できるので,内耳・前頭洞付近の画像歪み低減が期待できます。
図9 DWI HDによる画像歪みの低減効果
DWI(single shot)では内耳や前頭洞付近に画像歪み(磁化率アーチアクト)が発生しているが,DWI HD(3 shot)では,画像ボケも軽減し,なおかつ画像歪みも低減していることがわかる。
*1 被検者が入る装置開口部を大口径(ワイドボア)にし,より快適な検査空間を実現した磁場強度1.5TのMRIシステム。
*2 MRIの撮像において,体動の影響により画像上に発生する,本来存在しない像。
*3 AI技術の一つであるMachine Learningを用いて開発した。導入後に自動的に装置の性能・精度が変化することはない。
*4 体動の程度や発生したタイミングによっては,補間できない場合もある。
*5 有限のデータで画像再構成を行う際に生じる信号の段差が原因で発生する,本来存在しない像。
*6 最終的に操作者が提示されたスライス位置を確認し,必要に応じて手動で調整する。
*7 販売名:富士画像診断ワークステーション FN-7941型,認証番号:22000BZX00238000
販売名:MRイメージング装置
ECHELON Synergy
医療機器認証番号:305ABBZX00004000
