胸部単純写真の読影をサポートする経時差分処理システムについて 黒﨑敦子
画像処理(Temporal Subtraction Advance)—フィルム&FCRの“DNA”を受け継ぐさまざまな先進技術
2013-8-26
図1 差分画像の見え方
■はじめに
胸部単純写真は,1枚の画像の中に胸壁の軟部組織や骨,肺,血管,気管支,縦隔などの多くの3Dの構造物が2Dの平面写真に凝縮されているため,非常に情報量が多く,有用な診断ツールである。胸部全体を俯瞰でき,低コストで,今なお胸部画像診断においては第一選択の診断方法である。しかし,骨や縦隔などの既存構造に重なる病変,小さい病変,輪郭が不鮮明な病変,あるいは既存肺病変に出現した新病変は見つけにくいのも事実である。
■デジタル時代の読影法─胸部経時差分法の活用
1980年代に商品化されたデジタル画像は,その後急速に普及し,2010年代の今ではほとんどの医療用画像はデジタル化され,モニタにより診断や治療が行われている1)。本稿で紹介する経時的差分法(temporal subtraction:TS)は,現在画像から過去画像を自動的に引き算して,変化のあった病変のみを強調して表示する手法で,新しく出現した病変を黒く表示し,消失した病変は白く表示させることで読影を支援するシステムである(図1)。
図1 差分画像の見え方
左上肺野の小結節出現(黒く表示),右中肺野の肺炎消失(白く表示)
従来の比較読影に,さらに差分画像を追加することにより,正常肺構造や既存肺病変に隠れがちな新規病変は,病変のみが明瞭に描出されるようになるため,読影時の気づきに大きな貢献が期待できる。また,従来の読影法のように一か所ごとに病変を見比べるのではなく,差分画像を一瞥するだけで胸部全体の変化のある病変だけを把握でき,読影時間の短縮につながることが期待できる。
■原理
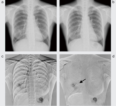
現在画像と過去画像は,被写体の撮影体位(前後屈,側屈)や息止めの位相の違いで,被写体全体の位置や血管・骨などの各臓器の位置が一致しないため,単純な差分処理では位置ずれアーチファクト(偽像)が発生しやすい。アーチファクトが生じると,経時的変化のある部分の検出が困難となる。ワーピング処理(図2,3)は,現在画像の対応位置に一致するように,過去画像を局所領域ごとに変形させてから差分する方法で,アーチファクトが大幅に軽減する。
図2 経時差分アルゴリズム
図3 経時差分の実際
a:現在画像 b:過去画像
c:単純差分画像
d:ワーピング処理後差分画像。cに比べ,鎖骨,肋骨,心血管のアーチファクトが消失し,右下肺野の新たに出現した病変のみが明瞭に描出されている(←)
■有用と考えられる臨床例
既存肺構造である肺門・縦隔や横隔膜陰影に重なって病変としてとらえ難い病変や,境界が不整だったり不鮮明な病変でも,差分画像では鮮明に結節が描出されている(図4〜6)。
図4 有用症例:右横隔膜下の結節(腺癌)
図5 有用症例:境界不鮮明な陰影(小細胞癌)
図6 有用症例:左肺門部に重なる陰影(扁平上皮癌)
■診断精度と読影時間への貢献
差分画像を用いることで有意に診断精度が向上し,読影時間が短縮できたという報告がなされている2)〜4)。これらにより,読影医の診断の確信度の向上および疲労度の改善にも役立つと思われる。このシステムを搭載した集団検診車を住民健診に用いることで成果を上げている自治体もあり1),2),集団検診への質的・量的な寄与も期待できる。
■読影の注意点
アーチファクトの生じやすい部位としては,肋骨,鎖骨,心血管,横隔膜,乳房,大胸筋,胃泡などがある(図7〜9)。実際の読影時には,現在画像,過去画像,差分画像の三者を見比べることで,アーチファクトによる偽像か否かの判断は比較的容易である。
図7 アーチファクト症例:撮影体位(前後屈)の変化による
図8 アーチファクト症例:心拍動による
図9 アーチファクト症例:胃泡の形の変化による
■まとめ
胸部単純写真の読影の際には,単なる過去画像との比較だけでなく,差分画像を参照することで,診断精度の向上と,読影時間の短縮が期待できる。
●参考文献
1)高野正雄, 桂川茂彦, 佐々木康夫 : FCR搭載胸部検診車による肺がんの集団検診 経時的差分画像の導入. 松岡昭治 編著, 東京, 秀潤社, 2010.
2)Sasaki, Y., Abe, K., Tabei, M., et al. : Clinical usefulness of temporal subtraction method in screening digital chest radiography with a mobile computed radiography system. Radiol. Phys. Technol., 4, 84〜90, 2011.
3)Nakagawa, K., Oosawa, A., Tanaka, H., et al. :
Clinical effectiveness of improved temporal subtraction for digital chest radiographs. Medical Imaging, 4686, 319〜330, 2002.
4)Johkoh, T., Kozuka, T., Tomiyama, N., et al. :
Temporal subtraction for detection of solitary pulmonary nodules on chest radiographs ;
Evaluation of a commercially available computer-aided diagnosis system. Radiology, 223, 806〜811, 2002.
黒﨑敦子(公益財団法人結核予防会 複十字病院放射線診断科部長)
