Session Ⅰ CT Image Contest 2013 Japanese Edition
Best Clinical Outcomes with Right Dose
2013-11-25
シーメンス・ジャパンは2013年,CT Image Contest のJapanese Edition を開催しました。これは,シーメンスがこれまで欧米で開催してきたInternational CT Image Contest の日本版となります。
CT Image Contestは,“Best Clinical Outcome with Right Dose”というコンセプトを提唱しています。昨今のCTにおける開発の方向性は被ばく低減であり,低線量・低被ばく技術を競い合う展開になっています。シーメンスもLow Doseの技術開発を強力に進めてきましたが,RSNA2012において“Right Dose”という新しいコンセプトを発表しました。Right Doseとは,単にLow Doseにこだわるのではなく,臨床目的を満たす画質を担保した適正線量を用いて,患者さんに最大の利益をもたらすという理念です。
CT Image Contest 2013 Japanese Editionは,CT検査における画質と被ばく低減の両立をキーワードに,次の3つの審査基準を設けました。
・Balance of Image quality and low dose─画質と被ばくのバランス
・Clinical benefit─臨床的有用性
・Technical contribution to achieve the above─これらを達成するための技術的貢献
今回のCT Image Contest 2013 Japanese Editionには67件の応募があり,6つのカテゴリー別部門賞6名と最優秀賞1名が選ばれ,「The 5th Definition Symposium」のSessionⅠにて,受賞者からの発表が行われました。
【審査委員長】
今井 裕(東海大学医学部専門診療学系画像診断学)
【審査委員】
内藤博昭(国立循環器病研究センター病院)
福田国彦(東京慈恵会医科大学放射線医学講座)
市川勝弘(金沢大学大学院量子医療技術学講座)
平野雅春(東京医科大学内科学第二講座)
【対象機種】
SOMATOM Definitionシリーズ
SOMATOM Definition AS
SOMATOM Definition Edge
SOMATOM Definition
SOMATOM Definition Flash
【対象カテゴリ】
General, Cardio-Vascular, Neuro, Oncology, Dual Energy, Technical
Best Overall(最優秀賞)
吉田亮一
(東海大学医学部付属病院診療技術部放射線技術科)
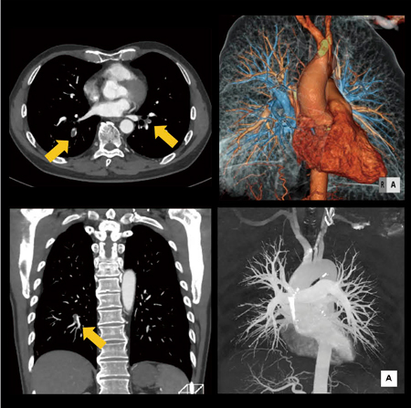
【背 景】撮影時2歳11か月の男児。身長93.5cm,体重12.5kg。既往歴に卵円孔開存(1か月時に自然閉鎖)。出生体重2550g,双胎第一子。繰り返す喀血を主訴に当院受診。単純X線,CT,核医学,カテーテル検査を施行し,右肺動脈欠損症と診断。今回のような症例の場合,右の肺動脈が欠損していても側副血行路がまわって,そこから血流がいっている可能性がある。肺動脈相と大動脈相がオーバーラップしてしまうと,どちらから血流支配を受けているのか判断が難しいため,今回は肺動脈と大動脈を分離して,Dual Energyの2相撮影を施行した。
【所 見】右肺動脈は認められず,気管支動脈や下横隔膜動脈,甲状頸動脈の分枝と思われる動脈の拡張が認められる。肺動脈相ではLung PBVにおいて右肺の血流が低下しているものの,大動脈相では側副血行路からの血流により右肺の血流が保たれていることが確認できる。今回,Dual Energy 2相撮影を行うことで解剖学的所見,肺血流分布,肺血流動態を把握することができている。
【ポイント】(1)医師の診断能力(CTにて血流分布を得ることができると確信し,2相の分離撮影を提案),(2)CT室のスタッフの経験(意思疎通のとれない2歳児に対し,テストボーラスを用いて造影タイミングを把握し,それに合わせスキャンスピードをコントロールして2相の分離撮影を確実に実施),(3)SOMATOM Definition Flashの性能(精度の良いDual Energy Systemと,小児の速い血流にも対応可能な装置のスペック)
| 使用機種 | SOMATOM Definition Flash |
| 撮影部位 | 胸部 |
| 撮影範囲[cm] | 23 |
| 管電圧[kV] | Sn140,80 |
| 管電流[eff.mAs] | 49(Sn140),106(80) |
|
AEC (CARE Dose4D,CARE kV,X-CARE) |
CARE Dose4D ref.mAs:115(Sn140),270(80) |
| コリメーション[mm×slice no.] | 0.6×64 |
| スライス厚[mm] | 1.0 |
| カーネル,アルゴリズム・強度 | B31f,thin sliceはSAFIRE2 |
| CTDIvol[mGy] | 4.46 |
| DLP[mGy cm] | 104 |
| 造影剤濃度[mgL/mL],投与量[mL] | 300/50, 25 |
| 造影剤注入速度[mL/s] | 1.4 |
| 撮影タイミング(CARE Bolus,Test Bolus) | Test Bolus |
General部門
中森克敏
(三重大学医学部附属病院中央放射線部)
【背 景】83歳,男性,右上葉肺がん。右上葉切除予定につき術前精査,3D-CT希望。
【所 見】右肺上葉S2に最大径18mmの充実性結節を認める。右原発性肺がん:cT1aN0M0。
【ポイント】肺動静脈分離3D-CTの多くは肺動脈相,肺静脈相を含む多時相撮影が広く用いられている。当院では造影剤を2段階注入することにより,肺動静脈間にCT値差をつけ,1相撮影にてVR作成を容易にし,多時相撮影に比べ大幅な被ばく低減を実現している。わずか数秒の肺循環をとらえるには,Flash Spiralが最適であり,全肺が約1秒で撮影できる。
また,管電圧を100kVにすることで,コントラストを高くするとともにさらなる被ばく低減も可能にしているが,IR法により線量不足の印象はなく,画質を担保できる。1相撮影に必要な造影剤量は約40mLで,腎機能低下症例に対しても負担が少ない。時相の違いによる位置ずれのない良好なVR画像で肺動静脈のバリエーションを評価でき,手術時間の短縮にもつながっている。また,アキシャル画像で肺動静脈間にCT値差があるため,同一画像上にて両者が識別可能で読影の手助けにもなっており,ルーチン業務に本撮影法を取り入れている。
| 使用機種 | SOMATOM Definition Flash |
| 撮影部位 | 肺 |
| 撮影範囲[cm] | 42 |
| 管電圧[kV] | 100 |
| 管電流[eff.mAs] | 108 |
|
AEC (CARE Dose4D,CARE kV,X-CARE) |
CARE Dose4D (ref.mAs:220) |
| コリメーション[mm×slice no.] | 0.6×64 |
| スライス厚[mm] | 1.0 |
| カーネル,アルゴリズム・強度 | Ⅰ41f medium,SAFIRE3 |
| CTDIvol[mGy] | 3.6 |
| DLP[mGy cm] | 153 |
| 造影剤濃度[mgL/mL],投与量[mL] | 300,40 |
| 造影剤注入速度[mL/s] | 5.0 |
| 撮影タイミング(CARE Bolus,Test Bolus) | Test Bolus |
Cardio-Vascular部門
神崎 歩
(国立循環器病研究センター放射線部)
【背 景】3452gで出生。心雑音を契機に先天性心疾患と診断され,当院の小児循環器科にて,肺動脈閉鎖兼心室中隔欠損に主要大動脈肺動脈側副動脈(MAPCA)を伴う,戦略的な外科的治療介入が必要な病態と診断された。心内修復手術に向けて,血管造影の所見だけでは肺動脈の走行やMAPCAとの位置関係が三次元的に明瞭ではないため,造影CT検査が依頼された。撮影時は生後6か月で身長66cm,体重6kg。
【所 見】右鎖骨下動脈,胸部下行大動脈から起始するMAPCAを計4本描出。それぞれの起始から末梢肺動脈への接続は容易に追跡可能。中心肺動脈は低形成で,胸部下行大動脈から起始するMAPCAの1本が分岐して,右主肺動脈幹の近位にも接続する特異的な形態をとっていることと,肺動脈と各MAPCA,気管支の位置関係が三次元的に明瞭に示される。心室中隔の欠損孔も良好に描出されている。
【ポイント】乳児に対するCT撮影の問題点としては,(1)短絡により,拍動に伴う血管径の変化が大きい(心電図同期撮影が望ましい),(2)高心拍数(心電図同期撮影の限界),(3)呼吸管理実施を行うかどうか,が挙げられる。本症例で示されるように,乳幼児の複雑心奇形に対して,Flash Spiralは非常に有用性が高い。当院では,CTのための呼吸管理は行わない,被ばく低減のためにスライス厚は一番薄い0.6mmを使わない,術前の症例では単純CTは撮影しない,モニタリングの回数を極力減らす,ことなどを方針としている。最も重要なことは,CTの適応について熟考することである。心エコーで診断がつかない,心臓カテーテル検査を省略可能,心臓カテーテル検査では情報が不十分,などの場合にのみCTが適応されるべきである。
| 使用機種 | SOMATOM Definition Flash |
| 撮影部位 | 胸部 |
| 撮影範囲[cm] | 13.5 |
| 管電圧[kV] | 80 |
| 管電流[eff.mAs] | 64 |
|
AEC (CARE Dose4D,CARE kV,X-CARE) |
CARE Dose4D, ref.mAs:300 |
| コリメーション[mm×slice no.] | 128×0.6 |
| スライス厚[mm] | 0.75 |
| カーネル,アルゴリズム・強度 | Ⅰ26f,SAFIRE2 |
| CTDIvol[mGy] | 1.01 |
| DLP[mGy cm] | 21 |
| 造影剤濃度[mgL/mL],投与量[mL] | 370,11 |
| 造影剤注入速度[mL/s] | 0.7 |
| 撮影タイミング(CARE Bolus,Test Bolus) | CARE Bolus,注入開始20秒後に撮影開始 |
Neuro部門
高田忠徳
(金沢大学附属病院放射線部)
【背 景】71歳,男性。転移性脳腫瘍疑いで外科的手術目的に入院。手術用ナビゲーションシステムを用いたImage-Guided Surgeryを予定しており,静脈と動脈の走行を把握できるよう頭部全体のCTA/CTV,血管・腫瘍・骨との位置関係を把握するために正確な三次元画像の作成を依頼された。
【所 見】肺腺癌の多発脳転移疑い。右側頭葉への転移は27mm大で周囲への浮腫が強く,側脳室圧排およびmidline shiftを認める。左前頭葉への転移は22mm大で,左大脳鎌への髄膜転移と考えられる。こちらは前大脳動脈が腫瘍内を走行している。
【ポイント】当院における従来のプロトコルは,(1)頭部単純CT(コンベンショナル),(2)Dual Energy(頭蓋骨除去目的)でのCTA/CTV,(3)腫瘍確認の頭部造影CT(コンベンショナル)であった。このプロトコルではCTVでの腫瘍造影効果が低く,三次元画像作成時に正確な腫瘍範囲を抽出することが困難であった。また,撮影回数が多いため,被ばくの面でも問題であった。そこで,今回の症例ではこれらの問題点を解決するために,次のような工夫を取り入れた。(1)撮影手順の改善:CTA撮影(造影剤は50mLのみ投与)→90秒のdelay time(腫瘍が濃染)→CTV撮影(残りの造影剤50mL投与)。これにより,CTVで腫瘍が十分に濃染しているため,三次元画像の作成が容易になった。また,CTVの画像から5mm厚の画像を再構成することで,従来の頭部造影CT(コンベンショナル)を省略でき,検査トータルでの被ばく線量を低減できた。
(2)Dual Energyの併用により,骨と静脈の正確な分離が可能となった。(3)CTA/CTVにSAFIRE(Strength3)を使用することで,従来のプロトコルより10%の線量低減が可能となり,さらに,骨と静脈の分離精度が向上した。
| 使用機種 | SOMATOM Definition Flash |
| 撮影部位 | 頭部 |
| 撮影範囲[cm] | 20 |
| 管電圧[kV] | 100/Sn140 |
| 管電流[eff.mAs] | 227 |
|
AEC (CARE Dose4D,CARE kV,X-CARE) |
CARE Dose4D (ref.mAs:250) |
| コリメーション[mm×slice no.] | 0.6×64 |
| スライス厚[mm] | 0.75 |
| カーネル,アルゴリズム・強度 | CTA/CTV:Q40(SAFIRE3) |
| CTDIvol[mGy] | CTA/CTV:40/40 |
| DLP[mGy cm] | CTA/CTV:800/800 |
| 造影剤濃度[mgL/mL],投与量[mL] | 370,CTA:50,CTV:50 |
| 造影剤注入速度[mL/s] | 4.0 |
| 撮影タイミング(CARE Bolus,Test Bolus) | CTA:CARE Bolus, CTV:CTAのtrigger time+12s |
Oncology部門
佐藤公英
(総合上飯田第一病院放射線科)
【背 景】53歳,女性。平成20年に検診の乳腺エコーにて要精査となり当院紹介。当院MMGでカテゴリー1,エコーで右内上囊胞,右外下腫瘍疑いで針生検を行い,悪性所見なしと診断されて経過観察を行う。平成25年,エコーで新たに右外上massが見つかり,針生検で乳頭腺管癌と診断された。術前検査で乳腺ダイナミックCTとリンパ管CT施行。右外上に強い濃染腫瘍(20mm×10mm),右外下に淡い造影領域を認めた。乳腺部分切除後の病理結果は乳頭腺管癌。センチネルリンパ節生検では転移(−)。
【所 見】画像1:乳腺エコーにてエラストスコア4でカテゴリー4と診断された。画像2:乳腺ダイナミック CTのMIP画像。右外上に20mm×10mmの濃染腫瘤を認め,乳頭側への進展も見られる。また,右外下に淡い濃染域が認められる。画像3,4:リンパ管CTにて右腋下に交通するリンパ管があり,その先にセンチネルリンパ節を認める。
【ポイント】当院では乳腺ダイナミック造影とリンパ管造影CTを並行して実施している。スキャン計画はTopogramとPlain,Dynamic造影30秒と75秒,リンパ管描出には造影剤注入後3分と5分で撮影。放射線感受性の高い乳腺部分を繰り返し撮影するので,被ばく線量の低減と高コントラストを得るために,CARE Dose4D,CARE kV,X-CAREを使用。また,Stellar DetectorとSAFIREの相互作用により,線量を減らしてもノイズの少ない高画質を保持している。
| 使用機種 | SOMATOM Definition Edge |
| 撮影部位 | manma |
| 撮影範囲[cm] | 38.75 |
| 管電圧[kV] | Quality ref.kV:120 |
| 管電流[eff.mAs] | Quality ref.mAs:110 |
|
AEC (CARE Dose4D,CARE kV,X-CARE) |
CARE Dose4D(mAs/ref.142/148),CARE kV(100kV),X-CARE |
| コリメーション[mm×slice no.] | 0.6×128 |
| スライス厚[mm] | 0.6 |
| カーネル,アルゴリズム・強度 | Ⅰ31f medium smooth,SAFIRE 3 |
| CTDIvol[mGy] | 5.6 |
| DLP[mGy cm] | 217 |
| 造影剤濃度[mgL/mL],投与量[mL] | 370,80 |
| 造影剤注入速度[mL/s] | 3.0 |
| 撮影タイミング(CARE Bolus,Test Bolus) |
CARE Bolus 上行大動脈200HU |
Dual Energy部門
及川徳章
(伊東市民病院医療技術部放射線室)
【背 景】右視床出血の既往のある70代,男性。早朝安静時に胸痛があり,紹介で当院受診。ECGで変化はなく,冠攣縮性狭心症を疑い心臓CT検査を施行。単純CTで石灰化を認め, HRも低心拍で安定していたため,Dual Energyによる撮影を行った。
【所 見】3Dワークステーション使用。PW MIP(左),MIP(中),前下行枝のMPR(右)。上段は時間分解能75ms MIX画像(カーネル:Ⅰ26f medium smooth)にて前下行枝および回旋枝に高度石灰化を認め,前下行枝♯6に高度石灰化を伴う有意狭窄が疑われた。しかし,下段のsyngo. Dual Energy Liver VNCを用いたIodine Imageでは,有意狭窄は認められなかった。
【ポイント】石灰化除去を行う場合,一般的にはsyngo. Body Bone Removalを使用するが,当院ではトライアル段階だがsyngo. Dual EnergyのLiver VNCを用いてDual Energyの処理設定を多少変更し,Iodine Imageを作成することで石灰化除去を行っている。石灰化によるブルーミングアーチファクト低減のため,再構成関数はSAFIREを用いたQ40f midiumを使用。これにより,石灰化除去後の内腔を良好に観察することができた。この方法はオペレータが異なっても再現性が良く,3Dワークステーションでの処理も簡単というメリットがある。被ばく線量はCARE Dose4D使用で10mSv程度だった。
| 使用機種 | SOMATOM Definition Flash |
| 撮影部位 | 心臓(Coronary) |
| 撮影範囲[cm] | 12.7 |
| 管電圧[kV] | 100/140 |
| 管電流[eff.mAs] | 132/115 |
|
AEC (CARE Dose4D,CARE kV,X-CARE) |
CARE Dose4D(190/162) |
| コリメーション[mm×slice no.] | 0.6×64 |
| スライス厚[mm] | 0.6×0.3 |
| カーネル,アルゴリズム・強度 | Q40f medium |
| CTDIvol[mGy] | 52.56 |
| DLP[mGy cm] | 734.3 |
| 造影剤濃度[mgL/mL],投与量[mL] | 350,73 |
| 造影剤注入速度[mL/s] | 4.3 |
| 撮影タイミング(CARE Bolus,Test Bolus) | Test Bolus |
Technical部門
高井寿克
(東京都保健医療公社大久保病院放射線科)
【背 景】左下腹部痛を主訴に来院。疼痛は下腹部痛から右下腿痛に,その後,吸気時の背部痛へと徐々に変化。CT撮影後,PTE(肺血栓塞栓症)と診断され,後日IVCフィルター挿入。
【所 見】両側肺動脈の下葉枝に血栓と考えられる低吸収域が明瞭に描出され,肺血栓塞栓症と診断。肺動脈末梢側まで良好に描出され,VR画像においてはワークステーション上で動脈と静脈の分離が可能。
【ポイント】(1)造影剤の注入方法を工夫(24mgl/kg/s×10s固定注入→生食20mL後押し→10mL/s×残り造影剤量→5分後に足から頭方向に向かって下肢の撮影),(2)撮影タイミング<目視>(プレモニタリングの位置と撮影スタートのタイミングが非常に重要:肺動脈,上大静脈,上行大動脈が観察できるレベルを選択,サイクルタイム1秒,スキャンディレイタイムは5秒後に設定→造影剤注入開始から約7〜8秒で上大静脈のCT値が上昇。次のスキャンで肺動脈のCT値が軽度上昇していることを確認し撮影スタート),(3)CARE kVの半自動機能を使用して80kVを使用することでコントラストの向上を達成,(4)低管電圧を使用することによるノイズ量の増加は,SAFIREを用いて改善。
| 使用機種 | SOMATOM Definition AS+ |
| 撮影部位 | 肺動脈 |
| 撮影範囲[cm] | 291.2 |
| 管電圧[kV] | 80 |
| 管電流[eff.mAs] | 509(ref.mAs:200) |
|
AEC (CARE Dose4D,CARE kV,X-CARE) |
ref.mAs:200 ref.kV:120 |
| コリメーション[mm×slice no.] | 0.6×128 |
| スライス厚[mm] | 0.75 |
| カーネル,アルゴリズム・強度 | Ⅰ36f SAFIRE 2 |
| CTDIvol[mGy] | 9.46 |
| DLP[mGy cm] | 288.3 |
| 造影剤濃度[mgL/mL],投与量[mL] | 300,46 |
| 造影剤注入速度[mL/s] | 4.6(24mgI/kg/s) |
| 撮影タイミング(CARE Bolus,Test Bolus) | 目視 |
