Session Ⅱ : Benefits of Stellar Detector
頭部 三木 均(愛媛県立中央病院画像センター・放射線科)
2013-11-25
愛媛県立中央病院では,シーメンス社製CT「SOMATOM Definition AS+」(以下,Definition AS+),およびStellar Detector搭載の「SOMATOM Definition Edge」(以下,Definition Edge)と「SOMATOM Definition Flash」(以下,Definition Flash)の3台が同時稼働しており,年間約3万件のCT検査を実施している。うち頭部領域は年間約1万件にのぼる。頭部CTは,SNRに優れるDefinition Edgeと,三次救急用のDefinition AS+を並列で用い,Definition FlashではCT Angiography(CTA)とCT Perfusion(CTP)を撮影するという運用を行っている。Stellar DetectorやSAFIREなどの新技術はこれまで,被ばく低減の追究を目的としてきたが,シーメンスでは現在,診断に資する画質とのトレードオフを重視した“Right Dose”という考え方にシフトしてきた。当院では,頭部CTの被ばく線量は低く抑えているため,新技術は画質改善につなげることとし,小児については,被ばく線量を最大限減らすという方向で検討している。本講演では主に, CTPと頭部単純CTにおける逐次近似画像再構成法“SAFIRE”の有用性を中心に報告する。
CT Perfusion(CTP)の急性期脳梗塞への適応
SPECT,MRPとの比較検討
当院では,Definition AS+を導入した2011年3月以来,CTPの急性期脳梗塞への適応について検討してきた。動脈閉塞性疾患ともやもや病をCTPの適応疾患として設定し,CTPの有用性について術前・術後,SPECTとの比較検討を行った。以下,症例をいくつか紹介する。
●症例1:右内頸動脈狭窄
受診3日前から構音障害,左上下肢不随意運動で発症。MRIの拡散強調画像(DWI)で,小さな梗塞が認められ,ADC値も低下している。CTA,MRAでは,右中大脳動脈領域の血流低下と,右内頸動脈の狭窄が認められる。頸動脈内膜剥離術(CEA)による治療を行い,CTA上で血流の改善を確認した。
術前の脳血流SPECTでは,右中大脳動脈領域(右側頭葉)の一部の血流低下が見られ,術後のSPECTで血流改善が認められる。
CTPでは,術前にCTA,MRAで血流低下が確認された部位に一致して,血流の遅延が認められた。SPECTで血流が低下していた右側頭葉の脳血流量(CBF)は,CTPでは評価できなかったが,血流の遅延と改善は観察できる(図1)。CTPとSPECTのトレーサーの違いと,それによる画像の違いを理解しておく必要があると考える。
図1 症例1のCTP画像(Definition AS+)
右側頭葉の血流遅延とその改善が認められる。
●症例2:中大脳動脈領域の急性期脳梗塞
右片麻痺,失語で発症。内頸動脈から閉塞していて,MRAでは左中大脳動脈が描出されていない。拡散強調画像(DWI)でも,急性期脳梗塞の所見が認められた。MRIで診断後,治療方針決定のためにCTA,CTP,SPECTを施行する。
STA-MCA anastomosisのような緊急バイパス術の適応を見極める場合,STA(浅側頭動脈)の開存性や灌流の情報を得ることができるCTPは,非常に期待されている。本症例ではSTAが描出されず,手術適応とはならなかった。
CTAでは,中大脳動脈の末梢は描出されていた(図2)。脳血流SPECTでは,血流低下と脳梗塞の欠損部分が観察できる。このようにはっきりした血流低下例では,CTPによる脳血流量(CBF)の定量値もある程度信頼できると考える(図3)。
図2 症例2のCTA画像(Definition Flash)
左内頸動脈閉塞。中大脳動脈の末梢は描出されている。
図3 症例2:CTPによる脳血流測定
(syngo VPCT Neuro)
CTPのデータから,4D CTAを再構成することができる。CTAで左中大脳動脈の末梢が描出されていたのは,血流が逆行しているためであることがわかった(図4)。ある程度血流が保たれていると判断し,緊急バイパス術は不要と診断した。CTP,4D CTAが治療方針の決定に有用だった症例である。
CTPによる脳血流量の定量性については,評価が分かれている。脳血流の評価はPETをはじめ,SPECT,MRP,CTPなどで行われるが,パラメータの差(標準化)や被ばく線量などを考慮した上で,どの方法を選択するかが今後の課題である。
図4 症例2:4D CTAによる脳血流動態評価
側副血行路を介した逆行性の血流が認められる(←)。
●症例3:右内頸動脈狭窄
約1か月前から右視野障害,右網脈動脈閉塞疑いで眼科からMRIを依頼された。MRAでは,血流は保たれているように見える。当院では現在,CTPとMRP(ASL)とを比較検討するスタディを行っており,本症例はその対象である。
一般に,CTPはnon-diffuseだが,ASLはdiffusableとされる。ASLの撮影方法はメーカーによって異なり,シーメンス社の3T MRI「MAGNETOM Skyra」の場合はTⅠを変えながら撮ることで血流画像が変化する。SPECTとよく似た画像で,本症例では血流が保たれていることがわかる(図5)。
図5 症例3:CTPとMRP(ASL)の比較
a:CTP(Definition Flash)
b:ASL(MAGNETOM Skyra)
頭部単純CT
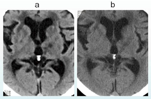
図6 SAFIREを用いた陳旧性視床梗塞の描出
a:64列MDCT with SAFIRE
b:他社製16列MDCT
頭部の検査において,頭部単純CTはきわめて重要である。最初に頭部CTにSAFIREを適用した時には,ノイズが軽減し,非常にきれいな画像が得られると感じた。スパイラルで再構成するよりシーケンシャルで撮影する方が画質が向上するため,頭部CTではチルト機構が必要と考える。SAFIREのstrengthは1〜5までのレベルがあり,強くするほど高いノイズ低減効果が得られるが,当院ではstrength 2までとしている。その場合,管電圧120kV,435mAsの撮影条件でCTDIvol 69.58mGyとなり,被ばくは従来通りとしたままで画質を向上させることができる。SAFIREを用いた画像の視認性は高く,陳旧性の脳梗塞も明瞭に見えるようになった(図6)。今後,さらに撮影条件の最適化を図る予定である。
なお,頭部CTプロトコルではNeuro Best Contrast(NBC)が適用される。NBCは,白黒の境界部分をノンリニアに再構成しているが,これについては賛否両論がある。コントラストは格段に向上するものの,濃度ムラが散在し,偽陽性が増えてしまう恐れがあるため,注意が必要である。
当院では,2013年5月から, Definition EdgeとDefinition AS+の両方で撮影した頭部単純CTについて,深部白質のSD値を測定している。1か月間で撮影した20症例でSD値の平均を比較してみると,Definition Edgeが2.0,Definition AS+が2.2であり,全般的にはDefinition Edgeの方がノイズの少ない画像が得られた。
特に,C1-大後頭孔レベルの脊髄の描出能には大きな差があり,Definition Edgeではきわめて「シャープで切れ味のある(the feel of a cutting edge)」画像が得られた(図7)。基底核領域などの部位でも,良好な画質が得られている。
頭部単純CTでは,超急性期脳梗塞におけるearly CTサインが見えるかどうかが,きわめて重要である。当院内で発症した急性期脳梗塞症例では,45分後に撮影した拡散強調画像(DWI)では左基底核領域に淡い高信号を認める程度だったが,単純CTのウィンドウレベルを変えて見ると,発症20分後でもearly CTサインを確認することができた(図8)。
頭部単純CTのこのような利点を活用し,今後もコントラストの追究にこだわっていきたいと考えている。
図7 頭部CT |
図8 超急性期脳梗塞のearly CTサイン |
