Session Ⅲ : Advanced Visualization System “syngo. via”
心臓・Oncology 佐久間 亨(東京慈恵会医科大学放射線医学講座)
2013-11-25
CTの高性能化によって,心・血管系や腫瘍系の診断では,広範囲の膨大な枚数の再構成画像を効率良く読影することが求められている。本講演では,シーメンスの画像解析ソリューションである“syngo.via”におけるCardio VascularとOncologyのソフトウェアを用いたワークフローを報告する。
広範囲,大容量画像の読影を支援するsyngo.via
CTの高画質化,高速化によって撮影時間が短縮され,検査件数の増加や撮影範囲の拡大が顕著になってきている。また,isovoxelのボリュームデータ取得により,三次元画像の活用や微細病変の描出,検出が求められるようになった。膨大な枚数の再構成画像を効率良く処理し,読影を支援するシステムが必要であり,syngo.viaはそれを実現する画像解析ソリューションであると言える。
syngo.viaは,CTの画像診断における,(1)検査施行→(2)画像再構成→(3)処理アプリケーションの選択→(4)アプリケーションによる画像処理→(5)読影→(6)レポート配信というワークフローの中で,(3)〜(5)の部分の時間短縮を可能とするシステムである。
血管外科(血管系),血液腫瘍内科(腫瘍系)から依頼のCT検査においては,1回で広範囲の撮影を行っている。血管系のCT検査では,1検査で1000枚を超える再構成画像が取得され,病変の範囲の把握や血管径の計測などのために三次元画像が必須となる。さらに,血管病変以外の所見の拾い上げも求められる。また,腫瘍系のCT検査では,播種病変や骨転移,肺野の転移巣などの検索を,表示条件(肺野,骨,軟部)を変えながら,経時的な複数回の検査の比較読影が必要で,画像診断医にとってストレスがかかる読影業務となっている。
ここでは,syngo.viaのソフトウェアである心・血管系のCT Coronary Analysis,CT Vascular Analysis,腫瘍解析系のCT Lung CARE,CT Bone Readingを用いた読影方法について紹介する。
syngo CT Coronary Analysis(冠動脈)による冠動脈解析
当院では,SOMATOM Definition Flashを用いて,ルーチンでの冠動脈解析やステント留置術後のフォローアップはもちろん,Flash Spiralなどの高速撮影による小児先天性心疾患の診断や,術後の肺野の血流確認のためのDual Energy ImagingによるLung PBVなどを行っている(図1)。そのため,ルーチンの冠動脈解析は,なるべく少ない負担で迅速な処理が求められる。
図1 Dual Energy Lung PBV
syngo.viaのCT Coronary Analysisでは,CTから画像転送が行われると,画像のスタディ名から適切なワークフローが選択され処理が行われる。心臓VR像が自動的に作成され,そこから複数の冠動脈を抽出してcurved MPR像と短軸断面像が表示される。読影医は,自動的に処理された画像から任意の冠動脈を選択して読影することが可能で,ワークフローが大きく改善する。図2は,胸痛で来院した患者の当日CT検査の画像だが,ステント内の再狭窄を疑って撮影されたCTで,新たにLCX#12に高度狭窄が認められた。
図2 syngo CT Coronary Analysis(冠動脈)
syngo CT Vascular Analysis+syngo CT Lung CAREによるスクリーニング
血管系のCT検査では,高齢で胃がんや大腸がん術後の症例も多く,血管の評価と同時に血管系以外の領域の病変の拾い上げが求められており,肺野や腹部までをカバーした読影が必要となる。
syngo.viaでは,血管系のソフトウェアであるCT Vascular Analysisと,肺野の結節影を自動検出する腫瘍系のソフトウェアのCT Lung CAREを,同じ症例に対して同時に適用した読影が可能である。
血管系のCT Vascular Analysisでは,三次元画像によるステントグラフト術後の評価などのほか,ターゲットとなる血管のcurved MPR像と短軸断面像などがあらかじめ選択された状態で表示され,内腔の評価や計測などが行える。また,腫瘍系のCT Lung CAREでは,肺野結節性病変の自動検出が可能で,なかでも,末梢の肺結節では,読影医でも気づきにくい2〜3mm程度の小さな結節や,肺血管に接している結節も検出できる。
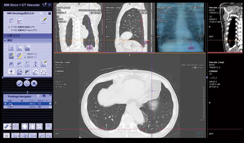
読影フローとしてまず,CT Vascular Analysisによって血管系の評価を行っているが,頸動脈,腎動脈,ステントなどの血管がすでに選択された状態で画面が立ち上がり,それぞれの血管の様子がスムーズに確認できる(図3)。この症例では,run-offやステントの状態も良好に描出されている。ただ,詳細に見ると下腸間膜動脈を介するtypeⅡのエンドリークが認められた(図4)。同時に,肺野の評価は,MM OncologyのCT Lung Careで行ったが,こちらも画面を起動すると,すでに肺野の結節が自動的に拾い上げられており,肺野の転移性病変についても,短時間で読影が行える(図5)。
このように,syngo.viaでは血管系と腫瘍のスクリーニングが同時に行え,広範囲で,さまざまな領域をカバーした読影支援に役立っている。
図3 syngo CT Vascular Analysisによる血管解析とsyngo CT Lung CARE
主要血管の状態を直ちに確認することができる。
図4 syngo CT Vascular Analysisによる血管解析とsyngo CT Lung CARE
typeⅡのエンドリークが認められる。
図5 syngo CT Vascular Analysisとsyngo CT Lung CAREによる肺結節の検出
syngo CT Bone Reading
脊椎・肋骨の展開像で骨転移を把握
腫瘍系の読影では,骨転移の検出も重要だが,横断像のスクロールでは,肋骨がスライス面に対して斜めに走るため,骨転移病変を見つけるのは難しい作業となる。
CT Bone Readingは,脊椎から肋骨の部分を展開した再構成画像を表示して骨転移の検索を容易にし,また,椎体および肋骨が自動でナンバリングされ,転移の位置,肋骨の位置などを簡単に把握できるようになっている。あらかじめ骨条件のthin sliceデータをsyngo.viaのサーバに送っておけば,スタディ名からCT Bone Readingの処理が自動で行われる(図6)。
図6 syngo CT Bone Reading(骨転移の検索)
脊椎,肋骨を一括表示し,自動ラベリング
図7は,肺がん治療中の患者のCT Bone Readingの画像だが,左の第6肋骨に骨転移を認めた。横断像では,骨転移を発見しても何番目の肋骨かを改めて確認する必要があるが,CT Bone Readingでは,転移巣と部位の把握が同時に可能で,さらに該当部位のMPRが表示される。
図7 syngo CT Bone Reading(骨転移の検索)
再構成画像では左第6肋骨の転移巣(▲)が明瞭である。
図8は,60代,女性,洞不全症候群の症例だが,前胸部痛を主訴にスクリーニング目的で胸部CTを撮影した。縦隔,肺野では所見がなく,CT Bone Readingで骨性胸郭を確認したところ,右の第5肋骨に骨皮質の不連続な部分が認められ,骨折があることがわかる。洞不全症候群で心停止があった時に,胸骨圧迫の処置が施行された際の骨折と思われた。さらに,右だけでなく左側肋骨にも骨皮質の変形が認められ,多発骨折と診断された。
現在,高エネルギー外傷などに全身のtrauma pan scanとして全身CTが施行されている。CT Bone Readingは,そういった外傷,救急などでも活用できるソフトウェアであると考えている。
図8 syngo CT Bone Reading(骨折の検索)
右の第5肋骨に骨折(○),左側肋骨にも骨皮質の変形(←)が認められ
多発骨折と診断された。
まとめ
syngo.viaは,CT装置側で画像再構成や画像転送の自動設定がされていれば,最適な画像処理までが自動で行われ,速やかに読影にとりかかることができる。読影支援に加え,クライアント端末での操作も可能で,追加の処理が読影室でも行えることが特長である。したがって,CT検査における画像処理,読影における作業効率が高められ,診療放射線技師の作業負担の軽減と医師の読影支援につながると考えられる。
syngo.viaは,院内の画像診断部だけでなく,夜間など専門技師が不在の場合,Web配信を用いた在宅遠隔画像診断,モバイル機器を用いた回診やカンファレンス,手術室などの術中の画像参照にも応用が期待できる。画像診断部はもとより,画像を活用する臨床科にも有用なシステムだと考えている。
