New Benchmark of CAD Diagnosis
北川覚也(三重大学医学部附属病院中央放射線部)
<Session IV Frontier of Cardiac CT>
2014-11-25
心疾患の診断に当たり,冠動脈狭窄の評価だけでなく心筋血流の評価を行うことは,治療方針の決定のために非常に重要である。当院では2009年頃まで,心筋血流を評価するための負荷心筋パーフュージョンの約70%をMRI,約30%をSPECTで行っていたが,2010年からCTを用いたスタディを開始。2012年に「SOMATOM Definition Flash」(以下,Definition Flash)導入後は負荷Dynamic CT Perfusion(CTP)を行うようになった。現在では,MRIが約65%,CTが約30%を占めるに至っている。本講演では,負荷Dynamic CTPおよび遅延造影CTの有用性について述べる。
心臓CT検査の有用性
当院がMRIで負荷心筋パーフュージョンを行う理由として,診断能の高さが挙げられる。MRIは空間分解能がSPECTよりもはるかに高いため,内膜下虚血や三枝病変の診断が確実に可能である。また,遅延造影MRIによって心筋梗塞や線維化を明瞭に描出し,梗塞域と虚血域を明確に区別して診断できるほか,シネMRIによる心機能評価や被ばくがないことも大きなメリットである。これらのメリットは多くのスタディによって示されており,一枝病変,多枝病変のいずれにおいてもSPECTより有意に診断能が高いと報告されている1)。
一方,負荷Dynamic CTPを行う理由として,(1) 空間分解能がMRIよりも高く,MRIと同等以上の診断能を示すと期待される,(2) MRIでは造影剤濃度と信号強度に直線性がないが,CTには直線性があるため心筋血流量(MBF)の定量化が容易,(3) Perfusion MRIでは3,4枚の断面像しか得られないため CT Angiography(CTA)とのフュージョンはできないが,CTPであればCTAとのフュージョンが可能,などが挙げられる。さらに,遅延造影CTの撮影法を当院にて改良し,臨床使用が可能となったほか,Definition Flashでは検査全体を低線量で行えることも理由として挙げられる。
なお,当院では心臓CT検査を造影前CT,負荷Dynamic CTP,冠動脈CTA,遅延造影CTの順で実施している。造影剤量は体重により増減があるものの全体で約100mL,検査時間は患者の入れ替えも含めて約40分である。
負荷Dynamic CTPと遅延造影CTによる検査の実際
当院では,負荷Dynamic CTPをshuttle mode scan(Heart Perfusion)により,左室の上半分と下半分を交互に撮影している。カバレッジは約7cmであるが,日本人の心臓であればほぼカバーすることができる。また,75msという高い時間分解能を維持しつつ,フルスキャン再構成とハーフスキャン再構成を組み合わせた特別な再構成法(Targeted Spacial Frequency Filtration:TSFF)を用いることで,心筋CT値を安定して得られるという利点がある。
症例提示
●症例1:Normal case
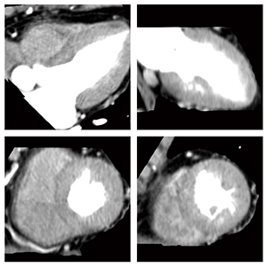
57歳,女性。負荷Dynamic CTPでは全体に心筋の信号が均一で非常に安定している(図1)。また,Definition Flashのコンソールに搭載されたソフトウェア“syngo Volume Perfusion”により,5分程度の解析でVoxel-wise MBF mapを作成することができる。これをCTAとフュージョンすることで冠動脈の支配域と,その血流状態が明瞭に把握可能であり,正常例では外膜側と比べると内膜側に向かってグラディエントのついた心筋血流値となっているのがわかる(図2)。遅延造影CTでも,全体に均一なCT値が得られている(図3)。
われわれは遅延造影CTで明瞭な画像を得るため,負荷Dynamic CTPの撮影法を遅延造影に応用することを考案した(参考文献2)参照)。
また,Voxel-wise MBF mapを用いた心筋虚血の診断能について,当院の29症例,64血管を対象に,冠血流予備量比(FFR)をゴールドスタンダードとして判定したところ,感度,特異度共に約87%と,かなり高いことがわかった。この結果は,これまでに報告された複数の論文と同等である。
図1 症例1:負荷Dynamic CTP |
図2 症例1:Voxel-wise MBF mapと |
図3 症例1:遅延造影CT(CTDE)
●症例2:労作性狭心症にて左前下行枝(LAD)と右冠動脈(RCA)にステント留置後
61歳,男性。ステント留置後の経過観察のため心臓CT検査を施行した。現在無症状であるが,負荷Dynamic CTPでは下壁に血流異常を認めた。遅延造影CTでは血流低下領域に一致した心筋遅延造影が認められ,心筋梗塞を見ていることが判明した(図4)。本症例は,ステント留置領域における内膜下梗塞と,ステント再狭窄に起因する心筋虚血の鑑別に,遅延造影CTが重要な役割を果たすことを示している。
図4 症例2:Voxel-wise MBF mapと遅延造影CT(CTDE)
●症例3:高血圧症(HTN),糖尿病(DM),脂質異常症(DL)
59歳,男性。非常にコントロールの悪いHTNがあり,心電図にてⅡ,Ⅲ,aVF誘導の異常Q波が認められ,心筋梗塞疑いのため当院を受診した。左冠動脈(LCA)が大きく,RCAは低形成を呈し,LAD,第1対角枝(D1),左回旋枝(LCX)に明らかな病変は認められなかった。負荷Dynamic CTPでも病変は認められなかったが,Voxel-wise MBF mapでは全周性に内膜下の血流異常が認められ(図5),微小循環異常が疑われた。遅延造影CTでは,びまん性に淡い造影が描出されている(図6 上段)。遅延造影MRIでも,びまん性の淡い造影の存在が確認され(図6 下段),本症例は高血圧心におけるびまん性の線維化と診断された。
図5 症例3:Voxel-wise MBF mapとCTAのフュージョン画像
図6 症例3:遅延造影CT(CTDE:上段)と遅延造影MRI(LGE:下段)の比較
なお,extracellular volume(ECV:細胞外容積)を計測したところ,MRIでは35.1%,CTでは36.5%との結果であった。ECVは,MRI領域において,心筋性状を判定するツールとして非常に期待されており,多くの研究が行われている。しかし,MRIでECVの測定を行う場合,MOLLI法などによるT1計測を1スライスごとに行う必要があり,不整脈や心拍数の影響でT1計測の精度が低下することがある。一方,CTでは遅延相の画像から造影前の画像を差分することで簡単に内腔と心筋の造影剤濃度比が算出され,それをヘマトクリットで補正することでECVを求めることができる。われわれの経験では,不整脈のある症例ではCTの方がMRIよりも安定的にECVを得られる。
当院にて,虚血性心疾患を疑ってCT検査が行われたが結果的に正常だった症例を対象に,年齢とCTで求めたECVとの相関を見たところ,年齢が上がるにつれてECVが上昇する傾向が認められた3)。加齢によるECVの上昇は過去のMRIを用いた研究でも報告されており,CTによってECVをかなり正確に計測できていると思われる。なお,正常例のECV値は22〜30%程度に分布しているが,本症例のECV値はそこから大きく外れており,ECVからもびまん性線維化の存在を診断できる。
被ばく線量に関する検討
心臓CTの被ばく線量について,従来は負荷Dynamic CTP単独で約10mSvと言われていたが,Definition Flashでは日本人の場合,管電圧を80kVとし,CareDose4Dを用いることで約4.5mSvに抑えることができる。また,一連のcomprehensive study検査の被ばく線量を合計しても約10mSvで,SPECT検査を追加することなく虚血や梗塞の情報を得ることができる。
まとめ
当院の心臓CT検査では,心血管の狭窄あるいはプラークをCTAで評価し,負荷Dynamic CTPや,CTAとCTPのフュージョン画像で虚血を診断し,遅延造影CTにて梗塞を診断することができる。また,ECV計測は研究領域としても非常に有望であり,これら一連の検査を約10mSvで施行可能である。
一方,現状では当院と同様のプロトコルでの検査は他施設では行われていない。そこで,本手法の有用性を確認し普及を図るために,Dual Source CTを用いた負荷Dynamic CTPに関する多施設共同研究“AMPLIFiED(Assessment of Myocardial Perfusion Linked to Infarction and Fibrosis Explored with DSCT)”を2014年11月から開始することとなった。これは,FFRをゴールドスタンダードとして負荷Dynamic CTPの診断能を求めるもので,これまで遅延造影CTを組み合わせて行われた臨床研究は世界的に見ても皆無である。本研究により,負荷Dynamic CTP,遅延造影CT,ECVの計測の虚血性心疾患の診療における価値を明らかにしていきたいと考えている。
●参考文献
1)Greenwood, J.P., et al. :Cardiovascular magnetic resonance and single-photon emission computed tomography for diagnosis of coronary heart disease (CE-MARC);A prospective trial. Lancet, 379, 453〜460, 2012.
2)Kurobe, Y., Kitagawa, K., et al. :Myocardial delayed enhancement with dual-source CT ; Advantages of targeted spatial frequency filtration and image averaging over half-scan reconstruction. J. Cardiovasc. Comput. Tomogr., 8, 289〜298, 2014.
3)Kurita, Y., Kitagawa, K., et al. Age-related Increase and Regional Difference of Extracellular Fraction of Myocardium in Subjects without Coronary Artery Disease:A Cardiac CT Study. RSNA 2013.
