TwinBeam Dual Energy
堀越浩幸(群馬県立がんセンター放射線診断部)
<Session II Latest Stories in Single Source CT>
2015-11-25
当センターでは,Single Source CTにおいて実践的なDual Energy Imagingが可能な新技術“TwinBeam Dual Energy”を搭載した128スライスCT「SOMATOM Definition Edge」を2015年3月に導入した。同装置はほかにも,新しい金属アーチファクト低減技術“iMAR(Iterative Metal Artifact Reduction)”,逐次近似画像再構成法SAFIREを進化させた“ADMIRE(Advanced Modeled Iterative Reconstraction)”,検出器のカバレッジに依存することなく経時的なボリュームデータを取得可能な“Adaptive 4D Spiral”などの最先端技術を搭載している。
本講演では,当センターにおけるTwinBeam Dual Energyの使用経験,なかでも新しいmonoenergetic imaging技術である“Monoenergetic Plus(Mono+)”の有用性を中心に報告する。
TwinBeam Dual Energy
TwinBeam Dual Energyは,1つのX線管から照射される1本のX線束を,スズ(Sn)と金(Au)のフィルタを用いて2種類のエネルギースペクトルに分割・最適化することで,2種類の画像データを同時に取得することを可能にした(図1)。低エネルギー画像(Au120kV)と高エネルギー画像(Sn120kV)の2種類の画像に加えて,120kV相当の画像でヨードのCNRを最大化するように重み付けられた合成画像が得られ,さらに,画像解析によって仮想非造影画像であるVirtual Non Contrast(VNC)やヨードマップ画像などが得られる。また,Dual Source CTで可能なDual Energy解析アプリケーションをそのまま使用できることも大きなメリットである。
図1 TwinBeam Dual Energyの概要
Mono+の有用性
シーメンス社の画像診断ITソリューション“syngo.via”では多くのDual Energy解析が可能であるが,なかでも注目のアプリケーションにMono+がある。monoenergetic image(仮想単色X線画像)は,高エネルギーと低エネルギーのデータから任意の仮想単色X線画像を得る技術で,低keV画像ではヨードのコントラストが向上し,高keV画像ではビームハードニングが低減されることで金属アーチファクトの低減が期待できる。従来,40keVといった極端な低keVでは非常にノイズの多い画像となっていたが,新開発のMono+では,SNRの良い高コントラストな画像が得られるようになった。
Mono+の50keV画像を用いた診断の実際
症例1は,肝細胞がん(HCC)のRFA後の再発症例である(図2)。ヨードマップ画像(図2 b)を作成することで,AuSn120kV画像(図2 c)で淡く濃染される病変を強調して描出することができる。さらに,Mono+の50keV画像を作成すると,肝実質の陰影の描出が強調され,RFAによる焼灼部位と再発部位との関係性をより正確に把握することが可能であった。また,Mono+の50keV画像ではヨードのコントラストが明瞭で,再発病変がはっきりとわかる(図2 e)。本症例を経験してから,当センターではMono+の50keV画像を多用するようになった。
図2 症例1:HCCのRFA後の再発症例
症例2は,HCCにてTACEを繰り返し行っている症例である。AuSn120kV画像では,再発が1か所と,淡い濃染像が1か所確認できるが,そのほかは不明である。しかし,50keV画像では,S5に明瞭な濃染と,S2,S3に淡い濃染が認められ,さらには肝実質も均一に染まっていないことがわかる(図3)。50keV画像により,従来は見えていなかった病変も確実に拾い上げられるようになったという印象である。
図3 症例2:HCCにてTACEを繰り返し行っている症例
症例3は,肺動脈血栓塞栓症疑い症例である。高齢で腎機能が低下していたため,造影剤は240mgI/mLを100mL投与し肺と下肢の造影CTを施行した。AuSn120kV画像では,肺と下肢のいずれも血栓は不明瞭であるが,50keV画像では,特にコロナル画像において明瞭に肺動脈の血栓を指摘可能であり(図4),下肢についても血栓がはっきりと黒く抜けているのが確認できる(図5)。
図4 症例3:肺動脈血栓塞栓症疑い症例
図5 症例3の下肢画像
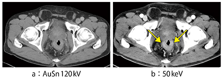
症例4は,直腸がん症例である。AuSn120kVの平衡相(図6 a)では,わずかに直腸の壁が濃染しているのが認められるが,50keV画像(図6 b)では濃染が明らかである。サジタル画像(図7)では前立腺との境界もはるかに観察しやすく,腫瘍の浸潤度判定にきわめて有用である。
図6 症例4:直腸がん症例
図7 症例4のサジタル画像
症例5は,乳がん症例である。AuSn120kVの早期相にて区域性に染まる領域が認められ(図8 a),非浸潤性乳管癌(DCIS)を中心とした浸潤癌と考えられた。daughter noduleのようなわずかな濃染も認められるが,50keV画像ではそれが明瞭となっており,拡大すると細かい結節も確認できる(図8 b)。従来はCTとMRIの病変の範囲はあまり一致しなかったが,50keV画像では乳腺MRIのサブトラクション画像(図8 c)と比較するとほぼ一致しており,読影に大きく貢献している。
また,コントラストに優れる50keV画像を,超音波画像の同一断面と並列表示する技術に応用することで,より正確な腫瘍範囲がマーキングできる可能性がある。乳腺MRIは通常,腹臥位で撮像するため,乳房温存術の術前シミュレーションと実際の腫瘍範囲が異なることが多い。そこで,手術と同様の体位である50keV画像を用いることで,高コントラストを生かした,より正確な術前マッピングや,化学療法後の腫瘍範囲の同定などに有用であると考えている。
図8 症例5:乳がん(浸潤癌)症例
まとめ
当センターにてTwinBeam Dual Energyから得られる各画像のCT値変化を計測したところ,Mono+の50keV画像では造影剤のCT値が120kV画像の2〜2.5倍であった。造影剤量の低減や病変検出率の向上が可能になるなどきわめて有用なため,Mono+をルーチンにて常時使用したいと考えている。画像データ量の増加や再構成時間の延長などの課題については,中間的なサーバの増設などを検討する必要があるかもしれない。また,syngo.viaには多くのDual Energy解析アプリケーションが搭載可能なため,いずれはそれらを導入し,診療に役立てたいと考えている。
- 【関連コンテンツ】
